There has probably never been a better time to practise dentistry. However, dentists and patients are being bombarded with images of beautiful smiles and, for many years, practitioners have been pressured into believing that porcelain veneers are the answer.
There are many situations for which veneers are the ideal treatment, and when well placed and properly bonded to enamel, they will last for many years. Layton and Walton, for example, showed 73 % survival at 16 years for veneers bonded to enamel.
Unfortunately, in my practice, these ideal cases rarely come through the door. Most of the patients coming in for cosmetic dentistry do so for more severe problems. Crowding of the upper and lower teeth is a common condition that adult patients would like improved. Porcelain veneers and ‘instant orthodontics’ designed to treat this will often lead to excessive enamel removal, risking pulp vitality and compromising bond strengths, or over-contoured restorations, which can compromise plaque control.
Poor root position will also compromise the emergence profile. The patient, who by now has also entered the restorative cycle, will require the periodic replacement of these veneers with more invasive restorations. Burke and Lucarotti showed the survival rate of veneers in England and Wales to be approximately 10.5 years. The Inman Aligner has proved to be a valuable appliance to help patients with misaligned anterior teeth.
embedImagecenter("Imagecenter_1_679",679, "large");
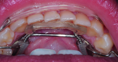
The Inman Aligner works by employing dual forces―pushing and pulling simultaneously. The single, removable device utilises a lingual coil spring that exerts pressure on the teeth that need repositioning and a labial bar that reverses the same pressure. These components work together to squeeze teeth into place. Compared with traditional orthodontic braces, the Inman Aligner offers a more discreet, faster and less expensive way to achieve excellent results in the ‘social six’ region of the mouth, with average treatment times of between six and 18 weeks. The forces employed by the Aligner mean that it works a lot faster than the retainer-style treatment employed by other clear alignment systems, compensating for the fact that it is ever so slightly less discreet. However, the fact that the device is removable often makes up for this in the mind of the patient.
Of course, not every case is suitable for treatment in this way, and case selection is critical. The Inman Aligner is only suitable for correcting anterior teeth. Large side shifts, intrusions and extrusions cannot be treated in this way. However, rotations, tipping, buccolabial movements and diastema closures in protrusive cases are all possible, as long as case selection criteria have been met.
Patient
The patient, a 19-year-old woman, requested cosmetic improvement of her upper and lower teeth. Her chief complaint was that she was “unhappy with her smile” and that her “front teeth were out of shape”.
The patient attended her general dental practitioner regularly and had good oral health. Other than her aesthetic concerns, she displayed no dental complaints, and had no history of bleeding gums or sensitivity.
On further enquiry, she mentioned that she had considered having treatment to improve her smile for the last year and that she had a family wedding coming up in just over 12 months. The patient was happy with the shape of her upper and lower teeth but said that she would have liked them to be a little whiter and straighter.
On examination, it was ascertained that she had minimally restored dentition with a large silver amalgam filling in her lower left first molar, and some hypoplastic enamel in her upper right first molar. Her upper left first molar was missing, but there was no residual spacing owing to mesial movement of the second molar. Her lower third molars were unerupted with mesio-angular impaction. She had a thin scalloped gingival biotype.
The patient’s lower incisor teeth had moderate crowding with good positioning of the canines. The upper incisors displayed mild crowding with the mesial edge of the upper right central incisor overlapping the upper left central incisor by 2 mm.
A full discussion was undertaken about the possible treatment options, which were:
_no treatment;
_comprehensive orthodontic treatment;
_fixed short-term orthodontic treatment;
_removable alignment treatment; and
_restorative treatment/instant orthodontics.
The patient did not want restorative treatment and dismissed the idea of crowns or veneers when we explained the excessive amount of enamel removal required. The patient was open to the idea of fixed bracket orthodontics but was much happier with a removable appliance for lifestyle reasons.
We went into the specifics of interproximal enamel reduction (IPR) and the patient expressed that she was happy with this small amount of enamel removal to create space for tooth movement.
Treatment
A full set of clinical photographs was taken and upper and lower alginate impressions were recorded. The exact areas of the patient’s smile that caused her concern were discussed using the photographs, and we discussed the tooth movements that would be possible with the alignment treatment.
Once the models had been cast from the impressions, we were able to assess the amount of crowding. This is done in a very simple fashion when using an Inman Aligner. The maximum width of each incisor and canine tooth is measured using a simple micrometer. Using an interproximal metal strip, the required space for the optimal arch form is then measured from the distal of one canine around to the contralateral canine. The difference is equal to the required amount of interproximal reduction and, for this young lady, it was found to be 1.21 mm.
Up to 3.5 mm of crowding can be treated with a standard Inman Aligner device just using IPR. More severe crowding can be addressed with an Inman Aligner incorporating a palatal expander.
An upper series of three clear aligners and a lower Inman Aligner were prescribed and the patient consented to the treatment as described. The models were sent to NimroDENTAL Orthodontic Laboratory, the UK’s only Inman Aligner laboratory.
The Inman Aligner is fabricated on a Kessling model. The prescribed interproximal reduction is carried out on the plaster model. The teeth are removed and then replaced on the model in wax on the ideal arch form.
The first upper clear aligner and lower Inman Aligner were fitted on the same day. Extensive discussion was undertaken with the patient about what to expect over the coming days and weeks.
A small amount of interproximal reduction was undertaken using metal interproximal strips on all the interproximal surfaces of the lower teeth, from the mesial of the canines around to the contralateral canines, and on the upper teeth, as according to the laboratory instructions. IPR is carried out in this fashion to respect the anatomy of the tooth, simply making the teeth more slender.
The patient was seen every four weeks for the fitting of each of the upper aligners in the series, and to carry out further interproximal reduction on the lower teeth.
After three months, the upper alignment was complete and the lower teeth were almost straight.
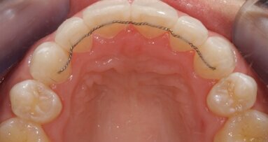
After four months, the alignment of the lower teeth was complete and impressions were taken for a fixed bonded retainer―a multi-strand stainless-steel retainer bonded to the palatal surface of the front six teeth with the aid of a custom placement jig. Owing to the type of occlusion, the patient continues to wear an Essix-type retainer on the upper teeth.
Discussion
This self-conscious young lady was concerned about the appearance of her teeth that were becoming increasingly more crowded. In four months, her upper and lower teeth were aligned for less than the cost of four porcelain veneers.
The photographs show the detail of the morphology and shade characteristics of the teeth―reproduction of this would have proved a challenge for even the most gifted dental technician.
Just a few years ago, the options open to the patient or her dental practitioner would have been limited to full orthodontic treatment or restorative treatment. The restorative options would have involved either excessive removal of enamel and dentine for porcelain veneers or excessively bulky and over-contoured restorations with poor interproximal contacts. Now, clinicians have the option of an altogether more satisfactory approach.
Alignment treatment such as that offered by the Inman Aligner can offer rapid cosmetic improvement of moderately crowded front teeth or orthodontic relapse. Because one appliance does almost all of the tooth movement, the reduced laboratory cost allows for a more affordable option for patients, increasing patient uptake.
Case selection is key and a full discussion with patients about their complaints and what they wish to have corrected is vital. Only correction of the front teeth is possible. Incisors can be rotated and tipped relatively easily, with limited movement of the canines possible.
The case study presented above was an ideal case. With others, it may be essential to talk the patient through what he or she can expect to be corrected and what will not be possible. Often, this form of treatment will be a precursor to restorative treatment. Pre-alignment can allow us to offer the ideal cosmetic result with a much-reduced biological cost in enamel and dentine removal, and an ideal emergence profile. Often only minor enameloplasty or enamel bonding is required after alignment to correct the differential wear we often see with crowded teeth.
IPR has been shown to be a safe way of creating space for tooth movement. Zachrisson followed up patients ten years after IPR and found no increased caries risk, bleeding on probing, gingival recession or periodontal bone loss in these patients.
The four-month treatment time required for this young lady is not unusual. The interdental space required is often created by rounding out the arch and moving teeth that are lingually placed, forward and placing them on a wider arc.
In conclusion, the Inman Aligner is not a replacement for conventional orthodontics but now clinicians can offer quick and affordable tooth alignment in general dental practice. My provision of cosmetic dentistry treatments has grown significantly since the introduction of the Inman Aligner to my practice.
Acknowledgements: I would like to thank Dr Tif Qureshi and Dr James Russell for their help in planning my early cases. I have no connection to Straight Talks Seminars or the NimroDENTAL Orthodontic Laboratory.
The following article is Part II in a series discussing the use of the Inman Aligner as a tool for MICD.1 The first article (published in cosmetic dentistry...
Modern trends in cosmetic dentistry and media coverage of smile makeovers have increased public awareness of dental aesthetics. People now know that smile ...
The Smile Creator module is exocad’s advanced smile design solution for predictable aesthetic makeovers. Integrated into exocad’s DentalCAD platform, it...
Over the last two decades, extensive research has been carried out to alleviate the two major shortcomings of orthodontic treatment: visibility and ...
Today’s patients expect restorations that not only function properly, but are also highly aesthetic. Unlike some years ago, different media outlets ...
Digital advancements have revolutionised dentistry, providing efficient, precise dental care.1 Intra-oral scanners are replacing traditional means of taking...
The Digital Smile Design (DSD) protocol developed by Dr Christian Coachman is an important part of daily work at our practice. It is an integral way of ...
This article discusses the advantages of short-term anterior tooth alignment using the Inman Aligner system, particularly for general dentists. The article ...
MANGALORE, India: Digital smile design has begun employing artificial intelligence (AI), raising questions about the quality and acceptability of ...
In recent years, orthodontists have been treating patients of increasingly younger age.1 This is due to increased attention by paediatricians, greater ...
Live webinar
Tue. 12 May 2026
1:00 pm EST (New York)
Live webinar
Thu. 14 May 2026
12:00 pm EST (New York)
Live webinar
Thu. 14 May 2026
2:00 pm EST (New York)
Prof. Hani Ounsi DDS PhD FICD
Live webinar
Tue. 19 May 2026
11:00 am EST (New York)
Live webinar
Tue. 19 May 2026
1:00 pm EST (New York)
Prof. Dr. med. dent. Ivo Krejci
Live webinar
Wed. 20 May 2026
7:00 am EST (New York)
Dr. Graham Carmichael BDSc (Hons), DClinDent (Pros), FRACDS, Dr. Robert Gottlander DDS
Live webinar
Wed. 20 May 2026
9:00 am EST (New York)
To post a reply please login or register