This article discusses the advantages of short-term anterior tooth alignment using the Inman Aligner system, particularly for general dentists. The article will give a brief description of the Inman Aligner appliance and its use in short-term orthodontics, and it will answer three major questions the general dentist should ask himself or herself during the treatment planning process. In support of this treatment modality, three case scenarios general dentists see daily will be given as examples.
General dentists face the daily challenge of performing instant veneers for patients with misaligned anterior teeth who refuse orthodontic treatment, many of whom regard fixed orthodontic treatment as too long a commitment for achieving their desired aesthetic results. In today’s fast-paced life, some patients are not prepared to wait or to go through long treatments.[1,2] One of the greatest benefits of short-term anterior alignment is that many people who would refuse comprehensive orthodontic treatment may accept short-term removable alignment techniques such as the Inman Aligner system.
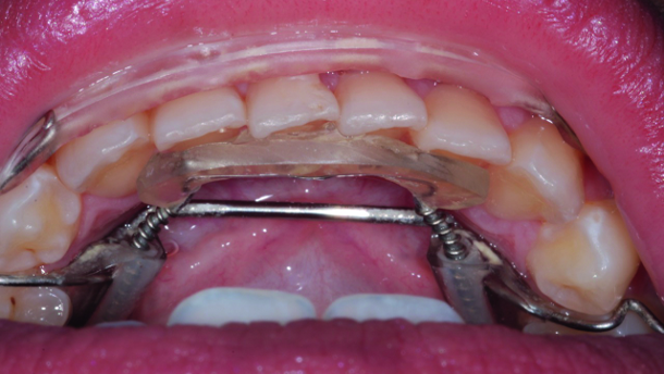
The Inman Aligner is a simple removable appliance, a modification of the removable spring retainer. It uses super-elastic coil springs to apply highly efficient light and consistent forces on both the labial and lingual surfaces of the anterior teeth (Figs. 1 & 2). The appliance is fabricated on a cast on which, based on a surgical model, the anterior teeth needing correction have been removed and reset in the ideal position in wax on the working cast.[3] When the patient wears the appliance, the built-in forces generated by the spring coils will correct the misaligned anterior teeth (Fig. 3).
embedImagecenter("Imagecenter_1_2412",2412, "large");
What distinguishes the Inman Aligner appliance from other short-term orthodontic systems such as Invisalign (Align Technology) and Six Month Smiles is its low cost, low risk and short learning curve for general practitioners. Only one appliance is used from the start to the end of the treatment. Sometimes, several clear aligners may be used to de-rotate resistant canines. The system is well received by patients because it is fast and relatively cheap. It also accommodates today’s active lifestyle. Usually, most cases take from six to 16 weeks. Patients can take the appliance out during meals or work meetings.
As with any other treatment techniques, the Inman Aligner has its limitations. Hence, case selection is imperative, as the Inman Aligner is not suitable for posterior orthodontic treatment or Class II or III treatment. Only certain types of movements are possible and some patients will still need conventional orthodontic treatment or indirect restorations. Certain criteria should be met before treatment proceeds. At consultation, other orthodontic alternatives should be offered. The dentist must quote for the long-term retention maintenance and should look for any skeletal discrepancies. Compromises must be signed off.
Treatment concept and case presentation
Dentists need to consider three questions about treatment during the treatment planning process. The first question: can the patient’s teeth be fixed without orthodontic treatment in a very short period? In order for the general dentist to answer this question, he or she should first establish whether the patient does not wish to pursue orthodontic treatment because of the time commitment and cost. Would he or she also refuse short-term anterior tooth alignment? Would the occlusion be improved even though a Class I molar or Class I canine relationship may not be achieved? Patients may prefer shortterm alignment techniques because of the shorter treatment time and the lower cost.
Case 1
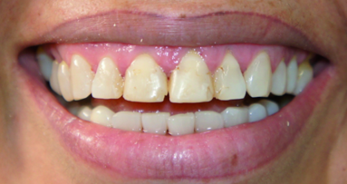
The first case presented is a good example of a scenario relevant to the question above. The patient was a young woman at college who presented at my office requesting a full smile makeover of 20 veneers; she desired a “Hollywood smile” as expressed in her own words. Her complaint was the retracted maxillary right and left central incisors, the incisal edge wear on the maxillary central incisors and mandibular anterior teeth, the pointy shape of the maxillary and mandibular canines, and the yellow colour of her teeth overall (Figs. 4 & 5). It could be argued that it would be highly unethical to prepare the sound enamel, transforming her ten maxillary teeth into stumps, for the rest of her life, especially at this young age. After long discussion and explanation of the Disadvantages of the shortcut route of preparing her teeth for ceramic veneers, this option was excluded. Several other options were available and discussed with her, but because she wanted a smile enhancement in a short period of time, conventional fixed orthodontic treatment was also excluded. After checking her bite, it was observed that there was insufficient interocclusal space to shift the maxillary central incisors forwards without opening the bite. However, the patient accepted use of the Inman Aligner system owing to its short treatment time and flexibility regarding being able to take the appliance off during the day while eating.
The treatment plan was to follow the ABB protocol (alignment, bleaching and bonding). This concept still constitutes a smile makeover but in a very conservative manner. Taking into consideration her age and her sound enamel tissue, this was agreed to be the most progressive means of carrying out her smile enhancement. First, her maxillary teeth were aligned using the Inman Aligner with an expander for nine weeks. Two extra-clear aligners were used in the last two weeks of treatment to de-rotate the maxillary left lateral. Once the maxillary teeth had been aligned and in the last two weeks of treatment, the teeth were bleached with custom-fitted super sealed trays (Fig. 6). Now that the teeth had been straightened and whitened, the patient became more aware of the differential wear on the incisal edges of her anterior maxillary and mandibular teeth. Incisal edge bonding using composite was completed using a simple direct technique. The patient was very happy with the final result (Figs. 7–19).
Case 2
The second question to be considered regarding treatment: would some of the teeth be aggressively prepared or end up with root canal treatment if treated with restorative dentistry without alignment and would the overall outcome be better with alignment rather than without? This question addresses the ethical dilemma general dentists face every day. We often have cases with overlapping anterior central incisors in our office.
The patient presented in this case was bothered by the look of his overlapping maxillary central incisors (Figs. 20 & 21). His mandibular teeth were also crowded, but for some reason, his concern was only with his maxillary teeth. He had started to hide his smile in front of his friends, feeling embarrassed to show his maxillary teeth. After the full orthodontic examination and discussion about all of the treatment options, including comprehensive orthodontic treatment, the patient chose the removable Inman Aligner system owing to its flexibility in that the wearer is able to remove the appliance for several hours a day and because of its short treatment time. The maxillary left central incisor would have been aggressively prepared had it been treated restora tively.[7–9] By using a simple anterior alignment tech nique, the treatment took only eight weeks to straighten the teeth and a great deal of sound enamel tissue was preserved by conservatively resolving the unattractive appearance of the maxillary teeth (Figs. 22 & 23).
Case 3
The third question to be considered: will the teeth require restorative work anyway, even after alignment?
The case presented serves to demonstrate the necessity of aligning the teeth even before placing ceramic veneers.[10–13] The patient in this case exhibited moderate misalignment with major anterior edge wear due to occlusal trauma. In addition, the teeth were darkened through years of stains being absorbed through the worn dentine of the incisal edges (Fig. 25). The patient initially requested instant veneers to resolve his smile problem, but after mocking up the design directly in his mouth, he was discouraged from pursuing this option owing the amount of tissue that would be lost. The aggressive preparation of the tissue was explained to him using the occlusal image of his maxillary teeth. After an extensive orthodontic examination and discussion of the options, the patient refused fixed orthodontic treatment, as well as clear aligners. He refused the first option because he did not want anything fixed in his mouth, and he refused the second option because of the proposed time involved. The Inman Aligner system was introduced to the patient, and he quickly accepted this option owing to the short treatment time and removability.
The treatment plan was to align the teeth first and then to reassess the restorative work needed (Fig. 26). The appliance was used for 12 weeks and only worn for 16 to 18 hours a day. During the last three weeks of alignment, the patient began to bleach his teeth. By week 12, the teeth were straight and white (Fig. 27). At this point, a direct mock-up was done to show the patient the smile design that could be achieved with composite. He felt that the teeth were still flat and wanted a fuller smile. Because we had aligned the teeth, only minimal preparation was needed as evident from the wax-up and the decision was made to fabricate ceramic veneers instead (Fig. 28). This case shows that for complex situations and considering patients’ high aesthetic demands, pre- alignment is essential to produce minimally invasive veneers with minimal enamel loss. This clinical approach guarantees that the strength of bonding to the enamel is much greater.
Conclusion
The goal of this article is to encourage general dentists to reflect on the importance of considering short-term tooth alignment alone or in conjunction with restorative dentistry when treating patients. Hopefully, these three questions and cases will prompt readers in thinking through the process of this treatment modality.
Disclosure: Dr Chayah is the trainer for Inman Aligner Training in the Middle East. He provides hands-on full-day certificate courses to general practitioners. Acknowledgement: I wish to thank Dr Tif Qureshi, the founder and Director of Inman Aligner Training in London, for his mentoring and sharing the last case in this article.
Editorial note: A complete list of references is available from the publisher. This article was published in cosmetic dentistry international No. 01/2016.
Modern trends in cosmetic dentistry and media coverage of smile makeovers have increased public awareness of dental aesthetics. People now know that smile ...
MANGALORE, India: Digital smile design has begun employing artificial intelligence (AI), raising questions about the quality and acceptability of ...
It is widely accepted that in order to obtain highly aesthetic results, detailed treatment planning is mandatory in order to schedule the various stages of ...
It is widely accepted that in order to obtain highly aesthetic results, a detailed treatment planning is mandatory, to let us schedule the different stages ...
Dental facial aesthetics can be defined in three ways. Traditionally, dental and facial aesthetics have been defined in terms of macro- and micro-elements. ...
Achieving a successful outcome in aesthetic dentistry can be a formidable challenge for all dental practitioners, regardless of their experience level. The ...
The fabrication of restorations has entered a new technological age, moving from 2-D to 3-D. Restoration design—whether it is a framework, full-mouth ...
Today’s patients expect restorations that not only function properly, but are also highly aesthetic. Unlike some years ago, different media outlets ...
There has probably never been a better time to practise dentistry. However, dentists and patients are being bombarded with images of beautiful smiles and, ...
The Smile Creator module is exocad’s advanced smile design solution for predictable aesthetic makeovers. Integrated into exocad’s DentalCAD platform, it...
Live webinar
Tue. 12 May 2026
1:00 pm EST (New York)
Live webinar
Thu. 14 May 2026
12:00 pm EST (New York)
Live webinar
Thu. 14 May 2026
2:00 pm EST (New York)
Prof. Hani Ounsi DDS PhD FICD
Live webinar
Tue. 19 May 2026
11:00 am EST (New York)
Live webinar
Tue. 19 May 2026
1:00 pm EST (New York)
Prof. Dr. med. dent. Ivo Krejci
Live webinar
Wed. 20 May 2026
7:00 am EST (New York)
Dr. Graham Carmichael BDSc (Hons), DClinDent (Pros), FRACDS, Dr. Robert Gottlander DDS
Live webinar
Wed. 20 May 2026
9:00 am EST (New York)
Hey, thank you for posting this.
I have crooked teeth due to which my confidence level is very low. I avoid smiling whenever I am in public.
What should I need to do?