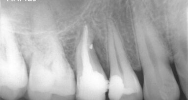
In a Europe-wide study conducted with about 600 dental professionals, the majority of testers of GuttaFlow bioseal ceramic from COLTENE were very satisfied or satisfied with the overall result of treatment. (Image: COLTENE)
LANGENAU, Germany: Practicality in its ongoing product innovations is a top priority for international dental specialist COLTENE. True to its motto “Upgrade Dentistry”, the company has set itself the goal of continuously making the everyday work routines of dentists and their teams easier and more efficient. In addition to the development of new working aids and dental materials in collaboration with experts and research institutions all over the world, extensive testing in dental practices therefore plays a significant role.
Over the past few months, nearly 600 dentists from across Europe took part in a large-scale practice experiment in which special attention was paid to the handling of endodontic revision treatment. The specifically developed Remover revision files manufactured by COLTENE were used in combination with the GuttaFlow bioseal ceramic sealer.
Depending on their personal preferences, participants could choose between the Remover for the HyFlex or MicroMega filing systems. The revision files are available in size 30/.07 and in lengths of 19 and 23 mm. In next to no time, they remove insufficient gutta-percha fillings or similar older endodontic restorations. Owing to their intricate shape, they adapt to the natural contour of the canal and efficiently loosen the existing dental material without requiring any additional solvents. At the same time, the Remover files are gentle on the surrounding tooth structure and their non-cutting tip provides additional safety during preparation.
Accordingly, both endodontic experts and beginners alike had good experiences in the practice experiment. The survey results confirm the significant improvement in efficiency when switching from various hand files as well as existing conventional preparation files and revision systems to revision with a single Remover nickel–titanium file: 42% of respondents rated the performance in removing obturation material as excellent, and another 47% as good. In addition, more than half of the participants reported noticeable time-savings compared with their previous approach. This is all the more remarkable because files from a wide variety of manufacturers and different methods of filing had been stated for previous use. After the test, over 85% indicated that they would continue to use the file in the future.
During subsequent filling and sealing of the root canal with the GuttaFlow bioseal ceramic sealer, the rating of the properties respondents liked the most differed. Among other things, the obturation material supports regeneration by raising the pH level in the root canal. Hydroxyapatite crystals are formed on contact with bodily fluid. These are natural components of bone and tooth tissue and thus support the healing process. The majority of respondents (60%) named ease of handling as the most outstanding feature of the obturation material. Rapid polymerisation in only 12–16 minutes, good radiopaque visibility and flowability were also rated positively. Over 72% of the testers were very satisfied or satisfied with the overall result of treatment, and 75% of the dentists said that they could imagine continuing to use GuttaFlow bioseal in their practice in the future.
Quick answers to questions about application
For the optimal integration of the newly developed instruments and dental materials, as well as for other application issues in endodontics, COLTENE regularly offers continuing education, practice workshops and webinars. At www.coltene.com or one of the innovation leader’s social media channels, interested dentists can find out about the latest trends and ideas from the dental world. This way, even endodontic beginners will soon be able to achieve competent and efficient preparation.
HOUSTON, US: The flag-bearer for at-home clear aligner therapy has filed for Chapter 11 bankruptcy protection in the US, signalling a potential shake-up in...
AMSTERDAM, Netherlands: According to a new cross-sectional study, dental professionals and students in the Netherlands are broadly positive about the role ...
The ultimate goal of endodontic treatment is the prevention and/or treatment of apical periodontitis, such that there is complete healing and absence of ...
IRVINE, Calif., U.S.: BIOLASE, a global leader in dental lasers, is proud to announce that its Waterlase dental laser system has received U.S. and Canada ...
COPENHAGEN, Denmark: Dental clinics in Denmark were permitted to reopen on 20 April, and Norwegian dentists have started to provide non-emergency treatment ...
Recent developments in composite resin materials and bonding technology have made the routine use of these materials in posterior teeth possible.1 Direct ...
Achieving successful endodontic treatment requires an accurate diagnosis and appropriate cleaning, shaping and three-dimensional obturation of the canals. ...
HELSINKI, Finland: The Planmeca European Roadshow is returning this autumn, bringing the company’s dental solutions directly to dental professionals. From...
WAALWIJK, Netherlands: From 18 to 20 November, the seventh edition of the MRC European Summit, hosted by Myofunctional Research Co. (MRC), will take place ...
Dental crowns have been used for decades to restore compromised, heavily restored teeth, and for aesthetic improvements. New Computer Aided Design/Computer ...
Education
Live webinar Wed. 29 April 2026 7:00 pm EST (New York)
CHENGDU, China: Tooth root development depends on precise cell communication pathways. Researchers from China have shown how two genes, Gli2 and Gli3, work...
TOKYO, Japan: Every dental practitioner aims for smooth and efficient procedures that deliver optimal patient experiences and treatment outcomes. Kuraray ...
LONDON, England: SprintRay has announced that it will host the London stop of its Midas World Tour, an exclusive hands-on educational event showcasing ...
To post a reply please login or register