Dental autotransplantation entails extracting and repositioning a tooth into a different site in the mouth of the same patient. A successfully transplanted tooth offers several advantages, given the preservation of the periodontal ligament: the proprioceptive function is maintained, the alveolar bone volume is preserved, orthodontics can be included in the treatment plan, and the dentofacial development and growth of the jaws are not impaired. Moreover, pulp regeneration and continued root development can be expected when a donor tooth with incomplete root formation is chosen and infection of the pulp tissue is prevented. [1, 2]
History
Tooth transplantation has been carried out for centuries. The earliest reports of tooth transplantation involve slaves in ancient Egypt who were forced to give their teeth to their pharaohs. In the late eighteenth and early nineteenth century, transplants of teeth between people were relatively common at specialist dental practices in London. Surprisingly, tooth allotransplants have been found to last six years on average. In Scandinavia, during the 1950s and 1960s, autotransplantation of teeth began to be carried out under increasingly controlled conditions. [3, 4] Success and survival rates The success of autogenous tooth transplantation depends on the vitality of the periodontal ligament. High success and survival rates have been reported for autotransplantation if proper case selection is done and a proper surgical technique is used. A prospective study by Mejàre et al. reported a cumulative survival rate of 81.4 per cent over a four-year follow-up, [5] while other studies have reported survival rates ranging from 71.0 per cent to 95.0 per cent for up to ten years of follow-up. [6, 7] The success and survival rates reported are similar or even better than those of implants. [8]
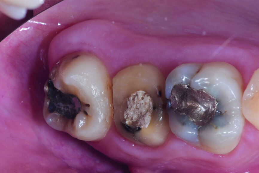
Fig. 1: Pre-op occlusal view.
Fig. 2: Pre-op facial view.
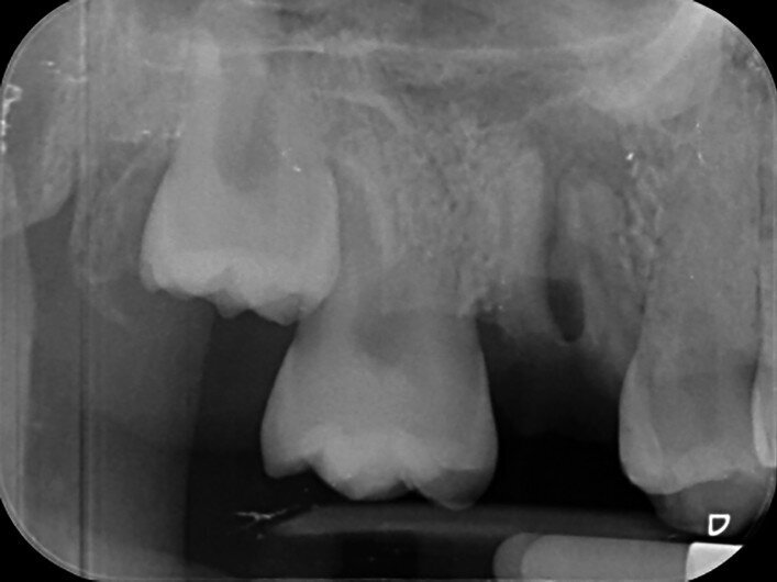
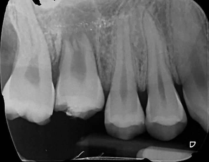
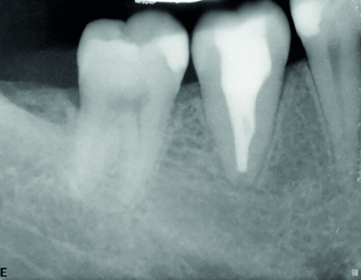
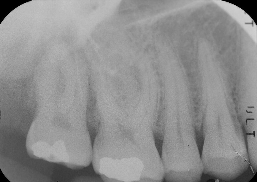
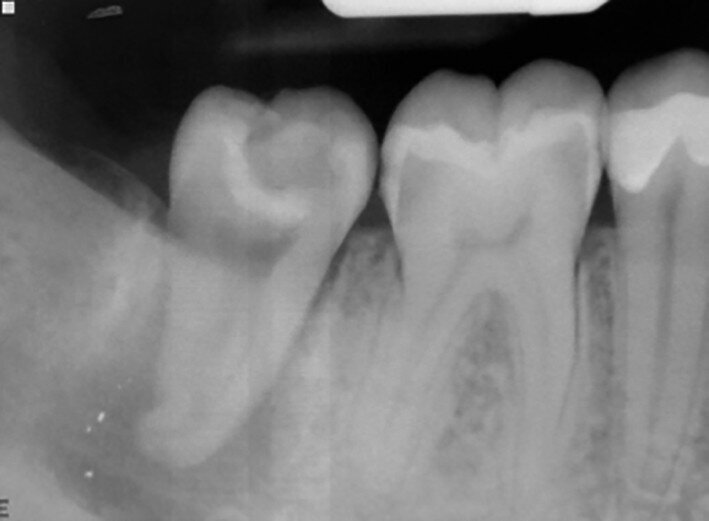
Fig. 3: Pre-op periapical radiograph.
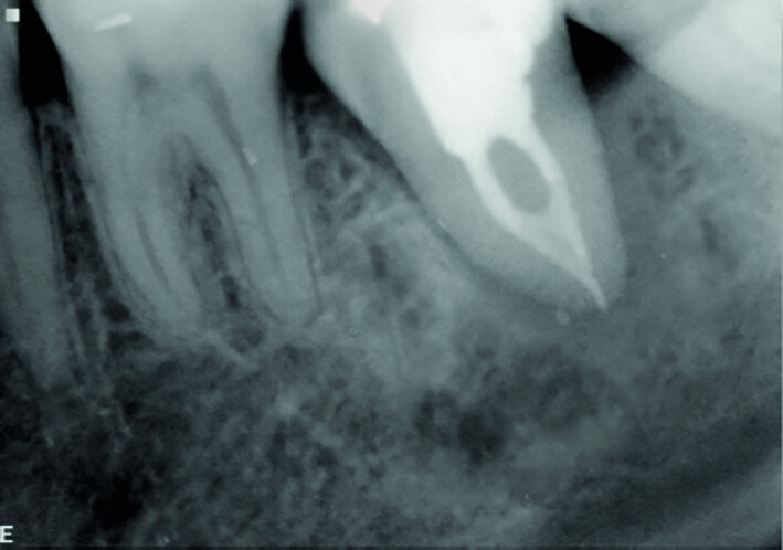
Fig. 4: Pre-op CBCT scan, pseudo-panoramic view.
Fig. 5: Pre-op CBCT scan, sections.
Fig. 6: Pre-op CBCT scan, detailed section of the maxillary second molar.
Fig. 7: Pre-op CBCT scan, coronal and sagittal views.
Fig. 8: Transplanted tooth sutured, immediately after surgery.
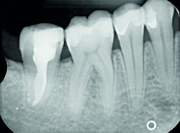
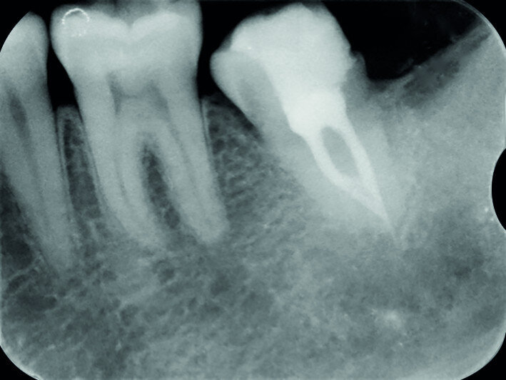
Fig. 9: Post-op periapical radiograph.
Fig. 10: Two weeks after transplantation.
Fig. 11: Four weeks after transplantation.
Fig. 12: Pulp chamber floor perforation, immediately after extraction.
Fig. 13: Pulp chamber floor perforation, tooth cleaned.
Fig. 14a: Clinical image: Pre-op.
Fig. 14b: Clinical image: Tooth #38 positioned in extraction site #47.
Fig. 14c: Clinical image: Extracted, fractured tooth #47.
Fig. 14d: Clinical image: Control after one month.
Fig. 15a: Radiograph: Pre-op panoramic.
Fig. 15b: Radiograph: Immediately after transplantation.
Fig. 15c: Radiograph: One-year recall.
Fig. 15d: Radiograph: Twelve-year recall.
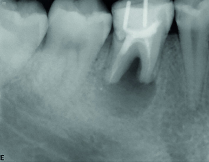
Fig. 16a: Pre-op periapical radiograph.
Fig. 16b: Radiograph at the one-year recall.
Fig. 16c: Radiograph at the 11-year recall.
Fig. 16d: Clinical image after 11 years of function.
Fig. 17a: Clinical images: Extraction site of fractured tooth #47.
Fig. 17b: Clinical images: Tooth #48 positioned in the extraction site.
Fig. 17c: Clinical images: Two weeks after surgery, before suture removal.
Fig. 17d: Clinical images: Eight-year recall.
Fig. 18a: Radiographs: Pre-op panoramic.
Fig. 18b: Radiographs: Immediately after transplantation.
Fig. 18c: Radiographs: One-month recall, after endodontic treatment.
Fig. 18d: Radiographs: Eight-year recall.
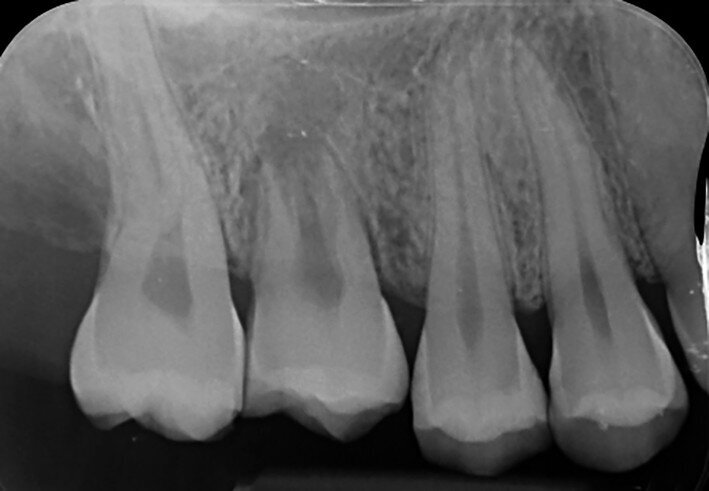
Fig. 19a: Radiographs: Pre-op periapical.
Fig. 19b: Radiographs: Immediately after transplantation.
Fig. 19c: Radiographs: One-year recall.
Fig. 19d: Radiographs: Two-year recall.
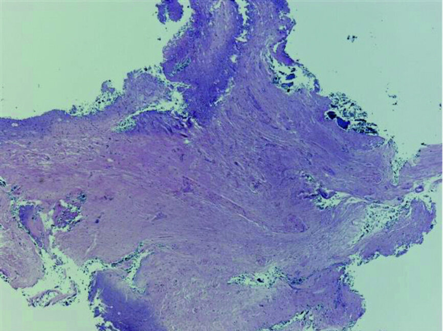
Fig. 20: Tissue removed from the endodontic space three months after transplantation (H&E stain; 2× magnification).
Fig. 21: Tissue removed from the endodontic space three months after transplantation (H&E stain; 4× magnification).
Indications
The first permanent molars are very prone to caries because of their anatomical structure, with deep pits and fissures, and early eruption in the mouth. They sometimes need to be restored very early, and the standard of care is often suboptimal. Therefore, in adolescence, it may happen that they become chronically infected and non-restorable. Extraction is mandatory, but the patient is often too young for an implant or a three-unit fixed dental prosthesis. Waiting means mesial migration of the second and third molars, and perhaps extrusion of the maxillary molars. Even worse, space maintainers have a high failure rate. Consequently, hopeless first molars in young patients are among the most suitable and most frequent indications for third molar autotransplantation. Endodontically compromised or non-restorable second molars are another indication. Autotransplantation from premolars to lateral or frontal regions is a procedure that has been in use in the Scandinavian countries since the end of the 1950s. [8] This technique can be used also in the case of ectopic maxillary canines.
Preoperative factors
Favourable prognostic factors include a young age (15–25 years old), a donor tooth with an open apex and root length ranging from two-third to complete development, possibility of atraumatic extraction and repositioning of the donor tooth (root morphology, position and size of the crown), suitable recipient site conditions (absence of inflammation, and good bone volume and quality), employment of a suitable protocol (atraumatic technique, minimal extraoral time, type of stabilisation, adequate follow-up, and timing of the eventual endodontic treatment). The key factor is the healing of the periodontal ligament. Periodontal ligament remnants on both sides of the wound are a favourable condition. Transplantation of a tooth into a newly created socket means that periodontal remnants are only on one side, the one without vascularisation, and so the likelihood of success is reduced. The ideal recipient site should be free of inflammation, but a hopeless tooth scheduled for extraction often presents with a periapical lesion.
The authors’ opinion is that a balance of preoperative factors should guide the practitioner in making the best clinical decision. When most prognostic criteria are met, such as young age, good general health, shape of the third molar roots, keratinised tissue and ease of extraction, the presence of inflammation at the recipient site can be tolerated. This approach is suggested by Shim et al., [9] while Nimčenko et al. suggest extraction of the diseased tooth two weeks before transplantation. [10] This approach, however, multiplies the costs and discomfort. If the balance of preoperative factors is positive, the authors of this paper prefer to carefully extract the hopeless tooth and transplant the donor tooth immediately after bleeding has stopped.
Technique
Dental autotransplantation is effectively a planned avulsion and replantation in the least traumatic way. Local anaesthesia is administered and prophylactic antibiotic administration is also recommended. Preparation of the recipient site includes extraction of any root remnants and debridement, and then the donor tooth is atraumatically extracted. A loose fit of the transplanted tooth in its new socket is generally recommended. In some cases, when the donor tooth fit is satisfactory, no further preparation of the new socket is required and the donor tooth is directly placed into the fresh extraction socket. If this is not the case, an atraumatic preparation of the new socket using surgical burs or implant drills is performed. The transplanted tooth is then tried in the recipient socket and relative adjustments are made if needed. In the meantime, the tooth is kept in the donor socket or in saline solution. The transplanted tooth should be placed slightly below the occlusal plane. Once proper fit and position have been achieved, the transplanted tooth is fixed with horizontal mattress sutures crossing over the occlusal plane. Postoperative care consists of oral hygiene and dietary instructions; a recall appointment is usually scheduled for after seven to 14 days for the removal of the sutures.
Follow-up
The transplanted tooth is positioned in infraocclusion, and eruption occurs during healing; subsequently, the tooth makes contact with the opposite arch. This is a sign of periodontal healing. In not entirely successful cases, a partial ankylosis develops, preventing the eruption. Some restorative work may be needed to take care of the occlusion and eventually of proximal contacts. A complication is root ankylosis with resorption, but also in these unsuccessful cases, most often the tooth is functional for many years, and eventually an optimal implant site develops.
In teeth with open apices, after the transplant, the root formation will continue and the revascularisation will lead to the obliteration of the pulp, which can be observed on radiographs as part of the healing process. [11] The tooth remains vital, but not sensitive, except for the proprioception of the periodontal ligament. Clinically, a recall is needed at one week to check suture stability, at two weeks for suture removal, after two to three months for endodontic treatment, at six months, at one year for radiographic follow-up and at two years for radiographic follow-up.
Case series
Clinical Case 1
A 47-year-old male patient in a good medical condition and a non-smoker was referred to our dental practice for endodontic retreatment of the right maxillary second molar. The dental history revealed that the tooth had been endodontically treated three months before because of acute pulpitis. After the treatment, the patient complained of pain on chewing. Antibiotics and a non-steroidal anti-inflammatory drug were prescribed, but the pain remained. After a month, a sinus tract appeared. The tooth was retreated in another practice without success. The clinical inspection revealed the presence of a sinus tract near the apical region of tooth #17. The tooth had been prepared for a full crown, but was without even a temporary crown, and the access cavity had been closed with temporary filling material. Cracks were evident on the buccal and mesial surfaces. Periodontal probing showed a deep pocket (> 12 mm) on the distal aspect of the root trunk (Figs. 1 & 2). The periapical radiograph showed a radiolucency between the roots of the second and third molars. The radiographic appearance of the endodontic treatment was good, without clear evidence of periapical radiolucencies (Fig. 3). A perforation of the pulp chamber floor was suspected. A CBCT scan was performed (Figs. 4–7), and it confirmed the suspicion of perforation, along with the presence of a large periradicular radiolucency and an unfavourable root shape.
The treatment plan was discussed between the authors of this paper. According to the prognostic classification of Gorni and Gagliani, it was a tooth with a modified anatomy due to previous endodontic treatment and with a 47 per cent possibility of successful retreatment. [12] The prognosis is dependent on the presence of bacterial infection of the perforation site, and successful treatment depends mainly on immediate sealing and prevention of infection; perforation of the furcal region of molars is especially troublesome because this causes considerable mechanical damage. [13] In this case, bacterial infection had been present for almost one year. The prognostic factors did not recommend any retreatment attempt, and the surgical option was ruled out because of anatomical considerations. However, the root morphology, position and size of the crown, good bone volume and quality, and possibility of atraumatic extraction and repositioning of the donor tooth recommended avulsion and transplantation of the adjacent third molar. After a discussion with the patient, a detailed informed consent form was signed and the procedure was scheduled.
After local anaesthesia with 2 per cent mepivacaine with 1:100,000 adrenaline, the right maxillary second molar was atraumatically extracted. Initially with a size 15c surgical blade, the periotomy was realised and then the tooth was extracted after separating the roots to avoid unnecessary trauma to the alveolar bone. Then the donor right maxillary third molar was extracted after periotomy as described and transplanted into the adjacent site. Because of the slight differences in the root anatomy, it was necessary to remove the intraradicular bone septum of the receiving site to al- low tooth positioning, and a odontoplastic of the donor tooth crown was performed to maintain it not in occlusion. An antibiotic (amoxicillin/clavulanic acid, 1 g, by mouth twice a day for five days) was prescribed, along with rinses with 0.2 per cent chlorhexidine. The tooth was keep stable with sutures (Fig. 8). A periapical radiograph was taken (Fig. 9). At the suture removal at two weeks, the tooth showed good stability, and positive adaptation of the soft tissue was observed (Fig. 10). At four weeks, the tooth was stable and the soft tissue looked healthy (Fig. 11). The patient did not show any adverse effects and stated that the tooth was fully functional. Examination of the avulsed second molar showed the extent of the perforation (Figs. 12 & 13).
Clinical Case 2
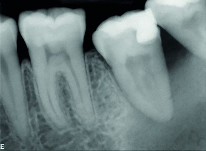
The left mandibular second molar of a 35-year-old female patient had been compromised because of a vertical root fracture and a large periapical lesion was present. After explanation and informed consent, the treatment was scheduled. The right mandibular third molar was preferred as a donor to the left mandibular third molar because of a more compatible anatomy and for an easier stabilisation. After local anaesthesia of both the donor and the recipient sites with 2 per cent mepivacaine with 1:100,000 adrenaline, the left mandibular second molar was extracted and the alveolus debrided. Then the donor tooth was atraumatically extracted, quickly repositioned in the recipient site and stabilised with sutures at about 1.5–2.0 mm of infraocclusion. An antibiotic (amoxicillin/clavulanic acid, 1 g, by mouth twice a day for five days) and a non-steroidal anti-inflammatory drug (ibuprofen, 600 mg, by mouth twice a day for five days) were prescribed, along with rinses with 0.2 per cent chlorhexidine. The sutures were removed after two weeks and endodontic treatment was performed after three months. The periapical lesion healed and the tooth was fully functional after 12 years (Figs. 14a–d & 15a–d).
Clinical Case 3
A right mandibular first molar of a 16-year-old female patient with heavy structural damage was extracted after explanation, informed consent and a mandibular block with 3 per cent mepivacaine. The receiving site was debrided, and the right mandibular third molar was atraumatically extracted, positioned in the alveolus and stabilised with sutures. An antibiotic (amoxicillin/clavulanic acid, 1 g, by mouth twice a day for five days) and a non-steroidal anti-inflammatory drug (ibuprofen, 600 mg, by mouth twice a day for five days) were prescribed, along with rinses with 0.2 per cent chlorhexidine. The sutures were removed after two weeks and the endodontic treatment was performed after two months. The tooth was still in full function after 11 years (Figs. 16a–d).
Clinical Case 4
A 23-year-old female patient presented with a vertical root fracture of tooth #47. Tooth #48 was transplanted to site #47. The tooth was fully functional after eight years (Figs. 17a–d & 18a–d).
Clinical Case 5
A 16-year-old female patient required extraction of a maxillary molar. Tooth #18 was transplanted to site #16. Root development was still continuing after two years (Figs. 19a–d).
Pulp histology and necessity of endodontic treatment
Full development of the root can be expected when surgery is performed under ideal circumstances and Hertwig’s epithelial sheath is preserved; moreover, it depends on the root length at the moment of transplantation. [14] Teeth in the early stages of root development show less post-transplantation root growth than those with more mature roots, but incompletely formed apices. [15]Pulp regeneration and revascularisation are expected when the apical foramen displays at least a diameter of 1 mm radiographically. [16] Obliteration of the root canal is to be expected, owing to ingrowth of connective tissue. When roots are completely developed, root canal therapy is indicated. [17] In one of our cases, pulp histology was performed on the tissue extracted from root canals, and connective tissue with low vascularity was found (Figs. 20 & 21).
Conclusion
The advantage of autotransplantation over implants is that it is a biological replacement, in which a vital periodontal ligament remains. This makes it possible to move a transplanted tooth orthodontically after the operation and to effect bone regeneration if necessary. In contrast to implants, a transplanted tooth normally erupts in harmony with the neighbouring teeth during further growth and development. The surrounding gingivae and interdental papillae are thus retained.
Autotransplantation can be considered an established treatment option with very high success rates. In addition to moving developing teeth, the autotransplantation of fully formed teeth could be considered an alternative to implant placement when suitable donor teeth are available.
Editorial note: A list of references is available from the publisher. This article was published in roots - international magazine of endodontics No. 03/2018.
Tags:
GOTHENBURG, Sweden: In his book The Nordic Guide to Living 10 Years Longer, Dr Bertil Marklund, a general medical practitioner and an adjunct professor at ...
In recent years, dental implants have emerged as a pivotal advancement in dentistry, offering a popular solution for replacing natural teeth lost owing to ...
A vertical root fracture (VRF) is a longitudinally oriented fracture of the root that, depending on its cause, can originate from the apex and propagate to ...
Implant-prosthesis systems have continuously evolved regarding osseointegration, implant size reduction and long-term predictability results, guided by the ...
HAIPHONG, Vietnam: A new case report has demonstrated what a conservative prosthetic pathway can achieve when a patient with a relatively complex anterior ...
In addition to many other specialties, the field of prosthodontics will be addressed in 3Shape’s upcoming 24-hour webinar marathon. Dr Jonathan Ng, who ...
Objective: The objective of this article is to describe the successful management of an apicomarginal defect of a maxillary lateral incisor with a bone ...
Besides adequate knowledge of root canal morphology in general, it is of utmost importance to evaluate each individual case for aberrant anatomy and to ...
Broken file management is one of the most challenging parts of endodontic treatment. Regardless of whether the clinician is faced with a retreatment ...
COLOGNE, Germany: Deep caries is the most common reason patients visit the dentist, and one in three patients present with a deep cavity. Pulp exposure is ...
Live webinar
Sun. 3 May 2026
12:00 pm EST (New York)
Dr. Rickard Brånemark MSc, MD, PhD, Dr. Robert Gottlander DDS
Live webinar
Sun. 3 May 2026
8:00 pm EST (New York)
Live webinar
Tue. 5 May 2026
10:00 am EST (New York)
Live webinar
Tue. 5 May 2026
12:00 pm EST (New York)
Live webinar
Tue. 5 May 2026
1:00 pm EST (New York)
Dr. Maximilian Dobbertin M.Sc
Live webinar
Tue. 5 May 2026
3:00 pm EST (New York)
Live webinar
Wed. 6 May 2026
1:00 pm EST (New York)
To post a reply please login or register