Dental implants are widely accepted as a successful method for replacing missing teeth. The success of dental implant treatment depends on many factors, such as implant design, surgical technique, bone quality and patient factors. The aim of this case report is to present a step-by-step description of the implant treatment and restoration of a patient who had undergone extraction of a maxillary right first molar and second premolar, from the initial osteotomy preparation to the final restoration.
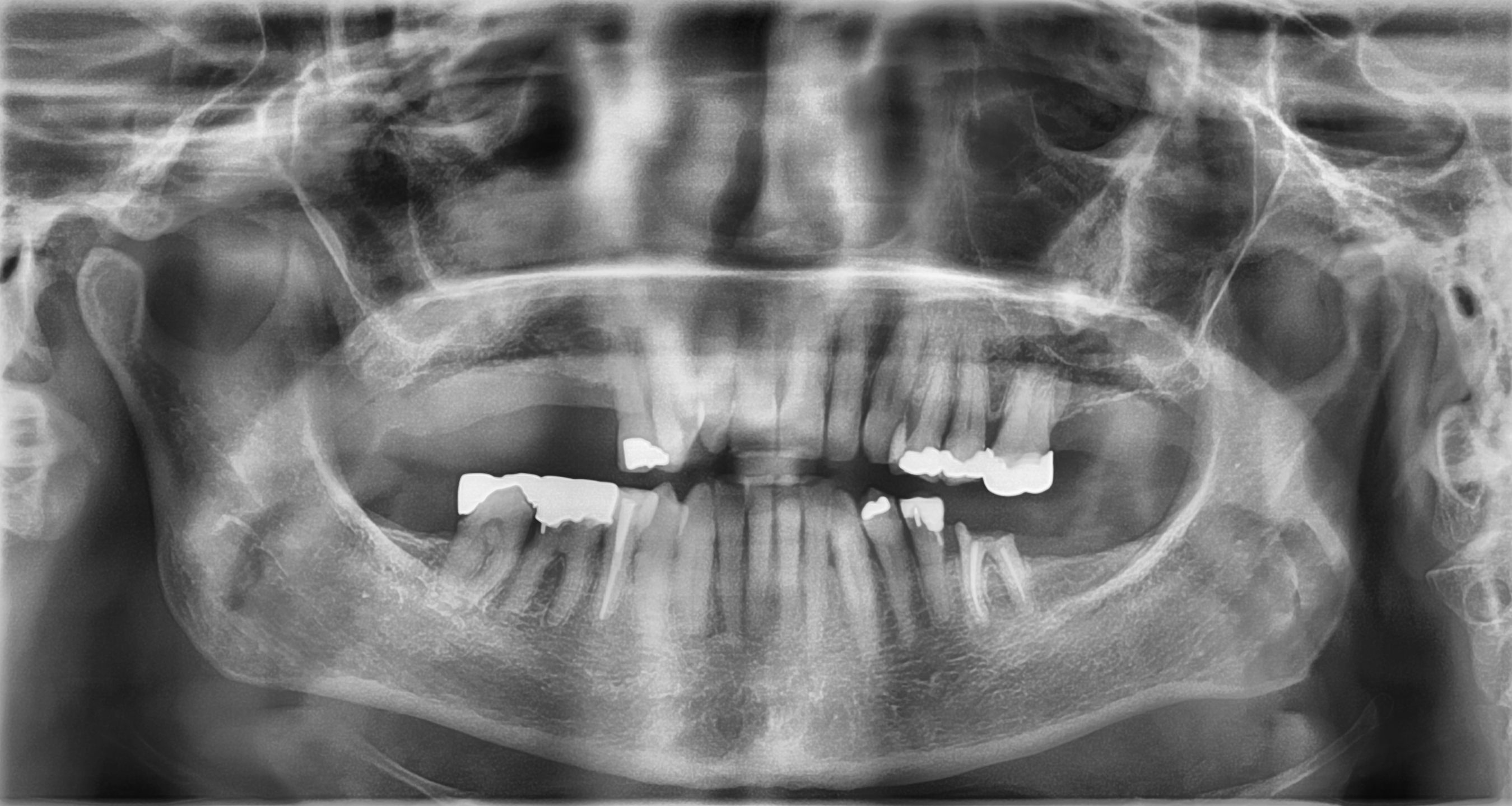
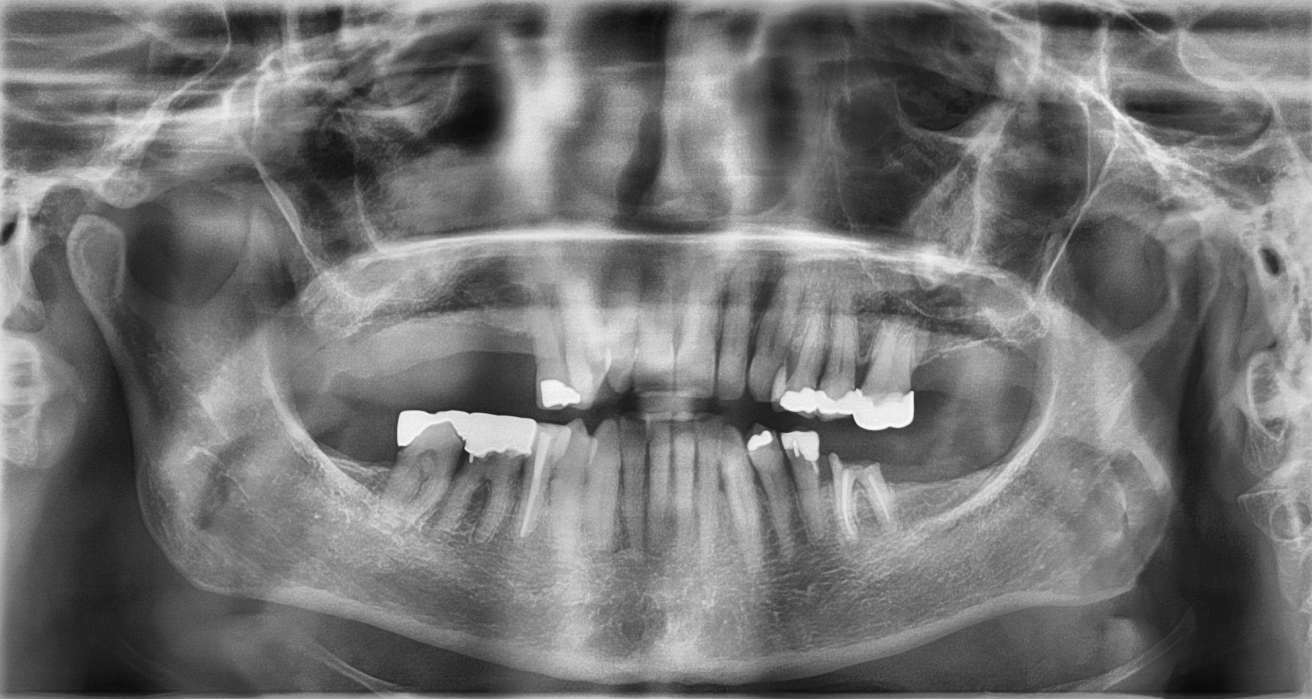
Fig. 2: Pre-op radiographic assessment.
Case presentation
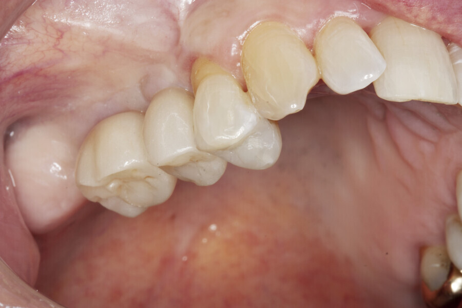
A 64-year-old female patient presented to our practice with a heavily restored dentition. Her failing maxillary right first molar and second premolar had been extracted by her general dental practitioner (Fig. 1), leaving an unbounded edentulous area. Radiographic assessment indicated that there was ample bone depth in the posterior maxilla to allow for satisfactory implant placement (Fig. 2). An implant solution was provided using two individual screw-retained crowns supported by two OmniTaper EV implants (Dentsply Sirona) and using a digital workflow with Primescan and Atlantis (Dentsply Sirona).
A full-thickness envelope flap was raised with relieving incisions, and the initial small round guide drill was used to mark the implant position. The site was enlarged with OmniTaper drills of different diameters, following the recommended drilling protocol. The initial osteotomy preparation was performed with a 2mm diameter OmniTaper drill at no more than 1,500 rpm and with copious external irrigation with saline according to the surgical protocol (Fig. 3). An OmniTaper EV 3.8 × 11.0 mm implant was placed in position #15 using the TempBase driver (Fig. 4). Both OmniTaper EV implants placed with the help of the preassembled TempBase abutments nicely aligned in positions #15 and 16 (Fig. 5).
Next, the large quantity of autogenous bone collected with the disposable BoneTrap (Dentsply Sirona) during surgery was used to augment the small bone fenestration (Figs. 6 & 7), and Symbios Xenograft Granules were layered over the autogenous bone (Fig. 8). Finally, Symbios Collagen Membrane SR (15 × 20 mm) was trimmed to shape to complete the guided bone regeneration procedure (Fig. 9). The wound was closed with PGA sutures (Fig. 10), and radiographic evaluation was performed to verify the implants postoperatively (Fig. 11). Three months later, medium Healing Abutments EV were placed (Fig. 12).
Fig. 3: Full-thickness envelope ap and direction indicators after initial preparation with the 2 mm diameter OmniTaper drill.
Fig. 4: Placement of the OmniTaper EV implant in position #15 using the TempBase driver.
Fig. 5: Both OmniTaper EV implants placed with the help of the preassembled TempBase abutments nicely aligned in positions #15 and 16. Implant–abutment connection size of medium indicated in yellow.
Fig. 6: Use of the BoneTrap to augment the small bone fenestration.
Fig. 7: Large quantity of autogenous bone collected from the BoneTrap.
Fig. 8: Symbios Xenograft Granules layered over the autogenous bone.
Fig. 9: Symbios Collagen Membrane SR trimmed to shape to complete the guided bone regeneration procedure.
Fig. 10: Passive primary closure with PGA sutures.
Fig. 11: Post-op radiograph of the implants.
Fig. 12: Healing Abutments EV placed at three months after initial surgery.
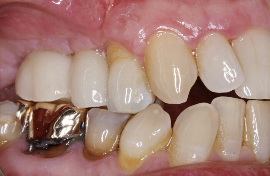
A digital impression using an intra-oral scanner (Primescan) was then captured using the Atlantis IO FLO for a digital restorative workflow (Fig. 13). An Atlantis CustomBase solution, consisting of an Atlantis crown, an Atlantis abutment and an Atlantis abutment screw, was fabricated for each implant and tried in, and no adjustments were needed (Figs. 14 & 15). After seating, a radiographic evaluation was performed to verify the final restorations (Fig. 16). The final restorations showed excellent soft-tissue adaptation and an aesthetic outcome (Figs. 17 & 18). The patient was extremely satisfied with the outcome of the treatment and the fixed restorations.
Fig. 13: Atlantis IO FLOs in situ ready for the Primescan digital impression.
Fig. 14: Design of Atlantis abutments and zirconia crowns.
Fig. 15: Well-fitting screw-retained Atlantis CustomBase abutments and zirconia crowns tried in.
Fig. 16: Radiograph to verify correct seating of the restorations.
Fig. 17: Screw access holes sealed and amalgam in tooth #14 replaced with composite.
Fig. 18: Final restorations in situ.
Conclusion
This case report highlights the successful placement of OmniTaper EV implants in a patient with a heavily restored dentition. The use of an intra-oral scanner and impression components for the prosthodontic and technical digital workflow allowed for precise planning and execution of the treatment plan. The use of the OmniTaper drill system allowed for efficient and predictable placement of the implant.
CHARLOTTE, N.C., US: Dentsply Sirona and Siemens Healthineers have announced that their dental MRI system, MAGNETOM Free.Max Dental Edition, has received ...
Dentsply Sirona, the world’s largest manufacturer of professional dental products and technologies, has adeptly positioned itself as the leading force in ...
The aim of this article is to present a case of single-tooth prosthetic restoration in the aesthetic zone step by step. The patient was referred to our ...
CHARLOTTE, N.C., US: Dentsply Sirona, the world’s largest manufacturer of professional dental products and technologies, in partnership with Smile Train,...
During the 2024 Implant Solutions World Summit, held this month in Miami in the US, DTI had an opportunity to talk to Tony Susino, group vice president of ...
Held in January for the fourth time, Dentsply Sirona World Dubai has established itself as Dentsply Sirona’s flagship event for the Middle East, bringing ...
CHARLOTTE, N.C., U.S.: Dentsply Sirona welcomed a group of female dentists and CEREC owners to the first EPIC Women’s Dental Meeting, held in Charlotte on...
As a clear aligner system that requires little to no refinement leveraging, SureSmile was a much-discussed topic at Dentsply Sirona’s recent DS World ...
3D–printing technology is becoming increasingly tailored for dentistry, and it enables dental professionals to do more with their time while catering for...
Education
Live webinar Tue. 26 May 2026 12:00 pm EST (New York)
To post a reply please login or register