In the present case report, a new method that allows impression taking of implants inserted at a steep angle is presented. The use of implants for the rehabilitation of the partially or fully edentulous patient has become a routine treatment modality. Improvements in the field of implant surgery and in implant prosthetics allow for functionally and aesthetically satisfying treatment results in the vast majority of cases.[1,2] However, implants may have been placed at an incorrect angle or in excessive proximity to another tooth or the natural teeth. Although rather rare, these situations render impression taking and the consequent restoration of the placed implants difficult.[3,4] In the present case report, a method to allow for treatment in such a situation is described.
Case report
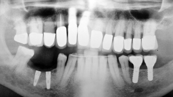
A 60-year-old male patient reported to our office for restoration of two implants placed in regions 29 and 30 three months earlier at a different office (Fig. 1).
According to the records obtained from the previous treating dentist, a surgical guide was not used when placing the implants.
Implant 29 had been placed at an inadequate angle. Owing to the angulation of the implant, the simultaneous placement of two impression posts was not possible, rendering it impossible to take an impression (Fig. 2).
Since the implant was placed in proximity to the inferior alveolar nerve, removal of the integrated implant was not advisable.
The following approach was used to solve this problem:
- Implant 30 presented with a minor mesial tilt. Therefore, a prefabricated impression post, together with the corresponding impression coping, could be placed (Fig. 3).
- Various prefabricated angulated abutments were tried on implant 29. An abutment with a 25-degree angle was chosen because it was comparatively parallel to the impression post on implant 30 (Figs. 3 & 4).
- The selected abutment was scanned and an impression coping was fabricated from non-precious metal (cobalt–chromium alloy; Zenotec NP, Wieland Dental) using CAD/CAM technology (Fig. 5). The coping was covered with a thin layer of resin (PATTERN RESIN, GC) and small spheroids were modelled coronally, labially and lingually to increase retention (Fig. 6).
- The impression post, together with the coping, was placed on implant 30. The 25-degree angulated abutment, functioning as an impression post, together with the coping, was placed on implant 29 (Fig. 7).
- An impression was taken using a polyether material (Impregum, 3M ESPE; Fig. 8).
- Two custom abutments were fabricated, as well as two individual porcelain-fused-to-metal ceramic crowns (Figs. 9 & 10).
- The abutments were placed on the implants using a custom-made key and torqued to 35 Ncm (Fig. 11). The crowns were then cemented on to the abutments using provisional cement (Figs. 12 & 13).
embedImagecenter("Imagecenter_1_2212",2212, "large");
Conclusion
The method described allows for the successful restoration of malpositioned implants. However, proper treatment planning should precede any implant placement to guarantee the ideal position and thus eliminate any additional treatment steps.
Editorial note: A complete list of references is available from the publisher. This article was published in cosmetic dentistry international No. 01/2015.
CAMBRIDGE, Mass., U.S.: Hydrogen embrittlement causes sudden, costly failures of metal components across a wide range of industries. Researchers from the ...
SEOUL, South Korea: The history of dental implantology dates back to ancient times, yet researchers are still trying solve a number of issues, such as ...
WAKŌ, Japan: Mimicking the adhesive properties of mussels, which are able to form a tight bond with smooth surfaces, scientists from the RIKEN research ...
VIENNA, Austria: An increasing number of coating materials, including some for use in dentistry, are cured with light. Yet, homogeneous, custom polymer ...
The widespread use of intraoral optical impressions and constant improvements in dental computer-aided design (CAD) software today allow the ...
ANN ARBOR, Mich., US: As the number of dental implants placed globally continues to rise, so too does the clinical significance of understanding ...
KHARTOUM, Sudan/LAS VEGAS, US: Accurate impression is crucial to the long-term success of dental implants since inaccuracies or errors occurring at any ...
LOS ANGELES, U.S.: Recent studies showing an increase in patients with periodontitis, as well as studies linking it with Alzheimer’s disease, have led to ...
BERLIN, Germany: On 6 January 2021, the CeramTec Group, a world innovation leader for advanced ceramics, was awarded the Certified Production Quality seal ...
SACRAMENTO, Calif., U.S.: Through science, our ability to decode the past has continued to improve. In another advancement that will help archaeologists ...
Live webinar
Wed. 17 December 2025
9:00 am EST (New York)
Prof. Hani Ounsi DDS PhD FICD, Dr. Amr Ghanem
Live webinar
Wed. 17 December 2025
4:00 pm EST (New York)
Dr. Melissa Vettraino Bachstein DDS
Live webinar
Thu. 18 December 2025
11:00 am EST (New York)
Live webinar
Mon. 22 December 2025
1:00 pm EST (New York)
Live webinar
Wed. 14 January 2026
12:00 pm EST (New York)
Dr. Théo Laplane, Dr. Robert Gottlander DDS
Live webinar
Fri. 16 January 2026
12:00 pm EST (New York)
Live webinar
Mon. 19 January 2026
1:00 pm EST (New York)
Philipp Kopp, Michael Seeber
To post a reply please login or register