Dr Marco Tudts is a senior lecturer at Ghent University in Belgium and maintains a private clinic with a focus on aesthetics and complex rehabilitation. (All images: edelweiss dentistry)
At this year’s International Dental Show (IDS), Dr Marco Tudts, a renowned aesthetic and prosthetic dentist from Lier in Belgium, shares his insights on the revolutionary edelweiss CAD/CAM BLOCKs. Drawing on decades of experience in complex dental rehabilitations, he offers a glimpse into how these blocks are transforming his practice.
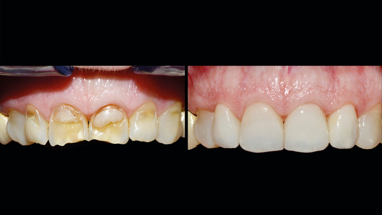
Dr Tudts, what motivated you to transition to edelweiss CAD/CAM BLOCKs?
I was searching for a material that offered exceptional aesthetics while mimicking the natural mechanical properties of teeth. Zirconia, which I used extensively in the past, often caused issues such as fractures in underlying teeth or implants due to its excessive rigidity. Edelweiss BLOCKs stood out as they combine the aesthetics of materials such as e.max with a softer, tooth-like quality. This makes them ideal for preserving the integrity of natural teeth and implants over time.
What advantages do edelweiss BLOCKs offer?
The main advantages are their biomimetic properties and straightforward application. Designed to mimic the mechanical behaviour of natural teeth, they reduce the risk of fractures or wear on adjacent structures. Additionally, their ease of use simplifies workflows. After milling, the blocks can be polished with a goat hair brush. They can then be placed directly, eliminating the need for complex glazing or sintering processes.
This time efficiency is a game-changer for chairside dentistry. For example, I can complete three or four crowns in the time it takes to finish one using traditional ceramic blocks.
How do edelweiss BLOCKs support minimally invasive dentistry?
Edelweiss BLOCKs align with minimally invasive dentistry by preserving natural tooth structure. Their mechanical properties allow restorations to function harmoniously with the remaining tooth structure, reducing the need for aggressive preparation. This approach enhances patient outcomes and extends the longevity of restorations.
How do you ensure the long-term performance of edelweiss BLOCKs in your practice?
In my practice, we follow a structured six-month recall protocol, using clinical photography and intra-oral scans to monitor restorations. Over the past five years, edelweiss BLOCKs have demonstrated reliable performance in a multicentre immediate loading implant study. These follow-ups not only ensure patient satisfaction but also provide valuable data for refining our techniques.
“Over the past five years, edelweiss BLOCKs have demonstrated reliable performance in a multicentre immediate loading implant study.”
Could you share some insights into the development of edelweiss BLOCKs?
Edelweiss BLOCKs were developed to address the limitations of traditional materials such as zirconia, ceramics and composites. By combining the best features of these materials, the result is a monolithic solution that excels in strength, aesthetics and natural integration. This innovation supports modern dental practices by being both effective and efficient.
What role does IDS 2025 play in showcasing edelweiss BLOCKs?
IDS 2025 provides a unique platform to explore cutting-edge dental technology. At the edelweiss booth, visitors can watch hands-on demonstrations and gain a better understanding of how these blocks integrate into everyday workflows. It is also a great opportunity to exchange ideas with peers and learn about the real-world applications of the material.
Any final thoughts for dentists considering edelweiss BLOCKs?
Edelweiss BLOCKs represent a significant advancement in restorative dentistry. They simplify workflows, enhance aesthetics and align with minimally invasive treatment principles. For dentists looking to improve clinical outcomes and efficiency, I highly recommend exploring this innovative material through literature, demonstrations or peer discussions.
The edelweiss dentistry CAD/CAM BLOCK uses laser sintering and vitrification to produce a state-of-the-art hybrid glass block.
The CAD/CAM BLOCK has the optical properties of natural enamel, giving the restorations made from it a lifelike appearance.
The edelweiss dentistry CAD/CAM BLOCK presents a breakthrough in the fabrication of CAD/CAM materials.
Editorial note:
Visitors to IDS can find more information on the edelweiss dentistry products at the company’s booth (B040/C041) in Hall 11.3.
Dr Desigar Moodley is a senior lecturer and researcher in the field of dental pulp stem cells and biomaterials at the University of the Western Cape in Cape...
“Although a wide variety of post and core restoration technologies and materials have been introduced into the dental market, there is no consensus on...
VIENNA, Austria: Beginning tomorrow, the International Osteology Symposium 2026 will bring together the global oral regeneration community at VIECON in ...
JINAN, China: 3D printing of lithium disilicate still faces challenges in achieving precise results. The material’s high transparency allows laser light ...
RIYADH, Saudi Arabia: While many artificial intelligence (AI) systems for dental diagnosis demonstrate high accuracy, their real clinical value depends on ...
To post a reply please login or register