The management of dental caries in children is necessary because caries is a progressive disease which can eventually damage the tooth and can be detrimental to the permanent teeth and the child’s general well-being. As outlined in this clinical case, edelweiss PEDIATRIC CROWNs are a simple solution which is aesthetic but also functional in providing an effective treatment option for the restoration of decayed primary teeth.
Introduction
The main objective of restorative treatment in the paediatric patient is to repair or limit the damage from caries, protect and preserve the tooth structure, and maintain pulp vitality whenever possible. Although stainless-steel crowns have proved to be successful in clinical treatment, the views of dental practitioners on the use of these crowns differ. The majority of general dental practitioners consider these crowns to be an impractical restorative technique for a busy daily practice and unsuitable for most children. [1] Guidelines on the use of stainless-steel crowns as set out by the British Society of Paediatric Dentistry have largely been ignored, as they do not reflect the views of the majority of general dental practitioners. [1] In recent years, because of increased demand for aesthetics, prefabricated zirconia crowns have become increasingly popular. Zirconia paediatric crowns, however, require a more aggressive approach with subgingival preparation margins to restore primary teeth, which can often lead to pulpal exposure because of the large pulpal chambers and high pulpal horns in primary teeth. Because zirconia crowns cannot be crimped, the clinician must prepare the teeth to fit the zirconia crowns. Therefore, an increase in preparation and fitting time is necessary. Furthermore, preparation of subgingival margins can often result in gingival haemorrhage, which can compromise the retention of zirconia crowns. [2]
To overcome the shortcomings of the above-mentioned treatment options, a minimally invasive, highly aesthetic paediatric crown was recently introduced to the market that is produced from a laser-sintered and -vitrified composite. [3] This process improves the flexural strength of the crown to 550 MPa and produces a highly aesthetic glossy surface. [3] Edelweiss PEDIATRIC CROWNs are prefabricated crowns that are contoured to mimic the anatomy of the primary tooth and are supplied in various sizes for both anterior and posterior teeth for different clinical situations.
Clinical case report
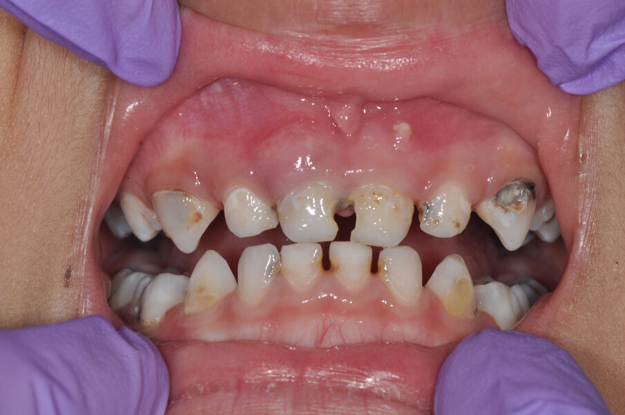
A 4-year-old girl was referred to the Children’s Dental Center in Gurgaon in India with the complaint of painful teeth when eating and the presence of unsightly maxillary anterior teeth. Clinical examination showed large carious lesions in the maxillary anterior teeth (Fig. 1). A radiographic examination showed pulpal involvement of caries in teeth #51 and 61 (Fig. 2).
The objectives of the treatment plan were first to alleviate pain and remove any pathology and then restore function and aesthetics. After rubber dam placement, routine endodontic treatment was performed on teeth #51 and 61 and the root canals were filled with Vitapex (Neo Dental), a resorbable calcium hydroxide-based paste with iodoform. Since aesthetics was a priority, edelweiss PEDIATRIC CROWNs were used to restore the four anterior teeth. Using a sizing gauge (supplied by the manufacturer) to determine the size, the appropriately sized crowns were selected (Fig. 3).
All caries was removed using a round diamond bur, and mesial and distal reduction were achieved with a fine tapered diamond bur to open the interproximal contacts and to begin circumferential reduction. Buccal and lingual reduction were achieved with a round-ended straight fissure diamond point. All margins and the extent of reduction were dictated by the caries and kept to a minimum in order to preserve as much tooth structure as possible. The margins were kept supragingival (Fig. 4).
The crowns were then checked for fit and prepared for the bonding procedure. The inside surfaces of the crowns were lightly roughened using a diamond football bur (RA 379), rinsed off and air-dried. Edelweiss VENEER Bond (Fig. 5) was applied to the inside of the crown and light-cured for 20 seconds.
The prepared tooth surface was etched with 37 per cent phosphoric acid for 10 seconds, and bonding agent was applied and light-cured for 20 seconds (Figs. 6 & 7). Edelweiss composite in Shade A0 was added to the inside of the crown and placed over the prepared tooth, the crown was seated firmly and excess composite was removed from the margins (Fig. 8). Incisal edges and labial inclination were then assessed, and final curing was achieved with 20 seconds of light curing (Fig. 9). A recall visit four months later showed no staining of the crowns and good gingival health (Fig. 10).
Fig.1: Caries associated with the four front teeth.
Fig. 2: Radiographic examination revealed pulpal involvement of caries in 51 and 61.
Fig. 3: Edelweiss Sizing Guide in small, medium and large size for crown size selection.
Fig. 4: Crown preparations with margins kept supra-gingival.
Fig. 5: Edelweiss Veneer Bond applied to inner surface of the pediatric crown, air dried and light cured.
Fig. 6: Tooth surfaces prepared with 37% phosphoric acid for 10 seconds.
Fig. 7: Bonding agent applied and light cured for 20 seconds.
Fig. 8: Excess cement removed from margins prior to final cure.
Fig. 9: Front teeth restored with edelweiss pediatric crowns.
Fig. 10: Four month follow up showed good gingival health and no discoloration of the crowns.
Fig. 11: Preoperative situation.
Fig. 12: Postoperative situation.
Discussion
Dental aesthetics and retention of the anterior teeth may influence proper psychological development in childhood at an increasingly younger age, particularly through interaction with other children. [4] This is evidenced by an increase in the demand for aesthetics, rather than function, in primary tooth restorations. [5] To satisfy this demand, the market has recently seen a shift away from stainless-steel crowns. Prefabricated zirconia crowns—such as NuSmile, Cheng Crowns and Kinder Krowns—are made of yttrium-stabilised zirconia, which is either milled or injection moulded. Zirconia crowns offer superior aesthetics compared with stainless-steel crowns. However, in vitro fracture load studies, such as by Townsend et al., [6] showed variation in crown thickness and fracture between the zirconia crowns: statistically significant differences were found between the forces required to fracture zirconia crowns by the three different manufacturers, and the increase in force correlated with crown thickness.6 The forces required to fracture the pre-veneered stainless-steel crowns were found to be greater than those required to fracture zirconia crowns made by any manufacturer. [6] With a flexural modulus of 20 GPa, the behaviour of edelweiss PEDIATRIC CROWNs is similar to that of the natural tooth structure. [3]
The edelweiss PEDIATRIC CROWNs imitate the form of natural primary teeth well and mimic the anatomy of the primary tooth. The mesial and distal margins of the edelweiss PEDIATRIC CROWNs follow the natural gingival margin of the primary teeth, minimising excessive tooth reduction and removing the need to take margins subgingival unless caries dictates extension. Furthermore, because of the minimal preparation needed, there is no risk of iatrogenic damage to pulp tissue of the primary tooth. These prefabricated crowns permit quick and safe treatment with maximum aesthetic results. Should retreatment be required, edelweiss PEDIATRIC CROWNs offer the advantage of being easy to remove, as they can be cut in a way similar to dentine.
The morphology of the edelweiss PEDIATRIC CROWN has similar cuspal features to that of a primary tooth, hence very little occlusal adjustment is needed. If it is needed, it can be done on the paediatric crown itself and not on the opposing tooth, thus preserving the natural tooth structure, unlike zirconia crowns, for which any occlusal adjustment has to be done on the opposing tooth, causing unnecessary damage to the opposing tooth. Furthermore, the natural abrasion of edelweiss crowns and the flexural modulus—similar to that of a natural tooth—may make these crowns more tolerable in the child’s mouth and kinder to the temporomandibular joints.
Conclusion
The edelweiss PEDIATRIC CROWN provides a simple and effective treatment option for the restoration of decayed primary teeth that is aesthetic but also functional, making it a superior alternative to both stainless-steel and zirconia crowns.
Editorial note: A list of references can be obtained from the publisher.
Tags:
MILTON, Ontario, Canada: Dental crowns are available in a variety of materials, making it difficult for dentists to decide which material will best restore ...
Dental technicians have so many different restorative materials and design and finishing concepts available to them that it can seem difficult to select the...
When dental zirconia evolved into a highly aesthetic material suitable for the production of restorations with a monolithic design or minimal labial ...
NEW YORK, U.S.: We, as dentists, have developed outstanding new technology in order to fashion beautiful smiles. The option to retain the natural dentition ...
Traditionally, the practice of dentistry has been a reparative model. We have waited for disease to express itself, and then repaired it. What if we could ...
Implant dentistry has undergone a revolutionary transformation with the advent of digital workflows. These advancements have significantly improved the ...
The widespread use of intraoral optical impressions and constant improvements in dental computer-aided design (CAD) software today allow the ...
An actor-turned-director came to our practice from www.denturewearers.com. He was seeking a solution to enhance and reconstruct his smile. Over the past ...
WINNIPEG, Canada: Treatment for dental cavities using silver diamine fluoride (SDF) could mean that fewer children would need to undergo complex dental ...
JINAN, China: 3D printing of lithium disilicate still faces challenges in achieving precise results. The material’s high transparency allows laser light ...
Live webinar
Tue. 19 May 2026
11:00 am EST (New York)
Live webinar
Tue. 19 May 2026
1:00 pm EST (New York)
Prof. Dr. med. dent. Ivo Krejci
Live webinar
Wed. 20 May 2026
7:00 am EST (New York)
Dr. Graham Carmichael BDSc (Hons), DClinDent (Pros), FRACDS, Dr. Robert Gottlander DDS
Live webinar
Wed. 20 May 2026
9:00 am EST (New York)
Live webinar
Wed. 20 May 2026
11:00 am EST (New York)
Live webinar
Wed. 20 May 2026
1:00 pm EST (New York)
Prof. Dr. med. dent. Tim Joda PhD, MSc, eMBA
Live webinar
Thu. 21 May 2026
12:00 pm EST (New York)
Dr. Leonardo Muniz DDS, MSC
Good evening sir, I would like to buy Edelweiss crowns for the primary anterior. Would like to know about its cost and size availability options.