Search Dental Tribune

Low implant insertion torque allows minimal bone loss: A multicenter two-year prospective study

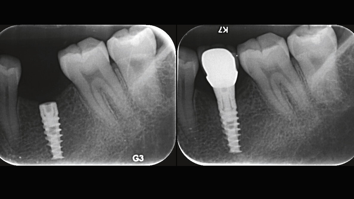
Left: SPI implant immediately after implantation surgery. Right: SPI implant 2 years after implantation surgery. (Image: Prof. Ofer Moses)
Dr. Yi Man et al.

Dr. Yi Man et al.

Mon. 3. September 2018

save

The aim of this multicenter prospective study was to evaluate the survival rate of implants after insertion using low torque (< 35 N cm), by recording measurements from resonance frequency analysis (RFA), probing pocket depths and changes in interproximal crestal bone level.

Materials and methods: This multicenter prospective clinical study was performed in partially edentulous subjects. The patients treated in the study received 1–4 SPI implants (Alpha-Bio Tec, Petah Tikva, Israel), which were loaded four months after implantation. Measurements of torque and RFA were recorded immediately after implant insertion. New RFA measurements were taken at the time of implant exposure surgery, prior to connection of the healing abutments. Baseline measurements of bone level were taken both directly and radiographically immediately after insertion and were compared with measurements taken during the two-year follow-up period.

Results: Of 88 treated subjects, 83 completed the two-year follow-up. Of 137 implants, five were lost. The survival rate after two years of follow-up was 96.5 percent and the mean marginal bone loss was 0.531 mm. The mean measurement for RFA at the time of implantation was 74.92 and this increased to 76.26 prior to insertion of the prostheses.

Conclusion: Within the limits of the study, implants inserted with low torque (< 35 N cm), displayed high survival rates with high RFA scores and minimal bone loss at the two-year mark after implantation.

Editorial note: The full article was published in the 2/2018 issue of the Journal of Oral Science and Rehabilitation.

Tags:
To post a reply please login or register
advertisement