Complex endodontic cases present a challenge for dental professionals. In this article, two experts describe how lasers can be used to manage such cases. (Image: Unai Huizi Photography/Shutterstock)
Treating molars has always been challenging for clinicians. The variety of anatomical configurations causes many difficulties during the instrumentation phase. Also from numerous studies, we know that the possibility of divisions of the root canal paths and lateral canals and the presence of apical deltas is very high.1–3
Although the main principle of root canal shaping was introduced in the 1970s by Herbert Schilder4 and the main goal remains the same, an increasing number of studies are demonstrating that the shaping procedure and positive pressure irrigation are insufficient at removing all the infected tissue and accumulated hard-tissue debris.5
Many techniques and devices have been introduced for enhancing the possibility of removing the accumulated hard-tissue debris from the root canal system and cleaning untouched walls and isthmuses. These range in cost from less expensive, for example manual dynamic activation with gutta-percha cones or low-frequency sonic activators like EndoActivator (Dentspy Sirona), to more expensive, such as ultrasonic tips like EndoVac (Kerr Dental) and high-frequency sonic activators like EDDY (VDW), and most expensive, such as Er,Cr:YSGG and Er:YAG lasers.6–17
The main goal of this article is to provide a series of case reports in which the most advanced activation of sodium hypochlorite by Er,Cr:YSGG (2,780 nm) and Er:YAG (2,940 nm) lasers allowed enhancement of the treatment outcome by removing infected tissue from canals that the clinicians were not able to shape and by removing calcified pulp tissue in double-curved canals, allowing the clinicians to achieve patency and to shape the root canal system with preservation of the peri-cervical dentine and without compromising the disinfection protocol.
Figs. 1a–c. (All images: Bartłomiej Karaś and Grzegorz Witkowski)
Case 1
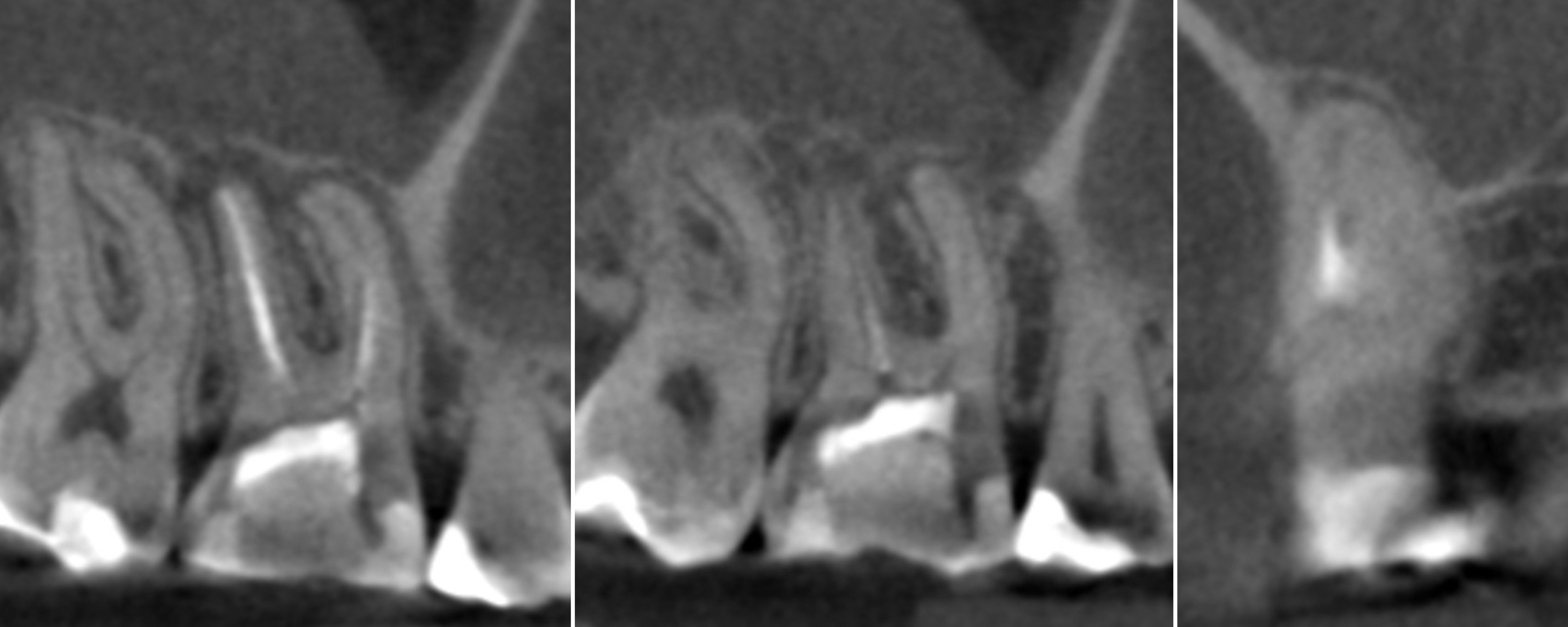
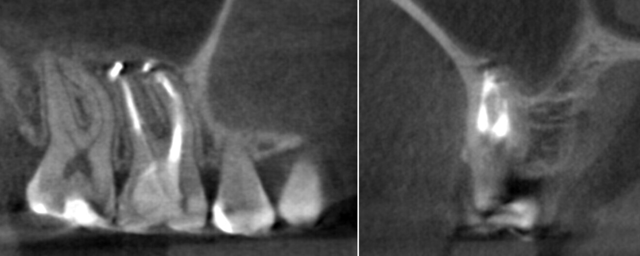
A 28-year-old female patient was referred to Dr Karaś’s office because the previous dentist was not able to locate the orifice of the second mesiobuccal (MB2) canal in tooth #16. Owing to her medical history, endodontic treatment was performed, the tooth being symptomatic. A CBCT scan was performed in order to examine the mesial root and create a treatment plan. The shape of the root and the widening of the periodontal ligament indicated a separate path and apical foramen of an MB2 canal. Also, the slice showing the palatal part of the MB root revealed a small path, suggesting the presence of an MB2 canal. There were also visible signs of inflammation around the apices of the MB and distobuccal (DB) root and in the membrane of the maxillary sinus (Fig. 1).
Under local anaesthesia, a dental dam was placed, and the field was sealed with liquid dental dam (RUBBER-DAM liquid, CERKAMED; Fig. 2). The temporary restoration was removed. The pulp chamber was irrigated with distilled water and sodium hypochlorite 5,25% activated with ultrasonic tips (Fig. 3). The first mesiobuccal (MB1), DB and palatal (P) canals were patent, so I was able to establish the working length with the C-PILOT file (VDW) and an apex locator (E-PEX, Eighteeth). The canals were shaped up to approximately two-thirds of the working length with the 25/0.07 Perfect Shape reciprocating file (Shenzhen Perfect Medical Instruments). The dentine above the orifice of the MB2 canal was removed using a diamond-coated ultrasonic tip (ED3D, Woodpecker), revealing an isthmus located between the MB1 and MB2 canals. Preparation of the orifice of the MB2 canal was possible only in the coronal third with a hand file (Fig. 4). The isthmus between both canals was removed for an additional 2 mm in depth also with the diamond-coated tips (Fig. 5).
Fig. 2
Fig. 3
Fig. 4
Fig. 5
Fig. 6
Fig. 7
The Less-Prep Endo enhanced irrigation protocol (this protocol was described in an article published inroots, issue 2/2022) was performed using the SkyPulse laser (Fotona) in the AutoSWEEPS (shock wave-enhanced emission photoacoustic streaming) mode. This allowed me to reach the middle third of the MB2 canal with C-PILOT files, and this was confirmed with a radiograph (Figs. 6 & 7). The flow of the irrigants was observed between the MB1 and MB2 canals. A crown-down procedure with the C-PILOT and Perfect Shape files was performed up to the established temporary working length. Owing to a lack of time, the patient was scheduled for another appointment. The tooth was temporarily restored with composite resin.
At the next appointment, a dental dam was placed after local anaesthesia, and the restoration was removed. The pulp chamber was rinsed with water and sodium hypochlorite 5,25% activated with the ED3D ultrasonic tip. The next step was to remove more dentine from the isthmus with help of the ED3D ultrasonic tips. After this procedure, a strip perforation in the orifice of the MB2 canal was observed (Fig. 8). At this stage, I decided not to remove more dentinal structure and to perform the Less-Prep Endo protocol one more time. After the enhanced irrigation procedure, the flow of the irrigants between the MB1 and MB2 canals became much more rapid. The MB1 and DB canals were shaped to working length with the 25/0.07 Perfect Shape file, and the P canal was shaped up to size 45/0.04 with Endostar E3 Azure files (Poldent). All the canals were irrigated with 5.25% sodium hypochlorite and 17% EDTA.
The MB2 canal was filled with an epoxy resin-based sealer using the squirting technique, and the MB1, DB and P canals were obturated with the continuous wave compaction technique with this sealer and warm gutta-percha (Fig. 9). The perforation was sealed with a mineral trioxide aggregate material (Fig. 10) and covered with composite resin (Fig. 11).
Fig. 8
Fig. 9
Fig. 10
Fig. 11
Radiographs at different angulations were performed, and these showed an additional path of the sealer in the apical part of the mesial root and a puff around the apex (Figs. 12 & 13).
Fig. 12
Fig.13
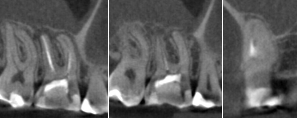
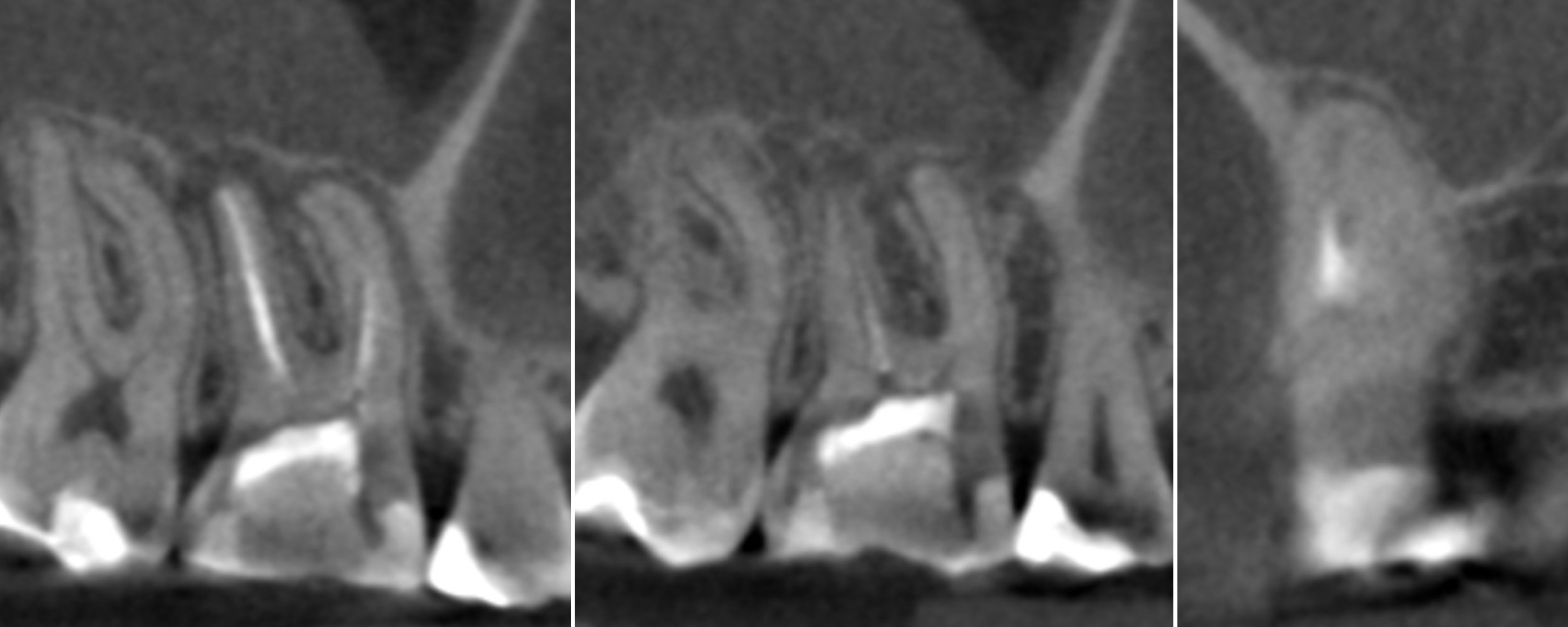
To confirm that the mesial root had been filled properly, the patient was referred for a CBCT scan. The examination revealed that the MB2 canal had been filled with the sealing material and that there was an isthmus between the MB1 and MB2 canals in the apical third of the root and two separate portals of exit (Fig. 14). The tooth was restored with composite resin, and the patient was referred for an indirect restoration with cusp coverage and scheduled for a recall appointment in six months.
At the recall appointment, the CBCT examination found no signs of inflammation. The tooth was asymptomatic, and the Schneiderian membrane was not enlarged (Fig. 15).
Fig. 14
Figs. 15a & b
Case 2
A 40-year-old female patient was referred to Dr Karaś’s office because tooth #47 was symptomatic and tender to percussion. During examination with a conventional radiograph, the referring dentist could not find any visible signs of the root canals, so he would not have been able to shape the root canals properly.
During the consultation appointment, a CBCT scan was performed. It revealed a small osteolytic lesion around the mesial root, suggesting the possibility of achieving patency in the root canals in the mesial root. Around the distal root, there were no signs of the lesion, which indicated that the mesial root was the cause of the symptoms. The radiographic examination also revealed a broken lentulo in the MB canal (Fig. 16).
Figs. 16 a & b
The patient was scheduled for the first appointment to remove the lentulo and scout the canals. After local anaesthesia and placement of the dental dam, the restoration was removed. In the orifices of all three root canals, Endomethasone N was present. This cement was removed with a U-file ultrasonic tip and sodium hypochlorite 5,25%. The tip of the lentulo was exposed. Unfortunately, the lentulo had broken not in the cement but in an unprepared part of canal, which probably had had vital pulp on the day of the treatment because the entire lentulo fragment was surrounded by calcified tissue and was hidden behind the coronal curvature. At this level, the decision was made to use constant flow of sodium hypochlorite 5,25% and laser activation for 10–15 minutes. The calcified tissue was dissolved, and the lentulo was removed. A periapical radiograph was performed to confirm that the entire fragment had been retrieved (Fig. 17). Owing to the gag reflex, this procedure was very difficult. After removing the broken instrument, 17% EDTA and sodium hypochlorite 5,35% was activated with SkyPulse in AutoSWEEPS mode in a few 15- to 20-second cycles, and patency was checked with a hand file. The periapical radiograph revealed that the file engaged deeper than the predicted length of the previous root canal filling (Fig. 18). The tooth was closed with a temporary composite restoration, and the patient was scheduled for a second appointment.
During the second appointment, sodium hypochlorite 5,25% was activated with SkyPulse in AutoSWEEPS mode for most of the treatment. It was very important that the laser tip that was placed below the root canal orifice but without touching the root canal walls. This is a very important modification of the techniques introduced by Giovanni Olivi. The standard technique of AutoSWEEPS activation requires activation of the irrigants with the laser tip above the orifice pointing in a different directions during the activation cycle. In the case of non-patent canals, placing the fibre below the orifice works in a much more effective way. After every five to six cycles of sodium hypochlorite, 17% EDTA was used. After every sequence of AutoSWEEPS activation, the canals became more patent in the deeper segments. C-PILOT files were used to enlarge the canal space. After reaching an additional 2–3 mm of the working length, the rotary file was used to enlarge the space above. This procedure may look like traditional crown-down scouting, but with AutoSWEEPS activation the hand files reached the deeper parts of the canal much more passively with watch-winding movements (30° clockwise and 30° anticlockwise) without using push–turn–pull movements (45° clockwise with constant pressure). In this case, the risk of creating false paths in curved canals is much smaller, and establishing the glide path is more predictable. Finally, patency in both mesial canals was reached and a periapical radiograph was performed to confirm this (Fig. 19). On the radiograph, it was clearly visible that both hand files had slightly bent into the S-shaped curvature, ensuring that the natural path of the canal was shaped. Despite very long irrigation with AutoSWEEPS activation, patency of the distal canal could not be achieved. Both mesial canals were shaped up to size 30/0.04 with Endostar E3 Azure files.
After irrigation with 5.25% sodium hypochlorite and 17% EDTA, the canals were filled with an epoxy resin sealer and warm gutta-percha using the continuous wave compaction technique. A periapical radiograph was performed to confirm obturation (Fig. 20). The pulp chamber was filled with composite resin reinforced with fibre posts, and the tooth was referred for final restoration with cusp coverage.
Fig. 17
Fig. 18
Fig. 19
Fig. 20
Case 3
A 56-year-old patient was referred to Dr Witkowski’s clinic for endodontic treatment of tooth #38. Owing to the anatomical situation and reduced possibility of mouth opening, a conventional approach was difficult. A radiograph was performed, and the anatomical structures were examined (Fig. 21). A treatment protocol was created.
An access cavity had already been created by the referring dentist. During visualisation of the pulp chamber (Fig. 22), remnants of the pulp were identified. In order to properly identify canal orifices, cleaning of the pulp chamber was necessary. This is standard protocol for every endodontic treatment, and it is very important in order not to transport debris from the pulp chamber to canal space. This procedure was done using an Er,Cr:YSGG laser with a wavelength of 2,780 nm (Waterlase, BIOLASE) and RFPT5-10 tip (Fig. 23). After this procedure, which should be done according to the protocol of 1 minute of continuous activation and 1 minute of rest (Fig. 24), the operator can start the instrumentation protocol.
Fig. 21
Fig. 22
Fig. 23
Fig. 24
Fig. 25
Fig. 26
Once the pulp chamber floor is clean (Figs. 25 & 26), the mechanical instrumentation with endodontic rotary instruments can be done. In this case, instrumentation was done only with one instrument, the 12.5/0.04 R-PILOT file (VDW; Fig. 27). The decision to use only this file was determined by the complexity of the anatomy and risk of instrument fracture within this root canal space. After instrumentation with the in–out technique—which offers numerous advantages—and copious irrigation as well as laser-assisted activation of the irrigants between strokes, a final irrigation and activation protocol was performed using the Er,Cr:YSGG laser and RFPT5-10 tip (Figs. 28 & 29).
The canals were then ready for obturation (Figs. 30 & 31) and were obturated with the VDW.1Seal bioceramic sealer (VDW) using the cavit piston technique (Figs. 32–34). After obturation, a final postoperative radiograph was performed (Fig. 35).
Through laser-assisted endodontics, the operator was able to properly irrigate and obturate lateral anatomy normally impossible to reach with mechanical instrumentation. Owing to the velocity of irrigants activated with the Er,Cr:YSGG laser, minimal preparation was necessary to achieve clinical success.
Fig. 27
Fig. 28
Fig. 29
Fig. 30
Fig. 31
Fig. 32
Fig. 33
Fig. 34
Fig. 35
Case 4
A 49-year-old patient was referred to Dr Witkowiski’s dental office for endodontic retreatment owing to a major problem with canal instrumentation and problems with location of the canal space in the distal aspect. Radiographic examination was performed (Fig. 36).
After removing the temporary restoration and lowering the walls of the cavity because of the biomechanics, it was attempted to reach the apical zone. Unfortunately, it was impossible to achieve patency in the distal root. For this reason, the use of laser-assisted endodontics was decided on.
After initial preparation of all accessible spaces with the R25 RECIPROC blue instrument (VDW) in the distal root until the file met with resistance, the irrigation protocol with laser assistance was followed. The mesial canals were prepared conventionally up to the apical zone to size 25/0.04 with VDW.ROTATE files (VDW).
After preparation of all accessible spaces, the final irrigation protocol with continuous irrigation with 5.25% sodium hypochlorite and continuous activation was performed using the Er,Cr:YSGG laser with the RFPT5-14 tip (Figs. 37 & 38). After the cleaning stage of the irrigation protocol (part of the “safe endo concept”), the root canal system was examined for any remaining debris (Figs. 39 & 40).
During this treatment, owing to the impossibility of mechanically instrumenting the apical area in the distal root, it was decided to make use of the cavit piston technique of obturation using VDW.1Seal (Figs. 41–43). After obturation (Fig. 44), radiographic examination was performed in order to confirm proper irrigation and proper 3D obturation of the root canal system (Figs. 45 & 46).
Fig. 36
Fig. 37
Fig. 38
Fig. 39
Fig. 40
Fig. 41
Fig. 42
Fig. 43
Fig. 44
Fig. 45
Fig. 46
Discussion
Development of new techniques and procedures in irrigation improves our everyday practice and outcome for the patient. Several approaches have been introduced, such as sonic and ultrasonic activation of irrigants, the GentleWave technology (Sonendo) and more recently laser-assisted activation. Despite the development of new technologies, our main challenge remains the anatomy of the tooth to be endodontically treated. Its complexity makes achieving the goal of proper disinfection difficult, especially in situations of retreatment.
Although lasers were introduced to dentistry in the 1960s, the treatment methodology, especially in endodontics, remained little changed for many years. There were many ideas for enhancing cleaning and disinfection using diode or Nd:YAG lasers. Introducing the Er,Cr:YSGG and Er:YAG lasers finally brought about a huge change to the approach of laser-assisted endodontics. This is possible thanks to the energy that is distributed around the root canal space and the very rapid movement of the irrigants that results. Thanks to this phenomenon, there is much better isthmus penetration and removal of accumulated hard-tissue debris.7, 8, 10 According to De Moor et al., removal of dentinal debris plugs is three times quicker compared with passive ultrasonic activation.8
The Er,Cr:YSGG laser with its 2,780 nm wavelength has a lower water absorption coefficient compared with the 2,940 nm Er:YAG laser and therefore better penetration depth in soft tissue. In a water-based environment, irrigants (which contain water too) can be forced into fast fluid movement from the cavitation effect. The Er,Cr:YSGG laser used in this article emits energy pulses of 60 μs. Bubble formation, expansion and shape are mostly dependent on the tip used. This pulse has less power in a single pulse than the Er:YAG pulse of 25 μs. However, there is no clear clinical proof that this is of clinical significance.
With the Er,Cr:YSGG laser, we can activate irrigants in several different scenarios. Typically, it is utilised with the RFT3 or RFT2 intra-canal tip; however, these tips are very thin and fragile. Another solution is activation with the tip from the pulp chamber. Especially in the case of a blocked canal, obliterated canal or canal impossible to instrument in the traditional way, the use of the RFPT5 tip is a good choice (Fig. 47). This tip is not a typical radial firing tip, but passes irradiation both radially and down the canal owing to the tip’s flat end (Fig. 48). This helps to create better irrigation and activation of the irrigant towards the apical zone. The operator should take into consideration that, owing to the construction of the tip, the technique used for preparation of the canal space should be modified in order to prevent possible extrusion of the irrigant.18
Fig. 47
Fig. 48
The PIPS (photon-induced photoacoustic streaming) and AutoSWEEPS modes available in the Er:YAG lasers developed by Fotona allow a clinician to activate irrigant in all the canals simultaneously, and the tip of the fibre is placed only in the pulp chamber above the orifices. Moreover, the available data shows that the rapid irrigant movement and bubble explosion occurs at the same time in all the root canal space, including in the apical area.19 It has also been proved that the estimated length of penetration into the lateral canals in both modes is more than 1 mm.20
There are different types of fibre tips that can be used for the activation protocol. The dedicated ones for PIPS and AutoSWEEPS are the PIPS and SWEEPS with diameters of 0.3, 0.4 and 0.6 mm flat-ended and radial fibre tips. They are very thin and vulnerable, so in the case of uncalcified canals, we prefer to use the conical sapphire 600/8 tip (Fig. 49), which also allows creation of rapid movement of the bubbles all around the root canal space and is more durable. However, in calcified canals, more energy can be delivered directly into the root canal, so the fibre needs to be longer and thinner. In such case, we prefer to use the flat SWEEPS 300/20 tip (Fig. 50).
Fig. 49
Fig. 50
Conclusion
Introducing Er,Cr:YSGG and Er:YAG lasers into endodontics started a new direction in endodontic treatment. Much available data indicates that using these kinds of lasers allows the clinician to perform predictable root canal therapy in very complex anatomical cases, to perform a more conservative shaping protocol and to clean the lateral anatomy without placing activation devices in the apical area (as is done with sonic and ultrasonic activation). Moreover, in a calcified root canal, the clinician can establish patency with less risk of creating false canals and clean the semi-calcified space and let the sealer obturate it.
Using the Er,Cr:YSGG laser for laser-assisted endodontics is a very promising technique and solves some previously unsolvable problems. We can certainly say that laser-assisted endodontics is one of the future roads to success in daily practice; however, this needs further clinical testing and in vitro study.
Lasers were introduced to dentistry in 1965 by Leon Goldman. The first application was a failure because of excessive thermal damage. We can only wonder ...
Much has changed in endodontics during the last 20 years, except the anatomy, which is still just as complex. We can improve our protocols and techniques, ...
Pulp canal obliteration (PCO) is one of the complications which may occur in dental pulp after tooth trauma. It is also one of the mechanisms of pulp ...
Education
Live webinar Wed. 22 April 2026 11:00 am EST (New York)
To post a reply please login or register