The demand for cosmetic dentistry is a growing trend globally. Increased media coverage, the availability of free online information and the improved economic status of the general public has led to a dramatic increase in patients’ aesthetic expectations, desires and demands. Today, a glowing, healthy and vibrant smile is no longer the exclusive domain of the rich and famous; hence, many general practitioners are now being forced to incorporate various aesthetic and cosmetic dental treatment modalities into their daily practices to meet the growing demand of patients.
Cosmetic dentistry is a sciencebased art guided by the desire of the patient. Many young clinicians who plan to incorporate it into their practice are confused about what they and their patients actually wish to achieve. It is to be noted that the treatment modalities of any health care service should be aimed at the establishment of health and the conservation of the human body with its natural function and aesthetics. However, it is worrying to note that the treatment philosophy and technique adopted by many cosmetic dentists around the world tend towards macro-invasive protocols, and millions of healthy teeth are aggressively prepared each year for the sake of creating beautiful smiles.
The practice philosophy adopted by the clinic and the professional team members generally guides the overall output of the practice. Minimally invasive cosmetic dentistry (MiCD), a do no harm practice philosophy, has four fundamental components: level of care, quality of operator (dentist), protocol adopted and technology selected, which must all be respected in daily clinical practice. Adopting this holistic medical science practice philosophy is not an easy task, as it requires a change in the mindset of professionals.
In Parts I and II, I explain MiCD, do no harm cosmetic dentistry, based on my Vedic Smile concept, which I have been practising successfully in Nepal for the last 20 years, and advocating globally since 2009 as the MiCD global mission. It is to be noted that both parts are based on fundamental science (truth and available evidence), clinical experience and the common sense required in holistic dentistry.
embedImagecenter("Imagecenter_1_2125",2125, "large");
Cosmetic dentistry, a global trend
The prevalence and severity of dental decay have been declining over the last decades in many developed countries and this trend is shifting towards developing countries as well. With increased media coverage, the availability of free online information, public awareness has fuelled the demand for cosmetic dentistry globally. Now, a glowing, healthy and vibrant smile is no longer the exclusive domain of the rich and famous.[1] The population of beauty- and oral health-conscious people is increasing every year and data from various sources shows that the coming generations of children, espe-cially from the middle- to higher-income population, will have fewer decayed teeth and will need less complex restorative dental care as they age. These changing patterns of dental care needs will bring about a major shift in the nature of dental services from traditional restorative care to cosmetic and preventive services.
The increased market demand for smile aesthetics among patients is forcing general practitioners of today to incorporate the art and science of cosmetic dentistry into their practice. Cosmetic dentistry is not yet recognized as a separate clinical specialty like orthodontics, periodontics or paediatric dentistry. Cosmetic dentistry is synonymous with multidisciplinary dentistry, as its success and failure are related to the patient’s psychology, health, function and aesthetics. Ethical, high-standard cosmetic dentistry skill training of clinicians is essential for the increased global market of cosmetic dentistry and its promotion. It is widely seen that the treatment modalities of contemporary cosmetic dentistry are tending towards more-invasive procedures with an over-utilisation of full crowns, bridges, dentine veneers, and invasive periodontal aesthetic surgery, while neglecting long-term oral health, actual aesthetic needs and the characteristics of the patient.[2] These aggressive treatment modalities are indirectly degrading social trust in dentistry, owing to the trend of fulfilling the cosmetic demands of patients without ethical consideration and sufficient scientific background and promoting the “the more you replace, the more you earn” or “more is more” mindset in dentistry.[2]
Changing the professional mindset of the practicing clinician is not an easy task; it is just like quitting smoking for a heavy smoker. In order to practise healthy dentistry, one must be groomed, starting from dental school education, with moral values, a high ethical standard, a positive attitude and a patient centred practice philosophy. A student reflects the mindset of his or her teachers, and a teacher or mentor with comprehensive knowledge, clinical skills, honesty and humanity is difficult to find in today’s business-oriented dental education. I believe that knowledge should be free and skill training must be useful and easily affordable to our young practising clinicians around the world. Compromised university dental education and expensive private skill training with biased mentoring have been promoting health-compromising treatment protocols and costly diagnostic, preventive and treatment technologies. This highly business-oriented trend will promote a change in the mindset of practicing clinicians to adopt more-aggressive and invasive dental treatment modalities, leading to the practice of unhealthy dentistry in the long term.
Aesthetic versus cosmetic dentistry
The words “aesthetics” and “cosmetic” are viewed as synonyms by many cosmetic dentists. However, it is necessary to understand the core difference in meaning. The Oxford[2] defines “aesthetics” as “the branch of philosophy which deals with questions of beauty and artistic taste” and “cosmetic” as “improving only the appearances of something”. In dentistry, “aesthetics” explains the fundamental taste of a person concerning beauty, whereas “cosmetic” deals with the superficial or external enhancement of beauty. Therefore, aesthetic dentistry falls under need-based dental service, and is generally guided by the sex, race and age (SRA factors) of the patient. However, cosmetic dentistry, which is influenced by perception, personality and desires (PPD factors), can be categorized as want- or demand-based dental service. For example, a patient’s request to replace old amalgam restorations with tooth-coloured restorative materials can be considered an aesthetic requirement or demand. The request of an old woman for pearly white teeth and the ideal smile design is far more than an aesthetic requirement, and must be considered a cosmetic demand or requirement.
In my clinical practice, I divide aesthetic and cosmetic clinical cases into three different categories:
1. Preventive, or support based: treatment prevents or intercepts the diseases, defects, habits and other factors that may adversely affect the existing or the future smile aesthetics of the patient.
2. Naturo-mimetic, or need based: treatment is carried out to restore or mimic the natural aesthetics, bearing the SRA factors of the patient in mind, and the treatment generally enhances the health and function of the oral tissue.
3. Cosmetic, or desire based: treatment is performed to enhance or supplement the aesthetic components of the smile; hence, the treatment outcome of cosmetic treatment may not be in harmony with the patient’s SRA factors as in nature-mimetic dentistry, and cosmetic treatment may not necessarily be beneficial to the health and function of the oral tissue.
Practice philosophy in dentistry:
The mindset
The majority of dental schools around the world focus on teaching knowledge and skills in dental medicine that are based on contemporary dental science and art. Dental school education does not give due consideration to healthy dental practice philosophy owing to various factors, such as the right to chose one’s practice philosophy and the domination of business rather than service-oriented dental practice in the global market. However, quality and healthy clinical practice is always a dream of a good clinician, and establishing such practice requires an unbiased vision, learning and serving attitudes, and dedication from the dentist. We must understand that science and art in dentistry have no meaning if practised by an unethical operator, who does not respect the overall health of the patient. Any scientific advancement in technology has positive and negative sides; hence, if not applied properly, it may adversely affect the profession and may become a threat.
I believe that a clinic or treatment centre must establish its practice philosophy according to its objectives. What a clinician wants and the kind of services he or she wants to deliver to his or her patients guides the clinic. Practically, the practice philosophy in dentistry can be classified into two different categories, depending on the mindset of the operator.
Patient-centred
Clinicians with this kind of mindset generally have a do no harm dental practice (Fig. 1). Professional honesty and humanity are the fundamental principles of such a practice. Operators with this mindset enjoy sharing their clinical knowledge and skills with their professional friends and junior colleagues to promote patient-centred clinical practice in society. This group of clinicians firmly believes in the word-of-mouth approach to practice marketing and always thinks of the patient’s long-term health, function and aesthetics. Clinicians practising do no harm dentistry are generally cheerful, happy and healthy in their professional life.
Financially focused
Clinicians with this kind of mindset practise a financially focused dentistry and adopt various kinds of direct marketing approaches to sell their dentistry like a commodity in the market rather than a health care service. Practitioners in this group generally achieve a secure financial position quickly; however, it is frequently seen that they develop chronic stress, burn-out syndrome, depression, frustration and professional guilt, leading to compromised health and happiness in their professional life.
Dentistry and professional stress
Dentistry has long been considered a stressful occupation. Dentists perceive dentistry as being more stressful than other occupations.[3] Dentists have to deal with many significant stressors in their personal and professional lives.[4] There is some evidence to suggest that dentists suffer a high level of occupation-related stress.[5-9] A study has found that 83 per cent of dentists perceived dentistry as “very stressful”[10] and nearly 60 per cent perceived dentistry as more stressful than other professions.[11] Stress can elicit varying physiological and psychological responses in a person. Professional burnout is one of the possible consequences of ongoing professional stress. The effect of burn-out, although work-related, often will have a negative impact on people’s personal relationships and well-being.[12-13] Hence, dentists need to take care of their staff’s health and focus on professional happiness in daily practice.
A clinician has full right to adopt the practice philosophy that he or she prefers. However, it is always ad visable to apply oneself to understanding, analysing and comparing this philosophy with others. I am very fortunate to have been brought up with the Vedic philosophy of the law of nature and the first, do no harm consciousnessbased philosophy in my life at home, at school and in my society. The spiritual guidance and mentoring I received at an early age at home and school have helped me to become a professional with a firm philosophy of do no harm; hence, I started practicing consciousness-based dentistry early in my career. During my 21 years of private practice, I have always experienced happiness and joy with high patient satisfaction, which has given me complete confidence and faith in my practice philosophy and the MiCD treatment protocol that I apply in my practice. Since late 2009, I have been promoting my practice philosophy and clinical protocol in South Asia, and started the MiCD Global Academy in 2012 with the help of likeminded friends, who also practise a similar kind of holistic dentistry around the world. The MiCD Global Academy has a mission to share clinical knowledge and fundamental clinical skills free of charge with all clinicians who desire to practise do no harm cosmetic dentistry for better patient care and to enhance their happiness in their professional life.
Three-way test:
Questions for your conscience
Cosmetic dentists can make errors in practice in two ways, first owing to a lack of the required professional knowledge and skills, and second owing to a lack of professional honesty and humanity. The first one can be eliminated with good education and proper training, but the second one demands a total shift in mindset, with a high level of consciousness in professional ethics, attitudes and respect towards the patient’s long-term health, function and natural beauty.
I apply a simple yet very powerful test to keep myself stress- and guilt-free and within the boundaries of professional ethics, honesty and humanity when proposing a dental treatment plan to my patient. Clinicians can apply the threeway test mentioned below just by taking a deep breath and closing their eyes for few seconds and analysing their answers (the true response that comes to mind) with professional honesty and humanity. If your conscience responds positively to all the questions, then it is advisable for you to propose the treatment plan and take up the case, but if you give negative responses to the questions, then you should rethink your proposed treatment plan to safeguard your and your patient’s long-term health, function and aesthetics using a more sensible and less destructive treatment approach.
The three-way test consists of three basic questions:
- Would I use this treatment for a member of my own family in this situation?
- Am I competent enough to take up the case?
- Will the patient be happy with the biological, financial and time costs of the proposed treatment?
I have been using this simple test since my early days of practice and enjoying every moment of my clinical practice without any mental stress and post-treatment professional guilt. Moreover, I have found that the endresult of my case has always brought happiness to me and to my entire supporting team with high patient satisfaction. During all my MiCD international lectures, training, workshops and seminars, I always encourage my trainees and audience to enhance the quality of their operator factors (knowledge, skills, honesty and humanity) because it is the pillar of successful MiCD. It is my personal belief that, if a clinician adopts a habit of testing his or her treatment plan with the three-way test before proposing it to the patient, it can certainly help him or her to promote overall happiness in his or her practice with high patient satisfaction.
Table I: Treatment options, treatment procedures and biological cost in cosmetic dentistry.
| Treatment options |
Treatment procedures |
Biological cost
|
|
Non-invasive treatment:
when hard and soft tissue is not prepared during smile enhancement procedures
|
- Smile exercise
- Remineralisation of white spots
- Oral appliances and bruxism guard
- Dentures requiring no tissue preparation
- Gingival mask
|
None |
|
Micro-invasive treatment:
when hard and soft tissue is
prepared at a micro-level during smile enhancement procedures
|
- Cosmetic chemical treatment, such as Very low bleaching and micro-abrasion
- Cosmetic restorations with chemical tooth preparation, such as direct bonding, ultra-thin veneers, adhesive pontics and overlays
|
Very low |
|
Minimally invasive treatment:
when hard and soft tissue is prepared at a superficial or minimal level during smile enhancement procedures
|
- Cosmetic contouring (teeth and/or gingivae)
- Cosmetic restorations with minimal tooth at a superficial or minimal level during preparation, such as thin veneers, modified inlays and onlays, partial crowns, partial dentures, and inlay bridges
- Non-extraction conventional and MiCD orthodontic treatment
- Mini dental implants (small diameter)
- Gingival depigmentation
|
Low |
|
Invasive treatment:
when hard and soft tissue is
prepared at a deeper level during enhancement procedures
|
- Tooth preparation for crowns, bridge abutments High and deep veneers
- Orthodontic treatment with tooth extraction
- Dental implants
- Aesthetic surgical procedures, such as periodontal, orthognathic and facial surgeries
|
High |
Extension: Invasive dentistry
If we look carefully at the history of restorative dentistry, the word “extension” (or “invasive”) has always been a point of focus among clinicians.[14] The concept of “extension for prevention and retention” was pronounced by Dr G.V. Black 100 years ago and it was appropriate in relation to the restorative materials available at that time. However, with the development of porcelain-fused-to-metal technology in the late 1950s, the concept of “extension for functional aesthetics” was advocated, which is still very popular in clinical practice. In the early 1980s, the concept of the “Hollywood smile” was introduced, which established the concept of “extension for cosmetics” in dentistry. In 2002, the FDI World Dental Federation endorsed the approach of minimal intervention dentistry, which has basically focused on the conservative management of carious lesions, applying the concept of “minimal extension for decay removal”. History clearly shows that, since Dr G.V. Black era to the present day, we have been applying the concept of “extension in dentistry” in the name of prevention, retention, function, aesthetic need and cosmetic desire, and caries removal. It is a clinical fact that this concept will remain the focus because each clinical situation is different, as its treatment modalities are guided by multifactorial issues such as patient factors (mind, body, behaviour and surroundings), operator factors (knowledge, skills, honesty and humanity), protocol factors (the truth, evidence, experience and common sense), technology factors (health, reliability, affordability and simplicity). The use of science and technology requires consciousness in operators and awareness in patients; hence, the operator must use his or her professional knowledge and skills with honesty and humanity to select the least invasive procedure, protocol and technology in treatment, so that extension in dentistry is always minimal, safe and healthy.
The invasiveness of procedures selected in cosmetic dentistry depends on the level of smile defect, type of smile design, proposed treatment types and treatment complexity. MiCD uses the most conservative smile enhancement procedure possible. The level of invasiveness in cosmetic dentistry can be classified into four types, namely non-invasive, micro-invasive, minimally invasive and invasive, and the treatment options, various treatment procedures and their biological cost for each are presented in Table 1. There is only one principle in selecting treatment modalities in MiCD: always select the least invasive procedure as the choice of the treatment.[2] Treatment procedures mentioned under non- invasive, micro-invasive and mini-invasive are used selectively in MiCD.
MiCD treatment protocol and clinical technique
Minimally invasive dentistry was developed over a decade ago by restorative experts and founded on sound evidence-based principles.[15-24] In dentistry, it has focused mainly on prevention, remineralisation and minimal dental intervention in caries management and not given sufficient attention to other oral health problems. For this reason, I developed the MiCD concept and its treatment protocol in 2009, which integrates the evidence-based minimally invasive philosophy into aesthetic dentistry in the hope that it will help practitioners achieve optimum results in terms of health, function and aesthetics with minimum treatment intervention and optimum patient satisfaction. The MiCD concept and treatment protocol are explained in an article titled “Minimally invasive cosmetic dentistry—Concept and treatment protocol”;[25] hence, in the current article, I only discuss the MiCD core principles (Table 2), MiCD treatment protocol and clinical technique briefly (Fig. 2).
Table II: MiCD core principles.
|
Sooner is better
|
Follow early diagnosis, prevention and intervention approach |
|
Smile Design Wheel approach
|
Understand psychology, establish health, restore function and
enhance aesthetics (PHFA—sequences of Smile Design Wheel) |
|
Do no harm
|
Select the most conservative treatment options and procedures
to minimise the possible biological cost |
|
Evidence-based selection
|
Select materials, tools, techniques and protocols based
on scientific evidence |
|
Keep in touch
|
Encourage regular follow-up and maintenance |
MiCD clinical technique: Rejuvenation, restoration, rehabilitation and repair
The MiCD clinical technique focuses on the aesthetic pyramid of the Smile Design Wheel[1] (Fig. 3). Aesthetic components in dentistry are divided in to three broad groups:
1. macro-aesthetics,
2. mini-aesthetics; and
3. micro-aesthetics.
Table III: Aesthetic components and smile design parameters.
|
Aesthetic components
|
Smile design parameters |
Macro-aesthetics: deals with the overall structure
of the face and its relation to the smile. In order
to establish the macro-aesthetic components
of any smile, the visual macro-aesthetic
distance should be more than 1.5 m. |
- Facial midline
- Facial thirds
- Interpupillary line
- Nasolabial angle
- Rickett’s E-plane
|
|
Mini-aesthetics: deals with the aesthetic correlation
of the lips, teeth and gingivae at rest and in smile position.
The aesthetic correlation can be established properly
when viewed at a closer distance than the visual
macro-aesthetic distance. The visual mini-aesthetic
distance is similar to the across-the-table distance,
which is normally within 60 cm to 1.5 m.
|
In M-position:
- Commissure height
- Philtrum height
- Visibility of the maxillary incisors
In E-position:
- Smile arc (line)
- Dental midline
- Smile symmetry
- Buccal corridor
- Display zone and tooth visibility
- Smile index
- Lip line
|
|
Micro-aesthetics: deals with the fine structure of dental and gingival aesthetics (Fig.8).
Micro-aesthetics can be established at a visual micro-aesthetics distance of less than 60 cm or within normal make-up distance.
|
- Maxillary central incisors (tooth size ratio)
- Principle of golden ratio
- Axial inclination
- Incisal embrasures
- Contact point progression
- Connector progression
- Shade progression
- Surface micro-texture
|
Each aesthetic group deals with different smile aesthetic components (Table 3) and each component must be harmonised at the end of treatment. According to the smile defect and patient’s desire, there are four different techniques in MiCD to enhance smile aesthetics:
1. Rejuvenation: to rejuvenate in MiCD is to enhance smile aesthetics with minor modifications in tooth position, colour and form, also known as the MiCD ABC principles, namely align, brighten and contour (Figs. 4–9):
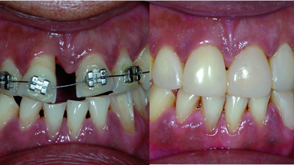
- Align: minor discrepancies between the facial and dental midlines are acceptable in many instances.[26] However, a canted midline would be more obvious[27] and therefore less acceptable in cosmetic dentistry. Similarly, the disharmony in natural progression of axial inclination or the degree of tipping of anterior teeth affects the aesthetic outcome of a smile. The correction to the midline and axial inclination progression, and necessary changes to anterior tooth position are carried out using cosmetic orthodontic procedures with fixed or removable aligners. Once the anterior teeth are in an aesthetically acceptable position, the aesthetic concerns of the patient generally shift towards the colour enhancement of the dentition. It is to be noted that a well-aligned tooth generally requires no or less tooth preparation during tooth contour (shape and size) modification. This helps the clinician to achieve aesthetic smiles with micro- or minimally invasive procedures with a very low biological cost.
- Brighten: tooth bleaching or colour modification in MiCD is carried out once teeth are in acceptable alignment but before the tooth form is modified. The level of tooth colour modification depends on the quality of the existing colour of the dentition and the patient’s desire. Home and office bleaching are popular methods for modifying tooth colour. However, in some cases, procedures such as remineralisation, micro-abrasion, walking bleach and thin enamel veneers are used.
- Contour: a contour is an outline of the shape or form of something.[28] In dentistry, cosmetic contouring entails reshaping teeth or gingivae to an aesthetic form. Cosmetic contouring can be performed in two ways, additive and subtractive. Additive cosmetic contouring entails changing the tooth form using tooth-coloured restorative materials, such as a resin composite (direct and indirect restorations) or ceramic (veneers), and changing the gingival shape using graft materials. Subtractive cosmetic contouring entails removing dental tissue by grinding or texturing, and gingival tissue by selective surgical procedures—which are non-reversible in nature and so proper care must be taken.
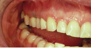
2. Restoration: restoration is a process of replacing missing dental tissue to enhance health, function and aesthetics. Restoration is performed using micro- to mini-invasive treatment options, such as direct restorations, veneers, inlays, onlays or adhesive pontics, depending upon the extent and severity of the smile defect (Figs. 10a & b & 11a–c).
3. Rehabilitation: rehabilitation is the process of complete reconstruction of the smile to enhance psychology, health, function and aesthetics using micro- or minimally invasive treatment options to minimise the possible biological cost. Direct and indirect composite resin and feldspathic porcelain are the materials of choice for rehabilitation in MiCD (Figs. 12–14).
4. Repair: the role of repair in restorative dentistry is very important. The restoration cycle or each re restoration process generally increases the size of the smile defect by 15 to 20 per cent per re restoration. Hence, MiCD protocol recommends performing repair wherever aesthetically appropriate and possible using suitable adhesive restorative materials so that the health of the oral tissue will not be compromised, while maintaining function and aesthetics (Figs. 15a–c).
MiCD summary ten
After completion of any MiCD clinical case, the patient’s overall satisfaction and the clinical success must be evaluated. In order to evaluate clinical cases comprehensively and practically, in the MiCD protocol, a clinician is advised to always summarise his or her cases under the ten areas listed in Table 4, called the MiCD summary ten.
Table IV: The MiCD summary ten.
| Ten areas |
Rating |
|
|
|
| 1. Smile self-evaluation |
Good |
Satisfactory |
Compromised |
|
| 2. Smile HFA grade |
Normal |
Compromised A |
Compromised HFA |
|
| 3. Aesthetic category |
Micro |
Mini |
Macro |
|
| 4. Treatment complexity |
Simple |
Moderate |
Complex |
|
| 5. Proposed treatment |
Accepted |
Modified |
Changed |
|
| 6. Established outcome |
Improved |
No change |
Deteriorated |
|
| 7. Enhancement category |
Preventive |
Naturo-mimetic |
Cosmetic |
|
| 8. Biological cost |
None |
Very low |
Low |
High |
| 9. Exit remark |
Excellent |
Good |
Satisfactory |
Below satisfactory |
| 10. Clinical success |
Excellent |
Good |
Satisfactory |
Needs improvment |
Conclusion
In order to practise do no harm cosmetic dentistry, a clinician requires the desire, passion, dedication and will-power to become an honest professional with humanity because honesty and humanity are the pillars of do no harm cosmetic dentistry, since the mind controls all other practice factors. The clinician must understand that honesty and humanity are not scientific like knowledge and skills, which can be learned, copied and applied immediately in the practice. Honesty and humanity are inner qualities of a person and are deeply related to the level of a person’s consciousness, which are generally expressed as habits and attitudes. Therefore, we need to learn these qualities at home and school, and from the profession and society.
Self-evaluation and the realisation of the level of inner happiness that you obtain through your daily professional work are vital to understanding and beginning to practise do no harm cosmetic dentistry in your practice.
Editorial note: A complete list of references is available from the publisher. This article was published in cosmetic dentistry international No. 01/2015.
Aesthetic aspects do increasingly play an important part in clincical outcomes. In this second part of our exclusive commentary series, Dr Sushil Korailal ...
A human face takes priority when determining physical attractiveness.[1] If we group the facial components according to their influence on appearance, the ...
The aim of this article is to offer readers information on a topic that is discussed very rarely in dental journals: how tooth position and damage to ...
Ever since the Extreme Makeover phenomenon, public awareness of cosmetic dentistry has skyrocketed. The typical dental patient is more aware, and educated, ...
Dr Simon Chard has fast become one of the UK’s most influential dentists. He is a proponent of minimally invasive techniques and sits on the board of the ...
Increased media coverage and the availability of free web-based information has lead to heightened public awareness and thus to a dramatic increase in ...
An introduction to acupuncture and its practical applications in contemporary dental practice
In the first part of this article series, I described the significance of individual teeth in terms of emotional and health status, considering specifically...
Dentists understand that patients demand outstanding esthetic, as well as physiological, results in all phases of dentistry today. This places an onus on ...
The concept of aesthetics has been explored by various authors and discussed by eminent philosophers. While their definitions are subjective, they all agree...
Live webinar
Thu. 14 May 2026
12:00 pm EST (New York)
Live webinar
Thu. 14 May 2026
2:00 pm EST (New York)
Prof. Hani Ounsi DDS PhD FICD
Live webinar
Tue. 19 May 2026
11:00 am EST (New York)
Live webinar
Tue. 19 May 2026
1:00 pm EST (New York)
Prof. Dr. med. dent. Ivo Krejci
Live webinar
Wed. 20 May 2026
7:00 am EST (New York)
Dr. Graham Carmichael BDSc (Hons), DClinDent (Pros), FRACDS, Dr. Robert Gottlander DDS
Live webinar
Wed. 20 May 2026
9:00 am EST (New York)
Live webinar
Wed. 20 May 2026
1:00 pm EST (New York)
Prof. Dr. med. dent. Tim Joda PhD, MSc, eMBA
To post a reply please login or register