A human face takes priority when determining physical attractiveness.[1] If we group the facial components according to their influence on appearance, the mouth takes precedence over the others. Smiling is one of the most important facial expressions and is essential in expressing friendliness, agreement and appreciation.[2] A smile develops when a person senses happiness, pleasure or humour.[3] Whatever may be the emotion, a smile plays an important role in society, and for a variety of psychological reasons makes both giver and receiver feel good.[4] The face, gums (gingival complex), teeth (dentition) and emotion are the four basic components of a smile. A smile requires coordination of these four components with voluntary or involuntary stimulation by various emotions; hence it is evident that every smile is different and denotes a sense of individuality.[5]
The upper and lower lip frame displays the zone of a smile, which can be linked to the frame of a painting. Within this frame, the gums act as the canvas and the teeth become the major substance of the smile painting. As the lips separate during speech or a smile, an image of the person is revealed, which may indicate youth or age, harmony or disharmony, and beauty or a compromised aesthetic appearance.
Healthy and well-aligned teeth have been shown to have a positive effect on an individual’s confidence and psychosocial wellbeing.[6] Among the four components of a smile, it has been found clinically that even minor defects or disharmony in alignment, brightness or contour of anterior dental components can negatively affect the overall smile aesthetic. This paper focuses on the role of the dental hard tissues, especially the enamel in smile aesthetics, and presents minimally invasive technique to rejuvenate the compromised enamel at minimal biological cost.
Understanding dental enamel
Enamel is one of the most important structures of the tooth, both from a functional and aesthetic point of view. It is a uniquely organised nano-structured material, which forms the outermost covering of teeth.[7] It is composed of crystalline calcium phosphate, which is 96 per cent mineral with the remaining 4 per cent consisting of organic components and water. The organic content consists of breakdown products of major enamel protein amelogenin.[8] The mature enamel is acellular and does not regenerate itself unlike other biomineralised tissues such as bone and dentine.[9]
Enamel surface loss affects smile aesthetic
Enamel, being the outermost coverage of coronal portion of teeth, has to face various challenges of maintaining its integrity with constant demineralisation and remineralisation within the oral environment, and it is susceptible to tooth surface loss (TSL) phenomenon. Tooth surface loss can be physiological, occurring as a normal aging process.[10] This process, accelerated by several endogenous and exogenous factors, is termed pathologic. Depending upon the cause, four types of surface loss have been identified: attrition, abrasion, erosion and abfraction.[11–19]
Each type of tooth surface loss and its effects on overall health, function and smile aesthetics are described below.
Attrition (Fig. 1) is the loss of the tooth substance occurring as a result of mechanical wear between the opposing surfaces of teeth during masticatory and parafunctional activities.[20–23] It is most often seen on the occlusal surfaces of posterior teeth and the incisal edges of the anterior teeth.
Abrasion (Fig. 2) denotes mechanical wear of teeth due to causes other than tooth-to-tooth contact.[24–26] It occurs due to friction between teeth and exogenous agents like a hard toothbrush, abrasive toothpaste, intensive horizontal brushing motions etc.[27,28]
Erosion (Figs. 3a & b) is the wearing of the teeth due to chemical processes that may involve intrinsic or extrinsic acids. The rate of the erosion is also affected by the quality of saliva (salivary flow, pH, and its constituents). The palatal surface seems to be the most commonly affected site.[27,28]
Abfraction (Fig. 4) is the pathologic process of tooth surface loss in which repeated compression and flexure of teeth under occlusal loading will lead to fracture of thin enamel rods. It is mostly seen in the cervical region of teeth.[29–32]
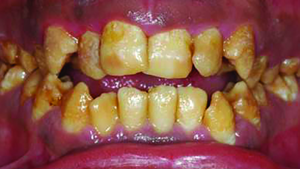
Other than these four causes, developmental anomalies (Fig. 5a–c), especially amelogenesis imperfect and dentinogenesis imperfecta, predispose teeth to rapid wear.[33–35] This is because the enamel is very thin and/or friable in amelogenesis imperfect, while in dentinogenesis imperfect, the attachment of the enamel and dentine is weak, which results in easy separation.[36] Tooth surface loss affects tooth anatomy, and various kinds of complications may arise if it is left untreated. Loss of the mineralised tooth substance results in a higher risk of tooth sensitivity, pulpal complications, and discoloration.[37,38] Loss of the vertical occlusal dimension (VOD) may result in dentoalveolar compensation or an increased interocclusal rest space.[39]
This will affect the neuromusculature, efficiency of masticatory function, and aesthetics, as the position of the smile line, the horizontal occlusal plane changes.[38–40]
Loss of canine guidance and canine protection may increase horizontal stresses in the posterior occlusal surface and thereby cause loss and fracture of restorations. [38] Moreover, instability of the occlusion will decrease masticatory function and increase the incidence of cheek and tongue biting.[37,41]
The overall effects of tooth substance loss influence not only teeth anatomy and masticatory system, but also quality of life.[42]
Optical characteristics of anterior teeth
As mentioned previously, teeth suffer modifications over the years that directly interfere with their appearance and colour. Due to an increase in thickness of dentine and a decrease in thickness of enamel and its surface texture bring changes in translucency and opacity of dentine and enamel.
Understating optical properties of dental structures is immensely important as enamel and dentine interact with natural light differently due to their variations in composition and mineralisation. Enamel allows 70.1 per cent average light passage, whereas 52.6 per cent of light can be transmitted through the dentine structure.[43,44] It can be said that dentine is the colour and enamel is the colour modifier.[45–47]
Optical properties natural enamel
While dealing with enamel, clinicians need to keep in mind the orientation of the rods that comprise the basic structure of the enamel. Generally, these rods rise at right angles from the dentinal surface. In cervical areas, the rods divert from their horizontal orientation and lean apically. Near the incisal or cusp tip, the rods change direction gradually, becoming oblique and nearly vertical over the edges.[48] Because of this orientation change, less light is transmitted, which decreases the translucency of the enamel.[49] Enamel also modifies the chromatic aspects of the teeth because of phenomena such as reflection, transmission, refraction, thickness and surface texture.
Moreover, enamel has the ability to attenuate underling colours, which can affect the chromatic aspect of teeth.[50] Hence the properties of light reflection, or transmission of enamel depend upon its texture, orientation of enamel rods, and its ability to refract light, in addition to histological characteristics. Enamel translucency may also be attributed to variations in calcification levels, because the more porous and less mineralised the enamel, the larger the dispersion index.[51,52]
Optical properties of dentine
Dentine can be considered as the dental tissue of higher relevance when concerned with colour.[46,53] From an optical point of view, dentine is a low translucency structure with various chroma and saturation variations. Dentine has a special property of producing relative opacity, this is because the dentinal tubule arrangement enables the dentine to demonstrate selective light diffraction, as certain rays are reflected, whereas others are absorbed.[51] As age increases, primary dentine begins to evolve or change, originating secondary and tertiary dentines, which have different structure and compositions, and affect optical properties of tissues.[54] In elderly patients, the reduction in the diameter of the dentinal tubules causes progressive dentine sclerosis and high saturation.
Basic characteristics of teeth
The visual characteristics of teeth modify with age and can be studied under four categories: childhood, adolescent, middle-aged and aged teeth.
Childhood teeth (Figs. 6a–c)
At about the age of 10 years, enamel presents an almost milk-white hue, the superficial enamel layers are the most opaque and frequently appear as though they have a white frost. Enamel generally shows a clear opalescent effect, the prominent enamel surface with micro- and macro-texture has a very low surface lustre; the incisal edges of the dentinal lobes are completely covered by enamel.
Adolescent teeth (Figs. 7a–c)
At about the age of 20 years, the enamel is less white, enamel translucency becomes visible due to gradual wearing off of the opaque top layers of the young enamel. There is a presence of enamel surface micro-texture and low gloss; dentinal lobes are still covered by enamel but slightly blue and orange hues become visible.
Middle-aged teeth (Figs. 8a–c)
There is reduced enamel surface micro- and macro-texture, and an increased surface lustre. There is also increased enamel translucency; blue and orange hues become more prominent and dentine is normally exposed in the region of the incisal edges.
Aged teeth (Figs. 9a-c)
There is an increased enamel translucency, changes in hue to bluish to lilac and grey, a lack of enamel surface micro-texture, with considerably reduced macro-texture. There is a high surface lustre, dentin is relatively darker and less opaque than of middle- aged teeth, and on the incisal edges, the underlying dentine structure appears as a flat wall.
Restoration strategy
After having a better understanding of the inherent characteristics of dental tissues to light incidence, it allows a more artistic restorative approach where the light can be manipulated in each increment of the resin, thus resulting in vivid and extremely natural restorations.[55,56]
Restoration strategies should follow proper understanding of defects, right selection of restorative materials and their proper application, finishing, texturing and polishing.
Cosmetic enamel restorations can be successfully utilised to correct minor tooth misalignments, changes in brightness, and enhance the contour of a tooth.
As described earlier, enamel surface loss generally affects visual alignment, brightness and contour of the teeth, which negatively affects the overall smile aesthetic. With enamel being a thin outer layer of a tooth, the loss of enamel surface is generally associated with the exposure or loss of dentine substance. Hence restoring natural enamel requires careful analysis of its dentinal substrate loss in terms of its depth, colour and type.
Selection of restorative materials based on optical properties
Natural dentine and enamel have a rich composition and details. Where dentine confers the basic colour to the dental element, or the hue, this colour is not entirely perceived by the observer, because the enamel modulates the chroma and the value of hue according to its greater or smaller thickness and surface texture and level of polishing. Enamel does not actually change the hue (colour), but only confers a greater or lesser saturation or chroma according to its thickness.[56,57]
Placing the correct thickness of enamel layer over dentine can positively increase or decrease the value (brightness) giving the restoration its vivacity. If the restoring tooth has lost both the enamel and dentinal tissue, then proper colour selection of dentine and enamel resin is paramount. It is because the percentage of light transmission on enamel is approximately 70.1 per cent, which gives this tissue translucent characteristics. On the other hand, the percentage of the dentine is 52.5 per cent, which makes it more opaque.[58] Hence, in order to obtain natural lifelike restorations, more transparent resins should be used for the fabrication of the artificial enamel, whereas more opaque resins should be used to reproduce artificial dentine.
There are varieties of composite resin materials available in the global market, and dental manufacturers are now developing resin with different shades and opacities to mimic colour, translucencies and visual appearance of the natural tooth structure and have come up with different grouping systems.
Regardless of the method of restorative materials grouping that is employed by manufacturers, all the direct aesthetic restorative materials can be categorised into four groups[59] based on its optical properties (Table 1).
Table 1: Materials category.[59]
| Material category |
Objective
|
Example |
| Opaque group |
To mask discoloration |
Beautiful Opaquer |
| Dentine group |
|
|
| Opacious dentine |
To replace deeper dentine |
Beautifil II A20 (Opacious dentine) |
| Normal dentine |
To replace outer dentine |
Beautifil II A2 (Universal dentine) |
| Enamel group |
|
|
| Translucent |
To replace enamel |
Beautifil II Enamel HVT |
| Effect group (stain) |
To create special effect |
Beautifil II Gum shade |
Smile Style and surface texture design
The naturomimetic restoration technique follows the patient’s psychology, as described in the Smile Design Wheel concept.[60] Smile Style and tooth surface texture should be selected based on patient’s perception, personality and desire. However, selecting the correct smile style requires knowledge about the personality component of the Smile Design Wheel in depth.
While discovering a patient’s personality (temperament), the author used the concept of ‘DISC’, which was introduced by the psychologist Dr William Moulton Marston in his publication Emotion of Normal People in 1928.[61] Marston theorised that people are motivated by four intrinsic drives that direct his/her personality patterns. He used four descriptive behavioural tendencies, which are represented by four letters of the alphabet: D (dominance), I (influence), S (steadiness) and C (compliance). Based on the DISC personality traits, the author has categorised smiles into four categories (Tables 2 & 3).
Table 2: DISCover Smile Style— tooth characteristics.
Smile Style
|
Central incisors
|
Canine tips
|
Lateral incisors |
IAL |
IAL angle
|
Tooth axis |
| D-Smile Style |
Lack of dominance with square shape |
Flat type |
Flat and may touch incisal aesthetic line (IAL) |
Straight or
R = reverse |
90°–over |
Straight or
slight divergent |
| I-Smile Style |
Dominant type with rectangular shape |
Rounded with flat tips |
Rounded and flat incisal edges and do not touch incisal aesthetic line (IAL) |
Slightly descending to straight type |
85–90° |
Straight |
| S-Smile Style |
Dominant type with oval shape |
Rounded type |
Delicate, rounded mesial and distal incisal edges, and do not touch incisal aesthetic line (IAL) |
Descending
type |
75–85° |
Slightly conversing |
| C-Smile Style |
Dominant type with triangular shape |
Pointed type |
Rounded distal and flat mesial incisal edges, and touch IAL |
Descending
type |
70–80° |
Conversing |
Table 3: DISCover Smile Style— personality characteristics.
| Smile Style |
Personality characteristics |
Suitable for |
| D-Smile Style |
Goal oriented, competitive, direct,
extrovert, driven, ambitious,
strong willed—“Just Do It” type |
Entrepreneurs, sales
management, legal or litigation,
operation management etc.
related professionals |
| I-Smile Style |
People and person oriented,
talkative, spontaneous,
enthusiastic, warm, persuasive
“Have Fun Doing It” type |
Advertisement, marketing,
public relations, training,
hospitality, tourism, retail sales
etc. related professionals |
| S-Smile Style |
Stable, dependable, conservative,
loyal, relaxed, passive,
patient “Do it Together” type |
Teaching, education, finance,
economics, human recourses,
support services, customer
services, manufacturing etc.
related professionals |
| C-Smile Style |
Careful, detail oriented, logical,
organised, diplomatic, conventional,
exacting, “Do it Right” type |
Accounting, auditing,
engineering, medicine,
research and development,
agriculture, computer
programming etc.
related professionals |
To achieve a naturomimetic enamel restoration, the clinician should understand age-related natural tooth surface texture characteristics. Generally, there is a decrease of surface texture as patients increase in age.[62] However, surface texture should be designed on a case-by-case basis to satisfy the patient’s need and desire. The surface texture of a tooth is confirmed by three factors.
- Surface texture or degree of surface smoothness or roughness. This can be divided into two categories.
- Macro-texture (vertical and/or horizontal elevation and depressions, or ridges and grooves seen on the surface of a tooth). Micro-texture (small surface irregularities related to the apposition and calcification of the enamel matrix during tooth formation, pits, vertical lines and perikymata).
- Lustre or degree of shininess of the tooth also known as gloss (Figs. 10 & 11). Lustre will set the amount of the light reflection of the crown surface and it is as important as colour and contour in recreating the natural appearance.[63] It is to be noted that lustre is not related to age and is genetically and congenitally determined.
Naturomimetic layering technique (NLT)
Natural teeth are complex in structure and hard to simulate due to the distribution of colours through the enamel and dentins. Hence, in NLT it is important to have a detailed examination of the colour, opacity, translucency, texture, surface gloss and presence of any special characterisation of the tooth to be restored. In NLT, the desired result is achieved by applying the correct thickness of clear or translucent enamel group of material over a saturated and opaque dentine group of material which produces a double effect layer and hence helps to mimic natural optical properties of the tooth. There are various clinical situations during enamel rejuvenation which are guided by the type of tooth defects (anatomy, brightness/colour and contour) and desire level of the patient. Depending on the clinical situation, the clinician should choose one of the above NLT techniques. Naturomimetic layering technique is based on new layered shading classification [64] and is divided into the following types for clinical conveniences.
NLT—Mono-layer
In the mono-layer technique, the tooth defects are restored using only a single group of material. The layering procedure does not entail the use of opaque or any effect group. However multiple lucency materials, it is important to consider the thickness of the materials to be layered to mimic natural dentine and enamel. Perception of higher chroma and opacity is related to an increase in thickness. [45] The handling of composite layers is crucial for obtaining the desired chromaticity, translucency, and opacity. [65] It is to be noted that high-translucent enamel resin may create a grayish restoration with a lower value; when the thickness of translucent enamel resins increases, the value decreases and chroma increases. However, by increasing the thickness of the dentine group (opacious composite) both value and chroma of the restoration increase [66] (Fig. 13).
NLT—Tri-layer
This is basically used to restore tooth defects where major colour modification is desired, for example, a non-vital discoloured tooth. The layering technique entails the use of opaque group of materials but does not require effect resin and the opaque layer should be covered with a suitable thickness of the correct shade of dentine and translucent enamel layer (Fig. 14).
NLT—Complex layer
In NLT, any restoration that demands the use of effect group of materials either singly or in combination with enamel, dentine or opaque materials is considered as a complex restoration of that particular layer technique, such as Mono-Complex layer, Bi-Complex layer or Tri-Complex layer. The use of effect resin (to create opalescence, orange or yellow hues, stain, enamel crack, white spot etc.) requires detailed colour analysis and mapping before application. This kind of restoration is basically done in the incisal third area of the tooth, where the range of translucency and opalescence is greater (Figs. 15–17).[67]
The level of polish (smoothness) of a surface changes the chromatic perception of the composite resins and is inversely proportional to luminosity.[68] The more polished the surface, the larger the light transmission, and consequently, the less luminosity (brightness).[45] Conversely, the lack of polishing (matte finish or presence of more micro-texture) causes the surface to become more reflective, making the restoration appear more luminous.[68]
Conclusion
Cosmetic dentistry is one of the fastest growing trends in oral health care today. This has been fuelled by increased public awareness, an increasing in patients’ affluence, as well as the desire for beautiful, stylish and healthy smiles. An aesthetic smile has recently become one of the fundamental demands of patients visiting dental practices.
Editorial note: A list of references is available from the publisher. This article was published in the cosmetic dentistry 1/2017 issue.
For many years, the trend in restorative dentistry has been to place only one- or two-shade composite restorations in daily practice. However, with this ...
It is important to recognise that artificial intelligence (AI) is not something to be feared: it is a tool designed to enhance, not replace, the role of the...
Natural teeth are complex in structure and difficult to imitate because many colours are distributed through the enamel and dentin.1 The structural ...
Highly aesthetic lithium disilicate or zirconia-based framework materials combined with a micro-layer of porcelain are becoming the new standard for ...
The demand for cosmetic dentistry is a growing trend globally. Increased media coverage, the availability of free online information and the improved ...
The patient presented with spaces between teeth #11 and 21 and between teeth #12 and 11. During the diagnostic phase, a digital screening of the smile line ...
The latest generation of two-piece ceramic implants (zirconia) is considered an alternative treatment option to titanium implants owing to their excellent ...
Gastro-oesophageal reflux disease (GORD) and its potential effects on tooth enamel was the subject of a recent Align Technology webinar. It was presented by...
A passionate dental practitioner with a special interest in endodontics and conservative aesthetic dentistry and a well-known speaker, Dr Enzo Attanasio has...
Glass hybrid restoratives offer a unique combination of advantages in dentistry. They are biocompatible and require neither the application of bonding ...
Live webinar
Thu. 14 May 2026
12:00 pm EST (New York)
Live webinar
Thu. 14 May 2026
2:00 pm EST (New York)
Prof. Hani Ounsi DDS PhD FICD
Live webinar
Tue. 19 May 2026
11:00 am EST (New York)
Live webinar
Tue. 19 May 2026
1:00 pm EST (New York)
Prof. Dr. med. dent. Ivo Krejci
Live webinar
Wed. 20 May 2026
7:00 am EST (New York)
Dr. Graham Carmichael BDSc (Hons), DClinDent (Pros), FRACDS, Dr. Robert Gottlander DDS
Live webinar
Wed. 20 May 2026
9:00 am EST (New York)
Live webinar
Wed. 20 May 2026
1:00 pm EST (New York)
Prof. Dr. med. dent. Tim Joda PhD, MSc, eMBA
To post a reply please login or register