Aesthetic dentistry is featured widely in the media as the field of dentistry that can change or enhance the appearance of the face, leading to an improved quality of life and increased self-confidence for the patients. Of course, the patients as clients can decide for themselves whether they want to have brighter teeth, but in granting this request, sound tooth structure is often removed.
I will apply dietetic measures for the benefit of the sick according to my ability and judgement; I will keep them from harm and injustice is at the core of the Hippocratic Oath. Dentists not adhering to the Oath risk losing their physician status, especially when they provide aesthetic treatments based solely on their patients’ demands. Without critically analysing these demands, they can satisfy the patients’ cosmetic needs but may cause harm when otherwise healthy teeth are prepared.
When a tooth is prepared and dentine is exposed, the physiology of the tooth is affected. Oral bacteria can migrate through the exposed dentinal tubules,2 especially when these are not immediately sealed after preparation, and deteriorate the condition of the pulp leading to future endodontic problems. So, apart from the obvious ethical questions, a financial gain for the dentist can unfortunately be short-lived when legal action procedures are taken by patients, who blame the dentist for harming them, not acting professionally, and not judging correctly based on scientific evidence.
Unfortunately, our society considers the ‘denture look’ the only aesthetically acceptable smile design look. Therefore, the question is: how can natural-looking smiles that are in harmony with the patient’s appearance be delivered, while conserving tooth structure and generating income for our practices? The answer lies in appropriate material selection; allowing for the adoption of minimally- or non-invasive methodology; possibly, the involvement of other specialties, like orthodontics, to facilitate tooth ovement, in order to allow for less tooth preparation; and of course, on patient education and appropriate fee selection. Patients should be informed about the possible long-term results of aggressive tooth treparation. They should take responsibility in their care and actively participate in their diagnosis and treatment. Through communication methods, like mock-up or imaging, patients should be given the opportunity to visualise and value the results that minimally- or non-invasive procedures can have for their smile. Often, a combination of bleaching, aesthetic re-contouring, bonding, or minimal veneering can enhance the appearance of the smile and simultaneously maintain the individuality and look of the patient.
Adhesive dentistry allows more conservative approaches to restorative solutions, allowing practitioners to choose ‘addition’ over ‘resection’ of the remaining sound tooth structure whenever indicated.
Composite materials are the most commonly used for correcting small to medium aesthetic discrepancies. Owing to their reduced expense, improved physical and optical characteristics, and direct application in a single appointment, they have become increasingly important in contemporary aesthetic dentistry. Their minimal invasion requirements satisfy both the patient and the dentist.
Alternatively, porcelain provides superior colour stability and physical durability with greater longevity and superior optical and aesthetic properties. Traditionally though it has been associated with more invasive techniques. Nevertheless, when it comes to enhancing the smile with porcelain in order to improve the aesthetics, porcelain veneering is one of the most conservative and aesthetic techniques that we can apply. The prognosis of the veneers is very good especially if the right indications are chosen and the correct techniques are applied.
The feldspathic type of porcelains can be baked at thicknesses of 0.2 mm when considering minimally- or non-invasive indirect veneering options. This allows for a minimal amount or no removal of tooth structure, while maintaining the ability to improve the appearance of the tooth.
The preparations remain almost entirely in enamel, which is important from a longevity standpoint. The longevity of a bonded veneer is in correlation with the amount of enamel substrate supporting it. The dentine–enamel junction is very important for the structural strength of the tooth because it is regarded as a fibre-reinforced bond. When our preparations lay on enamel, the tooth will not flex. However, if we finish our preparation on large amounts of dentine, we will not only create bonding issues and possibly cause endodontic problems, but we will also increase the flexing of the tooth structure. When a rigid material like a porcelain veneer is bonded on top, the difference in the rigidity may cause the luting resin at the margin to start peeling off slowly in function. In these situations, we will most likely end up with some micro-leakage or delamination.
In order to avoid these problems, we have to be very precise and careful in case selection and tooth preparation. Minimally-invasive, controlled reduction techniques have been developed to safeguard tooth structure10 and increase the veneer treatment prognosis, while still delivering the designed final aesthetic result. This article presents a case report featuring an indirect treatment approach using non-invasive mini porcelain veneers to enhance the aesthetics of the smile as an alternative to direct composites.
Case report
A 36-year-old female patient presented for a consultation concerning her anterior aesthetics. She was not pleased with the palatal position of her right lateral incisor (Fig. 1). Owing to her profession—she works as a violinist with regular TV appearances—she often performs in studios, where the lights accentuate the dark space in the area of the lateral incisor. She also wanted to correct the pointed incisal edges of her upper canines (Fig. 2). Apart from reporting these specific problems, the patient requested an overall enhancement of her smile. A main concern of the patient was that all treatment should be done without preparing any of her teeth.
Figs. 1 & 2: Pre-op view of the smile (Fig. 1). Pre-op view. Note the incisal edges (Fig. 2).
On examination, there was an anterior open-bite. When the patient was in centric occlusion, she did not contact the lateral incisors and canines. Even though, orthodontic treatment was the ideal choice for restoring this case, the patient felt she did not want to undergo this type of treatment at this time.
The aesthetic problem could be corrected using either composite resin or porcelain. Porcelain was chosen for this case, as the patient is a frequent coffee drinker and was concerned about possible future discolouration. Feldspathic porcelain offers superior colour stability and physical durability compared with composite resins. It can also be manufactured in very thin layers, allowing for a very conservative reversible treatment.
Full-arch impressions were taken using a vinyl polysiloxane material, and casts were poured (Figs. 3 & 4). No gingival retraction was needed because all margins were supra-gingival. No provisional veneers were fabricated.
Figs. 3–8: Frontal view of the cast (Fig. 3). Occlusal view of the cast (Fig. 4). Frontal view of the diagnostic wax-up (Fig. 5). Occlusal view of the wax-up (Fig. 6). Frontal view of the veneers in the cast (Fig. 7). Occlusal view of the veneers on the cast (Fig. 8).
A diagnostic wax-up was made (Figs. 5 & 6) for evaluative purposes. We decided to elongate teeth 11 and 21 by adding and simultaneously shaping up the incisal edges, and increasing the bulk of the contour facially, to complement the appearance. We also added bulk to tooth 12, to make it part of the arch, and shaped the facial contour of tooth 22 similarly. In addition, we added a little bit of bulk mesially to the incisal edges of the canines, in order to minimise the pointed incisal edges. All changes in the contour were additive and no teeth needed to be prepared. The veneers were manufactured in the laboratory using IPS d.SIGN porcelain (Ivoclar Vivadent), keeping the same shape as the wax-up model. A full facial coverage porcelain veneer was manufactured in teeth 12 and 22. Very thin porcelain edges were fabricated in teeth 13, 11, 21, and 23 (Figs. 7 & 8).
The porcelain veneers were first tried to evaluate their fit (Fig. 9). Using glycerine try-in gels (Variolink Veneer, Ivoclar Vivadent) the aesthetic appearance was also evaluated. The transparent Variolink glycerine gel (MV 0) was chosen in this case as the most appropriate for aesthetics, and therefore, the equivalent transparent luting resin (MV 0, Variolink Veneer, Ivoclar Vivadent) was picked as the cementation medium of choice. A retraction cord (Ultrapak E #00, Ultradent) was placed to prevent gingival fluids from contaminating the teeth during the bonding process.
Figs. 9 & 10: Try-in of the facings to evaluate their fit (Fig. 9). Frontal view of the cemented veneers (Fig. 10).
The surface of the teeth was cleaned with pumice and then the teeth were acid-etched for 30 seconds with 37 per cent phosphoric acid gel. A bonding agent was then applied (Heliobond, Ivoclar Vivadent) according to the manufacturer’s instructions. The internal aspect of the veneers was treated with 5 per cent hydro-fluoric acid for 30 seconds, then silane treated (Monobond-S, Ivoclar Vivadent) for an additional 30 seconds, and finally air-dried with warm air to increase the bond between the ceramic and bonding resin. A bonding agent (Heliobond, Ivoclar Vivadent) was applied over the dried, silanated fitting surface. After gently air thinning the bonding agent, the transparent luting resin (MV 0, Variolink Veneer System, Ivoclar Vivadent) was placed inside the veneers, and the veneers were placed on the teeth. Excess luting composite was removed with a brush and then each veneer was cured for three seconds before additional excess resin was removed while still in gel form. Dental floss was used to remove excess resin from the interproximal areas.
Final curing was accomplished by using the curing light on the facial and lingual surfaces of each tooth. Carbide-finishing burs (Safe End Tapered Round, SS White) were used to remove excess luting resin at the margins and then aluminium oxide polishing strips were used to smooth these areas. Occlusal adjustment was accomplished with carbide-finishing burs (SS White Flame). Diamond and silicone carbide-impregnated rubber polishing cups and points were used to polish all surfaces (Jazz P3S, SS White).
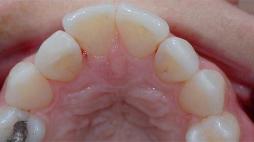
The final images can be seen in Figures 10 and 11. The veneers were manufactured in harmony with the patient’s face and overall appearance (Fig. 12). The aesthetic demands of the patient were met, no teeth were prepared, and an overall enhancement of the smile was achieved.
Conclusion
The adoption of non-invasive methodology during aesthetic treatment is in agreement with not only ethical considerations but also physiological ones. By using non-invasive mini porcelain veneers, we are able to enhance the smile of patients, with a completely reversible approach, without removing any of their natural tooth structure and therefore with no interference with the physiology of their teeth. Owing to the presence of enamel under the whole fitting surface, bonding procedures are very strong and the flexural properties of the underlying natural teeth are also unchanged; thus, they are expected to last for many years.
Naturally, non-invasive methodology cannot always be adopted because of various clinical situations and treatment demands. Nevertheless, whenever possible, additive procedures should be preferred to resectional ones.
Our smile design deviates from the ‘one-smile-fitsall’, ‘denture look’ approach. We aim to create smiles that safeguard the individuality and variability that natural aesthetics exhibit and that are always in harmony with the unique appearance and style of our patients.
Acknowledgements
I would like to thank August Bruguera, MDT, for undertaking all the technical work in this case.
Editorial note: A complete list of references is available from the publisher. This article was originally published in Cosmetic Dentistry Vol. 3, Issue 1, 2009.
Contact info
Dr Dinos Kountouras is the founder and president of Hellenic Academy of Aesthetic Dentistry (EAAO). He can be contacted at dinos@kountouras.com.
Tetracycline exposure results in intrinsic tooth staining that varies in severity based upon timing, duration and form of tetracycline administered. Routine...
Minimally invasive treatments restore form, function and aesthetics with minimal removal of sound tooth structure. Understandably, the restorations age with...
On Friday, 28 February, the host of a free Ivoclar Vivadent webinar Dr Andrea Shepperson will be walking participants through all aspects of injectable ...
In his 1862 monograph, French neurologist Guillaume Duchenne de Boulogne postulated that facial expressions are directly related to a person’s soul.1 ...
DUNDEE, Scotland: Management of irreversible pulpitis in permanent teeth is undergoing a gradual but meaningful shift. Advances in diagnostic understanding ...
Tooth structure preservation is the best way to avoid more invasive therapies. In young patients especially, more conservative techniques should be applied....
NEW YORK, US: Although silver diamine fluoride remains an effective non-invasive option for treating caries, its characteristic black staining is a major ...
A 42-year-old male patient presented to our practice hoping to improve his smile. He was conscious of the worn dentition of the maxillary anterior sextant ...
Dr Alexandra Papanikolaou owns a private dental clinic in Athens in Greece, focused mainly on restorative and aesthetic dentistry. In an upcoming webinar, ...
Natural teeth are complex in structure and difficult to imitate because many colours are distributed through the enamel and dentin.1 The structural ...
Education
Live webinar Thu. 23 April 2026 12:30 pm EST (New York)
Early intervention in growing patients with skeletal Class II malocclusion aims to reduce sagittal discrepancies, guide dentofacial development and minimise...
COPENHAGEN, Denmark: Poor oral health in childhood is known to have consequences far beyond the mouth, including effects on growth, and adult oral health ...
VIENNA, Austria: Beginning tomorrow, the International Osteology Symposium 2026 will bring together the global oral regeneration community at VIECON in ...
To post a reply please login or register