Using the correct files: The advantages of electrical discharge machining technology
In some aspects, dentistry and Formula One are actually not that dissimilar: if you do not expect the root canal to make an abrupt turn during a treatment session, you can quickly end up in the crash barriers here too. Even a seemingly easy case can lead to complications— fractured instruments, edges and ledges in the root canal, tooth loss—which is precisely what one wishes to avoid, particularly in endodontics.
Files manufactured using electrical discharge machining (EDM) can prove helpful here. Manufactured using a special EDM process, the HyFlex EDM files (COLTENE) mainly differ from conventional files in that they are extremely flexible and exceptionally resistant to breakage. Like the proven HyFlex CM files, the HyFlex EDM system also features the controlled memory (CM) effect. For this reason, HyFlex nickel–titanium (NiTi) files can follow the anatomy of the root canal with great precision, thus reducing the risk of step formation, transportation or even perforation. Furthermore, the files can be prebent. This is particularly advantageous in root canals with abrupt curvatures.
Owing to the special anatomy of the patient case presented next, flexible, pre-bendable and fracture-proof files together with the appropriate technique were very important. I therefore, decided to use the modular HyFlex NiTi file system for preparation purposes.
The patient case: Vertucci Type V

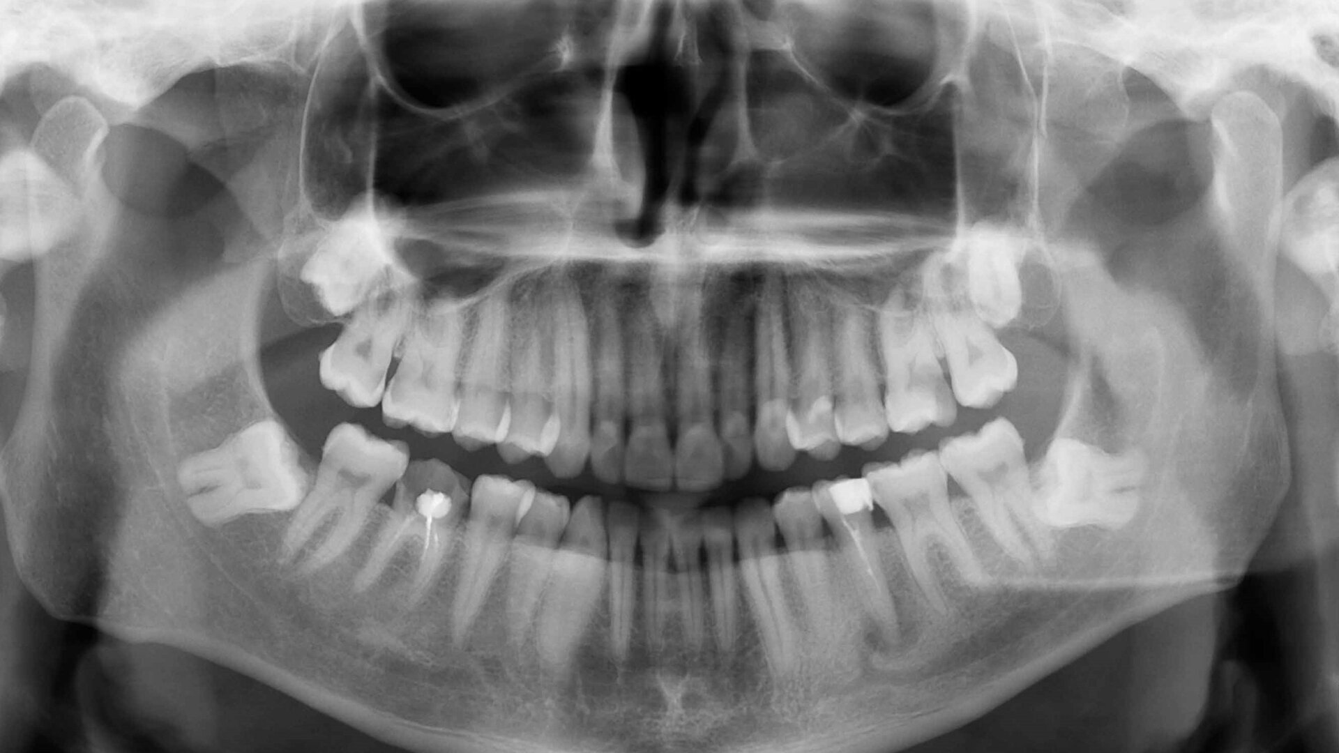
Fig. 1: Pre-op panoramic radiograph.
When the 40-year-old male patient was referred to our practice in the spring of 2018 with persistent complaints regarding the mandibular left second premolar, he was already rather frustrated. He had previously undergone several endodontic treatments at another practice, unfortunately without success. He was suffering from an acute periapical abscess and was in severe pain.

Fig. 2: Dr Andreea Oana Cristescu Roşu at the microscope during treatment.
This was due to a special dental anatomy that had not been identified. In the middle of the root, about 13–14 mm from the cusps, the root canal split into two different canals (Vertucci Type V or deep split). This was easy to see on the initial panoramic radiograph (Fig. 1), which is why I decided to prepare the canals with HyFlex CM and HyFlex EDM files and under magnification (Figs. 2 & 3). This allowed me to follow the respective canal profiles and preserve the root canals as far as possible through optimal and centred preparation in each canal.
The treatment was performed in two appointments. The first appointment involved preparation, cleaning and interim medication with calcium hydroxide. After applying the dental dam to isolate the working field, the 25/0.12 HyFlex EDM Orifice Opener and the 10/0.05 HyFlex EDM Glidepath files were initially used to open the canal and create the glide path. The actual preparation was performed with 15/0.04 and 20/0.04 HyFlex CM files followed by the 25/~ HyFlex EDM OneFile (Fig. 4). During treatment, the canals were rinsed extensively with CanalPro sodium hypochlorite and EDTA and dried with the corresponding HyFlex paper points and the practical, flexible Surgitip endodontic aspirator tips (COLTENE) before application of the calcium hydroxide dressing (Fig. 5). Ultrasonic activation was also used to enhance the effect of the irrigation solutions.
Obturation and final restoration with a fibre post were performed at the second appointment. The radiograph confirmed that I had been able to treat both root canals along the entire length of the tooth (approximately 23 mm) with minimal loss of tooth structure and in the most conservative manner possible (Fig. 6).
The follow-up appointments observed complete healing of the treated tooth (Fig. 7). Together with the patient, we decided that a crown was not necessary for the moment.
To post a reply please login or register