Search Dental Tribune

Dental News

Filter

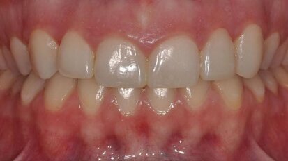
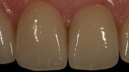
Comprehensive rehabilitation and natural esthetics with implant and orthodontics (CRANIO): An interdisciplinary approach to missing maxillary lateral incisors

The absence of the maxillary lateral incisors creates a functional and esthetic problem that can be managed with different treatment modalities.

save

Carestream Dental to be established as independent company

ROCHESTER, N.Y., USA: Carestream has announced that it will be selling its dental digital business to funds managed by Clayton, Dubilier & Rice, a global ...

save

Acupuncture: Probing its way into dentistry—Part I

An introduction to acupuncture and its practical applications in contemporary dental practice

save

After IDS is before IDS

COLOGNE, Germany: About four weeks ago, the International Dental Show (IDS) closed with record results. Overall, more than 155,000 people from over 150 ...

save

Early-life stress may lead to crooked bite

SEATTLE, USA: It is known that the first 1,000 days after conception significantly affects a person’s life expectancy and disease susceptibility. While ...

save

Investing in growth: Septodont builds new production facilities

SAINT-MAUR-DES-FOSSÉS, France: Septodont, known for its dental pain management products, has built a new facility near Paris for the production of ...

save
advertisement

New research explores effect of strawberries in oral cancer therapy

COLUMBUS, Ohio, USA: As previous laboratory studies have suggested that dietary administration of whole strawberries has substantial potential as a strategy...

save

Open-cohort prospective study on early implant failure and physiological marginal remodeling expected using sandblasted and acid-etched bone level implants featuring an 11° Morse taper connection within one year after loading

Objective: The objective of this study was to evaluate the implant survival and success rates as well as the physiological marginal bone remodeling expected...

save

Kinesiographic analysis of lateral excursive movement on the horizontal plane: the retrusive component

The temporomandibular joint (TMJ) has a functionally complex articulation that during phylogeny underwent an adaptation also linked to posture change after ...

save

Importance of a preoperative radiographic scale for evaluating surgical difficulty of impacted mandibular third molar extraction

Objective: The objectives of the study were to evaluate the correlation between the degree of surgical difficulty measured by an established scale and the ...

save

Essential communication: The use of technology for virtual patient records

Records are an essential and integral component of diagnosis and treatment planning.[1] Moreover, the acquisition of records allows the required ...

save

Three questions for Rik Jacobs, Vertex-Dental

Vertex-Dental, a leading manufacturer of dental products and materials, was recently acquired by global solutions company 3D Systems. The 2017 International...

save
advertisement

Three questions for Keith Batcheller, ClearCorrect

Established in 2006 by Dr Willis Pumphrey, ClearCorrect has grown rapidly to become the second-largest clear aligner manufacturer in the world. The company ...

save

Periodontologists announce first European Gum Health Day

SANTIAGO DE COMPOSTELA, Spain: The European Federation of Periodontology (EFP) has launched the first European Gum Health Day, to be celebrated on 12 May. ...

save

Retrospective analysis of periimplantitis therapy of 158 implants

Objective: The objective of the retrospective analysis was to evaluate the efficacy of periimplantitis treatment up to a five-year observation period.

save

Swiss quality on display: NOUVAG presents latest products at IDS

COLOGNE, Germany: This year’s International Dental Show (IDS) was again a record-breaking one. With 155,000 tickets sold and 2,300 booth spaces rented, ...

save
advertisement

Bone augmentation of canine frontal sinuses using a porous α-tricalcium phosphate for implant treatment

Objective: Compared with hydroxyapatite, alpha-tricalcium phosphate (α-TCP) is more biodegradable and shows better integration during physiological ...

save

Children with Type 2 diabetes more prone to poor oral health

BUFFALO, N.Y., USA: Although it is well-known that there is a link between poor oral health and diabetes, as well as prediabetes, in adults, no research has...

save

Dangerous X-ray radiation: German authorities caution Asian IDS exhibitors

COLOGNE, Germany: German authorities took radiographic units of three Asian manufacturers out of service during this year’s IDS. The devices were ...

save

Biological and physical properties of bone block grafting biomaterials for alveolar ridge augmentation

Objective: Bone resorption of maxillary ridges is an unavoidable process that occurs after tooth extraction. Many treatment alternatives have been proposed ...

save
advertisement

Replacing a failing dentition with new technology

Having the ability to take a patient from start to finish in a fewer amount of appointments within your practice allows you to position yourself as a ...

save

Interview: “We have the skills to help alleviate the suffering of fellow humans”

Through its Clinical Masters Programs, Tribune Group offers continuing medical education (CME). In courses held all over the world, participants receive ...

save
advertisement

IDS 2017 sets new record

COLOGNE, Germany: More than 155,000 people from 157 countries visited the International Dental Show (IDS) this year, according to the latest figures ...

save

Fotona unveils future of dentistry at IDS

At the 37th International Dental Show, dental laser specialiest Fotona officially announced its new Adaptive Structured Pulse (ASP) technology, a key ...

save

Interview: “Our new products are game-changing”

On Monday night, global leader in dental manufacturing Planmeca welcomed around 700 international distributors to its Dealer Event at the Musical Dome in ...

save

Edelweiss presents POST & CORE and Digital Smile System

“Although a wide variety of post and core restoration technologies and materials have been introduced into the dental market, there is no consensus on...

save
advertisement

“Because you care”: W&H previews new image campaign at IDS

COLOGNE, Germany: At the W&H press event on Monday, a visibly good-humoured Managing Director Peter Malata ushered in the upcoming International Dental Show...

save

Philips introduces future of oral health care and patient care

COLOGNE, Germany: On Tuesday, oral health care provider Philips hosted its customary media breakfast at the International Dental Show (IDS) in Cologne. In ...

save

Publishers’ Meeting: DTI is becoming a digital dental service platform

COLOGNE, Germany: Over the last two days, ahead of the 37th International Dental Show, Dental Tribune International (DTI) held its 13th Annual Publishers’...

save

Work hard, play hard: What’s on in Cologne during IDS?

COLOGNE, Germany: Next week, the International Dental Show (IDS)—not just any but the biggest event in dentistry—will be hosted in Cologne, attracting ...

save
advertisement
advertisement