Search Dental Tribune

Dental News

Filter

HPV vaccination may lower risk of oral infections that cause mouth cancer

CHICAGO, USA: A study conducted in the U.S. has found that the human papillomavirus (HPV) vaccine may help reduce oral infections that cause mouth and ...

save

Award-winning seaweed drug helps fight disease

CARDIFF, UK: Together with Norwegian biopharmaceutical company AlgiPharma, researchers at Cardiff University have been working on new drugs to combat ...

save

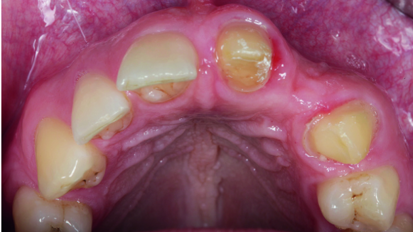
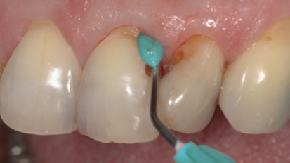
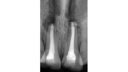
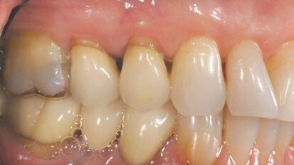
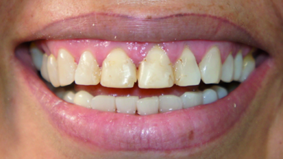
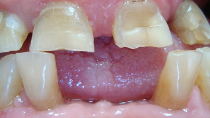
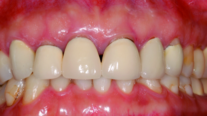
Cosmetic enamel restoration using naturomimetic layering technique—Part I

A human face takes priority when determining physical attractiveness.[1] If we group the facial components according to their influence on appearance, the ...

save

US Environmental Protection Agency reinstate amalgam management ruling

WASHINGTON, USA: The Environmental Protection Agency (EPA) has issued a final rule on the management of dental amalgam discharges into sewer systems. The ...

save

US agency reinstates rule on amalgam management

WASHINGTON, USA: The Environmental Protection Agency (EPA) has issued a final rule on the management of dental amalgam discharges into sewer systems. The ...

save

Interview: “The world is becoming a noisier place each year”

Although noise exposure in dentistry may appear to be minimal, the potential for noise-induced hearing loss is an issue in the field. Various studies have ...

save
advertisement

New research may revolutionize root canal treatment

PORTLAND, Ore., USA: Researchers at the Oregon Health and Science University (OHSU) have developed a revolutionary process by which to engineer new blood ...

save

Periodontal pathogen may interfere with conception in young women

HELSINKI, Finland: In a new study recently carried out by researchers at the University of Helsinki, it was found that the common periodontal pathogen ...

save

Periodontal pathogen may interfere with conception in young women

HELSINKI, Finland: In a new study recently carried out by researchers at the University of Helsinki, it was found that the common periodontal pathogen ...

save

DT Bulgaria celebrates tenth anniversary of Smile of the Year awards

SOFIA, Bulgaria: Dental Tribune Bulgaria recently celebrated the tenth anniversary of its Smile of the Year national dental competition, which recognises ...

save

Smoking during pregnancy may harm child's tooth development

OTAGO, New Zealand: A study conducted by researchers at the University of Otago has found that women who smoke more than ten cigarettes a day while pregnant...

save

Water fluoridation receives generous funding in NZ budget

WELLINGTON, New Zealand: The dental well-being of New Zealand’s population has just been given a boost. Health Minister Dr Jonathan Coleman has announced ...

save
advertisement

New research on mandible and premolar fossils could rewrite human history

TÜBINGEN, Germany: For the general public, the debate as to where humankind originated might not seem like a current topic. However, the highly ...

save

Strengthening the editorial powerhouse: DTI holds first Editors’ Meeting

LEIPZIG, Germany: Providing quality and valuable information in dentistry has always been a primary aim of the Dental Tribune International (DTI) publishing...

save

Cervitec F survey: Results point to a well-liked product

SCHAAN, Liechtenstein: In a survey recently conducted by Ivoclar Vivadent on its new protective varnish, Cervitec F, respondents commented favourably on its...

save

Smoking during pregnancy may harm child’s tooth development

OTAGO, New Zealand: A study conducted by researchers at the University of Otago has found that women who smoke more than ten cigarettes a day while pregnant...

save
advertisement

Primary dentition study links exposure to toxins in early life to autism

NEW YORK, USA: Evidence found in primary dentition has suggested that exposure to specific toxins and nutrients is associated with the risk of developing ...

save

Interview: “We are seeking to make inroads in markets that we have underserved for the last several years”

Being one of the oldest dental bur manufacturers worldwide, US company SS White has aimed to strengthen and grow its global footprint at this year’s ...

save

“Heart of esthetics”: Cosmetic dentists gather for annual meeting

ZAGREB, Croatia: From 21 to 23 September, the European Society of Cosmetic Dentistry (ESCD) is holding its 14th annual meeting in Zagreb. The congress will ...

save

Non-ablative melanin depigmentation of gingiva

Melanin depigmentation of gingiva using various laser wavelengths have been reported for over ten years.[1–5] Layer by layer, the mucosa is ablated ...

save
advertisement

Global mercury treaty to be put into force

BRUSSELS, Belgium: The European Union, together with seven of its member states, has ratified the Minamata Convention on Mercury and resultantly provided ...

save

History of vitamin D deficiency hidden just under the enamel

ONTARIO, Canada: With over a billion people worldwide estimated to be affected, vitamin D deficiency has long been a topic of discussion among health ...

save
advertisement

HPV vaccination may lower risk of oral infections that cause mouth cancer

CHICAGO, USA: A study conducted in the U.S. has found that the human papillomavirus (HPV) vaccine may help reduce oral infections that cause mouth and ...

save

The use of CBCT and CAD/CAM techniques in complex implant-supported rehabilitation of maxilla—Part I

Patients who visit our clinic and wish to receive prosthetic treatment are frequently unaware of the possibilities that modern medicine has to offer. ...

save

Research on pufferfish could lead to addressing tooth loss in humans

SHEFFIELD, UK: According to new research by an international team of scientists, human teeth evolved from the same genes that form the characteristic beaked...

save

Study analyses unique root canal anatomy patterns in Indian population

NAVI MUMBAI, India: Provisional findings of an Indian study have suggested that the root canal anatomy of Indians might differ from those of other ...

save
advertisement

W&H and Planmeca joint branch office opens officially

BANGALORE, India: After having announced their joining forces to expand in the Indian dental market last autumn, W&H Managing Director Peter Malata and ...

save

Start preparing for IDS 2019 now

LEIPZIG, Germany: Two months after a successful attendance at the International Dental Show (IDS) in Cologne in Germany, Dental Tribune International (DTI) ...

save

7th international Laser and Health Academy Symposium

During this year’s Laser and Health Academy Symposium (LA&HA), 70 clinical experts from around the world gathered to present, share and discuss their ...

save

Planmeca showcases new technology in Belgrade

BELGRADE, Serbia: Serbian dental supply company Plast-DENT recently teamed up with Planmeca to organise a digital solutions seminar in Belgrade. Held in ...

save
advertisement