Photon induced photoacoustic streaming (PIPS) is a low-energy (20mJ) technique based on very short Er:YAG laser-emitted photons introduced into an irrigation solution inside the access of the tooth. This process, which uses the Lightwalker (Lasers4Dentistry), introduces an aggressive and effective photoacoustic streaming or tidal wave of irrigation solution into canals, accessory anatomy and deep into the dentinal tubules of the root canal system. PHAST PIPS can be described as “irrigation on steroids”.
The goal of PHAST PIPS is to greatly enhance chemical debridement of the complete root canal system in concert with mechanical instrumentation to reduce the microorganism load to as low as possible.
This article will introduce four PHAST PIPS cases and will discuss why to use PIPS, how to use PIPS and when to use PIPS.
Case 1
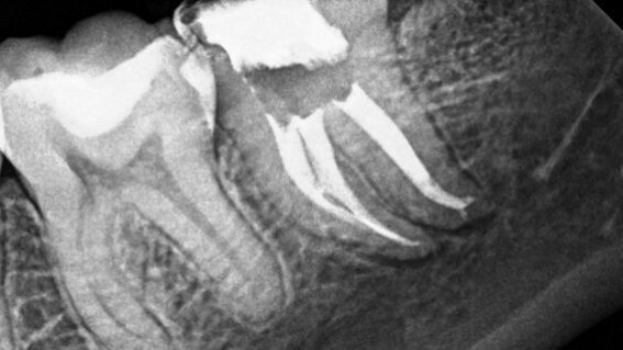
A 20-year-old female patient presents to the office with instructions from her dentist stating: “Please remove the file and finish the root canal.” The patient’s dentist initiated root canal treatment on #37 two days prior and separated a rotary instrument in the apical one-third of the distal canal (Fig. 1a).
Clinical testing revealed a temporary crown with percussion and bite sensitivity. Probing, palpation and mobility were within normal limits. Endodontic therapy was initiated on tooth #37 with a diagnosis of previously initiated therapy with symptomatic apical periodontitis.
Upon access, it was noted that the coronal shape was underprepared. The coronal flare was com-pleted with a ProTaper Sx (DENTSPLY) orifice opener and Gates Glidden #2 and #3. The PIPS irrigation technique with the Lightwalker Er:YAG laser was used for 30 seconds with the access chamber continually flushed with 6 per cent sodium hypochlorite.
After applying this technique in more than 1,500 cases, I have found that “PIPS-ing” after the coronal flare allows easier and quicker negotiation, which then helps the clinician to obtain an accurate working length.
After drying the three canals with the EndoVac Macrocanula, the top portion of the file was visualized. The UT4 (eie2) ultrasonic tip was used in 10-second increments to vibrate the top of the file and create lateral space to allow file movement and escape. After each ultrasonic use, the canals were flushed with sodium hypochlorite and the distal canal was dried with the macrocanula to allow visualization of the file. After the third ultrasonic increment, the file loosened but did not dislodge.
The PIPS technique was used again for 30 seconds, alternating with ultrasonic vibration of the file. On the third PIPS use, the file floated out of the canal.
An accurate working length was established with a Root ZX (J. Morita) and an open glide path created. The canals were shaped with the WaveOne Primary (DENTSPLY) reciprocating rotary file and obturated with a resin-based sealer (Fig. 1b).
embedImagecenter("Imagecenter_1_1328",1328, "large");
Case 2
An asymptomatic male patient presents to the office with a referral card with the instructions: “Please remove the separated file, fill and leave post space.” The root canal was initiated by his general dentist one week prior. During the procedure, a file was separated in the palatal canal. The dentist was able to shape and obturate the buccal canal. The diagnosis was listed as previously initiated therapy with asymptomatic apical periodontitis.
The root canal was initiated and the access was opened. A 30-second PIPS cycle with the Lightwalker Er:YAG was completed with 6 per cent sodium hypochlorite to clean out any residual debris. The Endo-Vac Macrocanula was used to remove fluid from the canal. The top of the file was visualized through the microscope.
The UT4 (eie2) ultrasonic tip was used in 10-second increments to help vibrate the top of the file and to create lateral space. The file was slightly loosened after a few ultrasonic uses, but not completely dislodged. Two 30-second PIPS cycles were completed in between and after ultrasonic use. On the third PIPS cycle of the procedure, the file floated out of the canal. (In some cases I was unable to remove a separated file with ultrasonics and PIPS.)
The canal was then properly shaped and obturated with an apical plug of zinc oxide eugenol sealer and gutta-percha using a warm-vertical technique. A post space was left as requested by the general dentist (Figs. 2a & b).
Case 3
A male patient presents to the office with a history of chewing pain and a constant ache on #26 of one week duration. Clinical tests reveal #26 is percussion, bite-stick and cold-test negative, and a diagnosis is listed as pulp necrosis with symptomatic apical periodontitis.
Root canal treatment was initiated on tooth #26, and four necrotic canals were located. The coronal flare shape was completed, and the PIPS (Lightwalker Er:YAG) irrigation method was used with 6 per cent sodium hypochlorite for 30 seconds. A working length was obtained and an open glide path was achieved with the Path File rotary files (DENTSPLY). An open glide path was difficult to achieve because of length and angulation of the canals.
The shaping procedure commenced with the WaveOne Primary file 0.08/#25 tip (DENTSPLY). The shaping procedure was slow and difficult, and it took five to seven passes (a pass is defined as an entry into the canal, up-and-down shaping, and exiting the canal) with the WaveOne Primary file to fully shape all four canals to working length.
The PIPS technique with 6 per cent sodium hypochlorite was used twice during the shaping procedure to help clear the dentinal debris. Patency was established after every pass with a #10 K file. The final protocol PIPS was completed to help chemically debride the root canal system, and the canals were obturated with a zinc oxide eugenol sealer and gutta-percha using a warm-vertical technique.
Upon completion it was noted that an accessory canal in the palatal and a lateral canal in the midroot of the distobuccal canals were filled with sealer (Figs. 3a & b).
Case 4
A male patient presents to the office with an on-and-off toothache of approximately 10 months’ duration. Clinical tests reveal a percussion- and bitestick-sensitive maxillary first bicuspid. The tooth does not respond to cold tests. The diagnosis is listed as pulp necrosis with symptomatic apical periodontitis. Radiographs show an apical and lateral radiolucency.
Root canal treatment was initiated on tooth #14, and two necrotic canals were located. The coronal flare or opening was completed, and a 30-second PIPS cycle with 6 per cent sodium hypochlorite was initiated. Working length and glide path were obtained, and the canals shaped with the WaveOne Primary (DENTSPLY) reciprocating file. During the shaping procedure, a 30-second PIPS bleach cycle was completed.
The canals were obturated with a zinc oxide eugenol sealer and gutta-percha using a warmvertical technique. The post-operative radiographs showed a lateral canal filled with gutta-percha leading to the lateral radiolucency (Figs. 4a & b).
Conclusion
Along with mechanical debridement, the PIPS Lightwalker Er:YAG irrigation technique shows great potential in debridement of the root canal system, including main canals, lateral/accessory canals, isthmuses and dentinal tubules (why to use PIPS). Various studies [1,2] show that the PIPS technique greatly reduces bacterial flora. As always, ongoing research is needed to show how much the PIPS Lightwalker Er:YAG can really accomplish in debridement.
The PIPS Lightwalker Er:YAG technique works best when the dental assistant irrigates the access continuously while suctioning any excess solution running from the area. The trick is to keep the access chamber full of solution so that the 4mm unsheathed portion of the PIPS tip stays submerged in fluid. This can be accomplished by the dental assistant moving the surgical suction closer or farther away from the access to allow just the right amount of solution (how to use PIPS).
I recommend using the PIPS Lightwalker Er:YAG technique to enhance chemical debridement after the coronal flare, once during the cleaning and shaping phase and just prior to obturation (when to use PIPS).
I have completed more than 1,500 cases using the PIPS as an irrigation technique. I have kept my endodontic technique nearly the same but added the PIPS Lightwalker Er:YAG to enhance chemical debridement (laser-assisted irrigation). Based on my clinical observation, I feel that I have a decreased post-operative sensitivity, and when I look through the microscope after the final PIPS cycle, the canals are so exceptionally clean that I notice the dust that the paper points give off. As far as a better success rate, the jury is still out. It seems that since I have incorporated the PIPS technique, I have had less post-operative problems and better healing.
In conclusion, PIPS and the photoacoustic wave of irrigant it produces appear to have a bright future in endodontics.
References
1. Peters OA, Bardsley S, Fong J, Pandher, DiVito E, JOE: p. 1008–1112, Vol. 37, No. 7, July 2011.
2. Jaramillo DE, Aprecio RM, Angelov N, DiVito E, McClamy TV, Endodontic Practice: p. 28–32, Vol. 5, No. 3, 2012.
This article was published in roots_international magazine of endodontology No. 01/2014.
As the global conversation around oral health continues to evolve, the European Federation of Periodontology (EFP) is playing an increasingly influential ...
MELBOURNE, Australia: Encompassing innovations such as virtual care, remote monitoring, mobile health apps and artificial intelligence (AI), digital health ...
Oratomic4D is a technology company based in Sydney in Australia specialising in 3D-printing technology and developing and manufacturing biomimetic dental ...
CHICAGO, US: Dentistry is undergoing a generational and gender shift. As highlighted in The U.S. Dentist Workforce, a new report from the American Dental ...
There are enormous differences in opinion regarding the best methods for shaping root canals. A review of the literature reveals virtually no agreement on a...
In 2017, master dental technician Stephan Kreimer joined the family business as the managing director of Kreimer Dentallabor, a state-of-the-art dental ...
OSLO, Norway: Dentist and University of Oslo lecturer Dr Carl Christian Blich believes Norway will be a place in which fewer dentists are required in the ...
I will be speaking on the topic of artificial intelligence (AI) and dentistry at the British Dental Conference & Dentistry Show (BDCDS) in Birmingham, ...
SINGAPORE: The Association of Orthodontists (Singapore) Congress (AOSC) has reinforced its status as a leading event for orthodontic professionals with a ...
Exocad, an Align Technology company and one of the leading providers of dental CAD/CAM software, is set to showcase the next level of dental CAD design at ...
Live webinar
Tue. 9 December 2025
7:00 pm EST (New York)
Prof. Dr. Wael Att, Dr. Robert A. Levine DDS, FCPP, FISPPS, AOD
Live webinar
Wed. 10 December 2025
10:00 am EST (New York)
Live webinar
Wed. 10 December 2025
12:00 pm EST (New York)
Live webinar
Wed. 10 December 2025
1:00 pm EST (New York)
Live webinar
Wed. 10 December 2025
1:00 pm EST (New York)
Live webinar
Thu. 11 December 2025
3:00 pm EST (New York)
Live webinar
Fri. 12 December 2025
1:00 pm EST (New York)
To post a reply please login or register