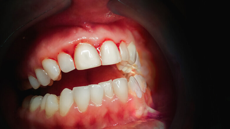
OKAYAMA, Japan: In a recent study, researchers from Okayama University investigated whether involuntary masseter muscle activity showed any specific pattern concerning the severity of periodontitis. According to their results, after performing detailed measurements in a group of people with various degrees of periodontal disease, they found that bruxism might be related to its acuteness.
A total of 31 participants took part in the study, 16 of whom had no or mild periodontitis (NMP), with the remaining 15 having moderate to severe periodontitis (MSP). To ensure researchers were able to attain as in-depth results as possible, participants were equipped with a portable electromyography (EMG) device and monitored both day and night.
In addition to wearing the device, participants of the study were also required to keep a diary—noting activities such as when they ate their meals, which enabled researchers analysing the data to filter out all muscular activity not related to involuntary teeth grinding. Teeth movement due to speech was filtered out by monitoring voice activity from a microphone attached to the EMG device.
According to the study’s results, during both waking and sleeping hours, the duration of masseter muscle activity was significantly longer in the MSP group than in the NMP group. However, due to oral conditions such as missing teeth or the use of removable partial dentures not being taken into account, as well as the limited capabilities of the EMG setup, researchers stated that bruxism leading to periodontitis could not be concluded.
The study, titled “Relationship between severity of periodontitis and masseter muscle activity during waking and sleeping hours”, was published in the Archives of Oral Biology on 1 March 2018.
Tags:
CLEVELAND, U.S.: Obesity and periodontal disease remain the most common noncommunicable diseases in the U.S. A recent study has explored the effect of ...
UMEÅ, Sweden: In the largest study of its kind, researchers from the Institute of Odontology at Umeå University in Sweden and the Bristol Dental School in...
KUOPIO, Finland: A large Finnish population-based study has assessed periodontitis using salivary biomarkers—rather than clinical and radiographic oral ...
PENNSYLVANIA, U.S.: Child obesity throughout the Western world is becoming more of a common problem. In a new study that may help our comprehension of the ...
ITABIRA, Brazil: Verbal bullying at school can negatively impact an adolescent’s mental health, causing distress and anxiety. A Brazilian study has shown ...
ORLANDO, Fla., U.S.: In a new study, researchers compared the oral health status of women with preterm prelabor rupture of membranes (PPROM) and women with ...
SINGAPORE: The skin and teeth share ectodermal tissue origins, and a number of studies have demonstrated an association between atopic dermatitis and ...
BERLIN, Germany: For the first time, researchers from Charité—Universitätsmedizin Berlin have shown that the amoeba Entamoeba gingivalis, commonly found...
DALLAS, US: An increased burden of cerebrovascular disease could be connected to a genetic predisposition for poor oral health, according to a new study ...
HOUSTON, U.S.: A balanced oral microbiome can contribute to good cardiovascular health by converting dietary nitrate into nitric oxide (NO), a signaling ...
Live webinar
Thu. 22 January 2026
9:00 am EST (New York)
Prof. Judith Jones D.D.S; M.P.H., Prof. Kakuhiro Fukai D.D.S., Ph.D, Dr. Bathsheba (Bethy) Turton
Live webinar
Thu. 22 January 2026
2:00 pm EST (New York)
Dr. Nicola M. Grande DDS, PhD
Live webinar
Wed. 28 January 2026
8:00 am EST (New York)
Live webinar
Wed. 28 January 2026
11:00 am EST (New York)
Prof. Dr. Jan-Frederik Güth
Live webinar
Wed. 28 January 2026
11:00 am EST (New York)
Dr. Algimante Lošytė – Jančė
Live webinar
Wed. 28 January 2026
12:00 pm EST (New York)
Live webinar
Wed. 28 January 2026
1:00 pm EST (New York)
Dr. Marina Siegenthaler Dr. med. dent. eidg. dipl. Zahnärztin SSO