Many years ago already, the anatomy of root canals was described as showing variability and being of a complex nature.[1] According to Vertucci, the mandibular first premolar has one canal at the apex in 74.0% of teeth, two canals at the apex in 25.5% and three canals at the apex in 0.5% of teeth.[2]
Case report
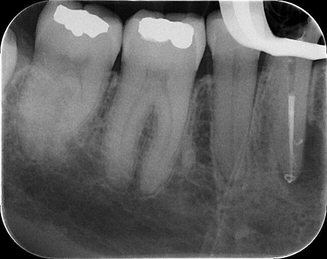
A 63-year-old female patient was referred to my UK practice for root canal therapy of tooth #44. The tooth did not respond to the cold sensitivity test and was slightly tender on percussion. The patient complained of previous episodes of swelling of the buccal gingiva. From analysis of the periodical radiograph, a wide occlusodistal cavity and a J shaped radiolucency in the apical area of this tooth were noticeable (Fig. 1). The root canal was visible until 8 or 9 mm from the apex and then disappeared. This kind of disappearance is often present in teeth with a Type V anatomy, where one root canal leaves the pulp chamber and divides shortly before the apex into two separate and distinct root canals with separate apical foramina (Vertucci classification[3]). This kind of root canal was very difficult to shape with the first generations of nickeltitanium files and required extensive removal of sound dental tissue in order to gain straight access to the canals.
Fig. 1
Fig. 2
Fig. 3
Fig. 4: A VDW.ROTATE 20.05 file pre-bent before insertion into the lingual canal.
Fig. 5: VDW.ROTATE 15.04 and 20.05 files inserted into the root canals for the working length radiograph.
Fig. 6: Working length radiograph.
Fig. 7: Pre-bent EDDY tip.
Fig. 8: Intra-op radiograph.
Fig. 9: Post-op radiograph.
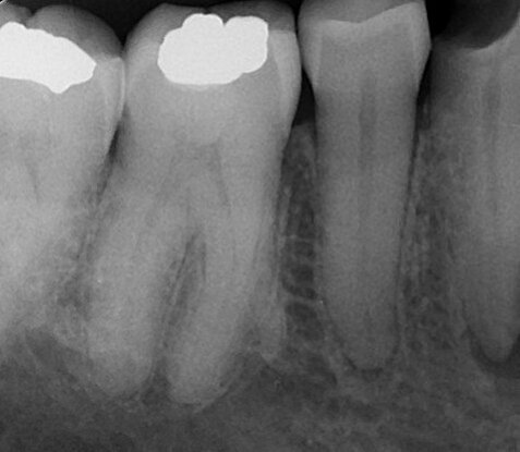
The pulp chamber was opened with a high-speed handpiece and a round bur, and the root canal system rinsed with 5% sodium hypochlorite and then scouted with a prebent ISO size 10 C-PILOT file (VDW). The buccal canal was easily scouted. Orientating the tip of the C-PILOT file lingually, the lingual canal was explored with difficulty and the file came out bent at 10 mm from the tip (Figs. 2 & 3). Preliminary working lengths were immediately established using an apex locator (VDW.CONNECT Locate, VDW) and the C-PILOT file and these were 20.5 and 21.0 mm.
In cases with abrupt curvature in the coronal or middle third, it is recommended to use flexible instruments very resistant to cyclic fatigue. The resistance to cyclic fatigue depends on the alloy used to produce the file and the core of the file. For those reasons, I decided to shape this tooth with the basic sequence of the VDW.ROTATE system (VDW). The blue alloy confers to this file great resistance to cyclic fatigue and permits easy bending of the tip in order to facilitate introduction of the file into an abrupt curvature in the middle third (Fig. 4). The shaping started with the first two files of the basic sequence: the 15.04 and 20.05 were used with a pecking motion in accordance with the manufacturer’s instructions regarding the torque limit and the revolutions per minute. All the shaping was carried out using the VDW.CONNECT Drive (VDW) connected to the apex locator under continuous working length control. In the lingual canal, the files were pre-bent and then introduced manually into the curvature. After that, the file was easily connected to the handpiece thanks to its very small head.
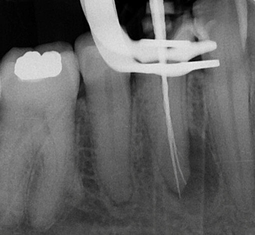
A radiograph to confirm the final working lengths was carried out with an endodontic ring holder and the VDW. ROTATE 15.04 and 20.05 files (Figs. 5 & 6). The last instrument at the apex was the 25.04 file owing to its flexibility and reduced core (compared with the 25.06 file) using the same strategies as in the previous steps. Final rinses with EDTA solution and sodium hypochlorite were followed by activation of the solution with a pre-bent EDDY tip (VDW, Fig. 7) for 20 seconds. The canals were then dried and filled with AH Plus (Dentsply Sirona) and two gutta-percha cones matching the VDW.ROTATE instruments (VDW) and made of a more heat-conductive gutta-percha with a lower melting temperature using the continuous wave technique up to the bifurcation. A radiograph was taken (Fig. 8) to check the root canal fillings and then a fibre post and core build-up were carried out. The final radiograph showed good filling of the root canals with small extrusions of the sealer through the buccal foramen and a lateral canal (Fig. 9). The patient was referred to her dentist for permanent restoration of the tooth. Six months of follow-up was planned in order to control the outcome of the treatment.
Conclusion
Martensitic files are easily bendable and, if pre-bent, permit the clinician to bypass ledges and shape very curved Type V canals mechanically. In addition, these files are more resistant to cyclic fatigue. The VDW.ROTATE system offers files of different ISO sizes and the finishing files have two different tapers: the .04 can be used safely in very difficult anatomies because having a reduced core increases cyclic fatigue resistance.
The crown-down approach is the most effective procedure for root canal debridement, especially in the molars. However, in simpler cases, a combination of ...
What is the secret behind waking up every day, looking forward to peering into the microscope in search of a new adventure or a fresh challenge to solve? ...
Clear aligners are not always a perfect alternative to conventional orthodontic appliances.1–4 Although theoretically it is possible to achieve good ...
This was a challenging case with the combined issues of a failed root canal therapy and an iatrogenic perforation of the floor of the pulp chamber. Though ...
HELSINKI, Finland: Known for its ease of use and accuracy, the Planmeca Emerald intra-oral scanner can now be used in the production of the mandibular ...
Minimally invasive—the most well-known oxymoron in dentistry—is probably nowadays considered the new standard of care in almost every field of dental ...
Dental implants are widely accepted as a successful method for replacing missing teeth. The success of dental implant treatment depends on many factors, ...
Adult orthodontic patients insist on aesthetic treatment options that have the least possible impact on their work and life. Clear aligners are an excellent...
A 76-year-old female patient visited our clinic owing to pain in the left maxilla. She had a fistula in the buccal gingiva between tooth #25 and position ...
A 70-year-old female patient visited our clinic owing to a fractured maxillary first molar. Tooth #24 had previously had a large composite restoration that ...
Education
Live webinar Wed. 29 April 2026 7:00 pm EST (New York)
Root canal anatomy with all of its inherent complexity still represents a very serious challenge to modern root canal therapy. Even with many breakthroughs ...
SCHAAN, Liechtenstein: On 14 April, media representatives gathered for the first Ivoclar Media Connect event at the new Ivoclar Campus at the company’s ...
BALTIMORE, US: Growing evidence suggests that the oral microbiome may influence the development of cancers beyond the oral cavity. In a recent preclinical ...
To post a reply please login or register