A hybrid treatment approach can help overcome the limitations of aligners in achieving challenging tooth movement in complex cases. (Image: SOMKID THONGDEE/Shutterstock)
Clear aligners are not always a perfect alternative to conventional orthodontic appliances.1–4 Although theoretically it is possible to achieve good clinical results solely with aligners, even in complex cases, such treatments have substantial limitations and require much longer to complete. Long treatment duration and the number of treatment steps required can make such treatment impractical and economically unviable. Moreover, since aligner treatment, compared with conventional orthodontic treatment, is more reliant on patient compliance for successful results, in our experience, it is more challenging to keep patients motivated during treatments of longer duration.5
Modern orthodontic aligner therapy has now been used for over 20 years by orthodontists and general dentists worldwide. Currently, clear aligners can be successfully used to treat many types of malocclusion, provided their use is based on proper diagnostics, prognosis and treatment planning and qualified clinicians are monitoring treatment. Although there have been significant improvements in the efficacy of treatment with aligners, clear aligners have their limitations, like any other treatment appliance. Scientific evidence shows that the effectiveness of aligners is less than that of fixed appliances, especially in achieving complicated tooth movement.6–10
These limitations can be overcome by not restricting the treatment options to clear aligner use only and incorporating the use of other orthodontic auxiliaries and tools in conjunction with aligners where needed. This hybrid approach of incorporating orthodontic auxiliaries in treatment planning where most of the tooth movements are planned with aligners and auxiliaries are used only for the more difficult ones is the method that was used to treat the patient reported on in this article.
Diagnosis and aetiology
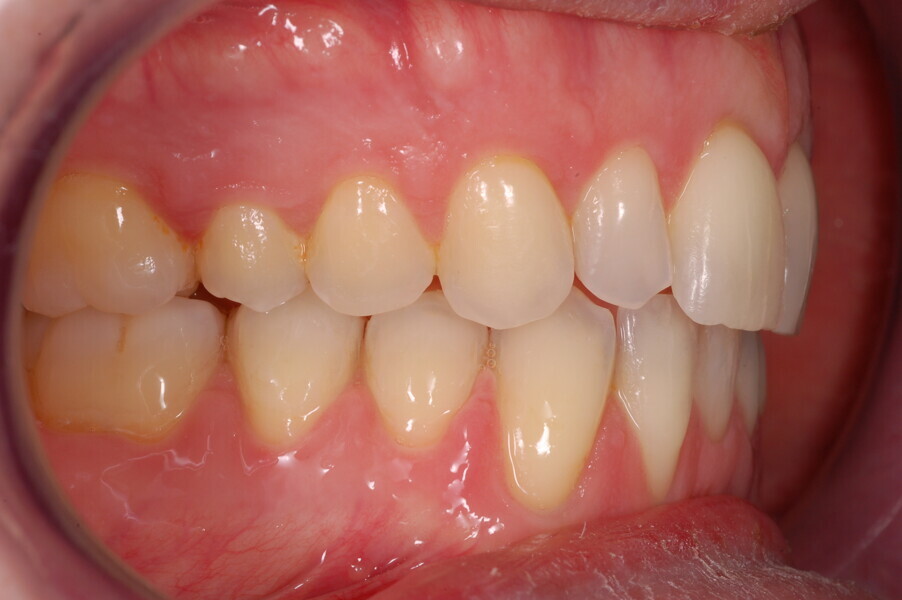
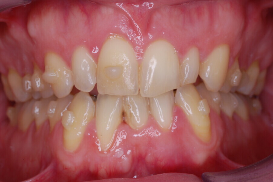
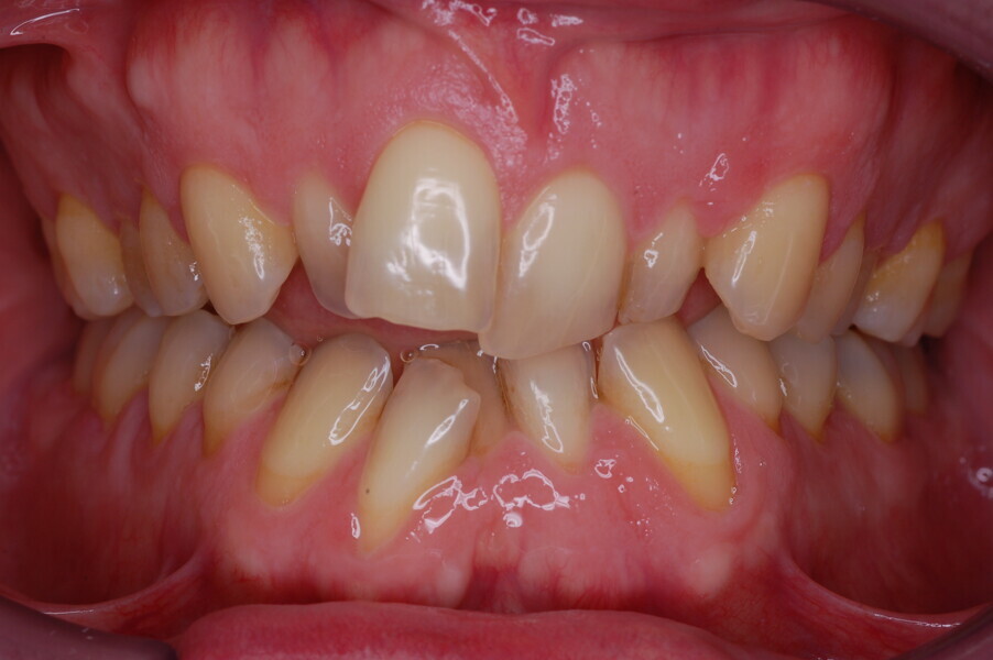
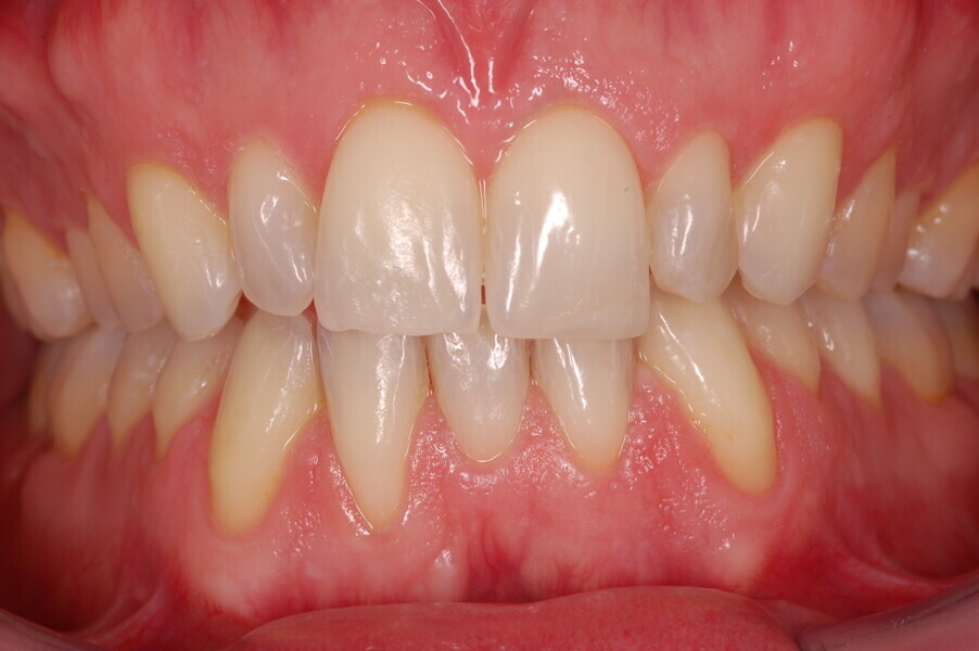
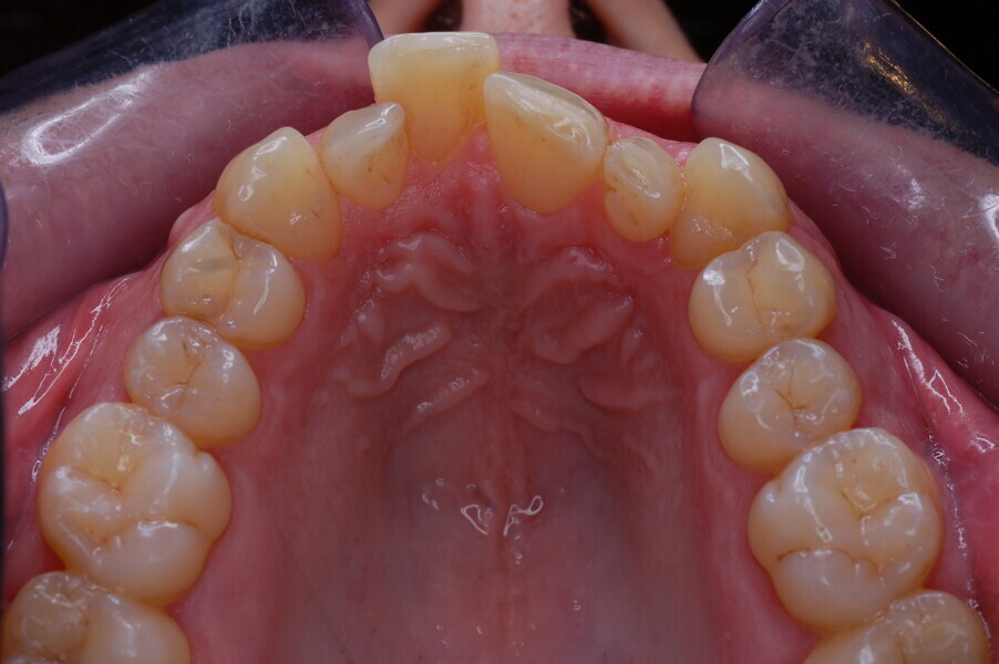
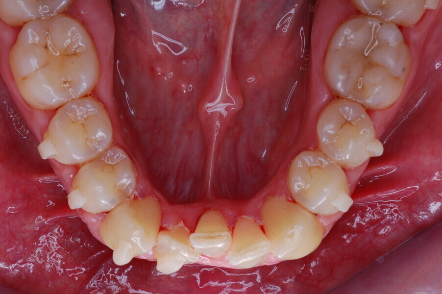
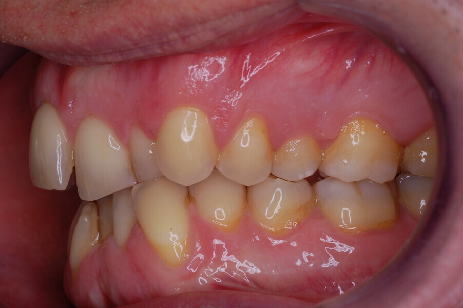
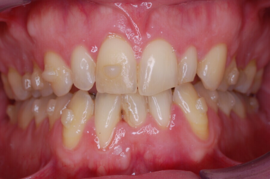
A healthy 39-year-old man presented to our orthodontic office with the chief complaint of an unattractive dental appearance and fear of the orthognathic surgery proposed by another orthodontist. Clinically, the patient’s profile was straight, and the frontal view did not show any facial asymmetry. The functional examination did not reveal any mandibular deviation or reduced movements. The patient had no joint pain, and no joint noise was observed.
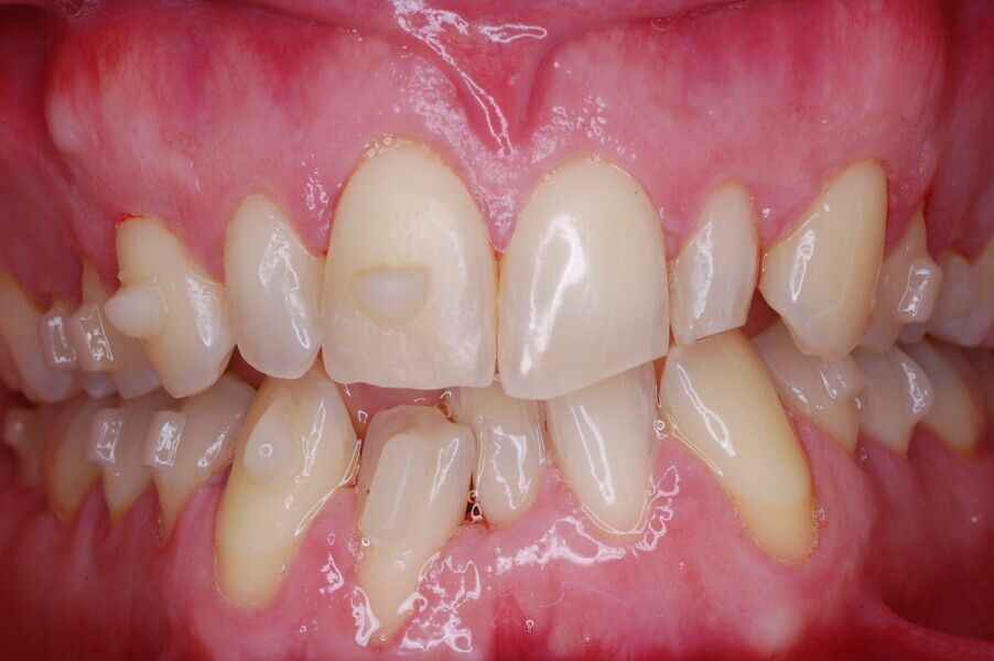
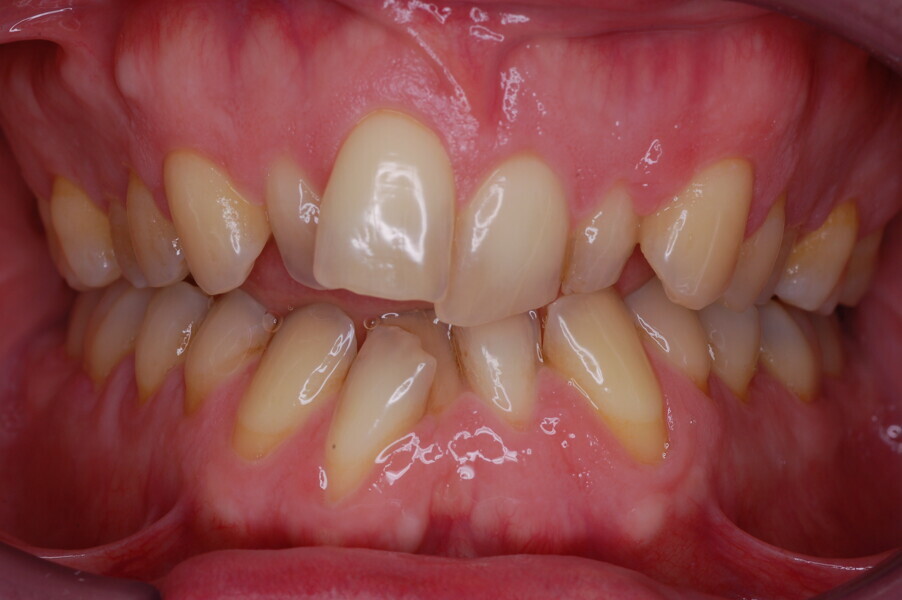
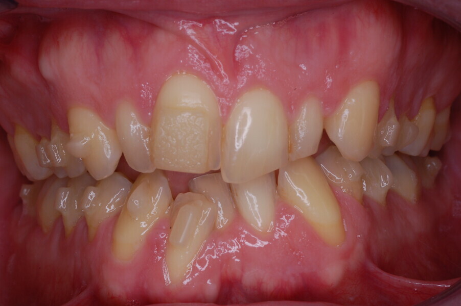
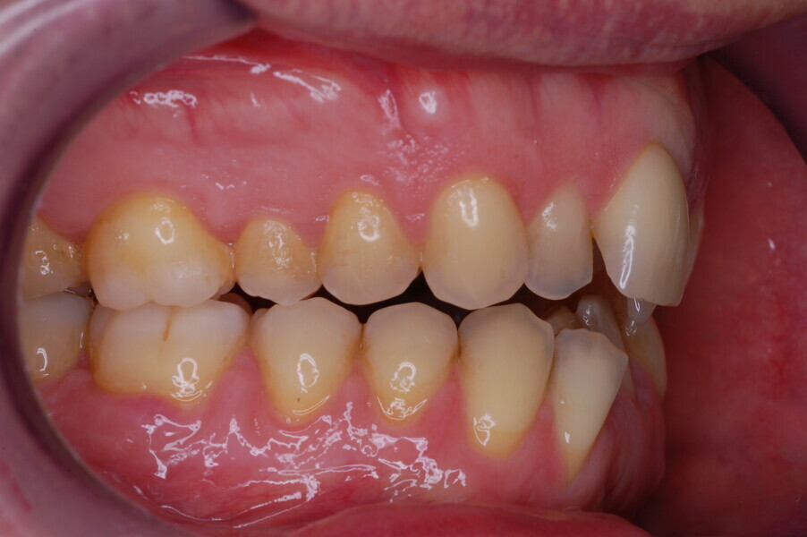
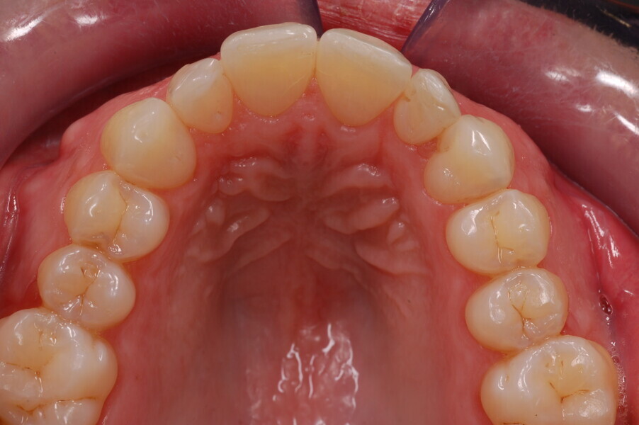
Figs. 1–8: Pretreatment facial and intra-oral photographs.
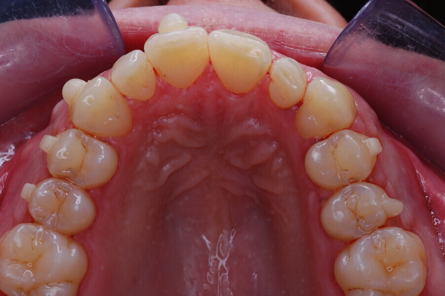
From the periodontal point of view, the patient showed a good attitude to oral hygiene, but crowding of the mandibular incisors made cleaning difficult in that area, causing plaque accumulation and localised gingival inflammation. The panoramic radiograph revealed the presence of the mandibular third molars and confirmed the absence of the mandibular right central incisor (Fig. 10).
The cephalometric analysis showed a skeletal Class II malocclusion (convexity of Point A: 4.9 mm), a slightly retruded chin position (facial depth: 78.1°) and a skeletal open bite tendency (lower facial height: 53.19°; facial axis: 80.58°; Fig. 9). The mandibular incisors were lingually tipped (Li–APog: 9.3°) and retruded (Li–APog: 1.55 mm), and there was an increased inter-incisal angle of 142.9°.
Treatment objectives
The patient was diagnosed with a hyper-divergent Class II malocclusion and with bimaxillary retrusion and severe crowding. The missing mandibular right central incisor added further complexity to the treatment. The treatment objectives were to:
correct the Class II occlusion;
correct the arch length discrepancy with normalisation of the overjet and overbite; and
improve the smile aesthetics by solving the crowding.
Treatment alternatives
Several treatment modalities were considered to achieve an acceptable occlusion and an improvement of the dental and facial aesthetics. Since the patient presented with retruded mandibular incisors and a missing mandibular incisor, extraction of the four first premolars was excluded. The absence of a mandibular incisor was compensated for by the reduced size of the maxillary lateral incisors (Bolton discrepancy), and this was an indication of a nice relationship between the maxillary and mandibular anterior teeth at the end of the alignment.
Since the patient had an anterior open bite, planning the treatment using conventional fixed appliances and avoiding extractions would have been difficult.11–13 This approach could have furthermore resulted in the extrusion of the posterior teeth, thereby increasing the posterior vertical dimension, which would have worsened the anterior open bite by rotating the mandible posteriorly. The patient refused the use of high-pull headgear or mini-screws.14–16 That is why we felt that it would be more appropriate to use aligners to avoid posterior extrusion and better control the posterior vertical dimension.17 We also felt that it would be advantageous to use aligners made of thicker materials to have reasonable vertical control.
Fig. 10: Pretreatment panoramic radiograph.
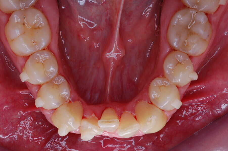
Figs. 11–15: Initial digital dental models.
Figs. 16–20: Digital set-up of the intended treatment result.
Figs. 21 & 22: Simulation showing the planning for the indirect partial lingual auxiliary—hybrid aligner treatment.
With the orthocaps system, it is possible to employ aligners that are thicker than those of most other systems. However, relatively thick aligners can only be used at night. Therefore, to have a thin and clear aligner during the day (dayCAPS) which would be aesthetically acceptable to the patient, we choose to use the TwinAligner system (Ortho Caps). This system allowed us to use thicker aligners (2 mm) at night to achieve our objective while using thin 0.8 mm aligners during the daytime.
A digital 3D set-up was performed to pre-visualise the intended treatment outcome using the iSetup software (Ortho Caps). The final set-up was uploaded to the online clinicians’ portal for approval (Figs. 11–20).
We saw in this simulation that substantially difficult tooth movements were required, such as bite closure and rotation of the mandibular left second premolar.18, 19
We, therefore, asked Ortho Caps to use double-layer materials with superior elasticity for the first few phases of the treatment. With this system, the orthodontist can choose between different materials and different thicknesses based on the different needs in the different phases of the treatment.
We also informed the patient of the limitations of the aligners in uprighting the mandibular right lateral incisor.20 Therefore, we advised the patient that it would be necessary to use a fixed sectional lingual auxiliary at a certain point during the treatment. This unique service of hybrid aligner treatment (HAT) is also provided by Ortho Caps (Figs. 21 & 22).
Fig. 23: Treatment evaluation report for the maxillary arch. Deviation analysis was done by superimposing the simulated treatment stage data in the CAD software on to the actual data obtained by scanning the patient’s teeth at the end of the third phase of the treatment.
Fig. 24: Treatment evaluation report for the mandibular arch. Deviation analysis was done by superimposing the simulated treatment stage data in the CAD software on to the actual data obtained by scanning the patient’s teeth at the end of the third phase of the treatment.
Treatment progress
No interproximal reduction was performed in any phase of the treatment. With the TwinAligner system, the treatment is carried out in phases, and the clinician can choose the duration of each phase of treatment (normally eight, ten or 12 treatment stages). After every phase, new polyvinylsiloxane impressions or intra-oral scans were taken and sent to Ortho Caps. Ortho Caps then sent back a treatment evaluation report, which is prepared by superimposing the actual tooth positions on to the simulated planned outcomes in the CAD software (Figs. 23 & 24). This evaluation is performed using an optical metrology technique. The treatment evaluation report was sent to us with the subsequent aligners.
Owing to the difficulty of the treatment, we asked to have the treatment evaluation after every eighth treatment stage. This helped us to keep the treatment tracking under control. The patient changed the aligners every three weeks, so each treatment phase lasted for six months. From the first stage, the patient started using 3⁄16 in., 3.5 oz Class II elastics, only with the night-time aligners (nightCAPS).
Fig. 25–28: Clinical progress after 12 months of aligner treatment.
Fig. 26.
Fig. 27.
Fig. 28.
Fig. 29
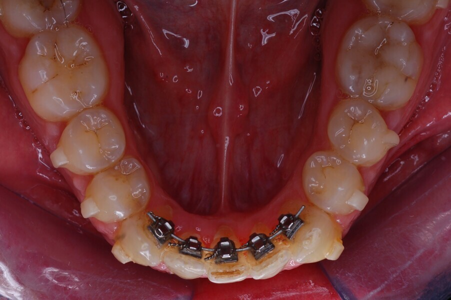
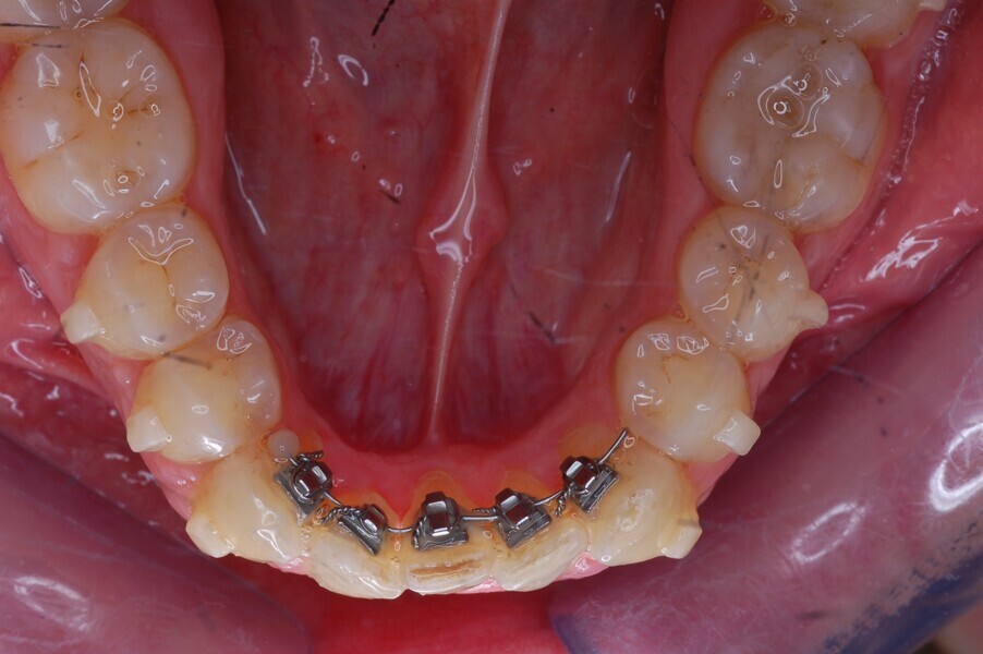
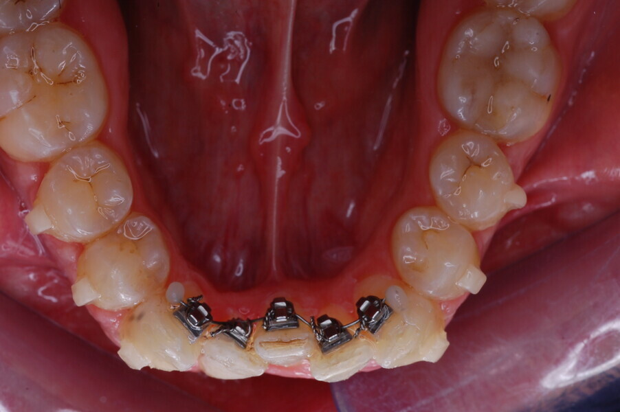
Fig. 30: Indirect bonding tray and 0.014 in. nickel–titanium wire.
Fig. 31: Lingual bracket placement.
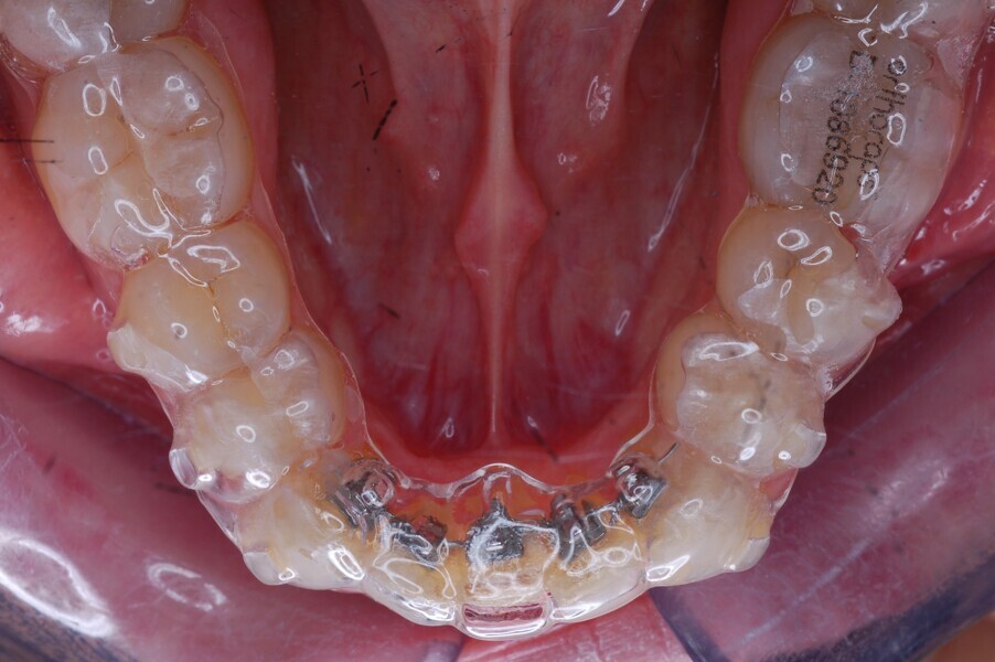
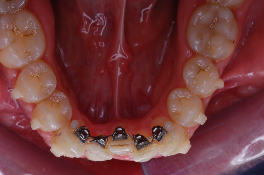
After 12 months of aligner use (Figs. 25–29), we finally had space for the fixed sectional lingual appliance that we had planned. As described, we asked for an orthocaps HAT, a new concept based on the idea of using fixed auxiliary modules (brackets, bands, wires and expansion or anchorage appliances) simultaneously with aligners to achieve a more effective treatment for better clinical results. The exact times, modalities and use of such auxiliaries can be determined in the treatment plan. The method makes it possible to carry out the bulk of the movement with aligners while using auxiliaries as needed primarily to support and enable complex movement. For the treatment phase in which a partial lingual appliance was used in this patient, an indirect bonding tray to bond the lingual auxiliary was fabricated by Ortho Caps and sent to us for bonding the brackets.
CAD/CAM method for fabricating the HAT lingual auxiliary
The final positions of the mandibular anterior teeth were simulated in the CAD treatment planning software. After moving of the teeth to their final positions, virtual brackets were placed at appropriate positions on the final set-up in the CAD software. These positions allow a virtual straight, rectangular lingual wire to pass passively through the bracket slots without colliding with the brackets. In the next step, the teeth with their respective brackets were moved back to their original positions. 3D printing was used to print the final moulds with brackets, on which a silicone transfer tray could then be formed. Lingual brackets (JOY lingual brackets, Adenta) were then placed into the silicone transfer tray to be sent to us for indirect bonding together with a 0.014 in. nickel–titanium lingual archwire (Figs. 30 & 31).
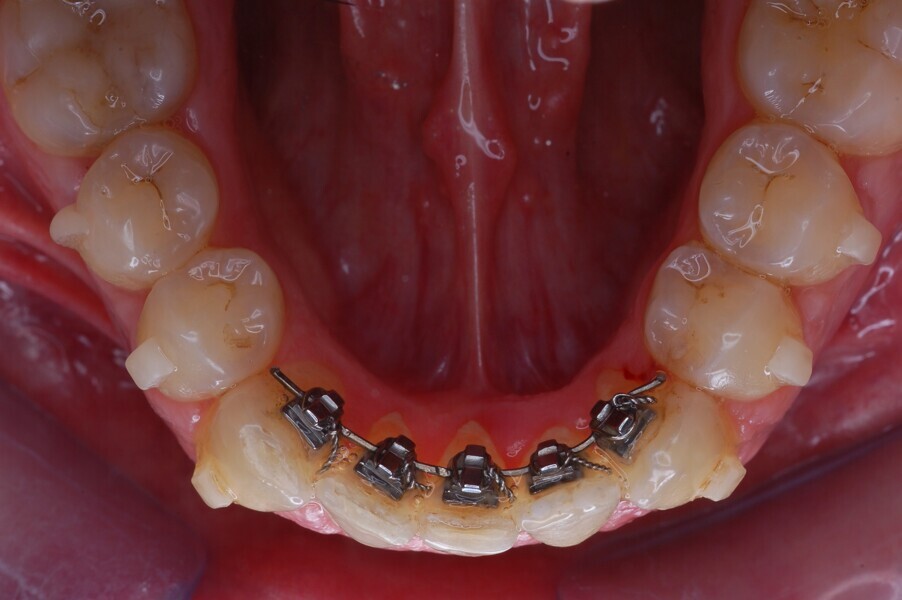
Fig. 32: Sectional lingual appliance in place.
Fig. 33: Aligner with movement channels incorporated into the design to allow teeth to move even when the aligner was placed over them. Teeth used as anchorage had no spaces so that the aligner fitted snuggly over them.
Fig. 34–36: Clinical progress after nine weeks of hybrid aligner treatment.
Fig. 35.
Fig. 36.
Method of fabricating the adapted aligners on the HAT auxiliary
The HAT technique requires the aligners to be adapted to the auxiliaries to create the necessary anchorage and allow tooth movement. The subsequent aligners were made to adapt to the lingual auxiliary to create the necessary anchorage so that only those teeth could be moved that required movement. This was done by creating 3D models used for thermoforming the aligners that resulted in the aligners having movement channels (spaces) incorporated into their design to allow teeth to move even when the aligners were placed over them. Teeth that were used as anchorage (the mandibular molars, premolars and canines) had no spaces so that the aligners fitted snuggly over them (Figs. 32 & 33). Rapid alignment was obtained in the mandibular anterior region in only nine weeks (Figs. 34–36). A prebent sectional 0.0175 × 0.0175 in. Gummetal wire was sent to us for the final stages of the alignment (Figs. 37–50).
Fig. 37–44: Sequential intra-oral photographs illustrating progressive alignment of the mandibular arch.
Fig. 38.
Fig. 39.
Fig. 40.
Fig. 41.
Fig. 42.
Fig. 43.
Fig. 44.
Fig. 45–50: Sequential frontal intra-oral photographs illustrating progressive levelling and alignment and uprighting of the mandibular right lateral incisor.
Fig. 46.
Fig. 47.
Fig. 48.
Fig. 49.
Fig. 50.
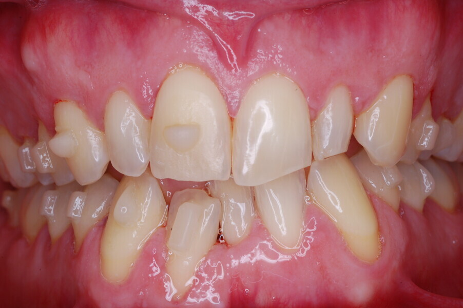
After 26 months, the HAT auxiliary was removed, and few refinement aligners for the final mandibular alignment were delivered to the patient. After a total treatment time of 28 months, composite restorations were performed on the maxillary incisors, and the patient received two rigid retention aligners for night-time wear.
Treatment results
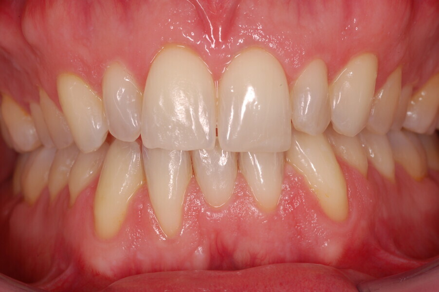
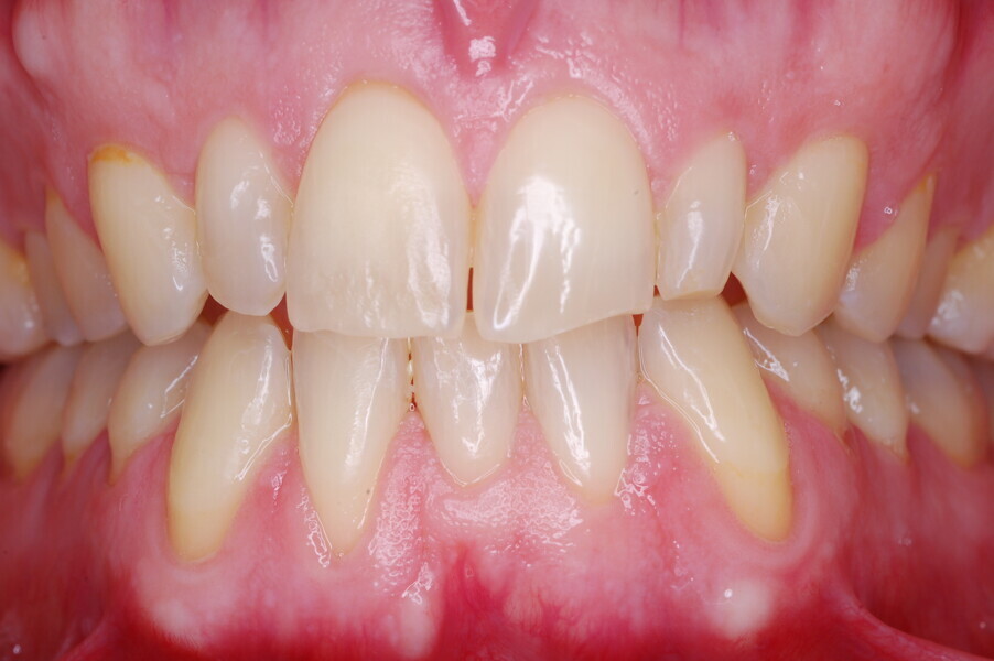
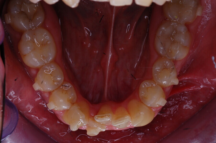
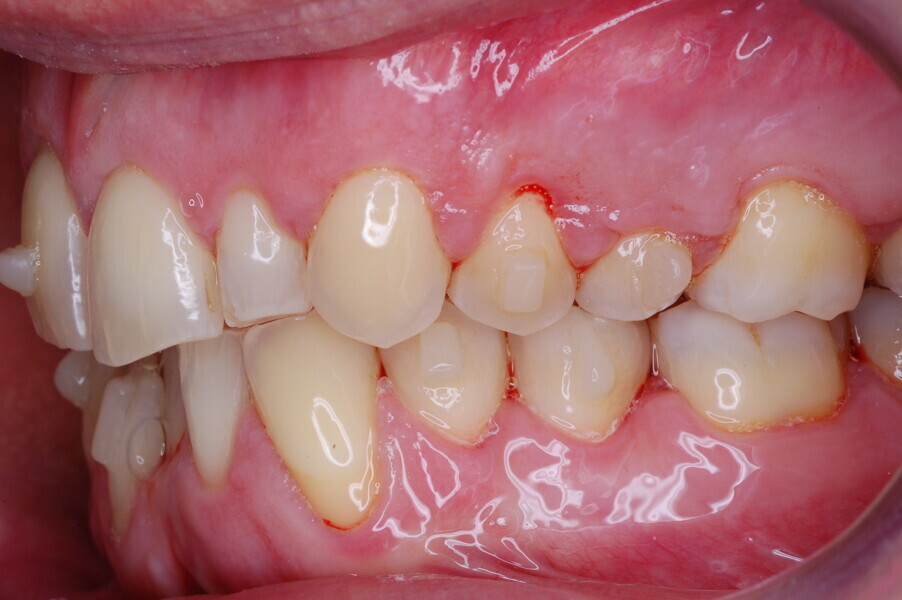
The post-treatment extra-oral photographs showed the improvement of the smile aesthetics (Figs. 51–58). A solid bilateral Class I occlusion was achieved with normal overjet and overbite. The dental arches were well aligned and levelled, and even the severe rotation of the mandibular left second premolar was corrected with aligners only. The post-treatment cephalometric evaluation (Fig. 59) showed an improvement in the anteroposterior position of the mandibular incisors (Li–APog: 2.21 mm) while maintaining the facial height (lower facial height: 53.12°; facial axis: 83.96°; Table 1).
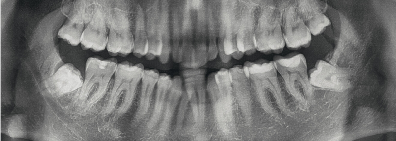
The panoramic radiograph showed that the root of the mandibular right lateral incisor had been uprighted by the HAT auxiliary, without any major root resorptions, while achieving good parallelism with the adjacent teeth (Fig. 60). The impacted mandibular third molars were still present because the patient refused to have them extracted.
Deviation analysis using optical metrology
A deviation analysis between the final clinical result and the initial situation was conducted to ascertain the extent of vertical movement in the posterior segments (Fig. 61). This was done to confirm the hypothesis that the relatively thick aligners would assist in bite closure by helping to intrude the posterior segments. The software used for this analysis was GOM Inspect Pro (Carl Zeiss GOM Metrology), which uses a highly accurate method of using optical metrology to measure deviations between two 3D data sets. The results confirmed intrusive movement of the molars and premolars, especially on the right side. The aggregate vertical intrusive movement was in the range of 0.5–1.0 mm. Conventional cephalometric tracings are unable to recognise movements of this order (Fig. 59).
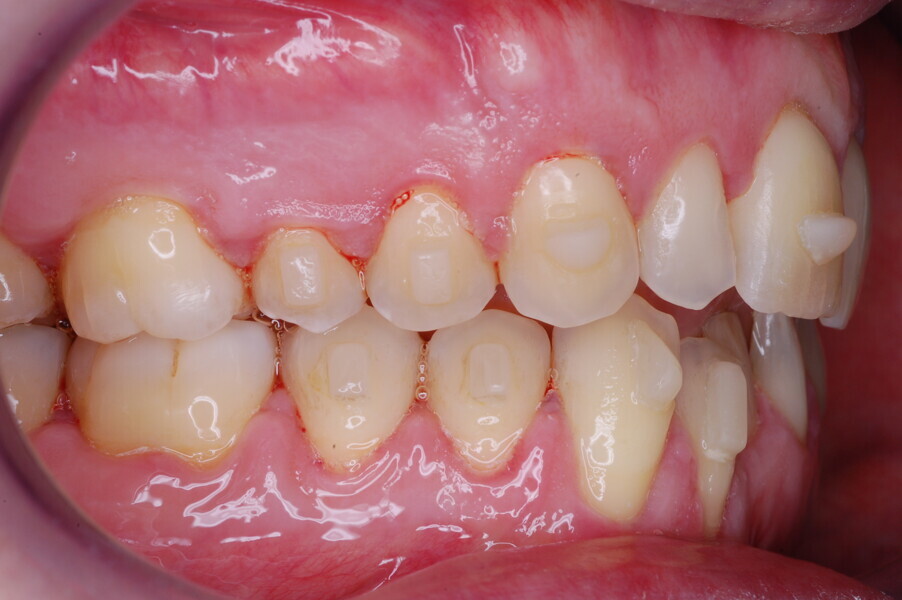
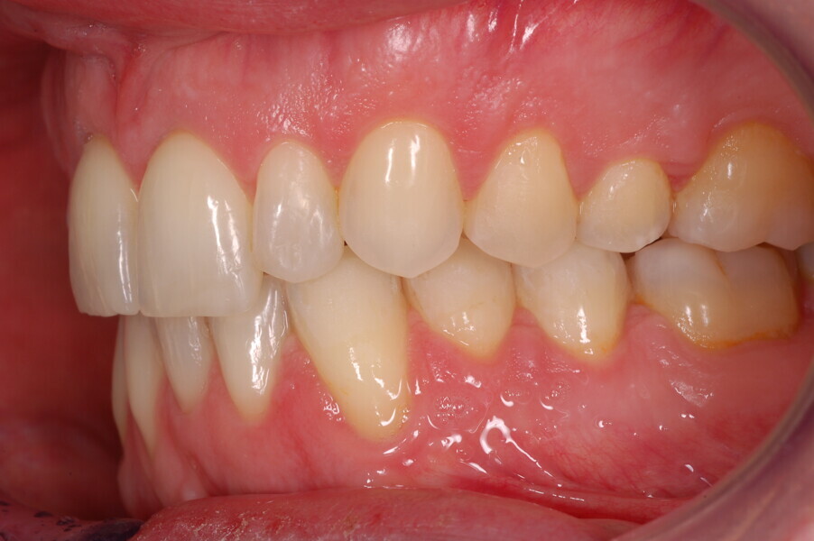
Figs. 51–58: Post-treatment facial and intra-oral photographs.
Fig. 51.
Fig. 52.
Fig. 53.
Fig. 54.
Fig. 55.
Fig. 56.
Fig. 57.
Fig. 58.
Discussion
We choose to use thick aligners because we believed that the interposition of a thick material between the opposing arches would be beneficial in avoiding posterior extrusion and, therefore, would be effective in controlling the vertical dimension. In addition, we know from the literature that aligners are not as efficient as fixed appliances in correcting tooth inclinations and obtaining root torque.20, 21 Based on current knowledge, we feel that the hybrid approach is the only way to achieve considerable root movement in treatment where the bulk of the movement is planned with aligners.
Excellent uprighting and root torque of the mandibular right lateral incisor was achieved with a lingual sectional wire beneath the mandibular aligner. Moreover, a solid bilateral Class I occlusion was established using Class II elastics worn at night only while the patient wore the nightCAPS to have vertical control and avoid the extrusion of the posterior teeth. Since the patient had presented with an open bite at the beginning of the treatment, the control of the posterior vertical dimension was mandatory while extruding the incisors.
Considering the data from the orthodontic literature, which shows that premolar rotation is challenging to correct with aligners,22, 23 we were astonished that the severe distal rotation of the mandibular left second premolar was corrected without any fixed appliances or auxiliaries. We think that this may have been due to the type of attachment used and the elasticity of the double-layer materials used to fabricate the aligners. This premolar rotation also underlines the importance of case selection and selecting the best options for tooth movement. Had this case not posed extremely difficult mandibular anterior crowding requiring a relatively longer treatment duration, the simultaneous correction of the mandibular second premolar rotation using aligners would probably have been impractical. Such tooth movement alone could not have justified an extended treatment duration. Diagnosis and treatment planning, together with the use of hybrid auxiliaries, are paramount in dealing with challenging cases.
The ad hoc composite restorations of the maxillary incisors were intended to be merely a temporary solution. We recommended substituting them with feldspathic or lithium disilicate ceramic veneers. However, the patient was not interested in any further prosthodontic improvement of the result obtained.
Unfortunately, all third molars were still present at the end of the treatment. The patient would not agree to have these teeth extracted despite having been informed of the risk of pathological changes, such as infection (pericoronitis), root resorption, non-restorable carious lesions, and the development of cysts and tumours, as well as of a greater accumulation of bacterial plaque with possible consequent periodontal disease of the second molars. The patient was also informed that failure to extract the third molars could be the cause of halitosis, recurrent abscesses and dysodontiasis.24–26 He therefore signed the supplemental informed consent form provided by the American Association of Orthodontists for patients who decline a recommended treatment.
Fig. 59: Post-treatment lateral radiograph with cephalometric tracing.
Fig. 60: Post-treatment panoramic radiograph.
Fig. 61: The deviation analysis showed that there was intrusion of the posterior teeth as expected. The teeth in grey were not included in this analysis, as the amount of movement exceeded the range of 1 mm selected for this superimposition.
Conclusion
The use of thick materials covering the occlusal surfaces of the posterior teeth is beneficial in patients where control of the posterior vertical dimension is important and posterior extrusion must be avoided. Such cases are mostly high-angle and exhibit anterior open bites. In such cases, thicker aligners are more effective in controlling the vertical dimension. Although a thick aligner at night is very useful clinically, such aligners are not suited for daytime use, since these are aesthetically not acceptable to patients and impair speech. Therefore, in this case, we preferred to use different thickness materials for daytime and night-time use.
The present case report illustrates that in complex cases we can overcome the limitations of aligners in achieving challenging tooth movement (i.e. root movement) with the hybrid approach. As described, by using fixed sectional auxiliaries in combination with aligners, we could treat this case to a high clinical standard. The hybrid approach, in our view, is the most efficient and effective method for treating complex cases with aligners. Therefore, aligner manufacturers should offer these types of treatment options to assist clinicians in treating such cases while offering patients an invisible orthodontic treatment. Unfortunately, very few systems provide this service.
Aligners are gaining in popularity in orthodontics. Advantages are aesthetics and less risk of white spot lesions.1 With aligners, teeth can be effectively ...
The evolution of clear aligner therapy has transformed the way we connect and communicate with our patients. As clinicians, it has also redefined our ...
When Dr Edward Angle first classified malocclusions for orthodontic treatment, he created the categories of Class I, II and III, the principal categories by...
Clear aligners have become a popular method of orthodontic treatment in the new millennium, led by the launch of Invisalign by Align Technology in 1997. ...
Education
Live webinar Wed. 28 January 2026 8:00 am EST (New York)
To post a reply please login or register