Clear aligners have come a long way in the past 25 years and have evolved to be incredibly pervasive and effective, thanks to enormous consumer demand and innovation from some of the best minds in orthodontics. There remain, however, certain orthodontic movements that are very difficult for clear aligners alone to achieve. Practitioners run into trouble, frustration, and roadblocks when they ask aligners to perform movements they are not effective at achieving.
These include:
correcting severely rotated teeth, especially premolars;
extruding teeth;
large space closures;
transverse corrections;
Class II antero-posterior corrections; and
Class III antero-posterior corrections.
The suggestion therefore is that orthodontic purveyors simply recognise these limitations, humbly accept them and stop trying to produce incredibly difficult manoeuvres with aligners alone. This means thinking about much more effective and efficacious techniques along with aligner treatment. It also means incorporating them right from the start, instead of trying with aligners alone and then back-pedalling when that approach fails.
The devices referenced here are mostly fixed and can be utilised concomitantly with clear aligners in their first round. Their outcomes are much more assured than those which could be realised with aligners alone. This results in the following advantages:
better results are achieved;
treatment takes less time;
the important movement occurs early—when the patient is most enthusiastic and compliant;
fewer aligners are used overall;
fewer aligners are wasted owing to failed attempts with aligners alone;
aligners are used to move teeth that are already limbered up by the first-round fixed devices;
the devices can be included in the fee if used proactively; and
patient confidence and trust are optimised.
Let us look at some applications that incorporate this approach. The fixed add-ons are agnostic to any specific technique or philosophy. The examples given are simply the favourites I use in most cases.
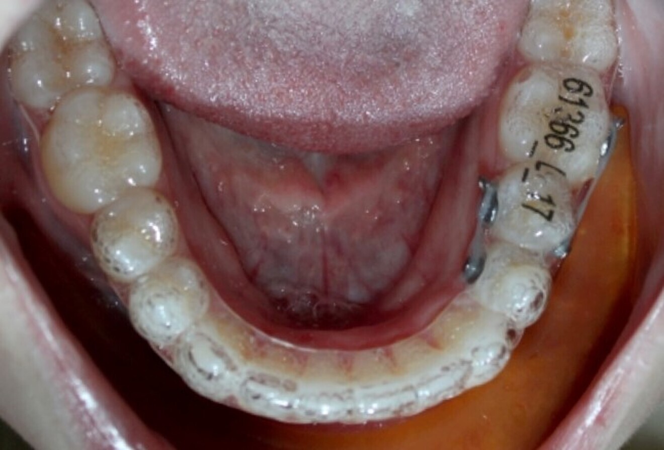
Severely rotated teeth
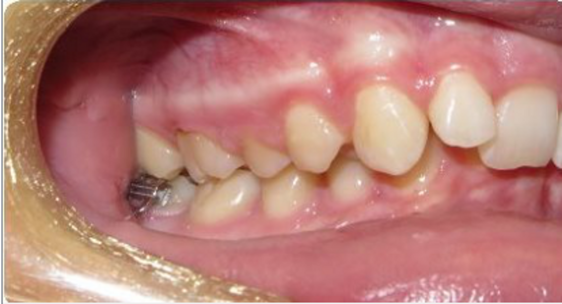
Aligners alone will fail because the plastic simply cannot adequately deliver the appropriate rotational couples—especially in cylindrical teeth. This is so despite ingenious attachment combinations that will indeed achieve some rotation, but not much. Instead use bonded buttons and elastomerics strategically placed into precision cut-outs of the first round of aligners and activated to produce force couples that will indeed rotate teeth (Figs. 1–3). The outcome is much more assured rotations in a shorter amount of time and with less chance of loss of aligner tracking.
Fig. 1: Severely rotated mandibular left second premolar.
Fig. 2: Underway with rotational couples.
Fig. 3: After four months of de-rotation.
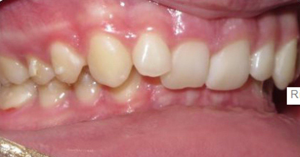
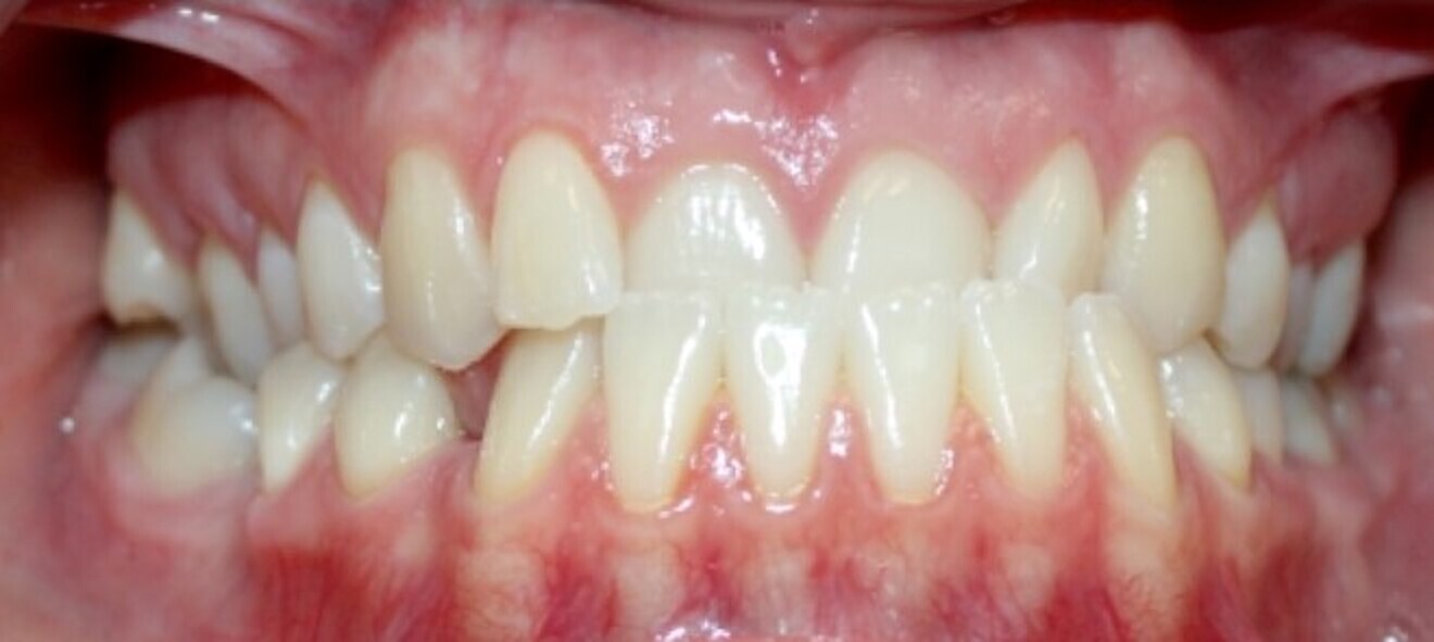
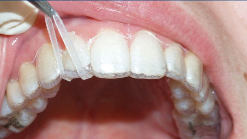
Extrusions
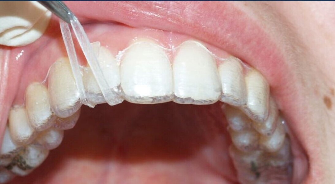
Aligners alone will fail because of the push that clear aligners produce, being very difficult to translate into the pull required to extrude teeth. Again, this is so despite brilliant attachments that incorporate inclined planes in attempts to overcome this limitation. Instead use fixed devices that will much more assuredly deliver extrusion. These can include buttons or elastics, intra- or inter-arch, or even fixed appliances first, transitioning to aligners alone once the extrusions have been produced (Figs. 4–9). The outcome is the delivery of true extrusion in a timely and effective manner early on and with less chance of aligner tracking loss.
Fig. 4: Maxillary right lateral incisor requiring extrusion
Fig. 5: Intra-arch elastic–button technique.
Fig. 6: Extrusion elastic in place.
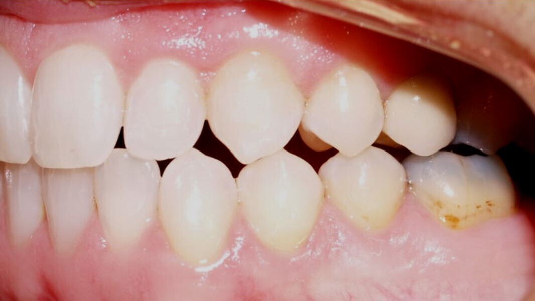
Fig. 7: Maxillary left canine requiring extrusion.
Fig. 8: Inter-arch elastic–button technique.
Fig. 9: After three months of extrusion.
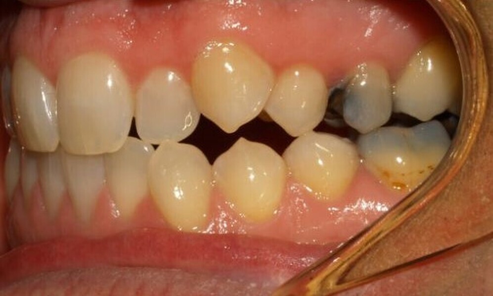
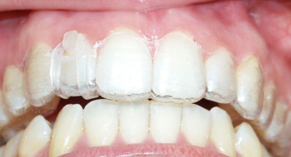
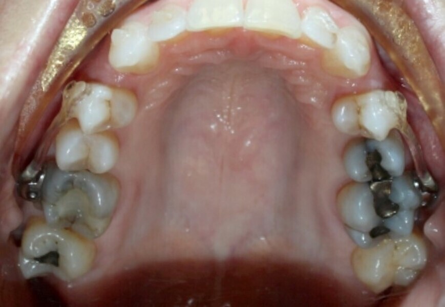
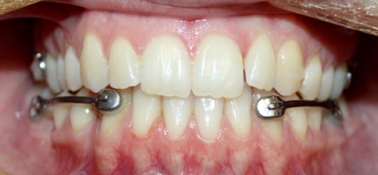
Large space closures
Aligners alone will fail because bodily movement of teeth is not a strength of clear aligners, and loss of tracking or anchorage is very common. This is so, despite some brilliant attempts to overcome this limitation with attachments, velocity changes, sequencing, etc. Instead use fixed appliances, which are much more tried and true and effective for space closure. Various auxiliaries can be utilised along with the fixed appliances to direct the space closure and manage the anchorage. This should all be performed with sectional aligners that are effecting movement at the same time in the other quadrants of the mouth (Figs. 10–12). The outcome is complete space closure in a much more assured manner, without having to worry about loss of aligner tracking, frequent refinements, wasted aligners and wasted time.
Fig. 11: The set-up with sectional brackets and a temporary anchorage device.
Fig. 12: After six months of space closure.
Transverse corrections
Aligners alone will fail with significant width corrections because they simply cannot accurately produce the bodily movement, bone remodelling and root torque that is required to profoundly and fully provide transverse corrections. Instead use a fixed expander. This most often involves using clear aligners only in the mandible at first while the expander of choice is widening the maxillary arch. In the time it takes the expander to be effective (four to six months), the mandibular arch movements have often been achieved with clear aligners. The case is then finished with full maxillary and mandibular aligners (Figs. 13–15). The outcome is much more assured width change while the opposing arch is being aligned.
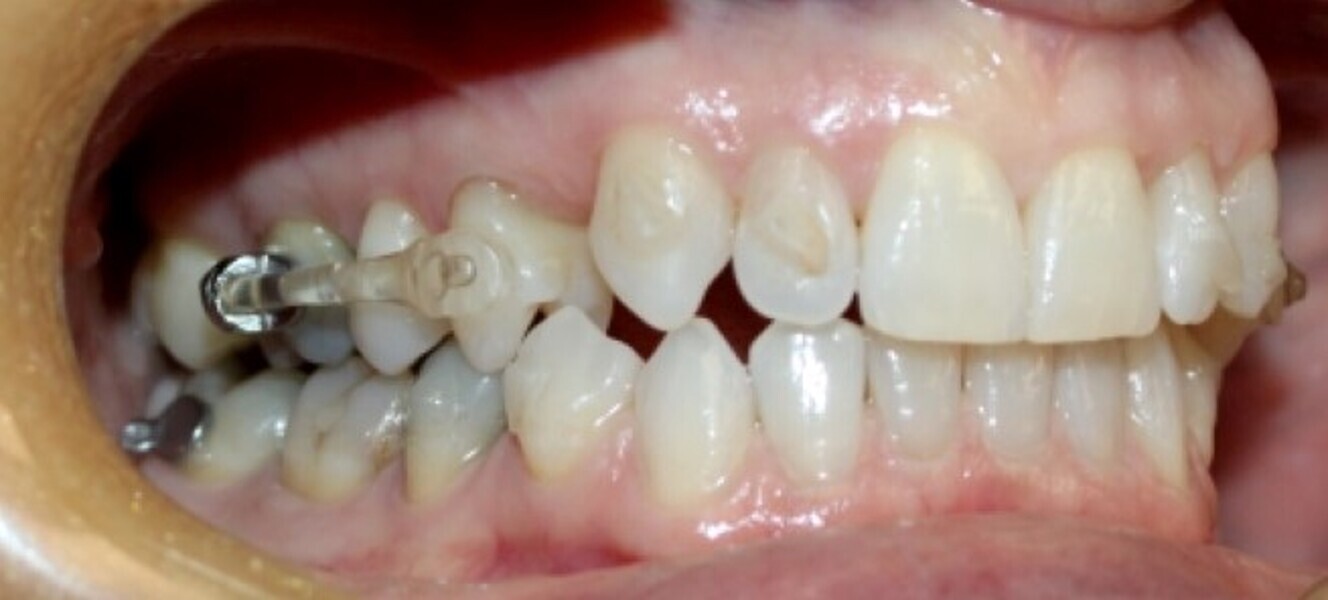
Aligners alone will fail because there are often significant skeletal components to Class II malocclusion, along with dental compensations, frequently making Class II a very difficult malocclusion to address with aligners alone (Figs. 16 & 17). Instead use fixed Class II correctors. An example is the Carriere Motion 3D Class II appliance (Henry Schein), utilised off maxillary canines or premolars back to first or second molars. Again, other movements can be happening in other areas of the mouth while the Class II correction is occurring, including maxillary canine canine alignment, if desired (Figs. 18 & 19).
The outcome is concomitant Class II correction while the aligners are aligning elsewhere, toward the fastest, most assured and synergistic antero-posterior correction possible.
Fig. 16: Class II set-up for sequential distalisation.
Fig. 17: After 12 months of unsuccessful distalisation.
Fig. 18a: Class II malocclusion requiring fixed appliance treatment. (a) Lateral view. (b) Occlusal view.
Fig. 18b: Class II malocclusion requiring fixed appliance treatment. (a) Lateral view. (b) Occlusal view.
Fig. 19a: After six months of the Carriere Motion appliance and aligners. (a) Lateral view. (b) Occlusal view.
Fig. 19b: After six months of the Carriere Motion appliance and aligners. (a) Lateral view. (b) Occlusal view.
Class III antero-posterior corrections
Aligners alone will fail because there are often significant skeletal components to Class III malocclusion, along with dental compensations, frequently making Class III a very difficult malocclusion to address with aligners alone. Instead use fixed Class III correctors off mandibular canines or first premolars, extending back to mandibular first molars or second molars, for a more assured, fast and profound Class III correction as the maxillary arch is aligning with clear aligners. An example of such a device is the Carriere Motion 3D Class III appliance (Figs. 20–22). The outcome is Class III correction that is much more predictable than with clear aligners alone.
Of course, these ideas are measured approaches. Clear aligners can indeed produce a certain degree of these movements alone, but why struggle? Einstein was right: trying to perform complex movements with clear aligners alone, failing and then trying again is indeed insanity! Instead utilise the horsepower of fixed devices early on along with clear aligners for both success and your sanity!
Fig. 20a: Class III malocclusion requiring fixed appliance treatment. (a) Frontal view. (b) Occlusal view.
Fig. 20b: Class III malocclusion requiring fixed appliance treatment. (a) Frontal view. (b) Occlusal view.
Fig. 21: Carriere Motion Class III appliance in place.
Fig. 22: After six months of the Carriere Motion appliance and aligners.
In this interview, Dr Markus Heibach, executive director of the Association of the German Dental Industry (VDDI), explains the importance of the 40th ...
VALENCIA, Spain: The fifth congress of the European Aligner Society (EAS) is taking place in Valencia between 29 February and 2 March and will explore ways ...
LONDON, UK: After its recent landslide victory in the UK general election held on 4 July, the new Labour government has placed dentistry high on its list of...
GOTHENBURG, Sweden: In his book The Nordic Guide to Living 10 Years Longer, Dr Bertil Marklund, a general medical practitioner and an adjunct professor at ...
With an estimated 50 per cent of the European population suffering from some form of periodontal disease, and a big majority suffering or having suffered ...
HAMILTON, New Zealand: The horrific state in which many New Zealanders find their teeth has been likened, by some professionals, to those from developing ...
ESSEN, Germany: The global design scene will honour the best designers and manufacturers of this year with the Red Dot Award: Product Design on 9 July. ...
SOLNA, Sweden: Quacquarelli Symonds (QS), a leading global higher education analyst, has recently published its annual QS World University Rankings by ...
It is a pleasure to report back on our first live face-to-face event in over a year and a half. In Malta, the European Aligner Society (EAS) hosted its ...
Education
Live webinar Thu. 23 April 2026 11:00 am EST (New York)
VIENNA, Austria: Beginning tomorrow, the International Osteology Symposium 2026 will bring together the global oral regeneration community at VIECON in ...
JINAN, China: 3D printing of lithium disilicate still faces challenges in achieving precise results. The material’s high transparency allows laser light ...
RIYADH, Saudi Arabia: While many artificial intelligence (AI) systems for dental diagnosis demonstrate high accuracy, their real clinical value depends on ...
To post a reply please login or register