Search Dental Tribune

(Image: Сергей Кучугурный/Adobe Stock)
COLTENE

COLTENE

Tue. 24. June 2025

save

How to achieve greater efficiency, safety and job satisfaction in endodontics—endodontist and trainer Dr Sabine Remensberger has been sharing her expertise with her peers for almost 30 years—and she knows what really matters in practice. In this interview, she talks about typical challenges, successful strategies and her experience with the HyFlex EDM OGSF file system from COLTENE. 

Dr Remensberger, you have been conducting advanced training courses in endodontics for many years now. How have your courses evolved over time?
I started giving my first endodontics courses in 1996. In those days, the main focus was on teaching dentists how to use rotary files safely—this was a real innovation at the time and was largely only practically oriented. In the early years, the issue of fractures was omnipresent because many of the systems used at the time were not yet fully developed. However, as the instruments developed, I began to focus my courses more on biology and clinical understanding.

Dr Sabine Remensberger holds a doctorate in dentistry and specialises in endodontics. Together with her husband Dr Thomas Rieger, she runs a private practice in Memmingen in Germany. (Image: Dr Sabine Remensberger)

Dr Sabine Remensberger holds a doctorate in dentistry and specialises in endodontics. Together with her husband Dr Thomas Rieger, she runs a private practice in Memmingen in Germany. (Image: Dr Sabine Remensberger)

In 2006, together with leading endodontists and scientists such as Drs Martin Trope, Steve Senia, Syngcuk Kim, Frank Setzer, Rahul M. Kohli and other colleagues from the University of Pennsylvania, I greatly expanded my knowledge of endodontics and developed the TEC2 curriculum with Dr Thomas Rieger. This curriculum combines theoretical knowledge with intensive practical experience. Participants experience live treatments, take part in hands-on courses and have the option of visiting the University of Pennsylvania. The course is suitable for any dentist who wishes to further his or her education in endodontics. In addition, there are training courses such as the next-level curriculum and revision course through to the Master of Advanced Dental Studies in Endodontics at Penn Dental Medicine in the US. The approach is internationally oriented and appeals to both general dentists and prospective endodontists.

What are typical challenges that you encounter concerning your course participants?
Many dentists, especially general practitioners, are reluctant to perform endodontic treatments—not owing to a lack of interest or skill but often simply owing to uncertainty, time pressure and the staffing situation in the practice. Endodontics is often only dealt with rudimentarily and marginally in dental studies, so experience with root canal treatment and structured implementation is often lacking in practice. However, a well-structured approach to endodontic treatment is essential for success and requires both a system and consistency. Modern technology, safe file systems and well-thought-out work protocols help enormously. It is important to realise that the initial effort is worth it. In the long term, the dentist’s work will be more efficient, safer and less stressful. 

In your opinion, what is needed for successful endodontic treatment?
Two things: understanding of biological principles and technical precision. Diagnostics are crucial, as is a deep understanding of canal anatomy. Modern file systems that follow the natural canal shape, bioceramic sealers, effective irrigation protocols and a bacteria-proof set-up—all of these must come together. The right equipment also plays a major role. In our practice, for example, we use the CanalPro Jeni motor from COLTENE, which automatically adjusts all parameters—torque, speed, sequence—even the working length is measured. The system also gives acoustic signals to indicate that the pressure is too high or that a file change or rinsing is required. Nevertheless, I check my instruments visually on a regular basis—a personal routine that I recommend to everyone.

You are currently working with the HyFlex EDM OGSF file sequence. What has your experience been?
I have tested almost all rotary systems over the years, and these days I feel most confident with the HyFlex EDM files. The heat treatment of the nickel–titanium material makes them extremely flexible and resistant to fracture. Particularly in the case of severely curved or calcified canals, the files can be gently guided along the anatomy. The OGSF concept—Opener, Glider, Shaper, Finisher—is logically structured, and the files are coordinated with each other and glide easily through the canal.

Learning in small groups: the TEC2 endodontics curriculum focuses on practical training in a personal environment.  (Images: Dr Sabine Remensberger)

Learning in small groups: the TEC2 endodontics curriculum focuses on practical training in a personal environment. (Images: Dr Sabine Remensberger)

From Opener to Finisher, the HyFlex EDM OGSF files are perfectly matched for efficient and safe preparation. (Image: COLTENE)

From Opener to Finisher, the HyFlex EDM OGSF files are perfectly matched for efficient and safe preparation. (Image: COLTENE)

You mentioned calcified canals. Is this a growing problem?
Absolutely. Recently, I’ve been seeing this more and more, as well as young patients with extremely narrow canals and pulp stones. One of the causes is bruxism in Generation Z. Owing to increasing stress levels—whether from school, social media or pressure to perform—many young people unconsciously grind their teeth in their sleep. The result is more mineralised, narrower pulp spaces. I now speak, tongue-in-cheek, of the “Z-pulp” mutation.

This is a challenge for us as practitioners, but it also encourages us to pursue further training, learn new techniques and be appropriately equipped. This is where state-of-the-art instruments, such as the HyFlex EDM OGSF files, provide important assistance.

Before the interview you said: “As a Swabian, I know where you can save money—and where you can’t.” What do you mean by that?
I actually say that a lot. I grew up in Swabia, a region in southern Germany where thriftiness is practically genetic, but saving money on the wrong things, for example on instruments and materials, is expensive ultimately. For example, a cheap instrument is more likely to fracture. Removing it costs time, is stressful and may even result in the loss of the tooth. If I invest in a high-quality system, I can work more safely, faster and more economically. A Swabian appreciates quality because it saves money. The CanalPro SyringeFill station system is a good example—it’s a real benefit for our practice.

If the dentist achieves good results in the long term, he or she gains patients’ trust and builds up patient loyalty. Patients are quick to notice whether the dentist works carefully and with good materials. First and foremost, patients want to keep their own teeth. Statistically, a tooth that has been successfully endodontically treated has a higher longevity than an implant—this has now been scientifically proved. 

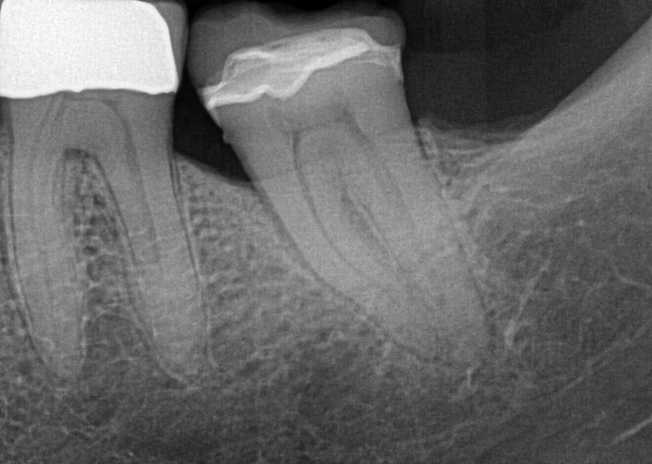
The pre-op radiograph shows tooth #37, which had been treated with a ceramic restoration two years earlier after removal of deep caries, diagnosed with irreversible pulpitis and periapical periodontitis. (Image: Dr Sabine Remensberger)

The pre-op radiograph shows tooth #37, which had been treated with a ceramic restoration two years earlier after removal of deep caries, diagnosed with irreversible pulpitis and periapical periodontitis. (Image: Dr Sabine Remensberger)

The post-op radiograph shows the tooth after endodontic preparation with HyFlex EDM OGSF files, ensuring gentle cleaning in complex canal anatomy, and obturation. (Image: Dr Sabine Remensberger)

The post-op radiograph shows the tooth after endodontic preparation with HyFlex EDM OGSF files, ensuring gentle cleaning in complex canal anatomy, and obturation. (Image: Dr Sabine Remensberger)

Does the post-endodontic build-up play a role in long-term success?
If a post is required, then only glass fibre posts can be adhesively bonded. The build-up should be carried out under a dental dam and under aseptic conditions—preferably directly by the endodontist, who knows the anatomy of the roots inside out. Glass fibre posts are available in different sizes. With a supplier like COLTENE, everything can be obtained from a single source, reducing sources of error and saving time. Such complete solutions are a real help, especially for general dentists in their everyday work.

When do you think a referral to a specialist makes sense?
To be honest, every endodontic treatment would be in good hands with a specialist—because there are always small and large surprises in treatment—but revisions are of course the specialist’s main business. Often, the first treatment was not carried out thoroughly, whether owing to a lack of disinfection, poor visibility, a lack of equipment or a lack of time. Revisions are technically demanding, involving broken instruments, perforations, old posts, etc. This is my bread and butter, but I love the challenge. Fortunately, there are specialised files, like HyFlex Remover, that make the job much easier.

How do you view the growing number of women entering the field of dentistry?
This is a very exciting development. At some universities, over 90% of dental students are women. In my courses too, the ratio has shifted from being almost exclusively men 15 years ago to now being balanced or even predominantly women.

I don’t believe in quota thinking—the market regulates many things by itself—and I have noticed that women often have a finer tactile sense, which is very helpful in endodontics. What’s more, the field is ideal for part-time work. It is a varied, specialised field with great potential for women.

Do you have a personal motto that you would like to share with others?
Yes, I would like to quote my esteemed colleague Dr Martin Trope, who says that asepsis is everything. Diagnostics, sterile work, good material and proper irrigation remain key to success, because, in the end, it’s not just how quickly the dentist works that counts but how long the results last.

Editorial note:

This article was published in roots—international magazine of endodontics vol. 21issue 1/2025.

Tags:
To post a reply please login or register
advertisement
advertisement