Implant-supported restorations are becoming increasingly popular in contemporary dentistry, and the study of the osseointegration process has led to the massive use of dental implants in recent years. In the past, the practice of implant surgery was limited to periodontists and maxillofacial surgeons; however, today, it is carried out by many dental clinicians with different levels of expertise and skill for the management of simple and complex cases. Arising complications result from inadequate diagnosis, lack of planning, poor choice of surgical technique and deficient implant placement.
It is well established that the success of implant treatment is directly related to patient assessment and proper planning.1 Implant surgery performed without adequate 3D-planning software uses the adjacent teeth and antagonists as references, and the final positioning of the implant is evaluated by the surgeon at the time of placement. This can result in complications such as nerve injury, injury of adjacent roots, perforation of the maxillary sinus, implant fracture, peri-implantitis, compromised aesthetics, interproximal bone loss and implant loss.2
Fig. 1b: Initial intra-oral photographs of tooth #11, lateral view.
Fig. 1c: Initial intra-oral photographs of tooth #11, occlusal view.
Fig. 1d: Initial intra-oral photographs of tooth #11, palatal view.
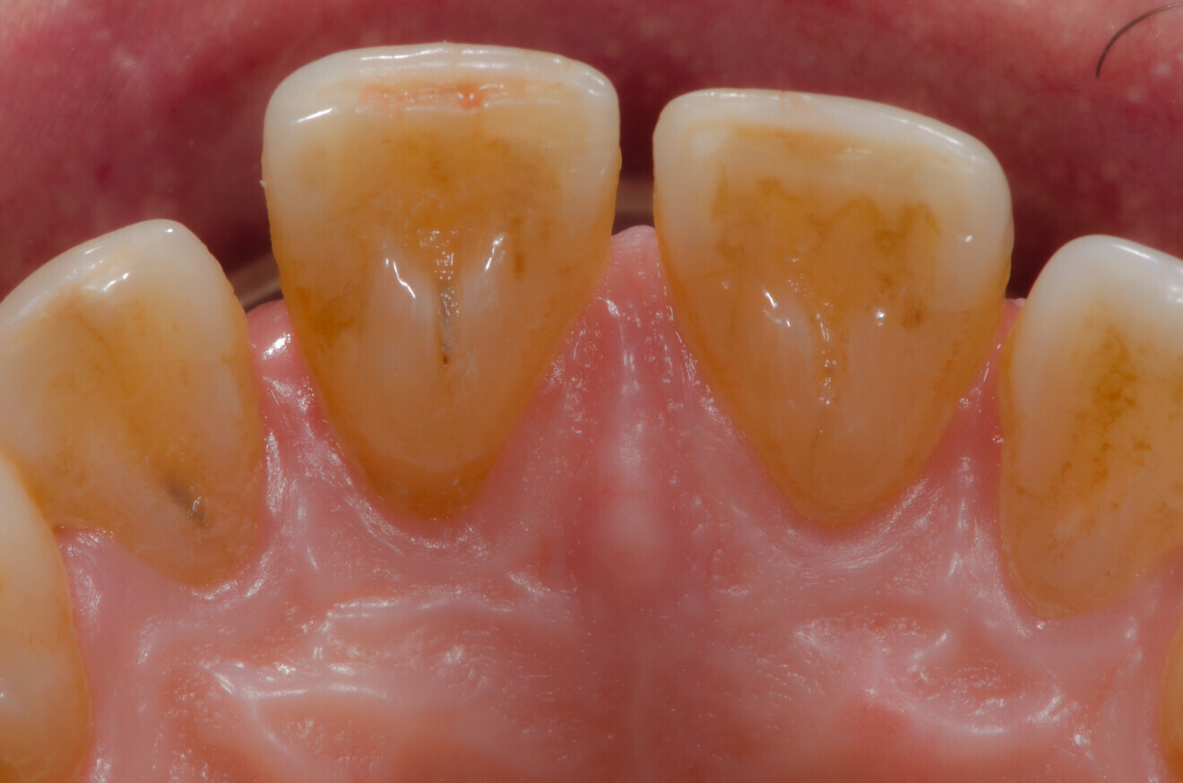
Fig. 3: Pre-op intra-oral image during planning with exoplan, palatal view.
The surgical placement of an implant is not always predictable, and sometimes a minor deviation can compromise the ideal position and cause difficulties in the manufacture of the final restoration. The failures arise during presurgical planning. As the alveolar ridge is a relatively narrow space, accuracy in implant placement is extremely important for the long-term success of the final restoration.
Placement can be done through a surgical guide; however, the clinical outcome is often unpredictable if the planned location of the implant or any deviation therefrom does not meet the ideal prosthetic requirements. Accuracy in the planning and in the execution of placement is important to ensure treatment success and to avoid iatrogenic damage.3, 4
Guided implant surgery is considered a safe and minimally invasive procedure without drawbacks. For the patient, the great advantage of guided implant surgery is that it supports performing the procedures of dental extraction, immediate implant placement into the fresh extraction socket and immediate loading with a provisional restoration in a single surgical session and thus requires fewer surgical and prosthetic sessions and consequently reduces the overall treatment time.5 This treatment approach reduces patient discomfort and facilitates the patient’s return to work, for example, and provisional restoration guides the healing of the soft tissue for an optimal aesthetic result.6
The integration of virtual engineering and the digitisation of information in dentistry has led to a new paradigm in dental diagnosis and treatment. Specifically, computer-guided implant surgery was developed to address the limitations of traditional surgical planning, significantly improving the accuracy of implant placement.7
Undoubtedly, guided surgery represents a considerable advance in dentistry and is increasingly used by implant surgeons owing to its many advantages, including excellent predictability. These advantages are illustrated in the following clinical case involving the management of a root fracture of a maxillary central incisor using the current technologies.
Fig. 4a: Initial models 3D-printed from Asiga DentaMODEL using the MAX UV, anterior view.
Fig. 4b: Initial models 3D-printed from Asiga DentaMODEL using the MAX UV, occlusal view.
Fig. 5a: Models after virtual extraction 3D-printed from Asiga DentaMODEL using the MAX UV, anterior view.
Fig. 5b: Models after virtual extraction 3D-printed from Asiga DentaMODEL using the MAX UV, occlusal view.
Fig. 6: Intra-oral image of the crowns and roots adjacent to the extraction site in exoplan, anterior view.
Fig. 7: Intra-oral image of the crowns adjacent to the extraction site in exoplan, occlusal view.
Fig. 8a: Virtual implant placement in exoplan in region #11, showing the location relative to the adjacent crowns and roots, lateral view.
Fig. 8b: Virtual implant placement in exoplan in region #11, showing the location relative to the adjacent crowns and roots, lateral view.
Fig. 8c: Virtual implant placement in exoplan in region #11, showing the location relative to the adjacent crowns and roots, occlusal view.
Fig. 9a: Virtual surgical guide design in exoplan with a sleeve for implant placement, palatal view.
Fig. 9b: Virtual surgical guide design in exoplan with a sleeve for implant placement, anterior view.
Fig. 9c: Virtual surgical guide design in exoplan with a sleeve for implant placement, lateral view.
Fig. 11a: Try-in of the surgical guide on the resin model, anterior view.
Fig. 11b: Try-in of the surgical guide on the resin model, occlusal view.
Fig. 12a: After extraction of tooth #11, anterioR view.
Fig. 12b: After extraction of tooth #11, occlusal view.
Fig. 13a: Surgical guide in place in the mouth, anterior views.
Fig. 13b: Surgical guide in place in the mouth, occlusal view.
Fig. 14: Guide drill in the extraction socket, anterior view.
Fig. 15a: Situation after implant placement, anterior view.
Fig. 15b: Situation after implant placement, occlusal view.
Fig. 16a: Implant with the titanium base inserted, anterior view.
Fig. 16b: Implant with the titanium base inserted, occlusal view.
Fig. 17: Post-op radiograph after implant placement.
Case summary
A 60-year-old male patient had sustained trauma to the maxillary right central incisor (tooth #11), and it showed signs of mobility and pain on mastication (Figs. 1a-d). A periapical radiograph and CBCT scan were taken and root fracture diagnosed. The treatment plan involved extraction followed by immediate implant placement and loading. Implant planning was performed in exoplan 3.1 Rijeka (exocad; Figs. 2–8), and a surgical guide was designed and 3D-printed from Asiga DentaGUIDE on the MAX UV printer (Asiga; Figs. 9–11). After tooth extraction (Figs. 12a & b), implant surgery was carried out (Figs. 13–17) and a provisional crown was fitted.
ISTANBUL, Turkey: Being able to accurately replicate intra-oral conditions is vital for successful restorative treatments. Although digital workflows have ...
Team communication, treatment planning and execution represent the three pillars of interdisciplinary implant therapy. In a free webinar on 9 December, Dr ...
3D printing has emerged as a disruptive innovation in restorative dentistry, offering a high degree of precision, efficiency and customisation.1, 2 Recent ...
LEIPZIG, Germany: Robotic computer-assisted technologies are beginning to reshape dental implant surgery, although their use remains limited. A recent ...
In today’s busy life, patients may have trouble coordinating their work and home schedules when treatment requires multiple appointments. Typically, when ...
Proper 3D implant positioning is a crucial factor for predictable implant and prosthodontic treatment. Guided osteotomy preparation and placing implants ...
The procedure of implantation is becoming an increasingly popular method for replacing teeth. The critical factor in the achievement of a therapeutic and ...
Technologies are producing a paradigm shift in all areas of healthcare. Dentistry has seen significant changes in this context. Alongside new patient ...
BRISBANE, Australia: A team of biomedical researchers at the University of Queensland in Brisbane have undertaken a groundbreaking study that demonstrates ...
LOS ANGELES, U.S.: Technological advancements in dentistry are like a motor force that drives innovation and growth. This is true for digital dentistry. ...
Education
Live webinar Tue. 19 May 2026 11:00 am EST (New York)
BIRMINGHAM, England: The British Dental Conference & Dentistry Show 2026 opened today at the NEC in Birmingham. Free to attend for dental professionals,...
Dentistry demands clinical precision, often within tight time constraints and under pressure to meet patients’ expectations, but effective practice ...
LONDON, England: Dental training has been evolving rapidly in recent years alongside digital technology, reshaping how dental students are taught, assessed ...
To post a reply please login or register