Search Dental Tribune

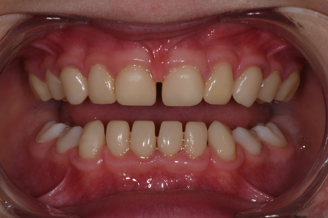
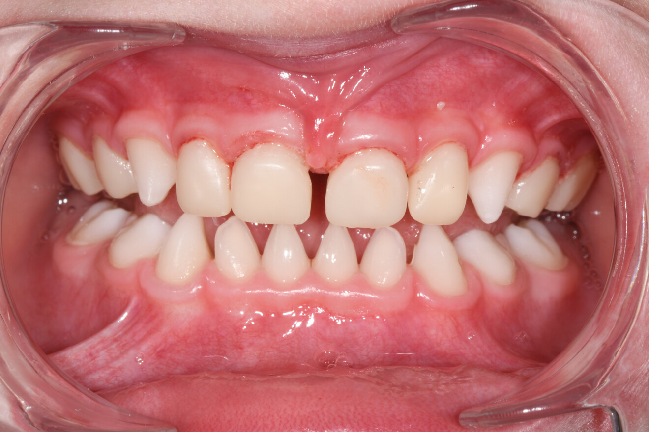
Fig. 1a: Initial intra-oral photograph presenting the main features of ectodermal dysplasia. (All images: Dr Joëlle A. Dulla et al.)

3D printing has emerged as a disruptive innovation in restorative dentistry, offering a high degree of precision, efficiency and customisation.1, 2 Recent advancements in printable resin composites, particularly those containing inorganic fillers, have broadened the clinical applicability of 3D-printed definitive restorations.3–5 These materials support the fabrication of various-sized fixed prostheses, including veneers, inlays, onlays, partial crowns and complete crowns, with mechanical and aesthetic properties suitable for long-term intra-oral use.6

Among the latest innovations in chairside 3D printing is tilting stereolithography (TSLA; Dfab, DWS Systems), which utilises a proprietary cartridge-based delivery mechanism. This system offers significant advantages over traditional vat polymerisation methods, particularly in terms of contamination control, user convenience and environmental safety, because it eliminates the need for open resin vats and reduces operator exposure to volatile monomers.7, 8 Additionally, the system allows for rapid fabrication of monolithic restorations with high precision and minimal post-processing.9 Recent in vitro and in vivo studies have demonstrated the dimensional accuracy, marginal adaptation and clinical feasibility of restorations produced with TSLA technology, especially for veneers and onlays.1, 6, 9

The integration of 3D printing into paediatric dentistry is an area of growing interest, particularly in the management of complex craniofacial conditions such as ectodermal dysplasia (ED). ED encompasses a heterogeneous group of inherited disorders characterised by abnormalities in tissue derived from the ectoderm, including teeth, hair, nails and sweat glands.10 In the orofacial region, dental tissue alterations are often the earliest and most prominent clinical indicators, and features such as hypodontia, anodontia, conical teeth and reduced alveolar growth are commonly observed.11, 12

This report presents the interdisciplinary management of a young child referred to a private dental practice in Lausanne in Switzerland in May 2023 with suspected ED. This case highlights the potential of 3D printing as a viable treatment modality in young paediatric patients with congenital dental anomalies.

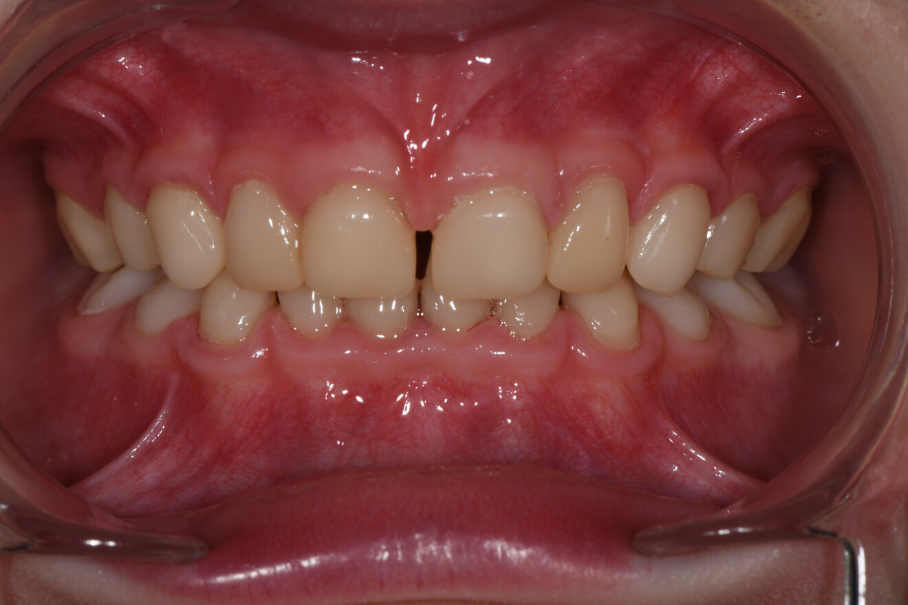
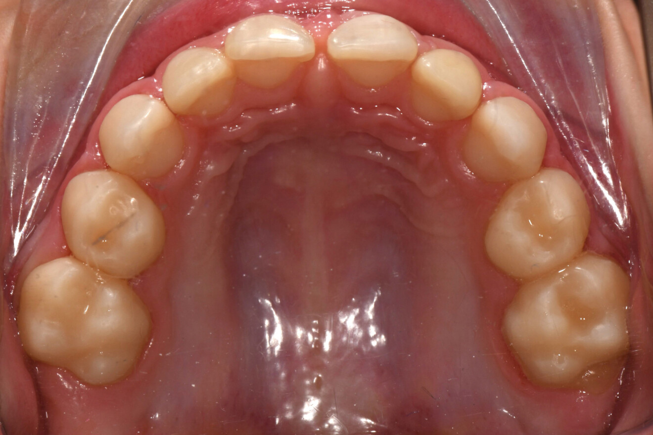
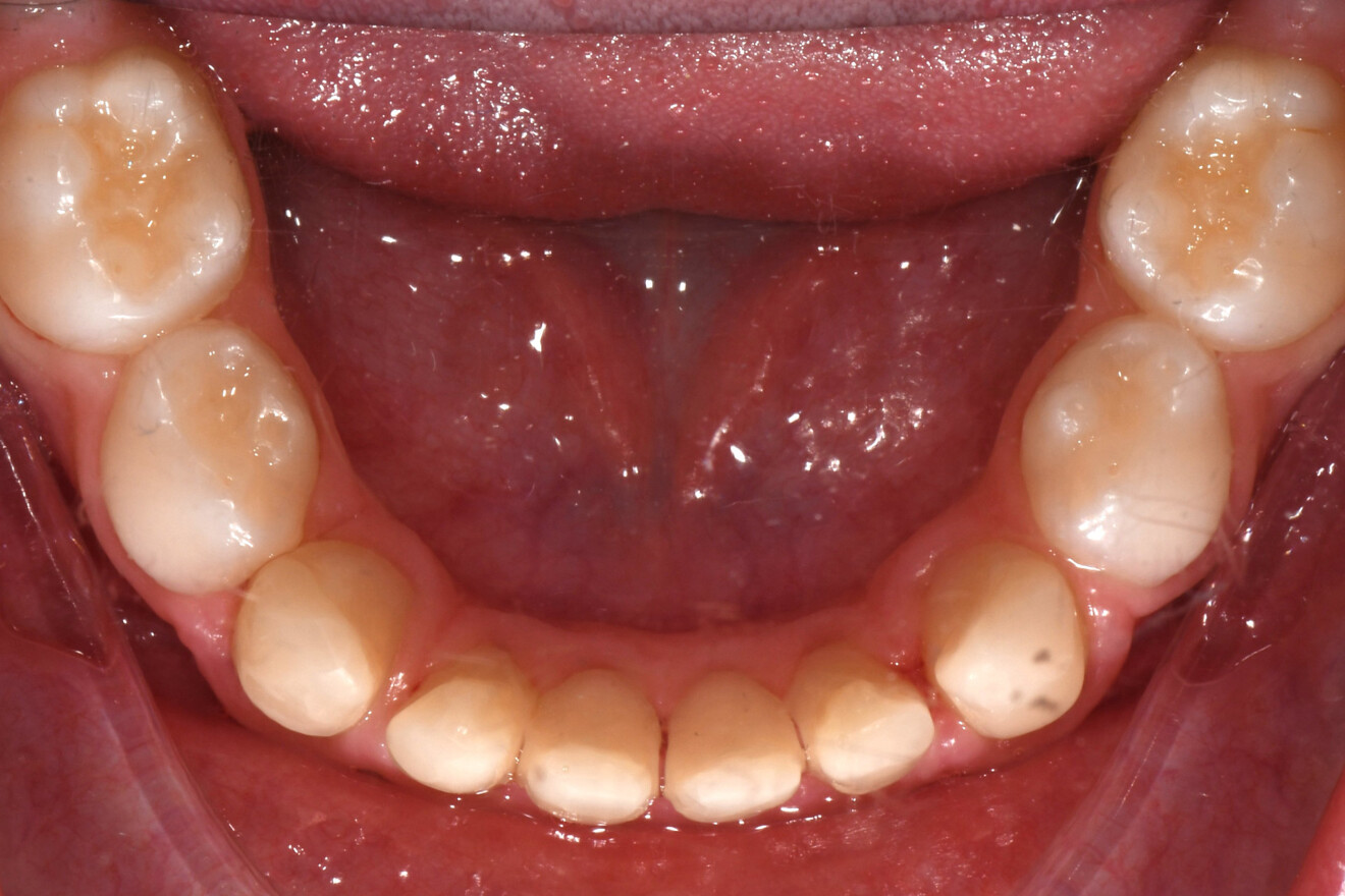
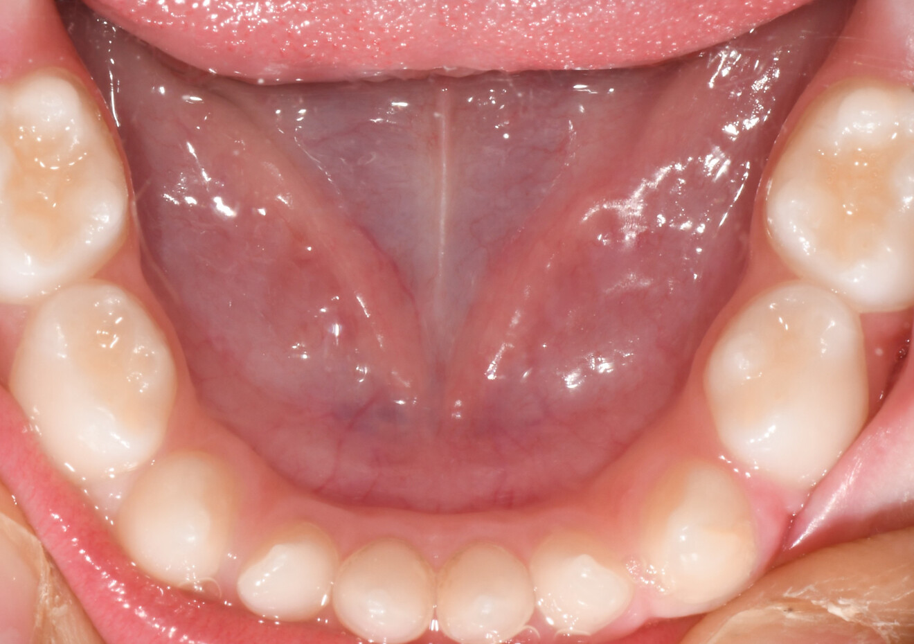
Figs. 1b–e: Initial intra-oral and extra-oral photographs presenting the main features of ectodermal dysplasia.

Figs. 1b–e: Initial intra-oral and extra-oral photographs presenting the main features of ectodermal dysplasia.

Fig. 1c

Fig. 1c

Fig. 1d

Fig. 1d

Fig. 1e

Fig. 1e

Case presentation and treatment

The 3.5-year-old male patient had complete eruption of the primary dentition (Figs. 1a–e), and a genetic evaluation owing to suspected ED was underway at the university hospital, prompted by his characteristic clinical features, including conical maxillary and mandibular primary incisors and hypotrichosis. His fingernails appeared clinically normal, and there was no documented family history of ED. Nonetheless, the dental findings evident even in the developing primary dentition were consistent with a diagnosis of ED. Clinical examination confirmed the presence of atypical conical morphology of the maxillary and mandibular primary anterior teeth, consistent with the phenotypic presentation of ED. Additionally, a deep overbite with mucosal impingement was noted, along with a pronounced mento-labial fold, suggestive of altered lower facial height and compromised soft-tissue support.

The treatment approach focused on addressing aesthetic, psychosocial and functional concerns related to the anterior dentition through appropriate dental care. Given the patient’s age and the need to restore both the vertical dimension of occlusion and facial aesthetics, a digital workflow incorporating the TSLA 3D-printing technology was employed to deliver a minimally invasive, aesthetically driven and age-appropriate prosthetic solution.

Figs. 3a–c: Dfab printer, chairside (a) and desktop versions (b), and Dcure post- polymerisation unit (c)

Figs. 3a–c: Dfab printer, chairside (a) and desktop versions (b), and Dcure post- polymerisation unit (c)

The patient underwent an initial compliance and behavioural assessment. During this visit, intra-oral and extra-oral clinical photographs were obtained, and a digital impression was recorded using a TRIOS 4 intra-oral scanner (3Shape). The digital files were transferred to the dental clinics of the University of Bern in Switzerland for virtual design.

To establish anterior occlusal clearance, the vertical dimension of occlusion was increased by 2 mm, to achieve the required functional space. Minimally invasive partial-coverage veneers and crowns were designed for the maxillary arch (teeth #55–65) and mandibular anterior teeth (teeth #73–83; Figs. 2a–k).

To fabricate the restorations, the design’s STL files were uploaded to a Dfab printer (DWS Systems; Figs. 3a–c) and positioned so that the incisal edge or occlusal surface was perpendicular to the build platform, using the integrated nesting software (Photoshade, DWS Systems; Figs. 4a–d). Supporting structures were automatically created on the incisal edge or occlusal surface, and the restorations were printed at a 50 µm layer thickness using a hybrid resin composite (Irix Max, Shade A2; DWS Systems). The printing process took approximately 15 minutes and was completed without issue (Figs. 5a & b).

After fabrication, the restorations were cleaned in a shaker containing 96% ethanol for 45 seconds and then dried (Figs. 6a & b). The supporting structures were removed, and the manufacturer’s proprietary polymerisation unit (Dcure, DWS Systems) was used for a 9-minute post-polymerisation cycle. The restorations were then tried on 3D-printed models (Figs. 7a & b). The restorations were polished using a polishing kit (Kit 1439, Jota), cotton wheels and a polishing paste (Universal Polishing Paste, Ivoclar).

The restorations were then tried in the mouth to confirm fit and aesthetics, and the parents’ final consent was obtained. The restorations were sand-blasted (Renfert) internally using 50 µm aluminium oxide powder at a pressure of 200 kPa for a duration of 10 seconds from a distance of 10 mm and steam-cleaned for 10 seconds. The tooth surfaces were isolated using cotton rolls and lip, cheek and tongue retraction was achieved. The maxillary posterior crowns (on teeth #55, 54, 64 and 65) were cemented first, followed by the maxillary anterior crowns (on teeth #52, 51, 61 and 62) using a dual-polymerising resin cement (els cem, SAREMCO Dental) with its corresponding dual-polymerising, two-component self-etching bonding agent (els duobond, SAREMCO Dental) following the manufacturer’s recommendations. One drop of the els duobond base and one drop of the els duobond catalyst were mixed with a brush for around 5 seconds. This material was then applied to the tooth surfaces with a micro-brush and gently air-dried. The resin cement was applied directly into the restorations. Each restoration was seated individually, and excess cement was removed with a micro-brush, an explorer and dental floss. Light polymerisation was performed for 10 seconds on each surface.

At the second visit, adaptation to the altered occlusion without any problems and improvement of speech were confirmed. The protocol for treatment of the tooth surfaces and mandibular anterior restorations was identical to that of the first visit. After cementation, the crown margins were finished and polished using a diamond-coated file (Intensiv Proxoshape, 40 μm) and the same polishing kit (Figs. 8a–f).

Figs. 8a–f: Cementation of the restorations in the mouth.

Figs. 8a–f: Cementation of the restorations in the mouth.

Fig. 8b

Fig. 8b

Fig. 8c

Fig. 8c

Fig. 8d

Fig. 8d

Fig. 8e

Fig. 8e

Fig. 8f

Fig. 8f

Outcomes

Enhancement of aesthetics and function without invasive preparation was successfully achieved. The patient adapted readily to the altered occlusion, modified anterior tooth morphology and changed facial profile (Fig. 9), and no discomfort or functional impairment was reported. According to his parents, improvements in speech articulation and masticatory function were observed, and their overall satisfaction with the outcome was high.

Fig. 9: Profile view after cementation.

Fig. 9: Profile view after cementation.

Occlusal elevation was essential to address the deep overbite with mucosal impingement, and the restorations were delivered using a simplified cementation protocol optimised for paediatric patients. A dual-polymerising resin cement and corresponding adhesive system were selected for their ease of use, effectiveness and reduced procedural steps, critical factors in managing treatment within the behavioural limits of very young children. The result met clinical and parental expectations, although the cementation and excess cement removal presented a challenge owing to limited access and patient cooperation. Within these constraints, 3D-printed composite restorations demonstrated favourable clinical performance and represent a viable, minimally invasive treatment modality for managing functional and aesthetic needs in the primary dentition, particularly in cases involving dental anomalies such as ED.

Discussion

ED exhibits unique challenges in paediatric dental care owing to its early-onset impact on tooth development, facial aesthetics, oral function and psychosocial well-being. Previous studies have demonstrated that CAD/CAM-fabricated complete dentures, as well as overdentures, can be used as a solution for ED patients with a high aesthetic success rate.13 In the present case, a minimally invasive, aesthetically driven and functionally restorative approach was employed using chairside 3D-printed hybrid resin composite restorations in a 3.5-year-old child diagnosed with suspected ED. The treatment aimed to address pronounced dental anomalies, including conical anterior teeth, reduced vertical dimension of occlusion and deep overbite with mucosal impingement, all following a minimally invasive protocol owing to the patient’s age and simultaneously avoiding the use of local anaesthesia.

The application of the TSLA 3D-printing technology allowed for the rapid and precise fabrication of monolithic restorations tailored to the unique anatomy of a developing primary dentition. The closed-cartridge system offered significant clinical advantages, such as simplified material handling, reduced cross-contamination risk and improved workflow cleanliness, critical in paediatric settings, where treatment time and patient cooperation are limited. The use of partial restorations also facilitated relative isolation, optimised cementation conditions and enabled predictable removal of excess luting material in a paediatric setting. Previous studies have demonstrated the accuracy and clinical applicability of 3D-printed restorations using composite-based resins, supporting their use in definitive paediatric treatments.1, 6

Overall, this patient treatment supports the clinical viability of 3D-printed composite restorations as a minimally invasive, patient-centred treatment option for children with developmental dental anomalies. However, longitudinal studies are warranted to assess the long-term durability, colour stability and retention of such restorations in the primary dentition.

Conclusion

This case demonstrates the clinical feasibility and effectiveness of using 3D-printed composite restorations for minimally invasive rehabilitation of a young patient with suspected ED. The treatment achieved improvements in aesthetics, speech and function without the need for tooth preparation or local anaesthesia, key considerations in paediatric dentistry. Despite challenges related to isolation, cement removal and polishing in a very young child, the digital workflow, combined with behaviourally adapted management, enabled a predictable and well-tolerated outcome. The 3D-printed composite restorations used represent a promising option for early, patient-centred intervention in cases involving developmental dental anomalies.

Editorial note:

This article was published in 3D printing–international magazine of dental printing technology vol. 5, issue 2/2025. The list of references can be found here.

Topics:
Tags:
To post a reply please login or register
advertisement
advertisement