The young man was just 19 when he came in to see his dentist after Halloween because of a sore on the side of his tongue. A non-smoker and non-drinker, he did not seem to be at risk for cancer, so his dentist decided to re-check the lesion before Christmas. By then the lesion was bigger. When he finally had a biopsy in January, it was an invasive squamous cell carcinoma.
Oropharyngeal cancer continues to claim the life of about one American every hour, accounting for 7,590 deaths in 2008, according to the American Cancer Society. Oral cancer takes a terrible toll if it is not caught early as it can rob its survivors of the ability to eat, speak and taste.
Dentists often fail to detect oral cancer until it has invaded deeply because it can mimic common traumatic, infectious or immune diseases. When oral cancer is detected early enough, it can be cured; recognized in its precursor stages, it can even sometimes be prevented.
The cancer screening examination includes looking at and palpating the neck, scalp and face as well as the mouth and oropharynx. About two-thirds of oral cancers arise in the lateral/ventral tongue and the floor of the mouth, but other common sites include the retromolar pad, the tonsillar pillars, the soft palate and the oropharynx. The dentist should thoroughly examine the lateral tongue by gently pulling it forward with gauze, and check the floor of the mouth when the patient rolls the tongue back against the palate.
The gagging dental patient is a perennial problem, but it is more important than ever to make the effort to inspect this difficult region. There has been a recent increase in human papillomavirus (HPV)-associated squamous cell carcinoma of the base of the tongue and tonsils in young patients, a change that is attributed to a rise in high-risk HPV infection in the oral cavities of sexually active young adults.1 Nevertheless, the most common risk factors for oral cancer remain tobacco and alcohol use.
The dentist should routinely depress the tongue and examine the soft palate and oropharynx while the patient says “ah.” Even the act of gagging presents a momentary opportunity to glimpse the oropharynx and soft palate.
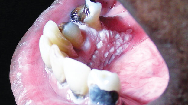
About 90 per cent of oropharyngeal malignancies are squamous cell carcinoma of the surface mucosa.2 Precancerous mucosal lesions are often white and may appear slightly rough; unexplained white lesions are often called leukoplakia. Lesions such as that shown in Figure 1 look rough because the proliferating epithelium piles up on the surface, and the thickened epithelium hides the red color of the underlying blood vessels.
Malignancies of surface tissues, as seen in Figure 2, are often red and enlarged, and unexplained red lesions are often called erythroplakia.3 Unexplained red lesions are more likely than white lesions to be diagnosed as malignancies when they are biopsied because the expanding malignancy causes inflammation and secretes molecules that stimulate the formation of new blood vessels. However, both red and white lesions are capable of representing malignancy. Malignancies may also cause spontaneous pain or paraesthesia. The general rule of thumb is that unexplained red, white and/or ulcerated lesions that persist for more than ten days should be biopsied.
Lichen planus, or lichenoid mucositis, has generated heated debate about its premalignant potential for years.4 It is now recognized that there are several conditions that can share the clinical appearance of lacy white lines on a red background and also the microscopic feature of a dense T-lymphocyte infiltrate along the basement membrane. Lichenoid conditions are probably not all equally likely to generate squamous cell carcinoma.
A lichenoid drug reaction, for example, is a reaction to a systemic medication that disappears when the medication is withdrawn. Lichenoid reactions also can result from contact with an allergenic material, such as a metal, in susceptible patients (Fig. 3), and for other reasons.
There are many reports in the literature of cancer arising in a patient previously diagnosed with lichen planus,5,6 but some retrospective analyses have confirmed that the original clinical or even microscopic diagnosis of lichen planus was incorrect.7 Apparent malignant transformation of oral lichen planus (OLP) may represent “red and white lesions that were dysplastic from their inception but that mimic OLP both clinically and histologically.”8 Figures 4 and 5 demonstrate this concept.
Warty-looking verrucous conditions also may confuse dentists. Many diseases in this group are caused by HPV. Benign members of this group include verruca vulgaris, the common wart (Fig. 6), which is self-limiting in most patients, and condylomata, genital warts (Fig. 7), which can be widespread in the immuno-suppressed patient.
There are also premalignancies and malignancies in this group. Proliferative verrucous leukoplakia (PVL) is a multifocal verrucous disease that eventually turns into carcinoma in a substantial proportion of cases. Figure 1 may represent a case of PVL. Verrucous carcinoma is a large warty malignancy that is slow to invade but can degenerate into squamous cell carcinoma.
A number of commercial chairside applications such as toluidine blue staining, tissue reflectance, fluo-rescence imaging and brush tests have appeared on the market in the past decade, and they are intended to help the dentist with early cancer detection. Despite their attractive marketing and their convenience, they have not been shown by rigorous Cochrane analysis to either help or hinder early cancer detection in the general population. Even visual screening programs have not been proven to help reduce oral cancer deaths, and more study is needed in this field.9 Table 1 summarizes the currently available adjunctive technologies.
This leaves the dentist with a very powerful tool: the biopsy, which is still the only technique that definitively diagnoses oral cancer. When coupled with a thoughtful patient history as well as a thorough head and neck examination, it can allow the dentist to diagnose oral lesions with as much confidence as possible.
A biopsy is simply the removal of tissue from a living patient for the purposes of diagnosis. Whether the dentist uses a scalpel, surgical scissors or a surgical punch, the aim is to retrieve a piece of tissue that is representative of the entire lesion and preserve it en route to the oral pathology laboratory (Fig. 8). At the lab, the specimen is processed on a glass slide and diagnosed microscopically. Usually it takes a week or less for the oral pathologist to finalize the biopsy report.
The American Academy of Oral and Maxillofacial Pathology recommends that all tissue removed from the oral cavity should be sent to an oral pathologist as a biopsy, unless it results from a routine procedure such as a gingivectomy for esthetic and functional reasons. Most oral pathologists’ services are covered by the patient’s medical insurance. General pathologists will also accept biopsies from dentists, but oral pathologists receive at least three years of specialty training after dental school and are truly specialists in oral disease.
By routinely examining every patient thoroughly for signs of head and neck cancer, and ensuring that any potentially suspicious lesion that persists for more than ten days is appropriately biopsied and sent to an oral pathologist for diagnosis, dentists may indeed save lives.
Editorial note: A complete list of references is available from the publisher.
Contact info
Dr Sara Gordon can be reached at gordonsa@uic.edu.
Healthcare is not just about treatment; it is about people—and the words we use have the power to change lives. In fact, the language we use has ...
NORMAN, Okla., U.S.: A considerable proportion of oral cancer diagnoses are made when the cancer is advanced. A University of Oklahoma (OU) researcher is ...
HOUSTON, US: Because oral cancer is still frequently only diagnosed at an advanced stage, there is a need for adjunctive tools that support early detection ...
SEOUL, South Korea: Breath pattern recognition was once thought of as a futuristic diagnostic platform. Research in this area has been gaining much ...
CLEVELAND, Ohio, U.S.: New findings by a US research team regarding certain bacteria and fungi may make way for the development of a precautionary test for ...
BRUSSELS, Belgium/RUGBY, UK: At the recent 2019 European Cancer Summit of the European CanCer Organisation (ECCO), the ECCO Oncopolicy Committee agreed on a...
MALSCH, Germany: A concern regarding digitalisation is that it is linked to the risk of important professional disciplines losing significance in the public...
NEW YORK, U.S.: According to the Autism Society of America, more than 3.5 million Americans have some form of autism spectrum disorder. With prevalence of ...
SAN DIEGO, US: As cannabis use becomes more common, its health risks remain under investigation—particularly its impact on cancer. Some users develop ...
RIYADH, Saudi Arabia: Oral cancer constitutes a major front in the global fight against non-communicable diseases, and heightened public awareness of risk ...
Live webinar
Tue. 12 May 2026
1:00 pm EST (New York)
Live webinar
Thu. 14 May 2026
12:00 pm EST (New York)
Live webinar
Thu. 14 May 2026
2:00 pm EST (New York)
Prof. Hani Ounsi DDS PhD FICD
Live webinar
Tue. 19 May 2026
11:00 am EST (New York)
Live webinar
Tue. 19 May 2026
1:00 pm EST (New York)
Prof. Dr. med. dent. Ivo Krejci
Live webinar
Wed. 20 May 2026
7:00 am EST (New York)
Dr. Graham Carmichael BDSc (Hons), DClinDent (Pros), FRACDS, Dr. Robert Gottlander DDS
Live webinar
Wed. 20 May 2026
9:00 am EST (New York)
To post a reply please login or register