Patients who visit our clinic and wish to receive prosthetic treatment are frequently unaware of the possibilities that modern medicine has to offer. Neither are they aware of the fact that implantological treatment is not a ‘one-day’ treatment and that the integration of implants with bone tissues takes some time.
That time can range from several weeks to several months. What they are also unaware of is the fact that after some time from the moment the teeth have been extracted, the bone will atrophy and hence it is often necessary to perform augmentation procedures first before dental implants can be placed.
Therefore, a complete treatment may last from several months up to one year. As a result, the temporary prosthetic restoration, which the patient will have to use till the end of the treatment, is recommended. It is important to notify the patient that following augmentation procedures, using bone blocks and biomaterial, it is inadvisable to use a functionally unstable prosthesis as it may damage the augmentation material and damage the prognosis connected with the graft's integration. As a result, in such cases one may apply a temporary prosthesis based on telescopic crowns as the whole load will be transferred onto teeth or implants, not the mucosa. Telescopic prostheses are a type of prostheses that are not functionally unstable, unlike ordinary acrylic prostheses or some other skeletal types.
Case report
A 62-year-old patient with residual dentition used an ordinary acrylic prosthesis. The main reason why the patient wished to change the prosthesis was discomfort due to the fact that the palate was covered up while the prosthesis was movable. In order to obtain maximally precise diagnostics, a demonstrative panoramic photograph was taken as well as CBCT.
During the process of treatment planning, a few proposals for prosthetic solutions were presented, including permanent and temporary restorations, based on existing teeth as well as implants of various combinations. After analysing CBCT scans (Figs. 3–6) it could be concluded that implantological treatment may be performed at the front maxilla without any additional procedures, however, due to significant atrophy in the lateral part and a low-lying fundus of the left and right maxillary sinus, it appeared necessary to perform augmentation procedures (sinus lift), in order to make implantation possible.
It became clear that treatment in this case would require more time and hence in the period between procedures, from the moment treatment began till the time the final prosthesis was accepted, the patient should be provided with a convenient temporary restoration. Being fully aware of advantages and disadvantages of different solutions, the patient decided on a restoration based on eight implants with a combined mounting and the use of screw-based abutments and telescopic crowns of implants. Application of telescopic crowns at the front of the maxilla allowed us to make a very convenient temporary prosthesis based on four telescopes.
Each treatment should start with a well-prepared plan. For most patients appearance after treatment will always be very important that is why an intraoral analysis must be made in order to assess the static structure of the mouth, as well as an analysis of the lips’ dynamics along with teeth exposure during speaking and smiling (Figs. 1 & 2).
We analysed the aesthetic aspects in a way that enables us to reach an optimal balance between white (teeth) and pink (gums) aesthetics. Of course, in toothless patients, one should take note of the fact that teeth setup as well as reconstruction of atrophied tissues will constitute a support for the lips. Such an analysis may be made on the basis of a restoration that the patient uses. In this case, first sanitation of the maxilla had to be performed, next a temporary acrylic prosthesis was made.
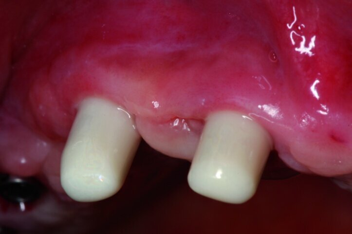
In the next phase, implants were inserted. In compliance with the results of the CBCT study, a sinus lift procedure was performed with a simultaneous implantation in the region of lateral teeth. Eight Ankylos implants were introduced, raising both maxillary sinuses at the same time. After six weeks, the implant exposure procedure was performed. Because of the fact that implants were partially anchored into the bone at the lateral section, partially within the augmentation material while primary stability was achieved, we decided to expose implants at lateral sections without occlusal load so as to perform the so-called bone training with a view to improving the condition of the bone being regenerated. An impression was taken (Figs. 7 & 8) for the positional model and for the preparation of the temporary prosthesis based on telescopes.
The model was scanned while the abutments were made ready in such a way that they could serve as telescopic crowns, also in the final stage (Fig. 9). Primary and secondary telescopic crowns were designed on the abutments (Figs. 10 & 11) on the assumption that secondary crowns had been made ready twice, that is, for the sake of temporary prosthesis and at the same time for gluing it into the final construction (Figs. 12 & 13). Abutments were mounted on implants by means of Pattern Resin (Figs. 14 & 15) in such a way that the position does not change during mounting.
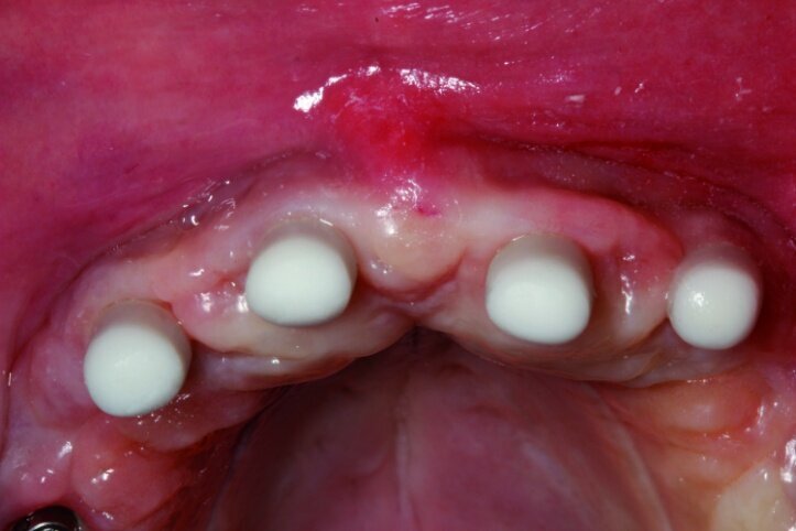
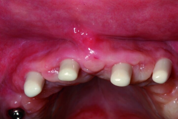
A temporary skeletal prosthesis, based on four telescopes, shall be placed on such a foundation (Figs. 16 & 17). Primary telescopic crowns were glued last (Fig. 18).
Secondary telescopic crowns, made from acetal by means of the CAD/CAM virtual designing method, were tried on primary crowns (Fig. 19). Figures from 20 to 22 present a macroscopic view of zirconia primary crowns testing and acetal secondary crowns. At that stage, our patient received a temporary prosthesis, while lateral implants remained unloaded (Figs. 23 & 24).
In the second part of the article, we will present the designing process (Figs. 25 and 26) along with the process of manufacture of the final construction made from TRINIA material with glued zirconia crowns as well as veneering by means of pink composite material.
Work completed in cooperation with Inter-Dent laboratory in Warsaw, Poland.
Editorial note: This article is the first one from the two parts series and was published in CAD/CAM international magazine of digital dentistry No. 01/2017.
In the first part of this article (published in CAD/CAM 1/2017) the different phases of diagnostics, planning and implantological treatment were presented. ...
In dental implantology, the optimal and truly passive fit of the framework is essential for the long-term success of a restoration owing to the physiology ...
ANKARA, Turkey: Given that the long-term performance of CAD/CAM restorative materials depends on both their intrinsic properties and response to staining ...
CAD/CAM is playing an increasing role in the production of implant-retained prostheses. These digital technologies constitute a major advancement in terms ...
When I graduated from the Faculty for Dental Technicians in Warsaw Medical School in 1987, I had no idea that my profession would change so much over the ...
Although CAD/CAM technology is not new to our profession, its widespread use is increasingly becoming the norm rather than the exception among dental ...
The E4D in-office CAD/CAM unit (Editorial note: Planmeca E4D Technologies) has been employed in an investigative laboratory study to design and mill an ...
Dr. Gary Hack is an associate professor at the University of Maryland School of Dentistry, where he teaches in the Department of Advanced Oral Sciences and ...
LEIPZIG, Germany: By this point, the benefits of employing CAD/CAM technologies in the dental practice and laboratory have been well documented. CAD/CAM was...
For ten years now, exocad’s dedicated team of engineers and researchers has consistently delivered state-of-the-art innovations to the dental industry. At...
Live webinar
Thu. 14 May 2026
12:00 pm EST (New York)
Live webinar
Thu. 14 May 2026
2:00 pm EST (New York)
Prof. Hani Ounsi DDS PhD FICD
Live webinar
Tue. 19 May 2026
11:00 am EST (New York)
Live webinar
Tue. 19 May 2026
1:00 pm EST (New York)
Prof. Dr. med. dent. Ivo Krejci
Live webinar
Wed. 20 May 2026
7:00 am EST (New York)
Dr. Graham Carmichael BDSc (Hons), DClinDent (Pros), FRACDS, Dr. Robert Gottlander DDS
Live webinar
Wed. 20 May 2026
9:00 am EST (New York)
Live webinar
Wed. 20 May 2026
1:00 pm EST (New York)
Prof. Dr. med. dent. Tim Joda PhD, MSc, eMBA
To post a reply please login or register