CAD/CAM technology and cosmetic dentistry are revolutionising modern dental practice by enabling precise, predictable aesthetic outcomes. (Image: Eduard Tanga/Shutterstock; clinical images: Paola Ochoa)
Although CAD/CAM technology is not new to our profession, its widespread use is increasingly becoming the norm rather than the exception among dental professionals. However, adopting a fully digital workflow in the dental practice can be quite challenging for those new to it. Like with any learning experience, leaving behind old ways and incorporating new ones requires effort and perseverance, not just on the part of the dentist but also on the part of the entire dental team.
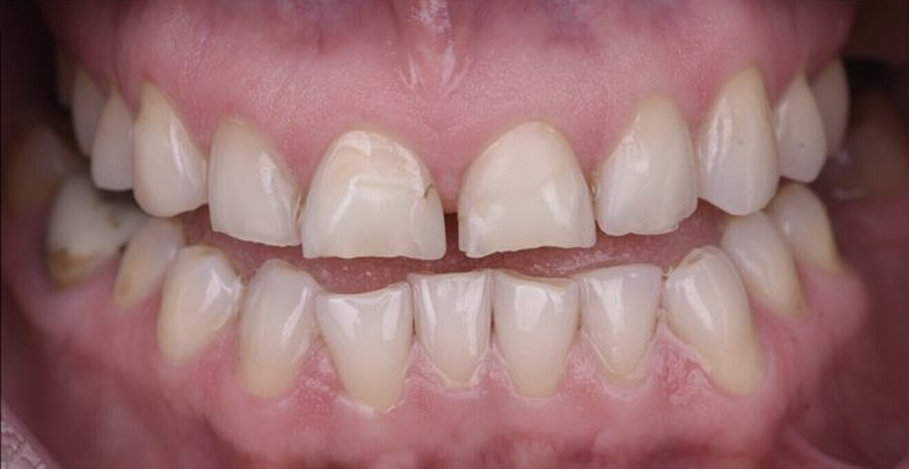
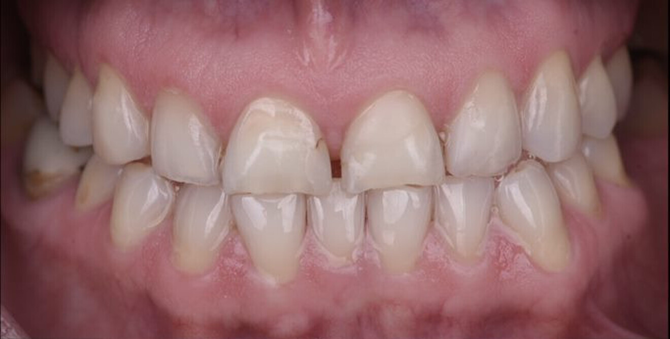
Fig. 1a: Intra-oral view with the teeth in maximum intercuspation.
Fig. 1b: Intra-oral view with the teeth separated.
Once the new ways have been established and the necessary learning has been accomplished, the benefits of having a digital dental practice can be fully enjoyed. Not only is the patient experience improved, but the overall standard of care is elevated, as the final outcome becomes more predictable and restorations more precise. This article will demonstrate how the digital workflow can be used to predictably restore a case where smile aesthetics and function had been compromised owing to wear and tooth loss.
Patient presentation
A 45-year-old female patient presented to my clinic with the chief complaint of small, discoloured teeth and an overall dislike of her smile aesthetics. Although there were no significant findings in her medical history, she reported having a past habit of sucking lemons, which may have partially explained the enamel wear observed in her maxillary arch during the clinical examination. She also presented with an edge-to-edge occlusion with worn incisal edges in both arches and mild mandibular anterior crowding (Figs. 1a & b). She had good oral hygiene and sound periodontal tissue.
Facially, she presented with an average lip length and an inadequate incisal display at rest. Her smile assessment revealed an average smile height, a flattened smile curve and deficient buccal corridors.
Smile design and treatment planning
Dental photography and the digital smile design associated with it are key tools in the treatment planning process of any aesthetic case. A browser-based smile design software program (Smilecloud Biometrics) was used to determine the patient’s ideal tooth size, shape and proportions (Fig. 2). Interestingly, this software uses artificial intelligence to couple the smile design with a search engine of natural tooth morphologies called a biometric library. This allows the dentist and the patient to visualise not one but several potential aesthetic outcomes. The program also provides the user with STL files of the chosen tooth forms for further use.
Fig. 2: Digital smile using the Smilecloud Biometrics system.
Fig. 3: Different views of the digital wax-up using scanned models in exocad.
After the patient had approved the smile design simulation, the STL files were imported into dental CAD software (exocad), where they were merged with the patient’s intra-oral scan (iTero Element 2”, Align Technology) to create a 3D digital wax-up (Fig. 3). Somewhat similar to a conventional wax-up over a cast model, in the digital version, the tooth shapes are adapted to fit the patient’s natural teeth, gingivae and occlusion. In the case presented here, it was deemed necessary to open the vertical dimension to provide space for the reconstruction of the occlusal surfaces.
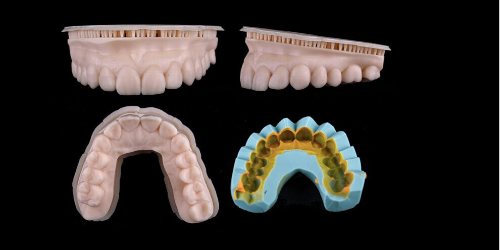
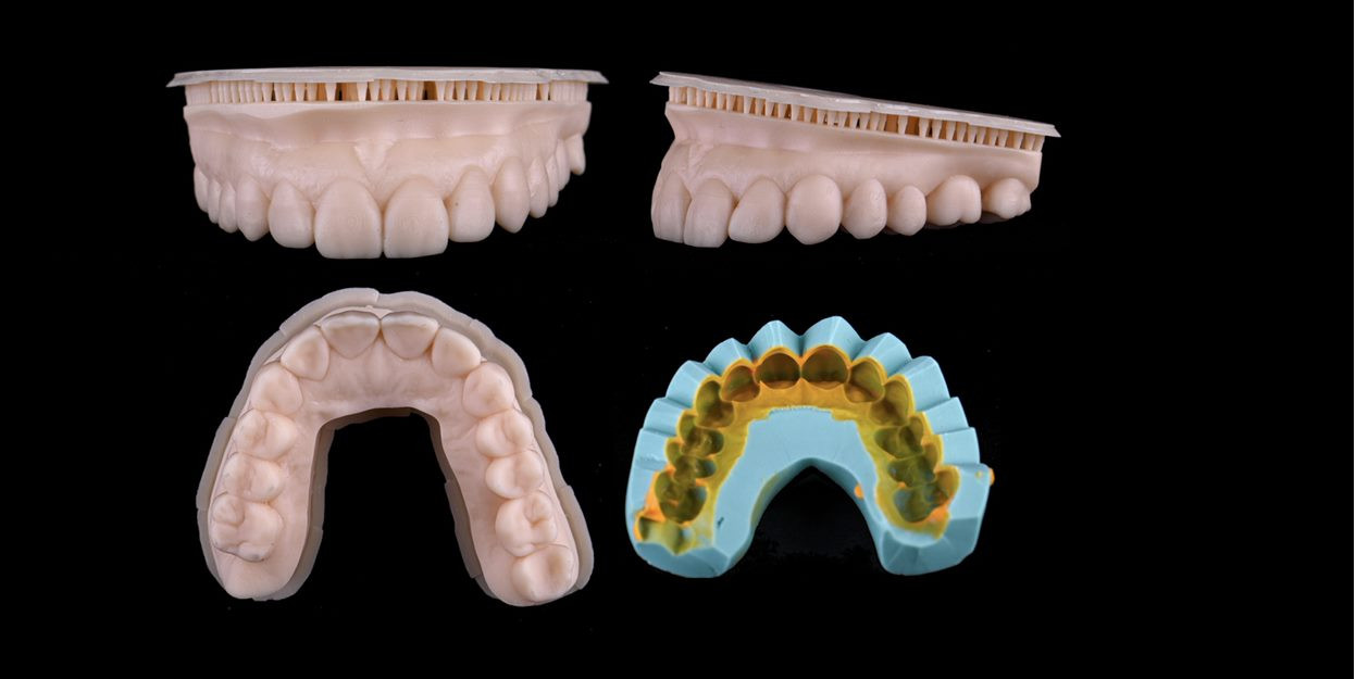
Fig. 4: 3D-printed models of the digital wax-up and the silicone matrix.
After completion of the digital wax-up, the models were then printed on a stereolithographic 3D printer (Form 2, Formlabs). These printed models are physical replicas of the initial smile design carried out in the smile design software and can be used to fabricate a conventional putty matrix. A polyvinylsiloxane impression was taken of the 3D-printed model (Fig. 4).
The mock-up serves as a clinical simulation of the outcome, thus allowing assessment of the aesthetics, function and phonetics. It can be inserted into the patient’s mouth very easily using a self-polymerising resin (e.g. Luxatemp, DMG). An additional benefit of the mock-up is that it can be used as a guide for minimal tooth preparation. With the mock-up still in place in the patient’s mouth, a depth cutter bur was used to provide enough space for the future restorations while preserving the maximum amount of tooth structure.
Preparation, impression and cementation
Because of the need to increase the vertical dimension and restore both the facial and palatal surfaces, the decision was made to restore teeth #13–23 with full veneers, teeth #16, 15, 14, 24 and 25 with veneerlays and tooth #27 with an overlay. Tooth #26 had previously been replaced with an implant-supported crown. In the mandibular arch, tooth #36 was replaced with an implant-supported crown, tooth #46 was restored with a crown and the worn edges of the mandibular anterior teeth were restored with direct composite—the patient agreed to have these teeth restored with veneers in the future for maximum strength and aesthetics.
As previously described, minimal preparation was achieved using the mock-up as a guide. The iTero Element 2 intra-oral scanner was used to take digital impressions of both arches. Subsequently, the STL files were imported into the exocad software and merged with the previous digital wax-up (Figs. 5a & b).
Fig. 5a: Preparations on the exocad model.
Fig. 5b: Merging of the mock-up with the preparations for the final restorations.
Fig. 6: Final lithium disilicate restorations.
The restorations were milled in lithium disilicate from IPS e.max CAD blocks in the MT BL4 shade (Ivoclar; Fig. 6). The restorations were cemented following the manufacturer’s recommendations after confirming marginal fit and obtaining the patient’s approval during a trial insertion. This involved conditioning the ceramic with a 5% hydrofluoric acid for 20 seconds and applying a layer of silane to the etched surface (Monobond Plus, Ivoclar) after rinsing and drying. The tooth substrates were treated with a 35% phosphoric acid and rinsed for 20 seconds, and a layer of universal adhesive was applied to the dried surfaces (Scotchbond Universal, 3M ESPE).
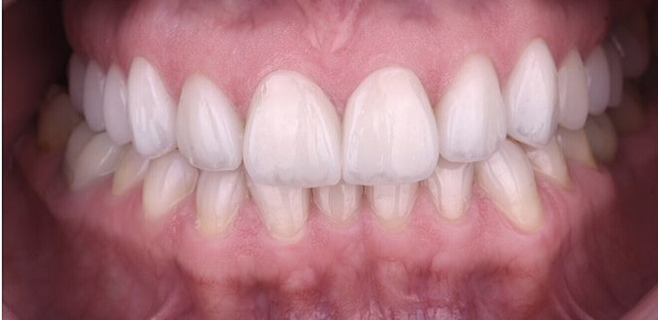
The full veneers, veneerlays and onlay were adhesively luted using a light-polymerising resin luting agent (RelyX Veneer Cement, 3M ESPE) and photoactivated for 20 seconds with a high-power curing light (VALO, Ultradent Products). The decision to use a photoactivated cement was made to ensure both complete polymerisation through light exposure as well as chromatic stability and was justified by the thickness (< 1 mm) and medium opacity of the restorations. The excess cement was removed, occlusal adjustments were made and a removable acrylic appliance was made for the protection of the final restorations. The patient was satisfied with the result (Figs. 7a-b & 8a-c).
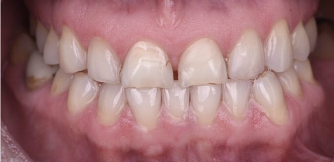
Figs. 7a & b: Pre-op (a) and post-op frontal views of the patient’s smile (b).
Figs. 8a–c: Final views of the aesthetic outcome.
Figs. 9a–d: Full-face views demonstrating the predictability of the digital workflow. Initial situation (a). Digital mock-up (b). Physical mock-up (c). Final restorations (d).
Conclusion
The digital workflow allows for high predictability of the aesthetic outcome, as the final restorations can be made to match the digital wax-up with better precision than with the analogue method (Figs. 9a-d & 10a-b). The learning process involves all the dental team members, including the dental laboratory, as good communication is still critical for treatment success.
Fig. 10a: Pre-op intra-oral view.
Fig. 10b: Post-op intra-oral view with the teeth in maximum intercuspation.
The aesthetics are always a significant challenge during implant restoration, especially in the aesthetic zone, in addition to the full consideration ...
Dr. Gary Hack is an associate professor at the University of Maryland School of Dentistry, where he teaches in the Department of Advanced Oral Sciences and ...
NEW YORK, U.S.: Everyday dentistry is becoming simple, guided, esthetic and more and more digital. Within the esthetic zone in particular, depending on the ...
KOBLACH, Austria: With its Ceramill Direct Restoration Solution (DRS), Amann Girrbach has extended its integrated digital workflow to the dentist and thus ...
ANKARA, Turkey: Given that the long-term performance of CAD/CAM restorative materials depends on both their intrinsic properties and response to staining ...
Today, practising dentistry without digital technology and CAD/CAM procedures is unimaginable. Intra- and extra-oral imaging, scanning of antagonists and ...
For ten years now, exocad’s dedicated team of engineers and researchers has consistently delivered state-of-the-art innovations to the dental industry. At...
LEIPZIG, Germany: By this point, the benefits of employing CAD/CAM technologies in the dental practice and laboratory have been well documented. CAD/CAM was...
The E4D in-office CAD/CAM unit (Editorial note: Planmeca E4D Technologies) has been employed in an investigative laboratory study to design and mill an ...
NEW YORK, U.S.: Titanium bases as abutments for CAD/CAM-fabricated crowns and bridges are becoming hugely popular. However, concern has been raised ...
Education
Live webinar Wed. 22 April 2026 11:00 am EST (New York)
To post a reply please login or register