In the first part of this article (published in CAD/CAM 1/2017) the different phases of diagnostics, planning and implantological treatment were presented. In the process of planning, the necessity of creating temporary restorations in order to increase the patient’s comfort was taken into consideration, keeping in mind the fact that augmentative procedures must be performed.
Once the implants—located at lateral sections of the maxilla both on the right- and left-hand side—had integrated, it was possible to proceed to the process of designing and building the final construction of the prosthetic restoration. The integration period took considerably longer than in the case of frontal sections of the maxilla because of the necessity of performing a sinus lift procedure.
Fig. 1: A virtual image of a scanned model with abutments and telescopic crowns.
Fig. 2: Design of the construction with the transparency mode on.
Fig. 3: Ready-made construction on a virtual model.
Fig. 4: Scan of the temporary prosthesis (blue color) visible against the design of the construction.
Fig. 5: Design of the framework visible from the palatal side. Visible abutments prior to the placement of telescopic crowns at the frontal section with abutments to be attached by
means of screws at the lateral section.
Fig. 6: Design of the telescopic crowns placed onto the abutments at the frontal section.
Fig. 7: Project of the construction with transparency mode on.
Fig. 8: Ready-made construction on a virtual model.
Fig. 9: A planted scan of a temporary prosthesis (blue colour) on the construction design.
Fig. 10: Ready-made project of the supra-structure visible from the intragingival side.
Fig. 11: Suprastructure cut out and transferred onto the model.
Fig. 12: Test of the construction within the oral cavity—visible opening for screws.
Fig. 13: Porcelain crowns prepared for testing.
Fig. 14: Porcelain crowns based on a model prior to veneering by means of a pink composite.
Fig. 15: Test of the construction together with crowns and the mouth slightly open.
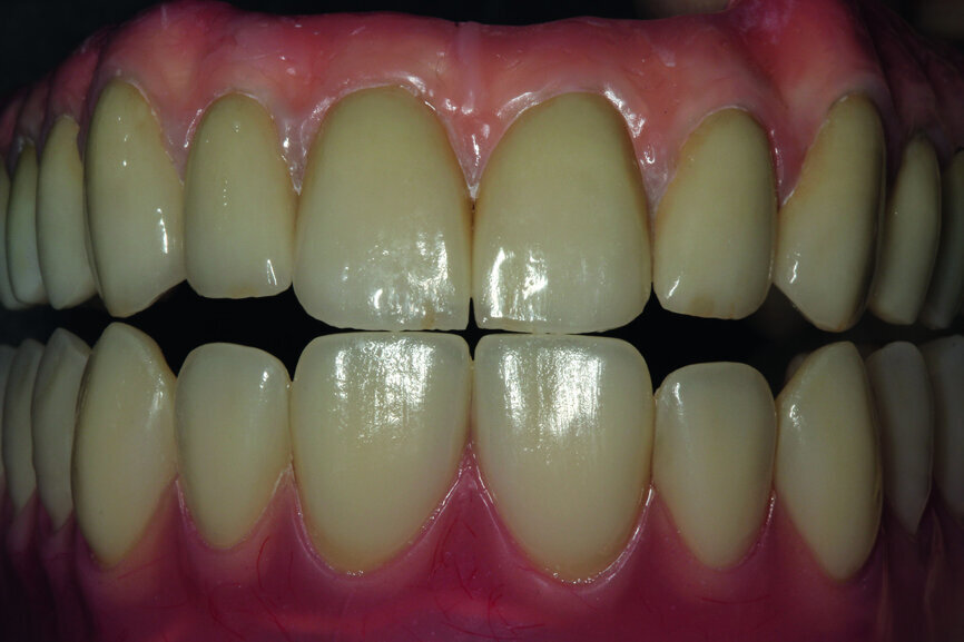
Fig. 16: Maximum smile of the patient with crowns.
Fig. 17: Maximum smile of the patient without crowns.
Fig. 18: Preparation of the structure for gum modelling. (Photo: courtesy of Inter-dent laboratory)
Fig. 19: A model with a gingival mask.
Fig. 20: Prosthetic work based on a model where veneering of the gum was started and with crowns.
Fig. 21: Openings for screws are located before placing the crowns.
Fig. 22: Comparison of the pattern, that is, the temporary prosthesis and the final prosthetic work.
Fig. 23: Final restoration prior to handover and the placing of crowns.
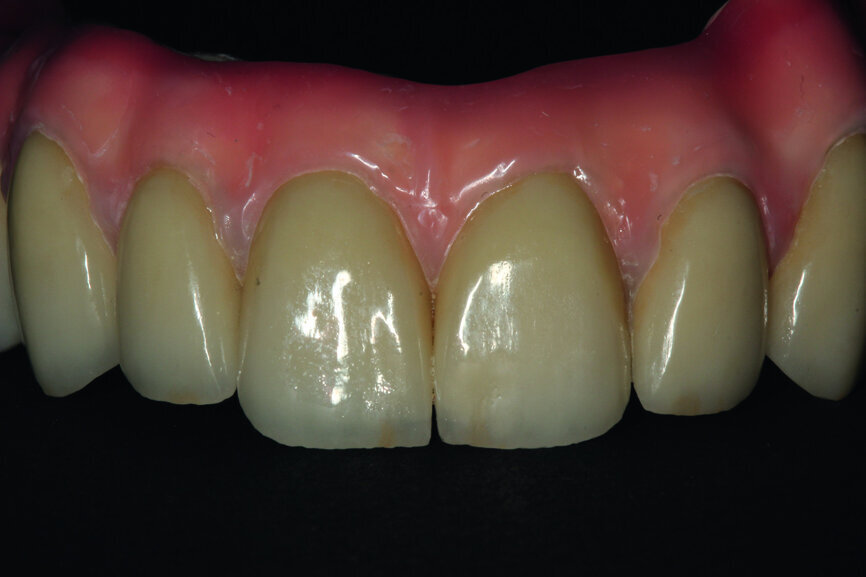
Fig. 24: Final restoration—frontal view.
Fig. 25: Magnification showing precision in the making of the crowns and in veneering by means of pink composite.
Fig. 26: Transparency of the final restoration.
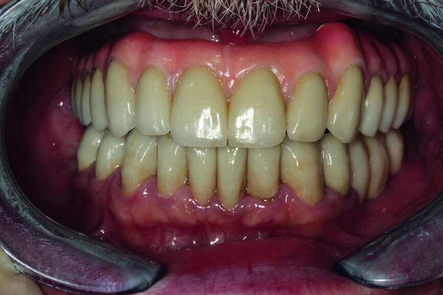
Fig. 27: Final prosthetic restoration in patients’ mouth.
Fig. 28: Patient’s smile at the end of
the treatment.
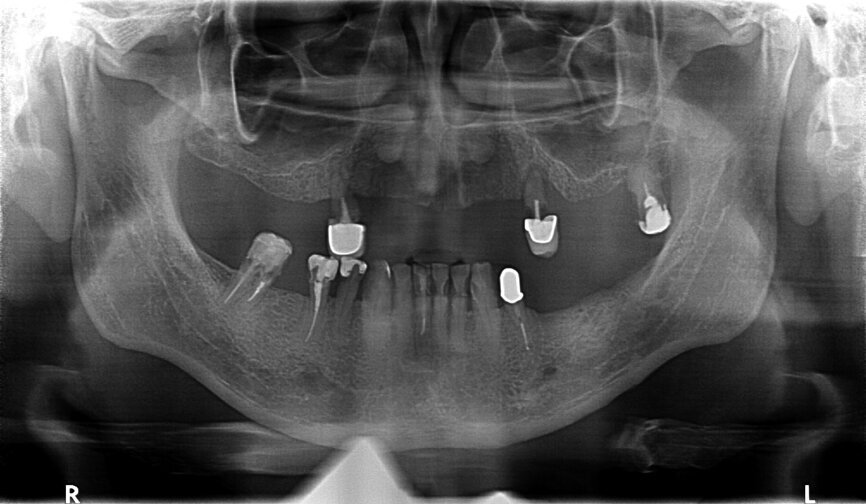
Fig. 29: OPG prior to treatment.
Fig. 30: OPG after placing implants.
Fig. 31: OPG after exposing implants at the lateral section and having used a temporary prosthesis based on telescopes.
Fig. 32: OPG after treatment.
The patient was very well protected as he had been using a skeletal prosthesis based on four telescopic abutments at the frontal section. Benefits arising from such a solution consisted not only in the feeling of comfort, but also in the fact that the frontal implants were subject to functional loading immediately after the period of initial integration, which has resulted in the surrounding bone being subjected to the process of condensing thanks to regular training. Another advantage was the fact that there was no need to disassemble the telescopic abutments on the implants at the frontal section as the abutments had primary telescopic crowns, while the secondary ones had been prepared as a second set for placing within the final construction.
The final prosthetic restoration included a bridge attached to four implants, and on four telescopic abutments based on a TRINIA framework, which was created by means of CAD/CAM techniques, onto which zirconia based porcelain crowns were glued. The remaining part of the structure was veneered by means of a pink composite material in order to imitate the gum.
In order to prepare the bridge, a model was scanned and transferred onto a computer using software to design the bar (Fig. 1). The bar was designed by using special software in such a way that the whole design was transparent in the first phase so that the location of abutments and the position of the telescopic abutments at the frontal section could be visible (Fig. 2).
Having planned the proper shape and location of pillars for the porcelain crowns, the transparency was switched off (Fig. 3).
The next phase involved the planning of the size and shape of the final teeth, which, as porcelain crowns, will be glued onto the construction (Fig. 4). For that purpose, it is very helpful if on the design of the bar, a scan of the patient's temporary model prosthesis can be planted.
The patient must first approve the wax-up, in aesthetical and functional terms (Fig. 4). A computer programme for designing such constructions provides us with the possibility of viewing and designing the bar from all angles. Figures 5 to 9 show some exemplary prints of the views visible from the occlusal surface. Having finished the designing process, the bar should be visually inspected from the intragingival side (Fig. 10).
After this has been done, the next step consists in testing the almost ready-made crowns before the final glazing and before attaching it onto the model. As a result it is possible to make corrections, should they be necessary. Of course, one should check the proper match-up and the aesthetics on the model (Figs. 13 & 14).
After the model was analysed, we proceeded to analyse the fitting and the aesthetics in the mouth of the patient. Carrying out such a test makes a lot of sense, especially in a dynamic way, and by asking the patient to make various facial movements, such as smiles and grimaces, we can assess the properties of the course of the border line of the zenith of the teeth and the transition into a gingival garland. It is of real importance as at this stage that we can plan the process of covering the construction with pink porcelain or composite (Figs. 15–17).
After the test, we sent the construction to a prosthetic laboratory with detailed guidelines for veneering. To achieve the proper location of the pink veneering it was necessary to place the porcelain crowns onto the bar and model the border line for the gingival garland (Figs. 18–20). Due to the fact that the prosthesis constituted the ideal shape of the teeth, it was worth comparing it with the final prosthetic work and assessing the details of the whole work process before the patient sits comfortably in the dental chair (Figs. 21–25).
If the quality of the work satisfies our expectations, we may proceed to the handing-over stage and perform the functional and aesthetic analysis, both intra- and extraorally. A perfect conclusion to the treatment process is the receipt of a complete set of OPG X-rays taken before, during and following treatment (Figs. 29–32).
Conclusion
The performance of prosthetic reconstruction always requires a detailed plan. At present, when planning implantological treatment, the use of advantages that CBCT-based imaging has to offer has become obligatory. As a result of that, one can avoid certain complications that result from improper recognition of anatomical conditions. Planning prosthetic restorations based on implants requires even more precision than restorations based on own teeth due to the necessity of acquiring passivity in the construction’s adhesion to implants. Due to the fact that patients prefer fixed prosthetic restorations, the author recommends making bridges or prosthesis that enable disassembly for maintenance purposes. In such situations, these restorations are based on telescopic or screw-retained abutments.
Work completed in cooperation with Inter-Dent laboratory in Warsaw, Poland.
Editorial note: This article is the second part of a two-part series. Part I was published in CAD/CAM 1/2017. This article was published in CAD/CAM - international magazine of digital dentistry No. 03/2017.
Patients who visit our clinic and wish to receive prosthetic treatment are frequently unaware of the possibilities that modern medicine has to offer. ...
In dental implantology, the optimal and truly passive fit of the framework is essential for the long-term success of a restoration owing to the physiology ...
Although CAD/CAM technology is not new to our profession, its widespread use is increasingly becoming the norm rather than the exception among dental ...
ANKARA, Turkey: Given that the long-term performance of CAD/CAM restorative materials depends on both their intrinsic properties and response to staining ...
The E4D in-office CAD/CAM unit (Editorial note: Planmeca E4D Technologies) has been employed in an investigative laboratory study to design and mill an ...
CAD/CAM is playing an increasing role in the production of implant-retained prostheses. These digital technologies constitute a major advancement in terms ...
When I graduated from the Faculty for Dental Technicians in Warsaw Medical School in 1987, I had no idea that my profession would change so much over the ...
For ten years now, exocad’s dedicated team of engineers and researchers has consistently delivered state-of-the-art innovations to the dental industry. At...
Dr. Gary Hack is an associate professor at the University of Maryland School of Dentistry, where he teaches in the Department of Advanced Oral Sciences and ...
BRAZIL: In June, a team of Doctors Without Borders (DSF), a Brazilian NGO that provides dental assistance to the indigenous peoples of the Amazon region, ...
Live webinar
Thu. 14 May 2026
12:00 pm EST (New York)
Live webinar
Thu. 14 May 2026
2:00 pm EST (New York)
Prof. Hani Ounsi DDS PhD FICD
Live webinar
Tue. 19 May 2026
11:00 am EST (New York)
Live webinar
Tue. 19 May 2026
1:00 pm EST (New York)
Prof. Dr. med. dent. Ivo Krejci
Live webinar
Wed. 20 May 2026
7:00 am EST (New York)
Dr. Graham Carmichael BDSc (Hons), DClinDent (Pros), FRACDS, Dr. Robert Gottlander DDS
Live webinar
Wed. 20 May 2026
9:00 am EST (New York)
Live webinar
Wed. 20 May 2026
1:00 pm EST (New York)
Prof. Dr. med. dent. Tim Joda PhD, MSc, eMBA
To post a reply please login or register