Search Dental Tribune

Treatment of a patient with a congenitally missing lateral incisor using aligners: A case report

Final smile close-up photograph. (All images: Iro Eleftheriadi & Christodoulos Laspos)

The maxillary lateral incisor is the second most common congenitally missing tooth.1, 2 Owing to the aesthetically prominent region it is located in, treatment of this condition requires a multidisciplinary approach aimed at excellent functional and aesthetic results. There are several treatment options based on orthodontic space manipulation: orthodontic space opening and replacement with a tooth-supported restoration3 or a dental implant4 and space closure that involves canine substitution.5

Fig. 1: Pretreatment facial and intra-oral photographs.

Fig. 1: Pretreatment facial and intra-oral photographs.

The treatment decision should be agreed upon between the treating dentist and the patient, based on the expectations of the latter and the predictability of treatment. Multiple factors affect this decision, such as the type of malocclusion, the size, shape and colour of the canines,6 the occlusal relationship (overjet and overbite), the facial profile, the arch length and tooth size discrepancies.7

In the case reported in this article, a female adult patient presented with a congenitally missing maxillary left lateral incisor. Clear aligners were used to open the space for a single implant placement and achievement of a functional occlusion with excellent aesthetics.

Case presentation

Diagnosis

The patient was 32 years old when the treatment started and presented as follows (Figs. 1–3):

  • missing maxillary left lateral incisor;
  • Class II division I malocclusion;
  • maxillary midline deviation to the left;
  • mild crowding in the mandibular arch;
  • Bolton discrepancy (mandibular excess of 3.06 mm in the anterior area and of 1.47 mm in total);
  • long face with facial asymmetry; and
  • convex profile with retruded mandible and prominent nose.

The patient had an implant in position #46, whereas teeth #16 and 26 had been endodontically treated. These teeth showed no symptoms; thus, it was decided to re-evaluate the endodontic treatments only if necessary.

The third molars were not present. The evaluation of the cephalometric radiograph (Fig. 4) showed a retrognathic mandible (SNB: 74.2°) and normal inclination of the incisors, both maxillary (Ui–FH: 111.3°) and mandibular (Li–APog: 24.2°).

Fig. 2: Pretreatment digital models.

Fig. 2: Pretreatment digital models.

Fig. 3: Pretreatment panoramic radiograph.

Fig. 3: Pretreatment panoramic radiograph.

Fig. 4: Pretreatment cephalometric radiograph and analysis.

Fig. 4: Pretreatment cephalometric radiograph and analysis.

Treatment objectives and treatment plan

The treatment objectives were the following:

  • levelling and aligning of both arches;
  • space opening for the missing lateral incisor;
  • correction of molar and canine relationships to Class I; and
  • correction of the midline deviation.

The treatment plan included:

  • correction of the molar and canine relationships to Class I with maxillary distalisation;
  • opening of space in position #22 for a single implant;
  • midline correction; and
  • opening of space for enlargement of tooth #12 and interproximal reduction in the mandibular area to improve the Bolton discrepancy, allowing better occlusion and digitisation.

Treatment progress

This case was treated with the Invisalign system of aligners (Align Technology). The approved initial treatment plan included 49 aligners with distalisation of maxillary posterior teeth to Class I (approximately 3.5 mm; Fig. 5). A space of 6.5 mm in the area of the missing lateral incisor was planned for the implant, and interproximal reduction was planned in the mandibular anterior region. On the right side, the button cut-out for the Class II elastics was placed on tooth #47 instead of tooth #46, to avoid damage to the implant crown.

Since the patient was living abroad and close monitoring was not possible, some mid-treatment corrections were necessary (Fig. 6). During treatment, the following issues arose: poor posterior occlusion during the distalisation process and tipping of tooth #21 (Fig. 7). The latter was caused by the lack of an attachment on this tooth in the initial treatment plan. These issues were addressed in the additional aligner order with torque control and extrusion of posterior teeth to establish good posterior occlusal contacts and with the use of optimised root control attachments to correct the angulation of the maxillary central incisors (Fig. 8).

Fig. 5: The approved initial treatment plan.

Fig. 5: The approved initial treatment plan.

Fig. 6: Mid-treatment photographs showing the need for some corrections

Fig. 6: Mid-treatment photographs showing the need for some corrections

Fig. 7: Mid-treatment intra-oral situation.

Fig. 7: Mid-treatment intra-oral situation.

Fig. 8: Additional aligners ordered.

Fig. 8: Additional aligners ordered.

Treatment result

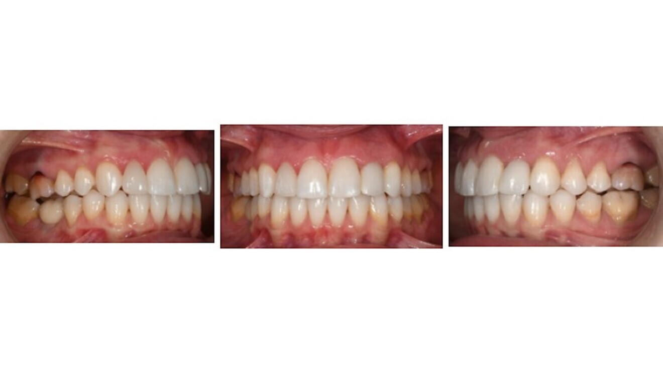
The panoramic radiograph after orthodontic treatment showed the correct parallelism in the maxillary left anterior region for the implant placement and the convergence of the roots of teeth #44 and 45 (Fig. 9), but we decided not to spend extra treatment time on the latter, since the patient was really pleased with the result at that point. After completion of orthodontic treatment, perfect Class I molar and canine relationships had been achieved and the midlines were coincident. A temporary crown was placed on the single implant (Figs. 10 & 11), and prosthetic restoration of tooth #12 and final restoration of the implant were completed. An excellent final result was achieved. The soft tissue in the implant area had completely healed, contributing to the high-level aesthetics achieved (Figs. 12–15).

Figs. 10a–c: Lateral and frontal intra-oral photographs after orthodontic treatment and implant placement. Tooth #12 had not yet been prosthetically restored.

Figs. 10a–c: Lateral and frontal intra-oral photographs after orthodontic treatment and implant placement. Tooth #12 had not yet been prosthetically restored.

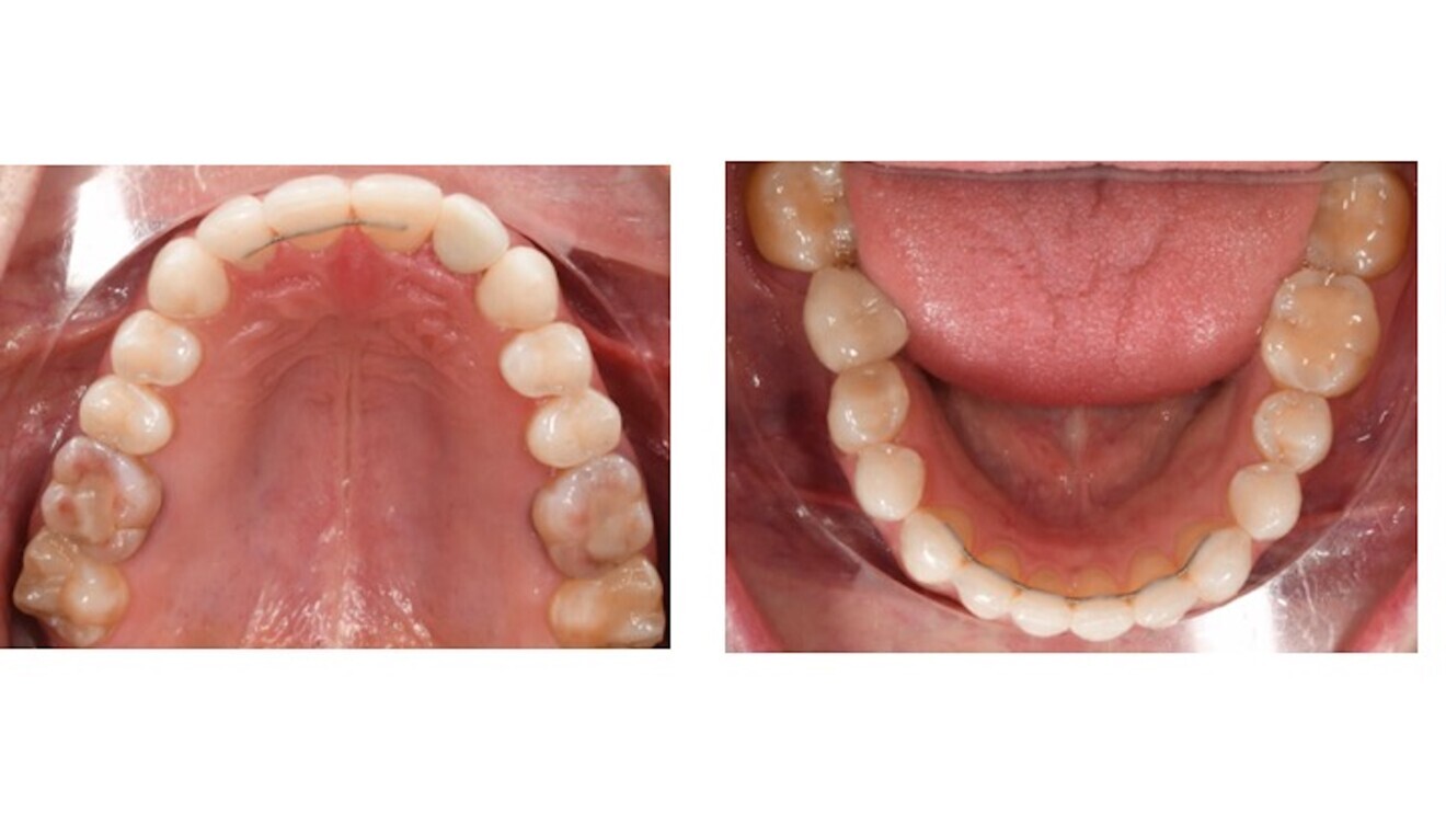
Figs. 11a & b: Occlusal photographs after orthodontic treatment.

Figs. 11a & b: Occlusal photographs after orthodontic treatment.

Figs. 12a–c: Final latera and frontal intra-oral photographs.

Figs. 12a–c: Final latera and frontal intra-oral photographs.

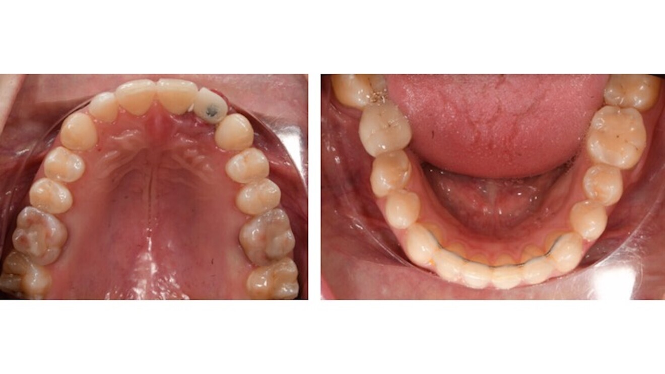
Figs. 13a & b: Final occlusal photographs.

Figs. 13a & b: Final occlusal photographs.

Regarding the final cephalometric analysis, the facial height (LFH: 56.5 mm) and measurements of soft tissue remained the same. The inclination of the maxillary incisors was well preserved (Ui–FH: 115.8°), and the mandibular incisors were slightly proclined (Li–APog: 30°; Fig. 16).

Fig. 14: Final smile close-up photograph.

Fig. 14: Final smile close-up photograph.

Fig. 15: Final smile extra-oral photograph.

Fig. 15: Final smile extra-oral photograph.

Fig. 16: Final cephalometric radiograph and analysis.

Fig. 16: Final cephalometric radiograph and analysis.

Discussion

Congenitally missing permanent maxillary lateral incisors have been reported to occur in 3.5–6.5% of Caucasians, the occurrence in females outnumbering that in males by a rate of 3:2.810 There are various treatment options, including substitution with reshaped canines and orthodontic space opening and prosthodontic replacement or auto-transplantation. It has been found that the treatment choice of space closure versus space opening is still a debated issue among orthodontists and prosthodontists.11, 12

According to the literature, space closure and canine substitution is preferred in cases of unilateral missing lateral incisors, balanced profiles, canines and premolars of similar size and colour, bimaxillary protrusion or Class II malocclusion.1315 Space opening is favoured in cases of Class I malocclusion, spaced maxillary dentition, or large size differences between canines and first premolars.16

A recent retrospective study concluded that decision-making for treatment of congenitally missing lateral incisors is directly dependent mainly on the following factors:17

  1. patient’s age at treatment commencement;
  2. individual characteristics of each clinical situation; and
  3. collaboration of the specialists in the treating team.

Even though there are studies supporting the superiority of space closure treatment,11, 18 each case should be individually evaluated. In the case reported in the present study, the option of space opening for prosthetic rehabilitation was chosen, since the goal was to achieve Class I molar and canine relationships and a wider smile. To avoid compromise, Class I molar and canine relationships were achieved, the Bolton discrepancy was improved and the midlines were coordinated. Other studies have also shown excellent aesthetics and functional results with space opening and prosthetic rehabilitation.19 Both treatment alternatives have been found satisfactory, having similar functional and periodontal results,20 whereas in another study, laypeople rated both treatments as equally good.21 Our choice of space opening was also supported by the possibility of gaining an excellent occlusion. Recent advances in the Invisalign system allow predictable distalisation of posterior teeth to facilitate treatment of Class II and III malocclusions.22 Aligner therapy in association with composite attachments and Class II elastics has been found to achieve sufficient distalisation with no changes in facial height.23 As shown in the cephalometric analysis, this was achieved in the presented case, since facial height remained the same compared with the initial situation. Regarding the slight tendency for posterior open bite, it has been found that settling and improvement of occlusal contacts occur beyond three months after treatment.24 Thus, improvement of this situation and tight occlusal contacts are expected in the post-treatment period. As far as the choice of single implant placement and restoration in the area of the missing lateral incisor is concerned, it has been found that it is the most common treatment alternative.25 It leaves adjacent teeth intact; thus, its main advantage is conservation of tooth structure.

Our treatment choice was based on detailed multidisciplinary diagnosis and planning, and this has been found to be imperative for achieving the best individual results for patients with missing lateral incisors.26 The contribution of digital technology has been recognised in improving and simplifying diagnosis, treatment planning and execution in orthodontics.27 The tool of digital set-up for diagnosing and treatment planning has been found reliable for reproducing orthodontic treatment.28 ClinCheck software (Align Technology) was effectively utilised in the presented case, in order to plan the multidisciplinary treatment and communicate it between the treating team and the patient.

Conclusion

Missing maxillary lateral incisor cases should be managed from an interdisciplinary diagnostic and treatment perspective. There are considerable benefits of using ClinCheck software as a tool for treatment planning and communication among clinicians and the patient, to finalise a treatment plan that addresses all the patient’s concerns. This case report shows how a successful team (orthodontist, restorative dentist and surgeon) when using state-of-the-art methods, can strive for excellence and create aesthetic and functional smiles with no compromise.

Editorial note:

This article was published in aligners—international magazine of aligner orthodontics vol. 1, issue 1/2022. Please follow the link to view the list of references.

Tags:
To post a reply please login or register
advertisement
advertisement