Search Dental Tribune

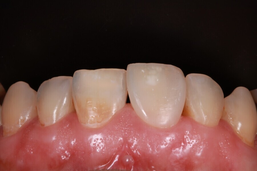
Porcelain veneers are more expensive, but more durable solution than composite veneers. (All images: Maciej Żarow)

Fri. 1. March 2024

save

In aesthetic dentistry, composite veneers are a topic of interest for dental professionals seeking to enhance patients’ smiles with minimally invasive and cost-effective solutions. Speaking with Dental Tribune International, Dr Maciej Żarow, a specialist in aesthetic dentistry, discusses the differences and similarities between composite and porcelain veneers, providing insights into clinical considerations and patient suitability. He also gives advice to dentists starting in the field and addresses the evolving trends and technological advancements shaping aesthetic dentistry.

Fig. 1: Dr Maciej Żarow.

Fig. 1: Dr Maciej Żarow.

What are the similarities and differences between porcelain veneer and composite veneer, commonly known as bonding?
In my opinion, both solutions are good, but we should remember that the indications are completely different. A composite veneer is relatively easier to perform, as it is a truly non-invasive restoration that does not require preparation of the tooth. Indications for this type of restoration include young patients and patients in whom porcelain veneers should not be performed. Porcelain veneers should not be performed on patients under 25 years or in patients who, for various reasons, are afraid of preparation of the tooth, as well as patients who, for any reason, would not like to have the tooth prepared at all.

When deciding on the type of restoration, one should remember that composite veneers have their limitations. They are difficult to place when teeth are significantly discoloured. Also, they are not easy to do when the work involves numerous teeth—six, eight or even ten teeth—in one arch. It is also not easy to perform composite veneers in the gingival area because, on the one hand, the composite should cover the labial surface of the tooth, and on the other hand, we have to avoid a large emergence profile and any overhang—that’s not easy. In the case of porcelain veneers, the dental technician can maintain the tooth contour and the appropriate emergence profile much more easily working extra-orally in the laboratory.

“Porcelain veneers are more expensive, but more durable. Veneers I placed 20 years ago are still functioning in the patient’s mouth.”

Bonding is often a cheaper, simpler and faster solution for the patient. Porcelain veneers are more expensive, but more durable. Veneers I placed 20 years ago are still functioning in the patient’s mouth. As long as the patient has a well-supported occlusion in the lateral region and no occlusal overload and takes good care of the gingivae, and there is no recession around the veneers, then veneers made several years ago will still be good.

As I already mentioned, both solutions have their advantages and disadvantages. The disadvantage of porcelain veneers, besides their high price, is the dental clinician’s dependence on the dental technician for their production. The technician needs to have the requisite experience in order to perform veneers in the right way, as they should be as thin as possible and aesthetic, having perfectly matched colour and shape and a preserved emergence profile. This requires experience, knowledge and time.

When performing porcelain veneers, the dentist should meet with the patient at least twice. At the first visit, he or she must prepare the tooth, at the second visit, place the finished work, and at the next visit, check function and aesthetics. Sometimes, the work requires fittings and corrections, which entails more visits and has consequent additional costs for both the dentist and the patient. These are the disadvantages of porcelain veneers, but their obvious advantages, in addition to durability, are compatibility, excellent gingival integration, and ability to mask discolorations and cover many teeth. All this is possible when working with a facebow and a good laboratory.

In the case of composite veneers, the more teeth we want to cover, the more difficult it is to do. If bonding is performed on one or two teeth, the work is relatively simple. If it is eight or more, it requires a lot of skill on the part of the dentist, and that involves not only educational courses but above all practice, practice and more practice. To work well with composites, one needs to have a well-practised hand and to learn about the properties of the composite and how to work with it.

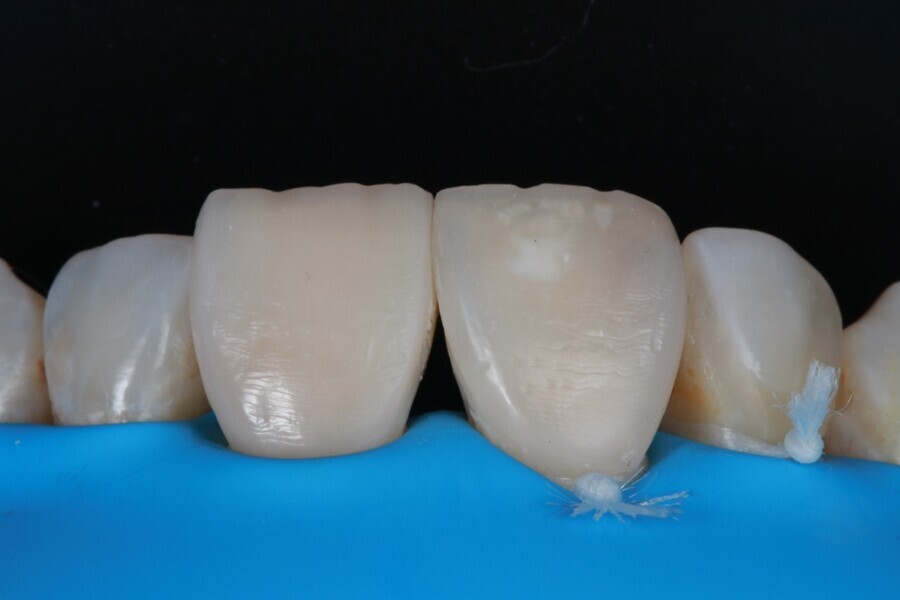
Fig. 2: Porcelain veneers.

Fig. 2: Porcelain veneers.

Can you explain what exactly bonding is?
Bonding is a direct composite veneer that covers the facial surface of the tooth. “Bonding” is a simplified name derived from the word “bond”, which means connection, more precisely a connection between two surfaces or objects that have been joined together. This is a great clinical solution in the hands of a good, experienced dentist who has the appropriate knowledge and for cases for which its use is indicated, that is, where there is no significant damage to the hard tooth tissue, when we do not want to prepare the tooth and when we do not wish to change the shape or colour of the tooth too much. This is a very useful method of treatment of young patients with good occlusal conditions or when these conditions need to be changed and can be changed by rebuilding the occlusion. The patient’s smile can be enhanced with bonding, but the bonding is often replaced with porcelain veneers after many years, because bonding requires good oral hygiene, including proper flossing, and avoiding foods that stain. It is also important to understand that over time, just like natural teeth, it simply wears down.

In your experience, are patients requesting composite veneers more often now than a few years ago? Have composite veneers become more popular among patients?
Yes, and I think it’s mostly because of the growing popularity of medical social media accounts and case photographs presented there. Very often, patients see the word “bonding”, but they actually do not know what it means. I’ve had patients with porcelain crowns request replacement of their crowns with bonding, implying that many patients understand “bonding” to mean a white, beautiful smile.

Additionally, there are companies selling orthodontic aligner systems which promote their products with the phrase “align, bleach and bond”, meaning tooth alignment followed by tooth whitening and then application of bonding. This is even referred to as the “golden trio” in dentistry. But this golden trio is not always suitable, because not every patient after orthodontic treatment requires composite veneers, and sometimes bonding can do more harm than good. Bonding can be a very good solution but not always and not for everyone.

Figs. 3a & b: Smile makeover with porcelain veneers: before (a) ...

Figs. 3a & b: Smile makeover with porcelain veneers: before (a) ...

...and after (b).

...and after (b).

Figs. 4a & b: Smile makeover with porcelain veneers: before (a) ...

Figs. 4a & b: Smile makeover with porcelain veneers: before (a) ...

...and after (b).

...and after (b).

What do you think about CAD/CAM veneers, that is, milled or 3D-printed? Are they comparable?
I have experience with both veneers made with feldspathic porcelain technology as well as those made in the laboratory using the milling technique. Milling techniques use lithium disilicate, the most popular material, and it undergoes two distinct phase changes to achieve its final form. Veneers made in a dental office using milling machines or 3D printers can be seen as a competitive alternative for dental technicians. I know dentists who use chairside CAD/CAM systems to perform veneers on-site, but they usually employ a dental technician in their office anyway because they need someone to adjust the colour and shape and make any necessary corrections immediately. Many dentists do not want to spend time on these adjustments. It is easier to do restorations in the lateral zone but more difficult in the anterior part owing to the high aesthetic requirements. I am convinced that technologies will continue developing very rapidly, and soon dentists will be able to perform such work without the involvement of a technician, using scanners and complete CAD and printing systems, but at the moment, it is not very common—at least not in my country.

The precision of these techniques is certainly an advantage, but do you think that they also work for highly aesthetic restorations in the anterior zone?
I know dentists who design and print and/or mill restorations from various ceramic materials and are able to do it in a similar way to a dental technician, but these are hobbyists and people who have the time, conditions and passion in this direction. They are exceptions. In many cases, the dentist will not have the time, patience or skills to do the work of the dental technician.

As the co-organiser of the annual meeting of the European Society of Cosmetic Dentistry (ESCD), which was held in Wrocław in Poland last year, can you tell us about the significance of this meeting? Was it in line with trends in global aesthetic dentistry?
First of all, I’d like to say that it was an outstanding meeting of a very high international level. The quality of the presentations was excellent. Half of the congress participants were dental professionals from Poland and half were foreign guests. All participants I spoke to during and shortly after the event agreed that it was an up-to-date meeting that touched on all issues related to modern dentistry. We managed to include in the programme topics covering all areas of dentistry, including aesthetic dentistry, implantology, endodontics, restorative dentistry and the very popular digital orthodontics.

The meeting was outstanding! ESCD is a unique organisation in that every year it not only attracts more and more participants to its annual conference, but also holds better and better congresses—and they are usually held in very interesting European cities. A year ago, the meeting was held in Rome, and before that in Athens and Lisbon.

The congress was devoted to digitalisation, one of the leading trends in dentistry. There were many lectures focused on digital orthodontics, scanning and the flow of information between the laboratory and the dental office. Many speakers presented on digital treatment planning, from simple restorative dentistry to complex prosthetic work, implantology and extremely complex digital planning of bone grafting. For example, we had a very interesting lecture by Prof. Marzena Dominiak from Wrocław, who presented innovative techniques for the printing of bone grafting materials.

Fig. 6: Dr Maciej Żarow with his mentor Dr Marco Nicastro together with their students.

Fig. 6: Dr Maciej Żarow with his mentor Dr Marco Nicastro together with their students.

Among the conference participants, there were many young dentists just starting their professional careers. What initial advice would you give them? In what direction should they develop their careers and skills?
The most important thing is not to move forwards alone but together as a team. Teamwork, especially working with mentors, gives great opportunities, above all, to correct your own mistakes. Currently, dentistry is based on excellent photographic documentation and digital imaging, and consultations are much simpler, so even if your mentor lives in a different country it is easy to communicate with him or her.

ESCD promotes development based on mentors. It is possible and indeed recommended for a new member to find a mentor among ESCD experts, who will monitor the young dentist’s work for a year and teach him or her how to operate according to the highest international standards. After a year of working under the supervision of a mentor, a young dentist can become a certified member of ESCD. More information about mentorship and certification procedures is available on ESCD’s website. We invite all dentists who would like to participate in the scientific life of this organisation to join the society. Also during the Dental Spaghetti congress in April this year, there will be an opportunity to meet European ESCD mentors.

Holding the ESCD congress in Wrocław last year allowed the promotion of Polish lecturers. Among the invited lecturers, in addition to Prof. Dominiak, were Drs Krzysztof Chmielewski and Bartłomiej Karaś, and I too presented. I had the pleasure of lecturing with my mentor, Dr Marco Castro. It is thanks to him that I have achieved so much, because it would have been very difficult for me to learn and grow alone. The next ESCD annual meeting will be held in September in Belgrade in Serbia, and today I cordially invite dental professionals to attend this worthy event.

What in your opinion has changed dentistry in the last ten to 20 years the most, and in what direction do you think dentistry is moving?
The dynamics of change are currently enormous. Twenty years ago, we awaited changes, for new technologies. Now, these changes are widespread; for example, working with a microscope has become standard, and many dental offices already have scanners. This, of course, requires learning new competences and skills. If today a dentist does not learn how to scan, in a few years, he or she will not be able to use new technologies. It is mandatory to understand the principles of milling and printing because these technologies are the future of our profession. In my opinion, changes in dentistry in recent years have been driven mostly by new technologies and new equipment but, above all, by postgraduate education and professional development of dental practitioners.

New technologies have made it possible to make veneers with a thickness of 0.3 mm, thus reducing preparation to a minimum and even making it possible to provide restorations without preparation. Reconstructions are possible without disturbing the tooth structure. Implantology has also changed in that it is becoming more predictable. Implants can be planned digitally and placed precisely with help of 3D-printed guides.

And what do I expect in the coming years? I expect that artificial intelligence algorithms will enter dentistry in a more visible way and be able to help us a lot and improve our work. However, I certainly would not want new technologies and artificial intelligence to disturb our professional thinking and the basics of dentistry. I would like us to plan our treatment and care based on all our knowledge that we have acquired during our professional education and years of work.

Tags:
To post a reply please login or register
advertisement
advertisement