Micro-layering with CERABIEN MiLai supports the fabrication of highly aesthetic and well-integrated implant restorations. (All images: Kuraray Noritake Dental)
IOANNINA, Greece: Numerous finishing techniques are available for zirconia-based screw-retained implant-supported prostheses; however, most of them are quite complex and time-consuming. One streamlined approach that brings efficiency into the finishing procedure, without compromising aesthetics and function, is micro-layering with CERABIEN MiLai (Kuraray Noritake Dental) on a zirconia superstructure with just a slight vestibular cutback. The technical procedure demonstrated in the following case example was performed by master dental technician Andreas Chatzimpatzakis for a patient treated by prosthodontist Dr Georgios Siavikis.
Fig. 1: Occlusal view of an implant-supported overdenture made of KATANA Zirconia HTML PLUS (Kuraray Noritake Dental) for a male patient with an edentulous maxilla and a removable partial denture in the mandible.
Fig. 2: Frontal view of the milled and sintered screw-retained implant-supported prosthesis.
Fig. 3: After application of CERABIEN MiLai SS Fluoro and internal stains to enhance the natural shading of the restoration in the dental and gingival areas.
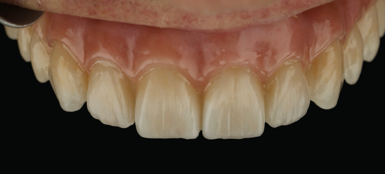
Fig. 4: Result of micro-layering with CERABIEN MiLai porcelains, LT1 for the cervical areas, as well as E2 and Tx for the middle and incisal regions, for a seamless translucency gradient, and Tissue 1, 5 and 6 for blending harmoniously with the patient’s surrounding gingivae.
Fig. 5: Restoration after finishing.
Figs. 6a & b: Lifelike colour, translucency and surface texture of the gingival and dental areas.
Figs. 6a & b: Lifelike colour, translucency and surface texture of the gingival and dental areas.
Fig. 7: Intra-oral view.
CERABIEN MiLai SS Fluoro.
In this case, the use of an aesthetic, high-strength multilayered zirconia enabled a streamlined finishing technique. Micro-layering with CERABIEN MiLai was effective, the product providing consistent material properties and precise control over layering and shading, thus supporting the fabrication of highly aesthetic and well-integrated implant restorations.
HATTERSHEIM AM MAIN, Germany: Contrary to the uniformity suggested by the name, ceramic primers vary widely in composition and efficacy. Most common primers...
TOKYO, Japan: Efficiency and reliability are key requirements of products used in the modern dental practice. CLEARFIL Universal Bond Quick 2 (Kuraray ...
Implant dentist and key opinion leader Dr Marco Tudts is one of the leading minds behind the development of edelweiss dentistry’s Ceramir CAD/CAM block. ...
HILDEN, Germany: By providing a natural colour gradient and high translucency, the modern multilayered zirconia KATANA Zirconia STML (Kuraray Noritake ...
In March last year, Dr Ahmad al-Hassiny, director of the Institute of Digital Dentistry, noted that over 90% of US dental laboratories and nearly 50% of ...
The advancements in zirconia in contemporary dentistry allow for a wider range of applications, including in the anterior region, and for chairside ...
Prior to marketing the CLEARFIL MAJESTY ES Flow series, Kuraray Noritake Dental had to prove that the material meets the standards of ISO 4049:2019 for ...
Digital technologies for computer-aided imaging, planning, design and manufacturing are valuable tools that support dental technicians in their daily work. ...
TOKYO, Japan: Every dental practitioner aims for smooth and efficient procedures that deliver optimal patient experiences and treatment outcomes. Kuraray ...
In my experience, the cementation of glass-ceramic veneers is one of the most technique-sensitive procedures in restorative dentistry, owing to the minimal ...
To post a reply please login or register