Glazing and staining
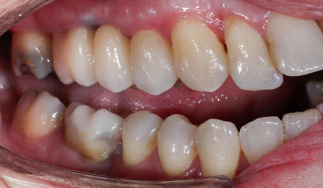
It is generally advisable to ascertain the patient’s tooth shade prior to preparation using a photograph and a custom-made colour sample of the corresponding material (Fig. 4). This can serve as a reference during production, especially in the laboratory, where lighting conditions may differ.

Fig. 3: TWIST DIA for Zirconia (Kuraray Noritake Dental) for efficient polishing in three steps.
First, the restoration is glazed with Glaze or Clear Glaze of the paste-like ceramic stain CERABIEN ZR FC Paste Stain (Kuraray Noritake Dental; Fig. 5). Shades A+, B+, C+ and D+ enhance the chroma in the cervical area when applied in the respective tooth shade. They are used to strengthen the multicolour effect of the zirconia or to darken the overall restoration. The intensity can be adjusted by mixing the stains with Glaze or Clear Glaze in different ratios. In thick consistency, Glaze can also be used to rebuild missing proximal contacts easily. Cervical 1 and 2 are suitable for replicating exposed cervical areas or discoloration. Cervical 1 is also useful for marking fissures, giving the crown depth and structure without appearing overly dark (Fig. 6). Patients typically reject excessively pronounced fissure effects. Since fissure areas in multilayered materials generally lie in the lightest part of the block (in the enamel layer), darkening them slightly with Shade A+ may be the best approach, and highly mineralised areas can be replicated on the cusp tips with White. A narrow band of Grayish Blue below the cusp tips creates an optical translucency effect. In cases where this translucency appears too dark blue or greyish, mixing Grayish Blue with Dark Gray can modify the appearance.
Numerous tones can be created by mixing various colours. For instance, the slightly brownish colour of Shade A+ can be adjusted to a warmer, more yellowish tooth shade by adding Yellow (Figs. 7–12). A benefit of CERABIEN ZR FC Paste Stain is that its appearance during application closely matches the final result after firing.
For pronounced characterisations or fine details, it may be necessary to carry out multiple firings to avoid unwanted running effects between the colours and the glaze. This is particularly recommended when replicating anatomical details with high sharpness, such as enamel cracks or local discoloration. To do so, a glaze and base shade are first applied and fired, and finer structures are added in a second firing. Alternatively, a fixative firing of the stains without glaze can be performed first, and a glaze-only layer can be fired in the second step.
Glazing and staining steps at a glance:
- Glaze with Glaze or Clear Glaze.
- Increase the chroma (in the cervical area or over large areas) with Shades A+, B+, C+ or D+.
– Adjust intensity by mixing with Glaze or Clear Glaze.
– Create a warmer tone by mixing with Yellow.
- Replicate discoloration or exposed cervical areas with Cervical 1 and 2.
- Customise fissure areas:
– Darken with Shades A+, B+, C+ or D+.
– Accentuate fissures with Cervical 1.
- Customise cusp tips:
– Replicate highly mineralised areas with White.
– Create a band below with Grayish Blue for a translucency effect.
– Adjust the translucency effect below cusp tips by mixing with Dark Gray.
- Carry out multiple firings:
– First fire the glaze and base shade and then add finer structures for the second firing.
– First fire the stains without glaze and then add the glaze for the second firing.
To post a reply please login or register