Search Dental Tribune

Same-day dentistry: Replacement of two PFM crowns with zirconia restorations

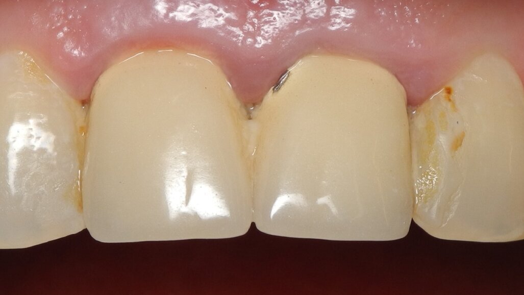
Fig. 1: Initial clinical situation. (Images: Kuraray Noritake Dental)

Mon. 13. January 2025

save

The advancements in zirconia in contemporary dentistry allow for a wider range of applications, including in the anterior region, and for chairside production using dedicated CAD/CAM systems. Even without a cutback, KATANA Zirconia Block (STML), combined with CERABIEN ZR FC Paste Stain (both Kuraray Noritake Dental), offers an extremely satisfactory aesthetic solution.

In the present patient case, the materials were chosen to replace old porcelain-fused-to-metal (PFM) crowns on the maxillary central incisors. The planned treatment was in accordance with the patient’s wishes and carried out in a single appointment.

Case presentation

The patient asked for a replacement of the existing crowns on the two maxillary central incisors. The PFM restorations had been in place for about 30 years (Fig. 1). She desired aesthetic improvements and slight repositioning of these two teeth.

Fig. 2: Situation after removal of the existing restorations.

Fig. 2: Situation after removal of the existing restorations.

Fig. 3: Shade determination using a shade tab. A2 was the appropriate shade.

Fig. 3: Shade determination using a shade tab. A2 was the appropriate shade.

Treatment plan

In agreement with the patient, it was decided to perform the entire procedure in one appointment: removal of the existing crowns, digital impressions, production and bonding of the new restorations. The periodontium was healthy, and there was no bleeding. The only uncertainty was whether the existing crowns had been cemented on to inlay cores or whether they were Richmond crowns. A preliminary silicone impression was taken as a precautionary measure. In case something unexpected prevented the new crowns from being bonded during the session, it would then be possible to produce temporary crowns easily.

Treatment

Using a diamond bur, followed by a tungsten carbide bur, the existing crowns were removed, revealing that they were indeed Richmond crowns. Because the anatomy of the intra-radicular posts clearly indicated an attempt to remove these posts, it was decided to trim the crowns to transform them into inlay cores rather than risk further damage. The corono-peripheral preparations were reworked at the same time. One of the major challenges was related to the necessity of masking the metal of the transformed coronal-radicular reconstructions. Luckily, the space available was sufficient to accommodate complete zirconia crowns of a significant thickness (Fig. 2). The target shade of the crowns was chosen in consultation with the patient (Fig. 3).

Subsequently, impressions were taken using an intra-oral scanner, the virtual models were checked and the crowns designed, considering the patient’s request to have her two incisors slightly retracted (Figs. 4 & 5). The two crowns were milled from KATANA Zirconia Block 14Z in Shade A2 (Fig. 6). A quick reminder: unlike lithium disilicate, zirconia prosthetic parts cannot be tried in immediately after milling, as they are around 20% larger than their final size after sintering. Final sintering was performed within about 18 minutes in the SINTRA CS furnace (Shenpaz Dental). After this process, the crowns may be tried in to check their fit, shape, shade and optical integration.

Fig. 4: Virtual models of the patient’s teeth with the newly designed crowns, revealing the space available for a slight retraction.

Fig. 4: Virtual models of the patient’s teeth with the newly designed crowns, revealing the space available for a slight retraction.

Fig. 5: Designing of the two crowns.

Fig. 5: Designing of the two crowns.

Fig. 6: Milled crowns in the CAD/CAM blocks.

Fig. 6: Milled crowns in the CAD/CAM blocks.

Fig. 7: Crowns in the furnace after staining and glazing with liquid ceramics.

Fig. 7: Crowns in the furnace after staining and glazing with liquid ceramics.

Fig. 8: Selected cementation and try-in system.

Fig. 8: Selected cementation and try-in system.

For finishing of the restorations, various options are available. In this case, we decided not to limit ourselves to mechanical polishing of the prosthetic parts, as zirconia does not fluoresce like natural teeth do. To add fluorescence as an optical feature, the surface was lightly stained and glazed with CERABIEN ZR FC Paste Stain (Fig. 7).

After firing, the two crowns were tried in again using a try-in paste corresponding to the chosen resin cement system (PANAVIA V5, Kuraray Noritake Dental). In this way, the final appearance was simulated to validate the shade of the cement. The intaglio surfaces of the crowns were then sandblasted before applying CLEARFIL CERAMIC PRIMER PLUS (Kuraray Noritake Dental) as the restoration primer. The prepared teeth were treated with KATANA Cleaner to decontaminate the surface of proteins in saliva and possibly blood, yielding clean surfaces ideal for bonding.

After thorough rinsing and drying, PANAVIA V5 Tooth Primer (containing MDP monomer for bonding with the hydroxyapatite and metal of the preparation) was applied according to the manufacturer’s instructions (Fig. 8). Subsequently, PANAVIA V5 Paste was applied into the first crown, which was then seated, followed by brief light polymerisation, excess removal and final light polymerisation from all sides. The procedure was then repeated for the second maxillary central incisor. The result instantly satisfied the patient, both in terms of aesthetics (adaptation, position of the new crowns, mimicry) and the comfort provided (Figs. 9 & 10).

Fig. 9: Crowns immediately after placement.

Fig. 9: Crowns immediately after placement.

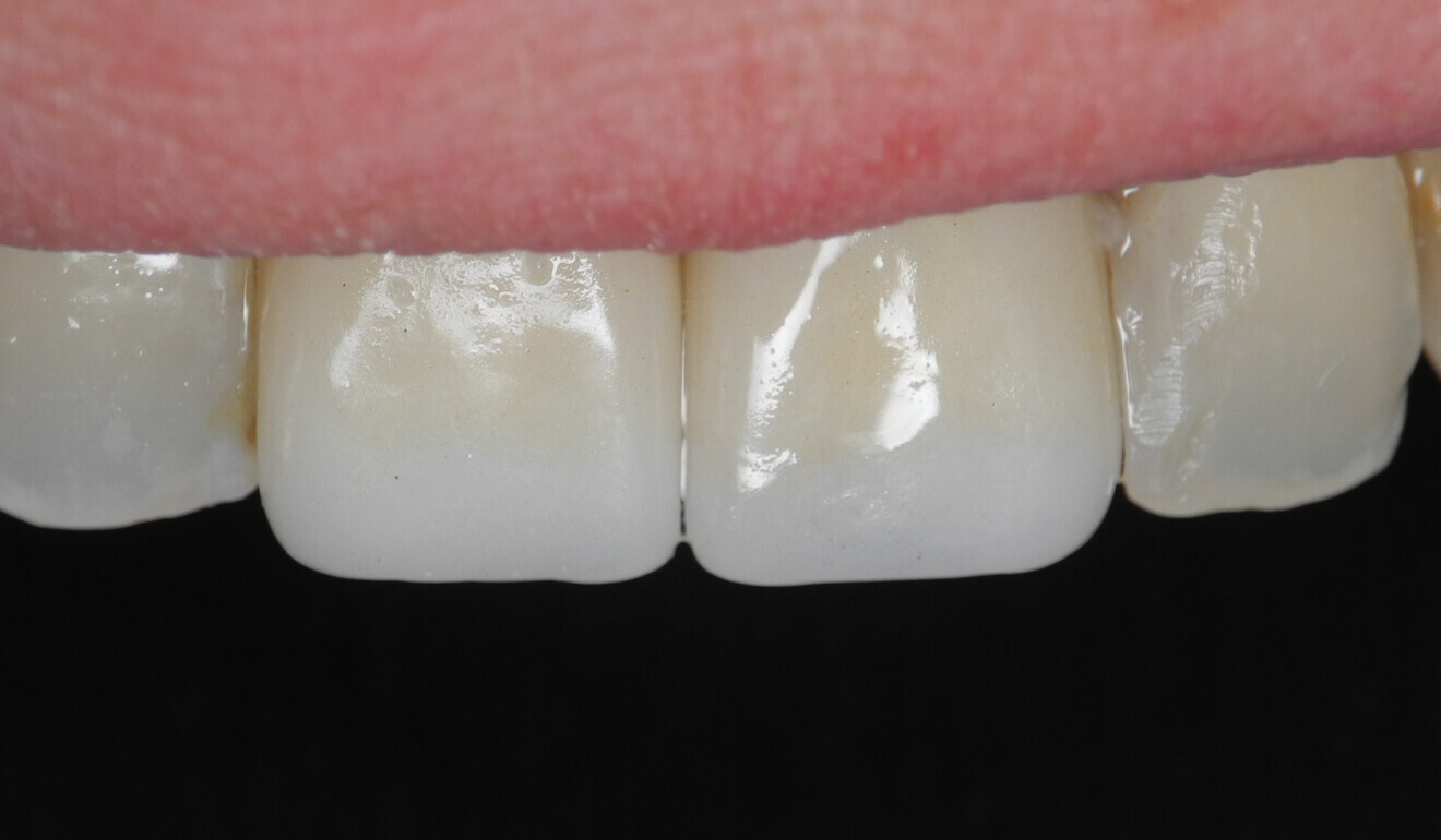
Fig. 10: Aesthetically pleasing result.

Fig. 10: Aesthetically pleasing result.

Fig. 11: Patient’s smile at a recall after four months. (Image: Emmanuel Charleux)

Fig. 11: Patient’s smile at a recall after four months. (Image: Emmanuel Charleux)

At a recall after four months, the soft-tissue conditions were ideal, and the patient was happy with the outcome (Figs. 11–13). The selected zirconia had good optical properties, masking of the metal posts was successful and the natural surface texture contributed to an aesthetic overall picture. The retracted position of the teeth was also perceived positively by the patient, and the comfort and function were excellent.

Fig. 12: Great optical integration. (Image: Emmanuel Charleux)

Fig. 12: Great optical integration. (Image: Emmanuel Charleux)

Fig. 13: Natural surface texture contributing to the successful outcome. (Image: Emmanuel Charleux)

Fig. 13: Natural surface texture contributing to the successful outcome. (Image: Emmanuel Charleux)

Discussion

Although lithium disilicate has so far been considered the material of choice for prosthetic work in the anterior region, zirconia is nowadays proving to be an extremely satisfactory alternative from every point of view: milling, strength, aesthetics, assembly—among other things, no hydrofluoric acid is required for bonding.

Editorial note:

This article was published in CAD/CAM—international magazine of dental laboratories Vol. 15, Issue 2/2024.

Topics:
Tags:
To post a reply please login or register
advertisement
advertisement