Search Dental Tribune

Dental News

Interview: Engaging with local community through dental social media marketing

In today’s digital world, businesses need to have a strong online presence in order to facilitate communication with customers and boost practice growth. ...

save

IDEM 2020 online edition starts today

SINGAPORE: For the first time, and only for this edition of the event, the International Dental Exhibition and Meeting (IDEM) will be conducted fully ...

save

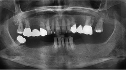
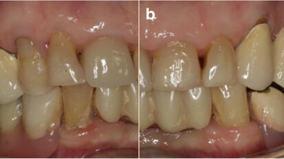
How CAD/CAM affects immediate loading in implant dentistry

A graduate of Paris Descartes University (now the University of Paris), Dr Léon Pariente currently runs a private practice in the French capital that ...

save

With new safety measures in place, Dentsply Sirona World 2020 is a go for Las Vegas in October

CHARLOTTE, N.C., USA: Dentsply Sirona World 2020 will take place Oct. 1–3 at the all-new Caesars Forum in Las Vegas, Dentsply Sirona announced in a press ...

save

Antibody testing for SARS-CoV-2: “We need to talk more about it”

LONDON, UK: Despite dental settings presenting a significantly elevated risk of infection for those in and beside the chair, testing patients for the ...

save

How to achieve aesthetic results with a completely digital workflow

In addition to many other specialties, the field of prosthodontics will be addressed in 3Shape’s upcoming 24-hour webinar marathon. Dr Jonathan Ng, who ...

save
advertisement

3Shape appoints Jakob Just-Bomholt as CEO

COPENHAGEN, Denmark: 3Shape has announced that its board of directors has appointed Jakob Just-Bomholt as CEO, effective from 1 August 2020. The company’s...

save

Chinese pickles could help prevent dental caries

CHENGDU, China: An increasing number of probiotic solutions are being found to be effective in the treatment of dental caries. In a recent study, ...

save

Webinar to discuss new hygiene protocols in dentistry

Many are calling it the post-pandemic era—the time in which we will simply have to live with the SARS-CoV-2 virus as part of our daily personal and ...

save

Interview: “Minimally invasive dentistry is the better dentistry”

On 20 June, GC Europe will be holding its first international congress on minimum intervention (MI) dentistry. As an introduction, German-based dentist Dr ...

save

Oral hygiene survey: Breaking down consumer perceptions and behaviours in the UAE and KSA markets

Interview with Markus Sebastian, SVP and MD of Align Technology EMEA

save
advertisement

Who has the healthiest teeth in Europe?

BERLIN, Germany: A study of European countries has found that people in Italy, Germany and Spain have the best dental health in Europe. The three countries ...

save

Management of iatrogenic pulpal floor perforation in a mandibular molar with MTA and PRF

This was a challenging case with the combined issues of a failed root canal therapy and an iatrogenic perforation of the floor of the pulp chamber. Though ...

save

Four questions on current trends in direct posterior and anterior restorations

Dr Alexandra Papanikolaou owns a private dental clinic in Athens in Greece, focused mainly on restorative and aesthetic dentistry. In an upcoming webinar, ...

save
advertisement

Pioneers at heart: 3Shape aims to become go-to resource for digital dental learning

Digitalisation is one of the most important trends that have reshaped dentistry in recent years. Copenhagen-based dental company 3Shape has been one of the ...

save

Dental community mourns death of George Floyd

CHICAGO, U.S.: The recent news about the death of George Floyd has sent shock waves throughout the world and has touched people of different ages, races and...

save

Research discovery could help create stronger, more durable dental fillings

EDMONTON, Alberta, Canada/LONDON, U.K.: Given that more than 2.3 billion people are estimated to suffer from dental caries, any potential advances in dental...

save

FDI to provide continuing education with own Oral Health Campus

GENEVA, Switzerland: For FDI World Dental Federation (FDI), knowledge transfer is central to its array of activities aimed at promoting the oral health and ...

save
advertisement

Interview: “Owing to SARS-CoV-2 concerns, an in-house workflow has become the centre of interest”

Dr Andreas Kurbad, who runs a private practice in Viersen in Germany, has lectured widely on the topic of computerised dentistry. For 3Shape’s upcoming ...

save

SARS-CoV-2: Aerosols in dentistry

NYON, Switzerland: In a recent blog post, Swiss company EMS Electro Medical Systems spoke about the great challenges the SARS-CoV-2 pandemic has posed for ...

save
advertisement

Importance of vitamin D in dentistry: Could it play a role in resistance to infectious diseases?

Vitamin D is a steroid hormone that is obtained through diet or synthesised in the skin from cholesterol when the skin receives adequate sun exposure (the ...

save

Straumann Campus broadcasts three online webinars on current implant treatments

In the weeks to come, dental implant manufacturer Straumann will continue to provide dental professionals with free online education opportunities to ...

save

FDI offers COVID-19 guidance to dental professionals

GENEVA, Switzerland: The SARS-CoV-2 outbreak is causing significant disruption to dental practice worldwide. Oral health professionals, dental associations ...

save

KATANA Zirconia: The complete restorative solution

When it was first introduced to restorative dentistry in the early 2000s, zirconia was an opaque, unnatural-looking substance with a chalk-like whiteness. ...

save
advertisement

Henry Schein Dental launches air sterilisers

GILLINGHAM, UK: Henry Schein Dental UK has recently announced that it has entered into an agreement with Radic8 to distribute an air sterilisation system ...

save

Dentists from Scotland share experience of emergency lockdown treatment

FORT WILLIAM, UK: Owing to strict government restrictions for controlling the spread of SARS-CoV-2, dental practices in Scotland were instructed to limit ...

save
advertisement