Crakow-based dental hygienist Jagoda Weihönig has been using the BOB-App to motivate patients towards brushing interdentally daily. The app is effective in instilling new habits in patients, and is a way for the practice to document dental hygiene. (Image: Jagoda Weihönig)
Although most oral diseases originate interdentally, the majority of patients stick to cleaning the tooth surfaces only. Jagoda Weihönig, a dental hygienist and iTOP lecturer based in Cracow in Poland, has been using the BOB-App to motivate patients to brush interdentally daily and to come back for regular recalls. With a mouth map and a simple inflammation score for each patient, the BOB-App helps practices to document the oral health of their patients easily and motivates patients to improve their scores with each visit.
Engaging patients in their own health
Jagoda Weihönig is a certiified dental hygienst from Poland. She is an expert in preventive care of periodontal patients.. (Image: Jagoda Weihönig)
“When I was first introduced to the BOB-App, I simply loved that it was designed with the patient in mind,” Weihönig said. “As most dental hygienists know from experience, it can be challenging to try to persuade patients to brush interdentally. As soon as patients get home from an appointment, they tend to forget any concrete brushing instructions or simply forget about their problems in the first place. Dental professionals, in turn, cannot keep track of the development of each patient’s oral health. The BOB-App does a great job of showing patients how healthy their mouth is and shows them precisely which interdental brush to use where. Also, it enables dental professionals to document and follow up their patients’ gingival health in the long term.
BOB stands for bleeding on interdental brushing, which is the app’s main parameter for monitoring patients’ oral health. While examining the patient’s interdental spaces, dental professionals can input the spaces that bleed on interdental brushing into a simple mouth map as well as the correct size of interdental brush for each space. The easiest way to do so is by using the IAP probe. When the probe is inserted into each interdental space, it shows the colour of the corresponding interdental brush necessary for that interdental space. The final result is a simple mouth map showing the patient which interdental spaces are inflamed, which brush to use for each space at home and a BOB-Score indicating his or her overall level of oral inflammation. This information can be sent via email to the patient or printed out for the patient to take home.
The main parameter: interdental inflammation
The BOB-App’s central idea is a simple mouth map. Thanks to the mouth map, which can be sent to patients via email, patients know exactly which interdental spaces are inflamed as well as the correct size of interdental brush necessary for each interdental space. (Image: Curaden)
It is no coincidence that the app focuses on interdental health. “Interdental spaces are especially difficult to clean, so it is here that oral disease is most likely to emerge. In order to prevent biofilm accumulation and inflammation, it is important that the interdental spaces are cleaned correctly daily, which means using the correct diameter of interdental brush,” Weihönig said.
“Thanks to the BOB-App, patients know exactly how to brush interdentally at home and are motivated to lower their inflammation score with each recall. The application prevents oral disease from progressing beyond the stage of gingivitis at any given point.”
“Moreover, the app finally gives dental hygienists an easy way to follow up patients’ daily interdental brushing habits through the so-called BOB-Score: a BOB-Score below 10% means the patient is within normal limits and cleans interdentally daily. With a sufficiently low score, implant, orthodontic or periodontal treatment complications are very unlikely. Clinics and practices using the app are at an advantage because their patients become more conscious of their oral health and more eager to improve it. The BOB-Score makes patients aware of the current status of their oral health and encourages them to maintain or improve their results.”
More recalls, more time
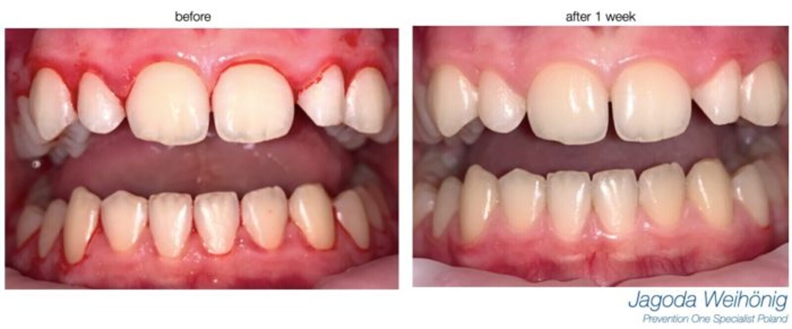
Off to a good start: after only a week of daily interdental brushing, this patient’s BOB-Score went down from 100% to 69%. A score below 10% indicates a healthy level of gingival health. (Image: Jagoda Weihönig)
“The BOB-App generates more recalls because it changes the nature of the appointment,” Weihönig explained. “The focus of the practice shifts from patients going for a yearly cleaning to full hygiene instruction, exercises and checking interdental spaces. Dental hygiene becomes more than operating ultrasonic machines and, instead, turns dental hygienists into oral health coaches. Thanks to the increased number of recalls, we can dedicate more time to each patient’s oral health situation.”
“I recommend the application to every dental practice,” Weihönig concludes. “Thanks to the BOB-Score, patients realise the meaning of dental hygiene visits, and practices have a proof of patient’s daily oral care, and these scores protect us from possible claims. Most patients are surprised and concerned when they score high on inflammation. I often get the feedback that no one has examined them in such detail before, let alone provided such clear instruction on exactly where and how to clean the spaces. Thanks to the BOB-App, patients feel that they are being cared for and appreciate that dental professionals are concerned with their health. This sets a dental practice apart, and it builds and strengthens our image as specialists. In the end, a healthy patient is a satisfied patient.”
The BOB-App in three steps:
During the appointment, determine the correct interdental brush for every interdental space. The IAP probe is a great tool for this.
In the app, enter the correct brush and interdental bleeding sites into the mouth map. The mouth map is automatically mailed to the patient or can be printed out.
Thanks to the mouth map, patients can see where their inflammation is and which brush to use at home for each interdental space. Schedule a recall for follow-up.
Professionals who wish to try the app in their practice or clinic can sign up here.
Ensuring patients maintain good treatment results and practise good oral hygiene at home is easier said than done. Changing such habits for the better is a ...
KRIENS, Switzerland: SARS-CoV-2 has been detected in the saliva of 91.7% of people infected with the virus. This means that dental professionals are ...
With an estimated 50 per cent of the European population suffering from some form of periodontal disease, and a big majority suffering or having suffered ...
KRIENS, Switzerland: Two major forces in dental care and training are coming together to deliver a strong impact worldwide. Curaden, a global leader in oral...
KRIENS, Switzerland: Effectively cleaning around lingual orthodontic appliances, fixed prostheses or dental implants can be a hassle, but the CS 708 ...
Swiss oral health company CURADEN has launched CURAPROX Perio Plus at IDS 2019. This pioneering antiseptic range is chlorhexidine, but not as you know ...
AMSTERDAM, Netherlands: November is diabetes awareness month at Curaden Academy. Diabetes mellitus is the third most common chronic disease in children and ...
Interdental spaces, crowded teeth or the brackets of fixed orthodontic appliances are the most likely places to accumulate plaque. Efficient biofilm removal...
KRIENS, Switzerland: For decades, dentistry has largely centred on intervention-based care—responding to disease rather than preventing it. However, a ...
KRIENS, Switzerland: Ueli Breitschmid, founder and long-time CEO of Swiss oral health company Curaden, died during the night of 1 June after a long ...
KRIENS, Switzerland: A brush that cleans where others do not? An expert in prophylaxis and periodontics, Dr Ulrich P. Saxer is the co-designer of a brush ...
To post a reply please login or register