Search Dental Tribune

Provisional restoration. (All images: Les Kalman)

Fri. 30. December 2022

save

Over the last decade, the impact of technology on dentistry has increased significantly.1 This impact has been well documented in the field of prosthodontics, where the use of digital impressions and digital design for indirect restoration has had substantial improvements.2,3 Although the technology used in this field has evolved, the workflow has not changed significantly.

The workflow typically consists of tooth preparation, digitisation, digital design and restoration fabrication.3 The workflow can prove to be challenging in terms of time, cost and complexity, limiting both its application and availability.4 This preliminary in vitro investigation explored the use of additive manufacturing for the fabrication of cobalt–chromium onlays without the use of digital design.

Material and methods

Three extracted and undamaged human molars were selected at random. A handheld tool was used to support each molar. To impress each tooth, a sectional tray (TempTray, Clinician’s Choice Dental Products) and provisional material (Template, Clinician’s Choice Dental Products) were used. Preparation of the teeth was performed for a four-surface onlay, either mesial-occlusaldistal-lingual or mesial-occlusal-distal-buccal (Fig. 1). The provisional matrix was loaded with a bis-acrylic composite resin (Integrity, Dentsply Sirona) and was placed on the prepared tooth. A standard four-surface provisional restoration was fabricated, shaped and polished (Fig. 2).

The provisional restorations were fixed with a Pic-n-Stic (PULPDENT) and sprayed with titanium dioxide (3M ESPE). The restorations were digitised (True Definition, 3M ESPE) and STL files of the restorations were created (Figs. 3 & 4). The STL files were digitally sent to ADEISS. The files were then imported into Fusion 360 software (Autodesk) and printed in cobalt–chromium (Figs. 5 & 6) with an AM 400 laser melting system (Renishaw). The printer used selective laser melting technology, melting and fusing layers of metallic powder (average diameter: 30–50 μm) using a 400 W laser. All restorations underwent the usual post-processing, except for surface polishing.

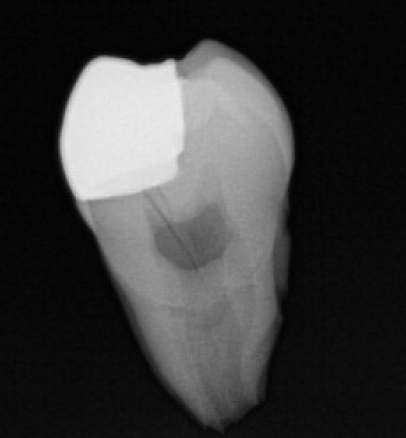
Each onlay was bonded to the prepared tooth using resin cement (GC) according to the manufacturer’s protocol.5 The restorations were polished with high-speed diamond burs and slow-speed finishing discs. Post-cementation photographs (Figs. 7 & 8) and radiographs (Figs. 9 & 10) were taken.

Fig. 7: Cemented onlay.

Fig. 7: Cemented onlay.

Fig. 8: Cemented onlay.

Fig. 8: Cemented onlay.

Fig. 9: Radiograph of cemented onlay.

Fig. 9: Radiograph of cemented onlay.

Fig. 10: Radiograph of cemented onlay.

Fig. 10: Radiograph of cemented onlay.

Results

The digital scanner provided an STL file of appropriate resolution for metal additive manufacturing or 3D printing. The indirect onlays were successfully printed in cobalt–chromium with the morphology, dimensions and fit that were clinically acceptable for cementation. Cementation was completed without issue and with suitable retention, similar to previous investigations.6 The marginal adaptation was generally acceptable, except for one area, owing to an open margin. The surface finish was generally acceptable, but could be improved in some places, especially on the occlusal surface.

Discussion

This preliminary investigation suggests that the work- flow for additively manufacturing cobalt–chromium onlays exclusive of digital design is possible. For predictability, the scanner and printer are required to have a sufficient resolution. The print quality of the definitive restoration is dependent upon the quality of the provisional restoration; therefore, a highly morphologically accurate, ideally adapted and polished provisional restoration is necessary, as polishing of cobalt–chromium is challenging. The tooth preparation seemed appropriate for the material.

A novel workflow (Fig. 11) has been proposed that provides a simple, efficient and inexpensive alternative to the traditional workflow. The new workflow circumvents the need for digital design, which would greatly reduce the time and cost, compared with the traditional workflow. The approach may also provide a more sustainable treatment option.

This study investigated cobalt–chromium indirect restorations, but other metal powders currently used in additive manufacturing, including stainless steel and titanium, could be employed.7 In addition, the novel workflow could be applied to non-metal, aesthetic materials such as zirconia and lithium disilicate. The use of zirconia was also explored in this investigation with a single unit, using the same workflow, and achieved similar results but with milling rather than additive manufacturing (Figs. 12 & 13).

This study had a small sample size and limited assessment, as the restorations were placed on stand-alone extracted teeth and only assessed through photographs, radiographs and a clinical post-cementation checklist. Further studies are required with larger sample sizes, adjacent teeth, antagonists, other materials, physical testing and clinical evaluation.

Fig. 11: Novel workow proposal.

Fig. 11: Novel workow proposal.

Fig. 12: Zirconia onlay.

Fig. 12: Zirconia onlay.

Fig. 13: Zirconia onlay.

Fig. 13: Zirconia onlay.

Conclusion

Digital dentistry will continue to evolve and expand while impacting clinical practice. The novel workflow presented for fabricating cobalt–chromium indirect restorations using additive manufacturing without the use of digital design provides an unconventional alternative. Its simplicity, efficiency and cost-saving seem to indicate that it offers a predictable and successful technique for creating indirect restorations, offering hopes of improved accessibility and sustainability.

Acknowledgements

The author acknowledges the work of Dr Vishal Patel for the onlay preparations on the extracted teeth, Ashwin Baskaran and Megan Checora for their assistance with the polishing and Lyndsay Desimone for assistance with the manuscript. Special thanks go to ADEISS for the metal 3D printing and Alien Milling Technologies for the zirconia restoration.

Funding

Funding for the research was provided by the Schulich School of Medicine and Dentistry of the Western University in London in Ontario in Canada (internal research grant).

Editorial note:

This article was published in 3D printing—international magazine of dental printing technology vol. 2, issue 1/2022. The list of references can be accessed here.

Tags:
To post a reply please login or register
advertisement
advertisement