Periapical implant lesions may be a cause of early failure of implants. The purpose of this article is to describe the surgical treatment of the periapical implant lesion and its intraoperative approach.
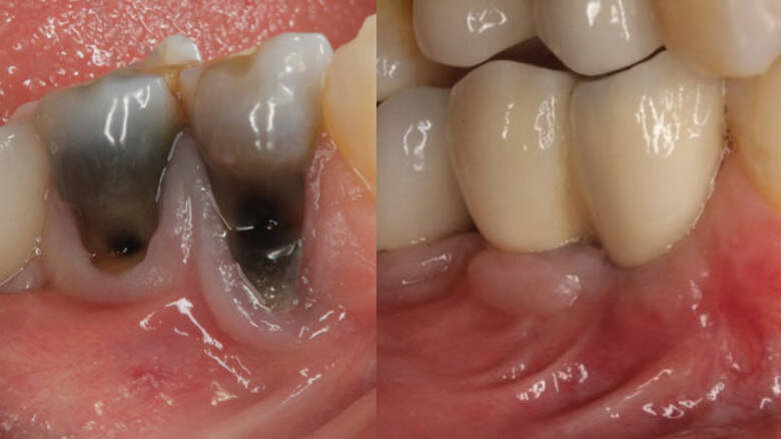
Case presentations: Three patients with periapical implant lesions (2 in the maxilla and 1 in the mandible) after implant placement are described. All three patients reported inflammation and pain. Periapical and panoramic radiographic examination showed periapical radiolucency around the three implants. The diagnosis was acute suppurative stage in all three cases. After surgical treatment, all of the implants survived. Clinical and radiographic controls showed signs of health with a follow-up of three, six and four years, respectively.
Conclusion: In the patients studied, pain in the area after implant placement suggested a periapical implant lesion. The surgical approach used to remove the granulation tissue showed good results. Up to 6-year clinical and radiographic controls, all three cases showed complete healing of soft and hard tissue. Diagnosis and early treatment are crucial to ensure a correct osseointegration process and avoid implant failure.
Editorial note: The full article was published in the 3/2018 issue of the Journal of Oral Science and Rehabilitation. It can be accessed free of charge at www.dtscience.com.
Interview with Dr. Juan Antonio Blaya Tárraga
Dr. Blaya Tárraga, why did you conduct the research reported on in this paper?
We conducted this research because there are few articles that describe a surgical approach to treating the periapical implant lesion.
For what reasons could others cite your paper?
The etiology of the periapical implant lesion is multifactorial as described in the literature. In this article, three surgical approaches with different etiologies are described.
How could your study’s findings have an impact on dentistry?
The impact on dentistry of this article may be an increase in knowledge about this lesion and its surgical management. Clinical recommendations could be: monitor the implants since their placement, diagnose the lesion in time and establish a treatment protocol.
What is the relevance of your study’s findings to the daily practice of a dentist?
The relevance of this study in the daily practice is the improvement of the early diagnosis of periapical implant lesions and increased survival of the implants treated.
What are your recommendations for further investigation of the topic of your article?
Studies that provide a greater sample with a randomized controlled design are necessary. Some variables may be interesting to study: the nature of the adjacent and extracted teeth, the time of implant placement, the time from diagnosis to surgical treatment and the different surgical approaches (guided bone regeneration, resection of the implant, irrigation agents, antibiotics, etc.).
Tags:
Most periapical lesions occur as direct sequelae of chronic apical periodontitis, usually after pulpal necrosis of a tooth. The affected tooth is ...
Successful full mouth fixed rehabilitation of a mutilated dentition is always a prosthodontic and surgical challenge. Accurate diagnosis, proper treatment ...
Dental fluorosis is an enamel anomaly that adversely affects inorganic phase deposition and organisation, causing enamel hypomineralisation.1 Despite the ...
Taking into consideration the active lifestyle of most of our working patients with maxillary odontogenic radicular cysts, such patients require more ...
Up to now, the gold standard of obturation has been the continuous wave compaction technique.1,2 However, this technique is difficult to perform and needs ...
NEW YORK, U.S.: The importance of soft tissue in implant dentistry is often underestimated. In an upcoming free Dental Tribune Study Club webinar on Friday,...
The aim of this article is to present a case of single-tooth prosthetic restoration in the aesthetic zone step by step. The patient was referred to our ...
Dental implants have become one of the most predictable treatment alternatives for patients who are missing teeth. Despite the high success rates, which are...
Internal root resorption (IRR) is the loss of dental hard tissue due to odontoclastic activity. In most cases, it is asymptomatic, and the aetiology is ...
Traditionally, the practice of dentistry has been a reparative model. We have waited for disease to express itself, and then repaired it. What if we could ...
Live webinar
Tue. 12 May 2026
1:00 pm EST (New York)
Live webinar
Thu. 14 May 2026
12:00 pm EST (New York)
Live webinar
Thu. 14 May 2026
2:00 pm EST (New York)
Prof. Hani Ounsi DDS PhD FICD
Live webinar
Tue. 19 May 2026
11:00 am EST (New York)
Live webinar
Tue. 19 May 2026
1:00 pm EST (New York)
Prof. Dr. med. dent. Ivo Krejci
Live webinar
Wed. 20 May 2026
7:00 am EST (New York)
Dr. Graham Carmichael BDSc (Hons), DClinDent (Pros), FRACDS, Dr. Robert Gottlander DDS
Live webinar
Wed. 20 May 2026
9:00 am EST (New York)