The aim of this article is to present a case of single-tooth prosthetic restoration in the aesthetic zone step by step. The patient was referred to our clinic with a fractured root of tooth #11 (Fig. 1). The cone beam computed tomography (CBCT) analysis confirmed the fracture and revealed external resorption of the root from the vestibular side (Fig. 2). The tooth had to be extracted, and it was decided to follow immediate implant placement with a temporary aesthetic implant restoration. The immediate implant placement was planned with short-term non-occlusal loading.
With the use of the CEREC Omnicam scanner (Dentsply Sirona), scans were taken of both the maxillary and the mandibular full arches along with a buccal scan (Fig. 3). The scans, together with the DICOM files, were uploaded to the Simplant software (Dentsply Sirona; Figs. 4 & 5).
The optimal position was planned for an Ankylos C/X B 14 implant (Dentsply Sirona) in line with the 3A–2B rule.1 Using the Simplant software, a Simplant Guide, along with a patient-specific Atlantis CustomBase Solution (with a titanium nitride abutment surface; Dentsply Sirona) and digital files, were ordered using Atlantis Core File (Dentsply Sirona).
Fig. 1: Situation before treatment, which led to the decision to extract tooth #11.
Fig. 2: CBCT scan: the root of the tooth was visibly fractured, and there was clear external resorption of the root from the vestibular side.
Fig. 3: Buccal scan: information on the positioning of the maxilla relative to the mandible. This is absolutely necessary for designing a crown.
Fig. 4: Designing the guide in the Simplant software based on the planned implant position.
Fig. 5: Overlaying the CBCT and CEREC intra-oral scans, as well
as the planned implant position, in the Simplant software.
Fig. 6: Planning the shape and size of the future CAD/CAM full ceramic crown in cut-back technique in the inLab software (Dentsply Sirona) based on the Atlantis Core File received.
Fig. 7: Full ceramic crown milled in the CEREC CAD/CAM system before sintering. As can be seen in the image, the Atlantis abutment and
the crown would fit perfectly together.
Fig. 8: The completed screw-retained IPS e.max crown ready to be cemented extra-orally with the Atlantis abutment (titanium nitride abutment surface).
Fig. 9: Visible granulation tissue at the resorption and fracture area of tooth #11.
Fig. 10: Removal of the granulation tissue with an Er:YAG laser.
Fig. 11: Clean socket after atraumatic extraction of tooth #11.
Fig. 12: Tooth-supported Simplant Guide.
Fig. 13: The guide fitted flawlessly on the patient’s teeth.
Fig. 14: A sequence of implant drills with specific guide sleeves were used.
Fig. 15: Placement of the Ankylos implant using the Simplant Guide.
Fig. 16: Sub-crestal placement of the Ankylos implant. Attachment of the screw-retained
IPS e.max crown on to the Atlantis abutment (non-functional restoration).
Fig. 17: A follow-up CBCT scan demonstrated the perfectly executed positioning of the implant as it had been planned.
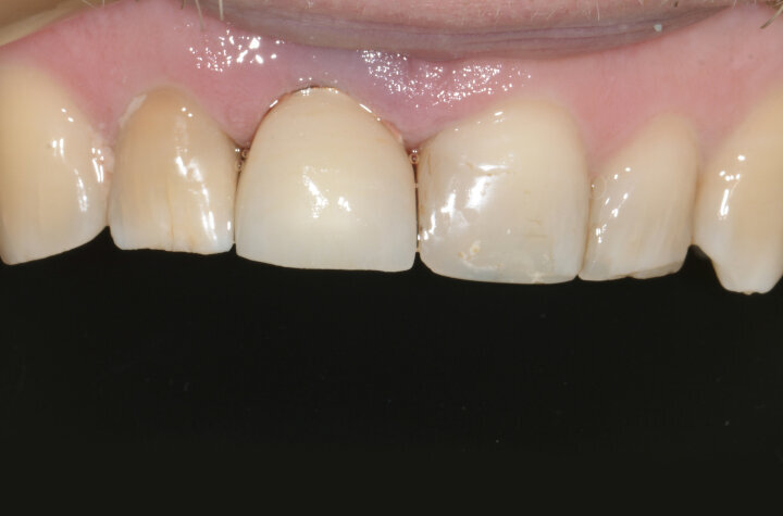
Fig. 18: There was perfect adaptation of the soft tissue around the implant restoration. In addition, a ceramic crown
was placed on tooth #12 (after root canal therapy) and ceramic veneers on teeth #21 and 22. Three years follow up shows stability of soft and hard tissue.
The digital files were used to design and manufacture a screw-retained Atlantis crown for implant #11 in the CEREC CAD/CAM system (Dentsply Sirona). All the components, the Simplant Guide, the Atlantis abutment and the temporary crown, using CEREC, were manufactured and delivered prior to the surgical procedure (Figs. 6–8).
After precise planning, the tooth was extracted. At the resorption and fracture area of tooth #11, granulation tissue was clearly visible (Fig. 9). The granulation tissue was removed with an Er:YAG laser (H14 handpiece, Fotona; Fig. 10). The extraction was atraumatic and the socket clean and ready for implant placement (Fig. 11).
The implant was placed sub-crestally using the Simplant Guide (Figs. 12–15), which assures precision and safety. The screw-retained full ceramic crown on the Atlantis abutment (non-functional restoration) was placed immediately after implantation (Fig. 16). A follow-up CBCT scan demonstrated the perfectly executed positioning of the implant as it had been planned in the Simplant software (Fig. 17).
The treatment was successful, and the final outcome was very satisfying. After three years, the soft tissue around the implant was well adapted and healthy (Fig. 18). In addition, a ceramic crown was placed on tooth #12 (after root canal therapy) and ceramic veneers on teeth #21 and 22.
Reference
1. Rojas-Vizcaya F. Biological aspects as a rule for single implant placement. The 3A-2B rule: a clinical report. J Prosthodont 2013;22(7):575-80
Editorial note: This article was published in digital―international magazine of digital dentistry Vol. 2, Issue 1/2021.
Tags:
Dentsply Sirona, the world’s largest manufacturer of professional dental products and technologies, has adeptly positioned itself as the leading force in ...
BURNABY, British Columbia, Canada: According to a new market report by iData Research, a leading provider of international dental market research, the Asia ...
CHARLOTTE, N.C., US: From 15 to 18 June, Dentsply Sirona will be attending EuroPerio10, one of the biggest events in periodontics and implant dentistry. At...
As part of its focus on clinical education, Dentsply Sirona will feature two new webinars on its clinical educational platform—Dentsply Sirona Academy ...
CHARLOTTE, N.C., US: Building on the success of the 2023 summit in Athens in Greece and the 2024 edition in Miami, the 2026 Implant Solutions World Summit ...
Dr Malene Hallund is an esteemed oral and maxillofacial surgeon and the visionary owner of the NORD advanced dentistry and oral surgery practice in ...
A specialist in implantology, Dr Michael R. Norton has dedicated a huge part of his life to disseminating knowledge on implant dentistry by publishing ...
Charlotte, N.C., US: From 13 to 15 June, dental professionals from around the world will convene in Miami in the US for the 2024 Implant Solutions World ...
In September this year, DENTSPLY International and Sirona Dental Systems announced that they have entered into a definitive merger agreement, creating ...
The Class II restoration remains one of the most common—and technically demanding—procedures in dentistry. Every day, clinicians must deliver durable, ...
Live webinar
Tue. 26 May 2026
12:00 pm EST (New York)
Live webinar
Tue. 26 May 2026
2:00 pm EST (New York)
Live webinar
Tue. 26 May 2026
2:00 pm EST (New York)
Dr. Ernesto Tam Obregón C.D. I.B.
Live webinar
Mon. 8 June 2026
12:00 pm EST (New York)
Live webinar
Mon. 8 June 2026
2:00 pm EST (New York)
Live webinar
Wed. 10 June 2026
2:00 pm EST (New York)
Nacho Fernández-Baca DDS, MSc
Live webinar
Wed. 5 August 2026
1:00 pm EST (New York)
To post a reply please login or register