Search Dental Tribune

Digital workflows for full-arch rehabilitation integrate advanced implant systems, intra-oral scanning, and precision milling technologies to enhance accuracy, efficiency and patient satisfaction in modern prosthetic dentistry. (Image: RusAKphoto/Shutterstock; clinical images: Hani Thome)

Thu. 12. December 2024

save

Digital workflows in dentistry have revolutionised how clinicians approach complex procedures, enhancing precision, efficiency and patient outcomes. Among these advancements, the integration of fully guided systems for full-arch rehabilitation has emerged as a game-changer. This clinical case report highlights the clinical success achieved through a fully guided digital workflow using Smilecloud, a cutting-edge smile design and centralised collaboration platform.

Smilecloud represents a significant leap forwards in dental technology, providing an integrated platform that facilitates seamless communication between clinicians, patients and dental laboratories. By leveraging the power of digital tools, Smilecloud enhances every aspect of the rehabilitation process—from diagnosis and treatment planning to execution and follow-up. This comprehensive approach ensures not only improved clinical outcomes but also a more streamlined and collaborative experience for all involved.

Furthermore, Smilecloud turns design into an immersive experience by engaging patients with meaningful visual communication. This approach has achieved an increase in case acceptance at our practice by allowing patients to visualise diverse clinical scenarios and understand the potential outcomes of their treatment. By previsualising these scenarios, we, as clinicians, can provide a more comprehensive and reassuring consultation experience, aligning patient expectations with clinical possibilities.

In the following case report, we present a fully guided full-arch rehabilitation, underscoring the clinical benefits of digital workflows. With this, we aim to demonstrate how digital solutions can elevate the standard of care, fostering better clinical results and enhancing patient satisfaction.

Initial situation

A generally healthy 65-year-old male patient who smoked ten cigarettes per day and reported no medications presented to our clinic seeking a maxillary fixed restoration to replace his existing removable partial denture. His primary goal was to achieve a natural-looking smile that closely mimicked the appearance of natural teeth in terms of shape, colour and alignment. Additionally, he desired the new restoration to be stable and free from movement, providing a secure fit that would enable him to chew food properly without discomfort or difficulty, improving his overall quality of life.

Fig. 1

Fig. 1

Fig. 2

Fig. 2

Fig. 3

Fig. 3

Fig. 4

Fig. 4

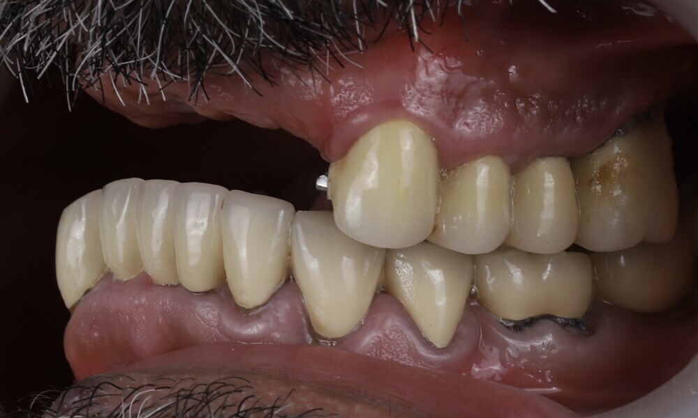
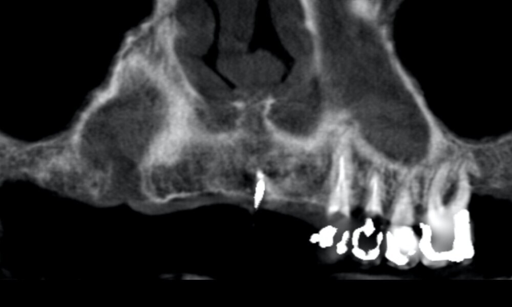
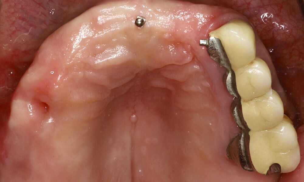
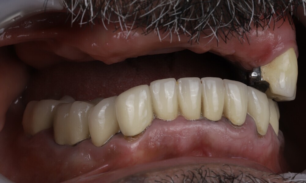
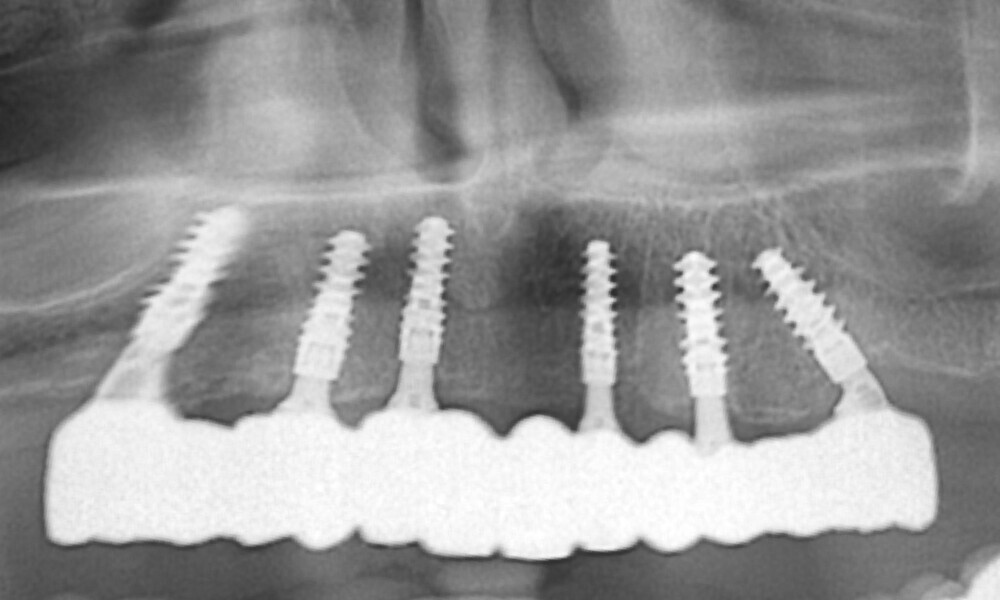
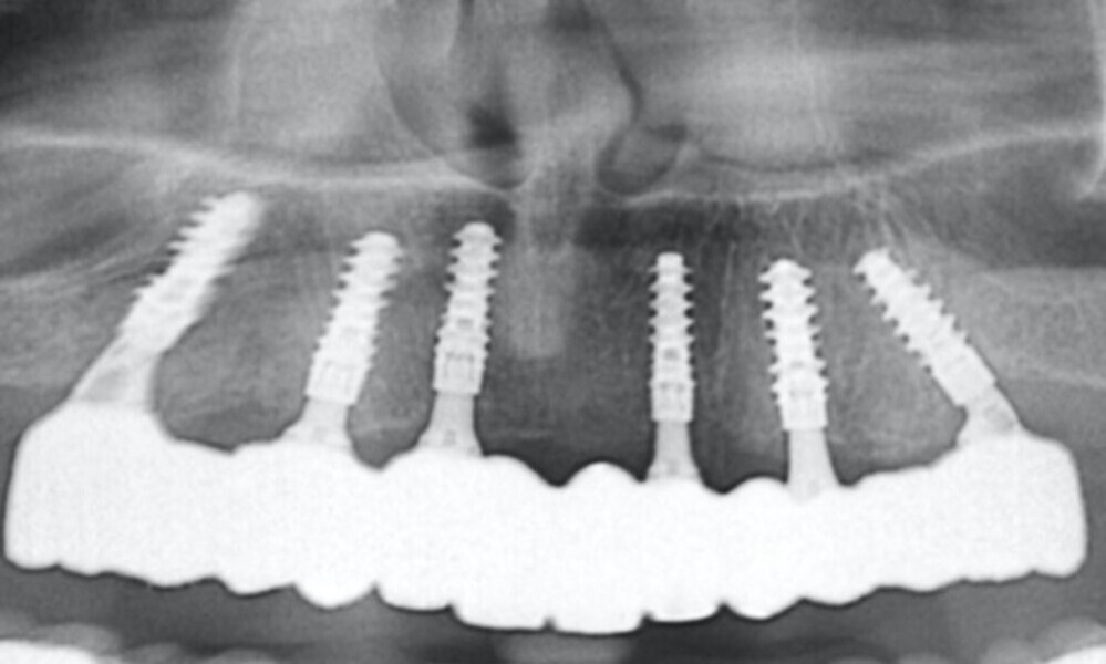
Extra-oral examination showed no significant abnormalities. The patient presented with a medium smile line (Figs. 1–3). The intra-oral examination revealed a fixed bridge spanning teeth #23–26 to which the removable metal partial denture attached (Fig. 4). Teeth #22–17 had been extracted a long time before, and the ridge in this region had healed. No plaque or inflammation was observed. The teeth exhibited mild to moderate attachment loss, but no endodontic or periodontic lesions or root fractures were observed (Figs. 5–8). Analysis of the panoramic radiograph indicated sufficient vertical and horizontal bone availability and adequate bone quality; therefore, there was no need for guided bone regeneration (Fig. 9). According to the International Team for Implantology’s SAC classification, the case was categorised as advanced to complex.

Treatment planning

We utilised the Smilecloud web-based platform to improve communication and visualise various treatment scenarios with the patient. This platform enabled us to create highly realistic smile designs and easily share them with our team and the patient, significantly enhancing discussions and informed decision-making regarding the treatment plan.

For the procedure, we decided on the Straumann Pro Arch approach, involving the immediate placement of six Straumann BLX implants (Roxolid material and SLActive surface) in the upper jaw. This digitalised method would be performed after atraumatic extractions, and a provisional prosthesis was planned to be placed on the same day.

The treatment workflow included:

  1. digital mock-up with Smilecloud (10–12);
  2. digital planning using coDiagnostiX (Dental Wings; 13–15);
  3. surgical guide design in coDiagnostiX and 3D printing of the guide for the prosthetically driven drilling protocol (16 & 17);
  4. atraumatic extraction of the hopeless teeth: #23–26;
  5. immediate placement of six Straumann BLX implants;
  6. immediate provisionalisation; and
  7. final prosthetic restoration with a screw-retained full-arch prosthesis.

Surgical procedure

The patient used a 0.12% chlorhexidine mouthwash 24 hours prior to the surgery, and Augmentin (amoxicillin and clavulanic acid, 2 g) was administered 2 hours before the surgery. Local anaesthesia with 4% articaine and 1:100,000 adrenaline was given. The fixed bridge was removed, and atraumatic extraction of the hopeless teeth was performed (Figs. 18–20).

Fig. 18

Fig. 18

Fig. 19

Fig. 19

Fig. 20

Fig. 20

The fit of the previously sterilised provisional guide and surgical guide was then verified (Figs. 21 & 22). The surgical guide was positioned, aligning it with the arch and extraction sockets. Subsequently, the holes for the anchor pins were drilled and the pins inserted (Figs. 23 & 24). The surgery was initiated using a mucosa punch at 15 rpm through the sleeves of the surgical guide. This method allowed for blade-free incision with minimal trauma (Figs. 25 & 26). After removing the mucosal punch, the surgical guide was reinserted to begin the placement of the implants (Fig. 27). The surgical protocol, provided alongside the surgical guide, recommended the sequence of instruments required to prepare each implant site. The osteotomy sites were prepared following the manufacturer’s recommended drilling protocol using a copious amount of saline irrigation, and the implants placed as follows and parallelism checked (Figs. 28–31):

  • position #16: 5 × 12.0 mm; regular base (RB);
  • position #14: 0 × 12.0 mm; RB;
  • position #12: 0 × 12.0 mm; RB;
  • position #22: 0 × 12.0 mm; RB;
  • position #24: 5 × 12.0 mm; RB; and
  • position #26: 5 × 12.0 mm; RB.

Screw-retained abutments (Straumann) were placed to a torque of 35 N cm as follows (Figs. 32 & 33):

  • position #16: RB/wide base (WB); 30°; diameter: 6 mm; gingiva height: 3.5 mm;
  • position #14: RB/WB; 17°; diameter: 6 mm; gingiva height: 3.5 mm;
  • position #12: RB/WB; 17°; diameter: 6 mm; gingiva height: 3.5 mm;
  • position #22: RB/WB; 17°; diameter: 6 mm; gingiva height: 3.5 mm;
  • position #24: RB/WB; straight; diameter: 6 mm; gingiva height: 3.5 mm; and
  • position #26: RB/WB; 30°; diameter: 6 mm; gingiva height: 3.5 mm.

Prosthetic procedure

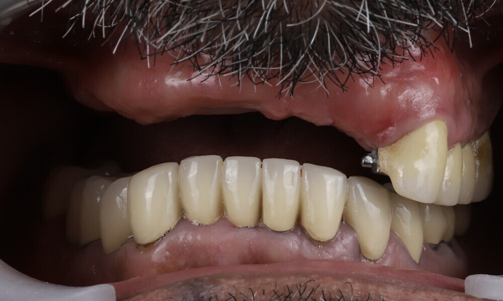
Employing a fully guided surgical protocol alongside a completely digital prosthetic workflow allowed for the precise design and milling of a PMMA provisional prosthesis (Figs. 34 & 35). The implant loading protocol implemented was immediate loading with equal distribution of forces across the entire prosthesis. The patient received the screw-retained provisional prosthesis on the same day. Temporary abutments (titanium copings) were placed on top of the screw-retained abutments. The spaces between the titanium copings and the provisional prosthesis were filled (Figs. 36–38). Any excess material was cut away, and the provisional prosthesis was subsequently polished to ensure a smooth finish (Fig. 39). The provisional prosthesis was then attached and securely fixed to the titanium copings to a 15 N cm torque (Fig. 40). Oral hygiene instructions were provided, and the occlusion was assessed (Figs. 41 & 42). A final control radiograph was obtained and confirmed that all parameters were within normal limits (Fig. 43).

During follow-up visits, the patient exhibited excellent healing and no postoperative complications (Fig. 44). The provisional prosthesis demonstrated optimal fit and stability, enhancing function and the patient’s comfort.

Four months later, we proceeded with the final prosthetic procedure based on clinical and radiographic evidence confirming osseointegration. The case was completed using Straumann RevEX scan bodies for a full monolithic design with a completely digital workflow. First, an intra-oral scan of the opposite arch was taken, followed by an intra-oral scan with the screwed-in temporary abutments. An intra-oral bite scan and an intra-oral scan of the soft tissue with the screw-retained abutments in place were then taken. The reverse scan bodies were attached to the provisional prosthesis, which was scanned extra-orally. Next, the prototype and verification jig were designed, followed by the milling of the prototype and verification jig (Figs. 45 & 46).

During the next visit, the milled prototype and verification jig were tried in, and the design and manufacturing of the final prosthesis were completed (Figs. 47 & 48). The final abutment utilised was Variobase for bridge (Straumann), placed on top of the screw-retained abutments. The material chosen for the final prosthesis was monolithic zirconia (Figs. 49 & 50).

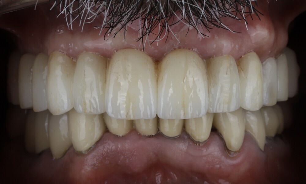
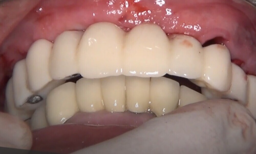
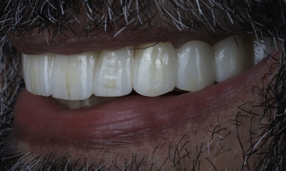
The delivery of the final prosthesis was then performed, and the aesthetics, occlusion and function were verified (Figs. 51–55). The panoramic control radiograph showed that all measurements were within expected ranges (Fig. 56).

At the 18-month follow-up after completing the treatment, an intra-oral, extra-oral and radiographic evaluation were performed. No pathologies were observed, and the results remained stable over time (Figs. 57–62). The patient expressed his satisfaction with the treatment outcomes, stating, “Seeing my new smile before starting the procedure was a game-changer. I was confident from the beginning that my final result would be as I had imagined.”

Treatment outcomes

The combination of Straumann BLX implants with the Straumann RevEX scan bodies for a full monolithic design and integrated into a comprehensive Smilecloud digital workflow yielded favourable treatment outcomes for full-arch rehabilitation in this case. The seamless coordination between the surgical and prosthetic phases, facilitated by state-of-the-art digital technologies, enhanced precision, efficiency, and patient comfort and satisfaction. This case underscores the important role of digital dentistry in ensuring reliable and aesthetically satisfying results in implant therapy.

Editorial note:

This article was published in digital—international magazine of digital dentisty vol. 5, issue 3/2024.

Topics:
Tags:
To post a reply please login or register
advertisement
advertisement