DICOM files, STL files and clinical photographs were integrated into Smilecloud, leveraging artificial intelligence for precise, personalised smile design. (All images: Dr Hani Tohme)
As an oral surgeon and prosthodontist specialising in full-mouth rehabilitation, I have consistently sought to integrate advanced technologies into my practice to achieve superior outcomes for my patients. Over the years, digital dentistry has proved to be a game-changer, particularly in cases for which comprehensive treatment is required to address both functional and aesthetic challenges. This clinical case report details the use of Smilecloud and digital workflows to restore oral health, function and aesthetics in a 61-year-old patient with advanced periodontal disease, as well as tooth loss and several hopeless teeth.
Smilecloud is an innovative digital tool that combines artificial intelligence with a vast library of natural smile designs, enabling the creation of highly personalised treatment plans. Its integration with digital workflows—such as those of CBCT imaging, intra-oral scanning and guided implant surgery—streamlines every stage of treatment, from diagnosis and planning to execution. These technologies enhance precision in implant placement and prosthetic design, reduce chairside time and foster better communication with patients by providing them with a clear understanding of the proposed outcomes.
In this case, Smilecloud played a key role in designing a smile that harmonised with the patient’s facial features while addressing her functional priorities. The combination of digital workflows allowed for the immediate placement and loading of implants, ensuring a seamless transition from compromised dentition to stable, implant-supported restorations. The treatment achieved a stable and natural-looking result, addressing the patient’s aesthetic concerns and restoring her ability to eat comfortably.
Figs. 1–3: The initial situation showed significant spacing between the teeth
Fig. 2
Fig. 3
Initial situation
A healthy 61-year-old female patient with no significant medical history and who took no medications and had no known systemic diseases or risk factors such as smoking that could compromise treatment outcomes came to our clinic. She was concerned about the mobility of her teeth and their appearance. She also reported finding it difficult to eat properly, affecting her daily life. The patient’s primary focus was improving the aesthetics of her teeth to achieve a natural appearance that would complement her facial features. She also prioritised restoration of proper function to eat comfortably without difficulty. She was opposed to wearing a denture and desired a long-term solution that would maintain her quality of life while ensuring stable teeth and optimal oral health.
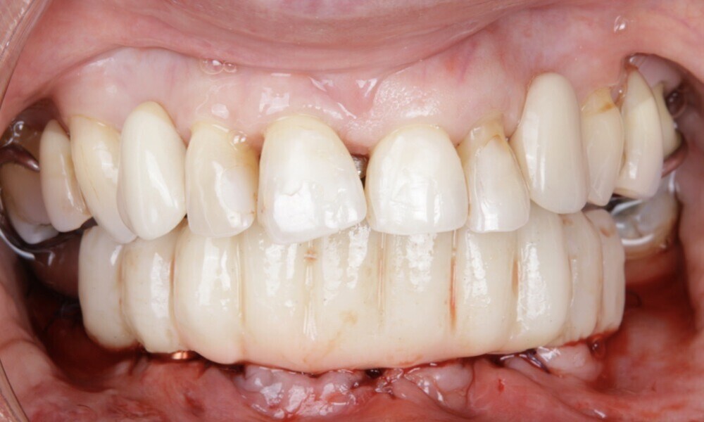
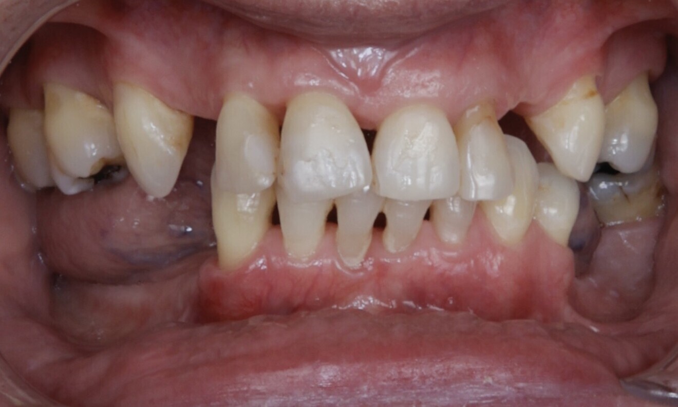
In the extra-oral examination, a medium smile line was observed with prominent spaces between the teeth owing to tooth loss and the presence of black triangles (Figs. 1–3). Intra-orally, the patient presented with generalised plaque accumulation and inflammation, affecting approximately 30% of the oral cavity. Periodontal examination revealed areas of localised bleeding on probing, indicating active inflammation. Tooth mobility was evident for multiple teeth, consistent with the patient’s history of periodontal disease.
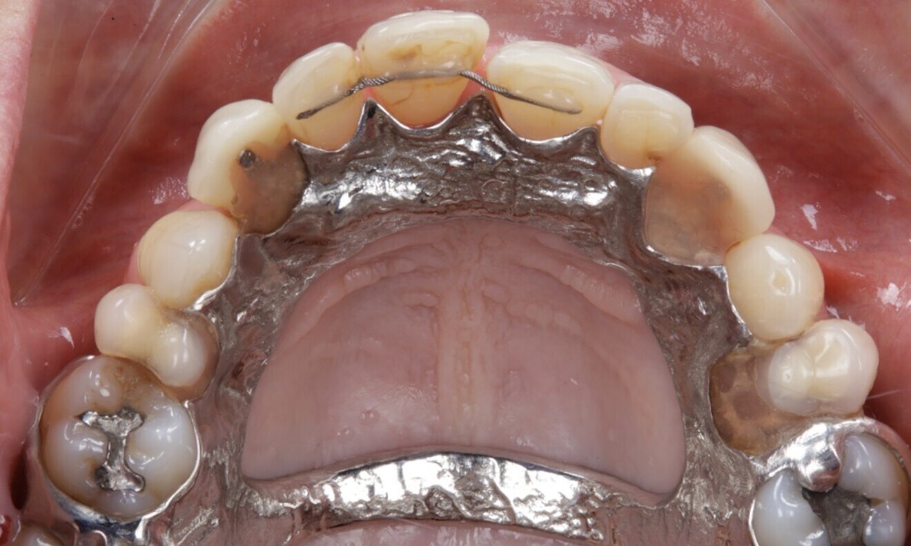
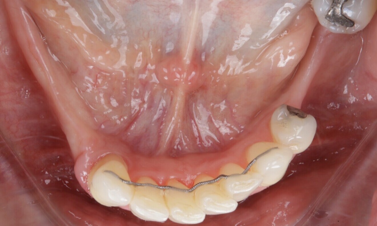
The patient wore a removable restoration in the maxillary arch and presented with anterior retainers in both the maxillary and mandibular arches owing to tooth mobility caused by periodontal disease. Teeth #15, 13, 23, 25, 27, 36, 35, 44, 45, 46 and 47 were missing. Additionally, the patient presented with several dental fillings (Figs. 4–7).
Figs. 4–7: The intra-oral examination showed generalised periodontitis, a removable maxillary restoration and multiple missing mandibular and maxillary teeth.
Fig. 5
Fig. 6
Fig. 7
A CBCT scan was taken to determine the quality and quantity of the bone in the edentulous areas. The radiographic analysis showed adequate bone height in the areas of tooth extraction, allowing for immediate implant placement. The remaining bone provided sufficient support for initial stability during implant placement. Sufficient horizontal ridge width was observed in the potential implant sites, ensuring proper implant positioning without the need for additional ridge augmentation. Bone quality was favourable for immediate implant placement. The anterior maxilla presented moderate to good bone density (Type II–III) and the mandible excellent bone density (Type I–II), particularly in the posterior regions, indicating high primary stability for implants. Subsequently, digital impressions were obtained using the TRIOS intra-oral scanner (3Shape) and exported in STL file format (Figs. 8 & 9).
Treatment planning
The remaining molars in the maxillary arch showed potential for preservation and function with regular periodontal therapy and careful monitoring. However, the other teeth were planned to be extracted owing to poor prognosis, primarily caused by advanced periodontitis and the associated severe bone loss (Fig. 10).
Fig. 8 & 9: Digital impression was captured using the TRIOS intra-oral scanner.
Fig. 9
Fig. 10: Digital treatment planning was performed.
The patient presented with a hopeless dentition owing to periodontal disease, characterised by significant bone loss and tooth mobility. There were no clinical signs or symptoms of endodontic involvement or endodontic or periodontic lesions. However, several teeth were missing owing to previous extractions, and the remaining teeth showed signs of structural compromise. The presence of tooth mobility and retainers further indicated progressive periodontal tissue damage. No evidence of root fractures was observed clinically or radiographically. The clinical findings reflected the long-term effects of periodontal disease and emphasised the need for a comprehensive approach to restore function, aesthetics and oral health.
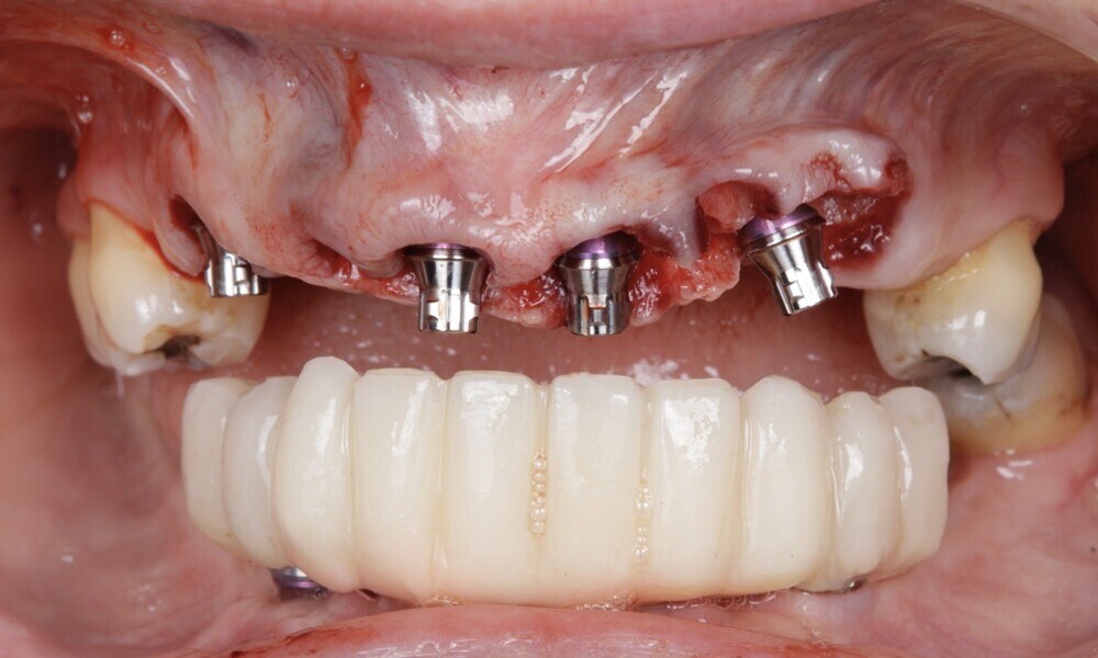
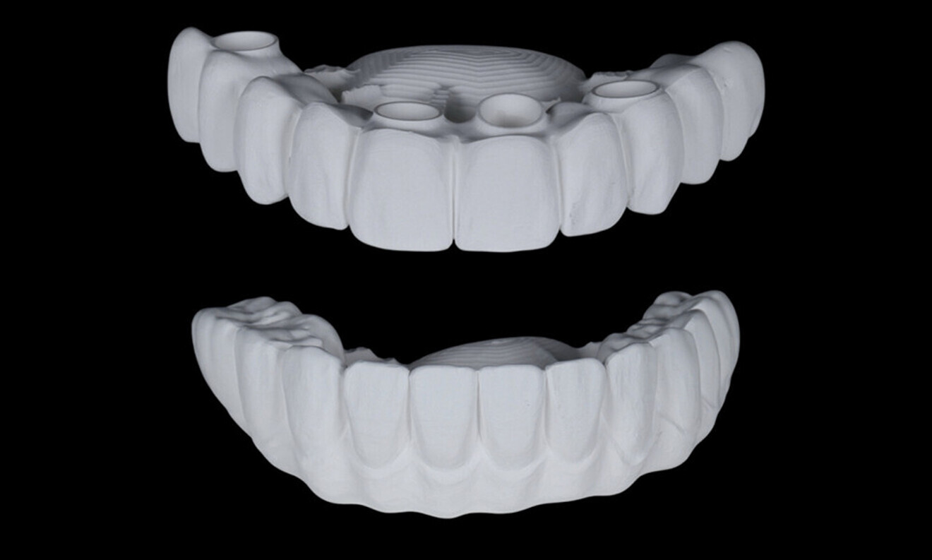
To ensure precise and predictable treatment planning, the DICOM files, STL files and clinical photographs were seamlessly integrated into Smilecloud, utilising advanced artificial intelligence technologies to deliver a highly personalised smile with exceptional precision (Figs. 11–15).
Figs. 11–15: DICOM files, STL files and clinical photographs were integrated into Smilecloud, leveraging artificial intelligence for precise, personalised smile design.
Fig. 12
Fig. 13
Fig. 14
Fig. 15
After discussing various treatment options with the patient, the decision was made to proceed with immediate implant placement. The provisional restorations were designed, milled from polymethylmethacrylate and placed on the same day to restore function and aesthetics.
The treatment workflow included:
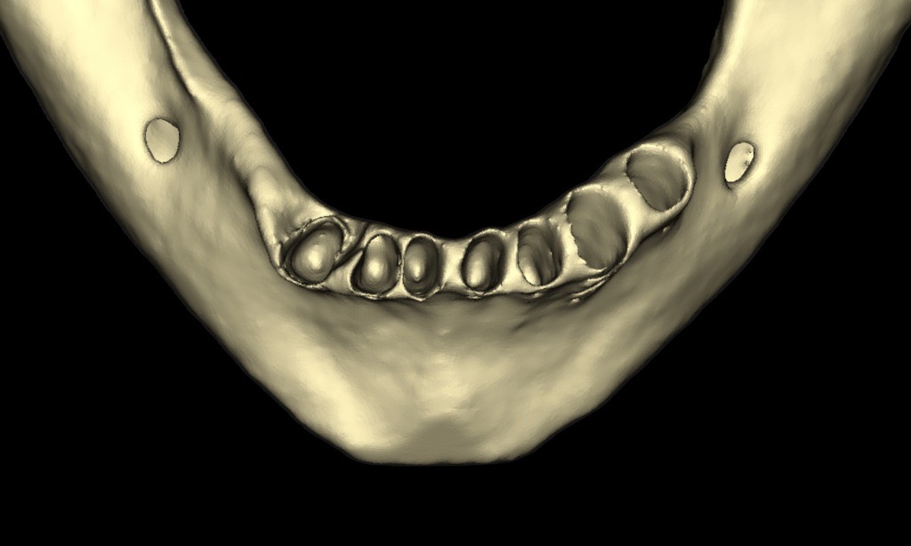
extraction of the hopeless teeth #34, 33, 32, 31, 41, 42 and 43 (16 & 17);
planning of implant positioning (18–21);
creation of a tooth- and mucosa-supported surgical guide to stabilise the drilling, ensuring accurate 3D positioning of the implants (22–28);
immediate implant placement in positions #34, 32, 42 and 44 using Straumann BLX implants (diameter: 4 mm; length: 10 mm);
placement of a provisional restoration in the mandibular arch;
extraction of the hopeless teeth #14, 12, 11, 21, 22 and 24;
immediate implant placement in positions #14, 11, 21 and 23 using Straumann BLX implants (diameter: 75 mm; length: 12.00 mm);
guided bone regeneration with a xenograft and resorbable membrane;
placement of a provisional restoration in the maxillary arch; and
definitive prosthetic rehabilitation of the maxillary and mandibular arches with screw-retained implant-supported restorations.
Figs. 16–28: The treatment workflow included the extraction of hopeless teeth, implant planning and positioning, and surgical guide fabrication.
Fig. 17
Fig. 18
Fig. 19
Fig. 20
Fig. 21
Fig. 22
Fig. 23
Fig. 24
Fig. 25
Fig. 26
Fig. 27
Fig. 28
Surgical procedure
The patient was given preoperative medication consisting of 2 g of amoxicillin taken orally 60 minutes before surgery, in accordance with the standard protocol, and 400–600 mg of ibuprofen taken 30–60 minutes prior to surgery. Local anaesthesia was administrated with 4% articaine combined with 1:100,000 adrenaline.
For the mandibular arch, the first surgical guide was checked for proper fit (Fig. 29). The surgical guide, supported by the teeth, was placed, and anchor pins were inserted (Figs. 30 & 31). After this, the guide was removed, and the hopeless teeth were atraumatically extracted (Figs. 32 & 33).
Fig. 29: The first surgical guide was checked for proper fit.
Figs. 30 & 31: The tooth-supported surgical guide was placed in the mandible and the anchor pins inserted.
Fig. 31
Figs. 32 & 33: The hopeless teeth were atraumatically extracted.
Fig. 33
Figs. 34 & 35: After tooth extraction, a full-thickness mucoperiosteal flap was raised for surgical access.
Fig. 35
After tooth extraction, a full-thickness mucoperiosteal flap was created to provide adequate access to the surgical site (Figs. 34 & 35). A buccal and lingual vertical releasing incision was made to ensure tension-free closure. The incision extended beyond the area of planned bone reduction to facilitate proper flap mobilisation and ensure good coverage for the healing process.
The second surgical guide was placed, and bone and bone reduction was performed (Figs. 36–39). The third surgical guide was then placed for preparation of the implant bed, and the Straumann Surgical Cassette was used according to the pilot drilling protocol (Figs. 40–43). The implants were placed with the aid of the handpiece in a clockwise direction at a speed of 15 rpm and to a torque of 35 N cm (Fig. 44). Screw-retained abutments (Straumann) were placed according to the digital planning (Figs. 45 & 46).
As the implant loading protocol was immediate loading, after placement of the temporary copings, a restoration replica was adapted. In the laboratory, the analogues were placed (Figs. 47 & 48). Variobase abutments (Straumann) were placed on top of the screw-retained abutments to ensure stability and support of the provisional restoration (Figs. 49 & 50).
Figs. 36–39: The second surgical guide was placed, followed by bone reduction.
Fig. 37
Fig. 38
Fig. 39
Figs. 40–43: The third surgical guide was placed and the implant bed prepared.
Fig. 41
Fig. 42
Fig. 43
Figs. 44–46: The implants and screw-retained abutments were placed
Fig. 45
Fig. 46
Figs. 47–50: The provisional restoration was fabricated. Variobase abutments were placed on the screw-retained abutments for enhanced stability and support of the provisional restoration.
Fig. 48
Fig. 49
Fig. 50
After treating the mandibular arch, we proceeded with the maxillary arch. The flap design involved a flapless approach for the maxillary arch. All teeth in the maxillary arch were extracted, except for the molars (Figs. 51 & 52). The provisional restoration was seated and adapted to the mouth after the tooth extractions (Figs. 53–55). The implant sites were prepared following the manufacturer’s instructions, the implants were subsequently inserted and screw-retained abutments (Straumann) were placed (Figs. 56 & 57). Guided bone regeneration with Straumann XenoGraft and a resorbable membrane (Straumann) were then performed (Figs. 58–60).
Figs. 51–55: All maxillary teeth, except the molars, were extracted after checking the seating and adaptation of the provisional restoration.
Fig. 52
Fig. 53
Fig. 54
Fig. 55
Figs. 56–60: The implants were placed, guided bone regeneration was performed using a xenograft and screw-retained abutments were placed.
Fig. 57
Fig. 58
Fig. 59
Fig. 60
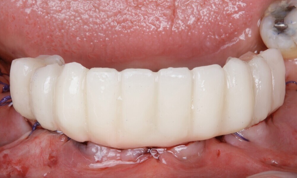
Temporary abutments were then placed on top of the screw-retained abutments to ensure stability and support of the provisional restoration (Figs. 61 & 62). The provisional restoration was carefully tightened to between 15 N cm and 35 N cm on the temporary abutments directly in the mouth to ensure a precise fit, optimal comfort and proper functionality for the patient (Figs. 63–66).
Figs. 61 & 62: Temporary abutments were placed on top of the screw- retained abutments.
Fig. 62
Figs. 63–66: The provisional restoration was secured to the temporary abutments.
Fig. 64
Fig. 65
Fig. 66
On the day that the sutures were removed, excellent healing was observed. The follow-up radiograph also confirmed the proper positioning of the implants (Figs. 67 & 68).
Fig. 67: At the suture removal appointment, excellent healing was observed, ...
Fig. 68: ... and the radiograph confirmed proper implant positioning.
Prosthetic procedure
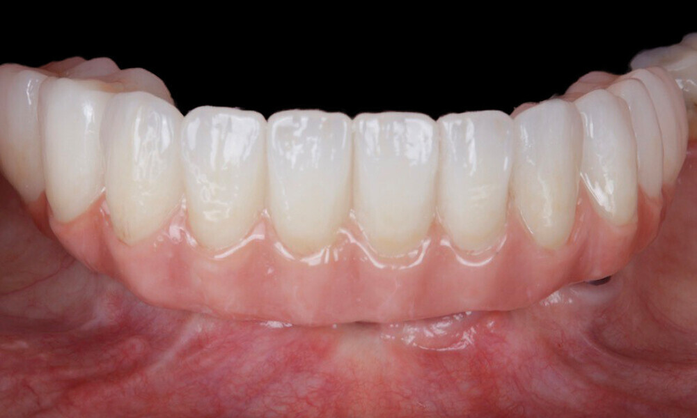
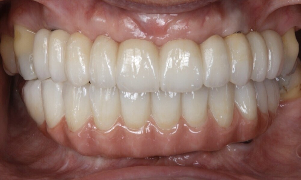
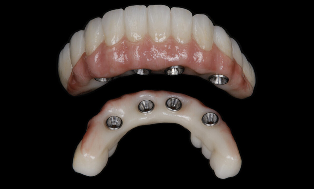
After a healing period of five months and successful osseointegration, the process for the definitive restorations was initiated. The chosen material was milled monolithic zirconia, and Variobase final abutments was used, placed on the screw-retained abutments to ensure excellent stability and retention of the definitive restorations (Figs. 69–75).
Figs. 69–75: The definitive restorations were fabricated after a five-month healing period
Fig. 70
Fig. 71
Fig. 72
Fig. 73
Fig. 74
Fig. 75
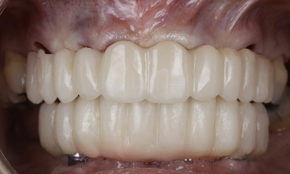
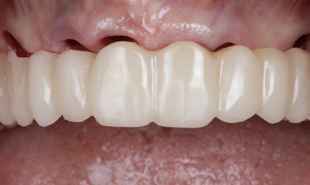
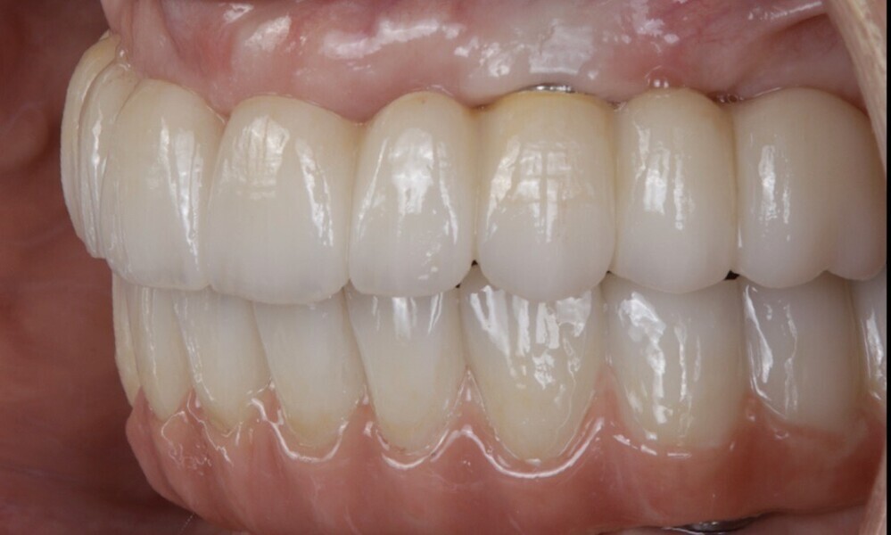
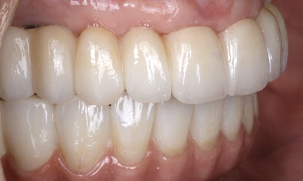
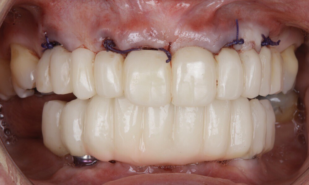
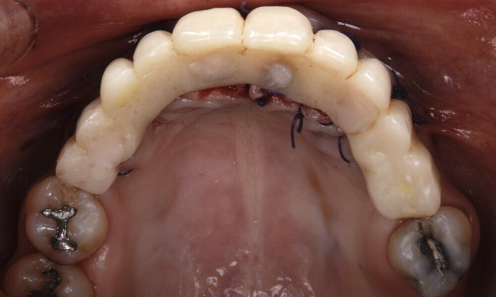
The soft tissue was in good condition, and the definitive restorations were placed (Figs. 76 & 77). After placing the definitive restorations, oral hygiene instructions were given to ensure proper care and prevent complications. Additionally, the occlusion was carefully checked and adjusted as needed (Figs. 78–83).
Figs. 76 & 77: Optimal soft tissue conditions were observed, indicating readiness for the definitive restorations.
Fig. 77
Figs. 78–82: The definitive restorations were placed, and occlusal adjustments were performed.
Fig. 79
Fig. 80
Fig. 81
Fig. 82
A follow-up was performed six months after surgery. The radiographic examination conducted at that time confirmed the successful integration and stability of the implants (Fig. 84).
Treatment outcomes
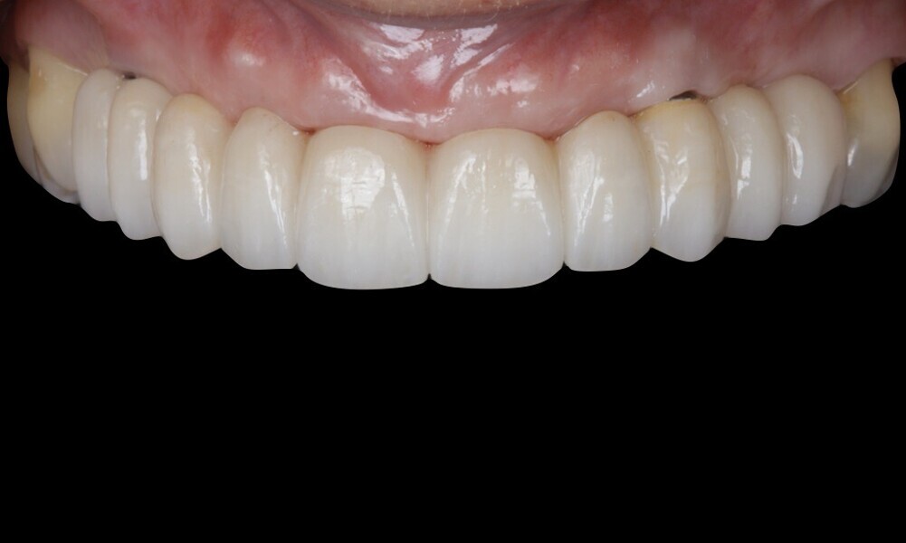
Good results were achieved regarding both hard and soft tissue, as well as aesthetics. The patient shared the following testimonial: “I couldn’t be happier with my new smile! The process was so precise and seamless, and I felt involved every step of the way. The digital planning made it clear what to expect, and the results are beyond what I imagined—natural, beautiful and perfectly suited to me. Eating and smiling feel effortless again. It’s truly life-changing!”
Fig. 83: The definitive restorations were placed, and occlusal adjustments were performed.
Fig. 84: The six-month post-op radiographic evaluation confirmed successful implant integration and stability.
Digital advancements have revolutionised dentistry, providing efficient, precise dental care.1 Intra-oral scanners are replacing traditional means of taking...
Successful immediate implant placement associated with immediate loading remains one of the greatest clinical challenges. In addition to the placement of an...
Improvements in digital technologies in recent years have transformed several industries, including implant dentistry. These novel methodologies have ...
BASEL, Switzerland: The Straumann Group is introducing two organisational changes to support the development of its fast-growing orthodontics and digital ...
BASEL, Switzerland: The Straumann Group has posted strong financial results for the first half of 2019, with organic revenue up around 16%. Founding new ...
The Straumann Campus is continuing to provide dental professionals with free and flexible online education options. This is especially important since ...
BASEL, Switzerland: Straumann has launched another season of StraumannPLAY. The second season focuses on digital workflows. In this new season, Dr Hugo ...
BASEL, Switzerland: Continuing on from a strong 2017, the Straumann Group has reported a positive start to the first quarter of 2018. With double-digit ...
To post a reply please login or register