The target of modern dentistry is the achievement of a natural aesthetic outcome, function and stability using a minimally invasive, maximally effective technique and in a reasonable period.
Introduction
This case study demonstrates that new philosophies concerning implant design, provisional and final abutment design, as well as paradigm shifts in treatment approaches, can lead to superior aesthetic results. In full-arch implant-supported restoration, immediate placement with immediate loading has been well documented. The literature shows a high success rate of 97 % with this kind of treatment in the mandible [11-17] and of 96 % in the maxilla.[18-20] Osseointegration of implants has been achieved routinely and with a high degree of success. Contemporary implant dentistry focuses on aesthetic success aside from functional results. One of the compromises in aesthetics in a situation of adjacent implants is the short papilla between two implants, where a maximum length of 3.5 mm can be achieved.[1] This can be explained by loss of the interim plant bone.
The advantages of a platform-switched implant design regarding bone and tissue stability are well documented in the literature.[2-6] The resulting stability of the bone is explained through the increased distance of the micro-gap from the bone (a minimum of 0.45 mm is adequate). Another way to preserze bone in the long term is by selecting an implant design with a micro-thread design at the collar. The positive influence of the micro-thread design at the collar of the implant has been biomechanically explained by Steigenga et al.[7] Bone is stronger when loaded in compression, and 30 % weaker when subjected to tensile forces. During function, the shear forces are transformed into small compression and traction forces. Another observed benefit of platform switching is the non-surgical increase in tissue volume in the healing phase.
embedImagecenter("Imagecenter_1_702",702, "large");
Papillary area
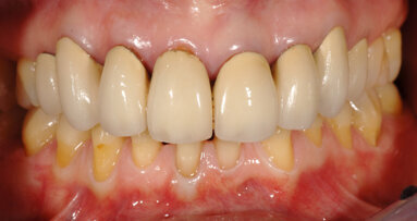
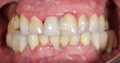
Additionally, Gargiulio [8] has demonstrated that the higher the peri-implant soft tissue, the lower the risk of bone loss in the process of increasing the biological width.[8] Through decreased bone loss and a resulting reduction in bone instability, as well as increased thickness of the tissue, more supracrestal fibres can be gained (Figs.1 & 2). Owing to this philosophy in designing the provisional, the final abutment and the crown, we were able to manipulate the soft tissue (Fig. 3) and gain an interimplant papilla length comparable to the length of the papilla between two natural teeth (5 mm, Fig. 4).
Abutment
The running room for the provisional abutment was concave (Figs.1 & 2).[9] After osseointegration, we modified the running room to a straight or slightly convex profile (Fig. 3), especially approximally. The tissue extended from 0.5 to 1 mm in the direction of the contact point. The final construction followed the natural parameters of the interdental contact points in the natural dentition, as defined by Chu et al.[10] Designing the interdental spaces as narrow triangles with slight convexities, we managed to guide this tissue by another 0.5 to 1 mm to the ideal contact point, and give the entire construction a natural appearance.
Clinical case example
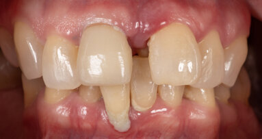
A 50-year-old patient presented with a tooth mobility of Grade II to III (Figs. 5 & 6). He wished to have his aesthetic restoration fixed. In cases such as this, an alternative chairside and laboratory workflow can guide our treatment. Chairside workflow included an aesthetic analysis, impressions, a functional analysis, X-rays, CT, and evaluation of the hard and soft tissue. The treatment plan should be minimally invasive, of maximum effectiveness and aim for the best aesthetic results. This means immediate implant placement and immediate loading. At the laboratory, a mock-up of the intended result was created. Afterwards, the mock-up was discussed with the patient and tried in chairside. At the next appointment, implant placement using a provisional and surgical, aesthetic-driven guide, fabricated by the laboratory in advance, and immediate restoration followed chairside. The implants were selected in order to allow immediate loading (Fig. 7). For immediate loading, an implant’s features and insertion protocol have to provide for high primary stability. Therefore, self-cutting threads and a drilling protocol for undersized implant site preparation were necessary. Furthermore, the rough surface of the implant shoulder and the micro-thread design at the collar were important for long-term bone and soft-tissue stability. Platform-switched provisional abutments with concave running room and made of PEEK (polyether ether ketone) were additional features that qualified the implant selected for immediate loading (Figs. 8 & 9).
Another important aspect was the parameters applied in the immediate loading of the implants inserted in extraction sockets. Primary stability was achieved with an insertion torque of 35 Ncm. About three quarters of the implant surface should be covered by the host bone. The gap between the implant and the buccal bone was augmented to a maximum of 1.5 mm (Tarnow 1997) (Fig. 7). Owing to these conditions, we were able to insert immediate implants and to perform immediate loading with a rigid fixed bridge (Fig. 10). After the osseointegration (Figs. 11 & 12) individual abutments were CAD/CAM fabricated from zirconia (LAVA, 3M ESPE). Individually, the running room was modified to a slightly convex or straight profile (Figs. 13–15), so that the tissue was shifted interdentally (Figs. 18–20) and another 0.5 to 1 mm was gained in papilla length. Tooth reconstruction was employed to produce the crowns. The convexities of the crown contour at the gingival margin were produced with respect to the harmony of the pink and white aesthetics (Figs. 16 & 17). Symmetry, the golden proportion and the individual demands of the patient were given particular consideration (Figs. 21–23).
Conclusion
This treatment method, with the main aim of imitating or even improving the natural dentition, has been used for 12 full-arch cases over the last two years. Now, the paradigm of the short papilla between two implants is over. In order to obtain the natural gingival architecture between implants, we adhere to the following:
1. immediate implant placement in perfect implant position;
2. immediate loading of the implant under initial stable conditions;
3. use of implant systems with a platform-switching design;
4. use of provisional abutments with a convex profile;
5. use of provisional crowns with a flat profile;
6. use of final abutments with a slightly convex profile to move the tissue gained into the interdental space;
7. restoration of the natural proportion of the interdental spaces and contact points; and
8. creation of narrow triangles, forming space for the papillae.
The authors wish to acknowledge Roland Danneberg, master technician, for the prosthetic work. Dr. Lerner wishes to acknowledge Dr. Morton Perel for his professional support.
All images were created in DentalMaster. Material copyright by MD Simulation Ltd (www.dentalmaster.net).
Editorial note: A complete list of references is available from the publisher.
Full-arch implant-supported reconstruction continues to provide viable solutions to restore and improve function, enhance aesthetics and change quality of ...
Modern dentistry should strive to preserve all maintainable natural teeth whenever possible, in line with the principles of minimal invasiveness and ...
Digital workflows in dentistry have revolutionised how clinicians approach complex procedures, enhancing precision, efficiency and patient outcomes. Among ...
Modern dentistry is undergoing a technological revolution, driven by the integration of advanced digital tools in diagnostics, planning and treatment. Among...
Implant dentistry has undergone a revolutionary transformation with the advent of digital workflows. These advancements have significantly improved the ...
Improvements in digital technologies in recent years have transformed several industries, including implant dentistry. These novel methodologies have ...
Implant treatment for full-arch fixed restorations has been around for decades now.1–3 The treatment usually involves four to six implants placed in ...
This article presents a case of aesthetic restoration of anterior teeth using KATANA Zirconia Ultra Translucent Multi Layered (UTML; Kuraray Noritake ...
A 42-year-old male patient presented to our practice hoping to improve his smile. He was conscious of the worn dentition of the maxillary anterior sextant ...
GANGNEUNG, South Korea: At IDS 2021, all-ceramic dental materials manufacturer HASSBIO (Human-Aid System Supplier) will be presenting a wide range of ...
Live webinar
Sun. 3 May 2026
12:00 pm EST (New York)
Dr. Rickard Brånemark MSc, MD, PhD, Dr. Robert Gottlander DDS
Live webinar
Sun. 3 May 2026
8:00 pm EST (New York)
Live webinar
Tue. 5 May 2026
10:00 am EST (New York)
Live webinar
Tue. 5 May 2026
12:00 pm EST (New York)
Live webinar
Tue. 5 May 2026
1:00 pm EST (New York)
Dr. Maximilian Dobbertin M.Sc
Live webinar
Tue. 5 May 2026
3:00 pm EST (New York)
Live webinar
Wed. 6 May 2026
1:00 pm EST (New York)
To post a reply please login or register