Combining skeletally anchored distalisation with aligner therapy enables precise and aesthetic correction of severe Class II malocclusion in adults. (Image: yanik88/Adobe Stock)
The distalisation of the maxillary posterior teeth is limited to approximately 2 mm when treated solely with aligners.1–3 This often results in dental side effects such as tipping and anchorage loss, leading to proclination of the anterior teeth.4, 5 Additionally, the success of treatment is highly dependent on patient compliance, particularly when using intermaxillary elastics.
Figs. 1a–h: Facial and intra-oral photographs of a 35-year-old female patient with an increased overbite and a Class II relationship.
To optimise bodily distalisation in terms of precision and efficiency, integrating the Beneslider into aligner therapy has proved to be an innovative approach.6, 7 Two approaches to such therapy can be taken: two-phase treatment, where distalisation is first achieved using the Beneslider before finishing the occlusion with aligners, and one-phase treatment which enables concurrent molar distalisation and aligner therapy. Both approaches have shown promising clinical outcomes and expand the range of aligner-based treatment options.
Skeletal anchorage for distalisation in the maxilla
The introduction of skeletal anchorage has led to a paradigm shift in orthodontic therapy in recent years. It significantly reduces the dependence on patient cooperation, ensuring more consistent and reliable results.8 Mini-implants are minimally invasive, relatively low cost and versatile in application, making them a favourable option for both practitioners and patients.9–11The anterior palate has become the preferred insertion region for skeletal anchorage for maxillary molar distalisation.12, 13 This area, called the T zone, is located posterior to the palatal rugae and is characterised by dense cortical bone and minimal soft-tissue thickness and thus provides ideal conditions for stable and reliable anchorage.14
The distaliser
Among the established distalisation appliances, the Beneslider is known for its efficient sliding mechanics and high clinical success rate.15, 16 The distaliser was developed as an alternative solution to the Beneslider and utilises a screw mechanism.17 The screw mechanism ensures precise, controlled and predictable movement of the teeth throughout the treatment. The distaliser, typically activated by the patient on a weekly basis, offers a clearly defined activation distance per time unit, simplifying synchronisation in the aligner staging process in a one-phase treatment approach. However, the distaliser is bulkier than the Beneslider, and this factor should be considered, especially for adult patients.
Patient case
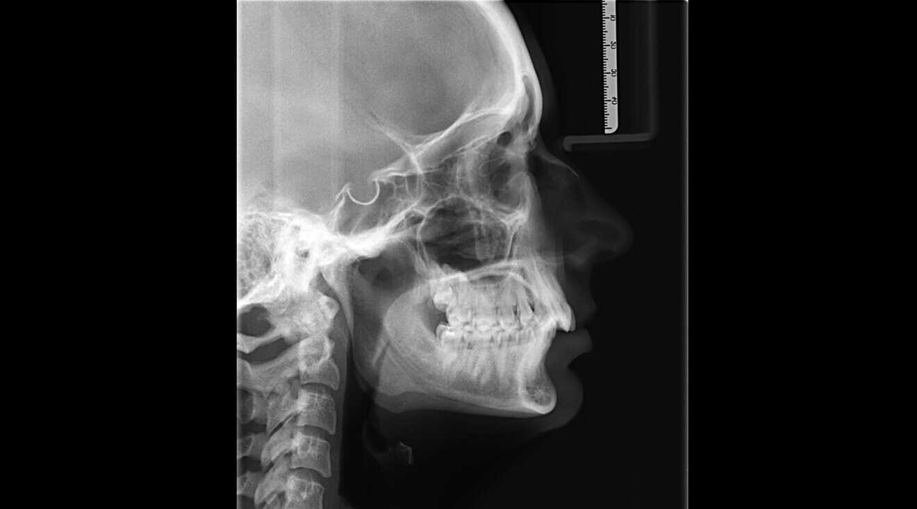
A 35-year-old female patient presented with an increased overbite, an increased overjet of 7 mm, and a bilateral Class II molar relationship, exhibiting a three-quarter unit distal occlusion on the right and a half unit distal occlusion on the left (Figs. 1–3). Orthognathic surgery had previously been recommended owing to the Class II skeletal relationship evident in the cephalometric analysis, but the patient declined this option.
Fig. 2: Panoramic radiograph.
Fig. 3: Cephalometric radiograph.
The patient’s main concerns were the crowding of the maxillary anterior teeth and the large sagittal discrepancy. She desired a discreet treatment option that would ideally avoid tooth extractions.
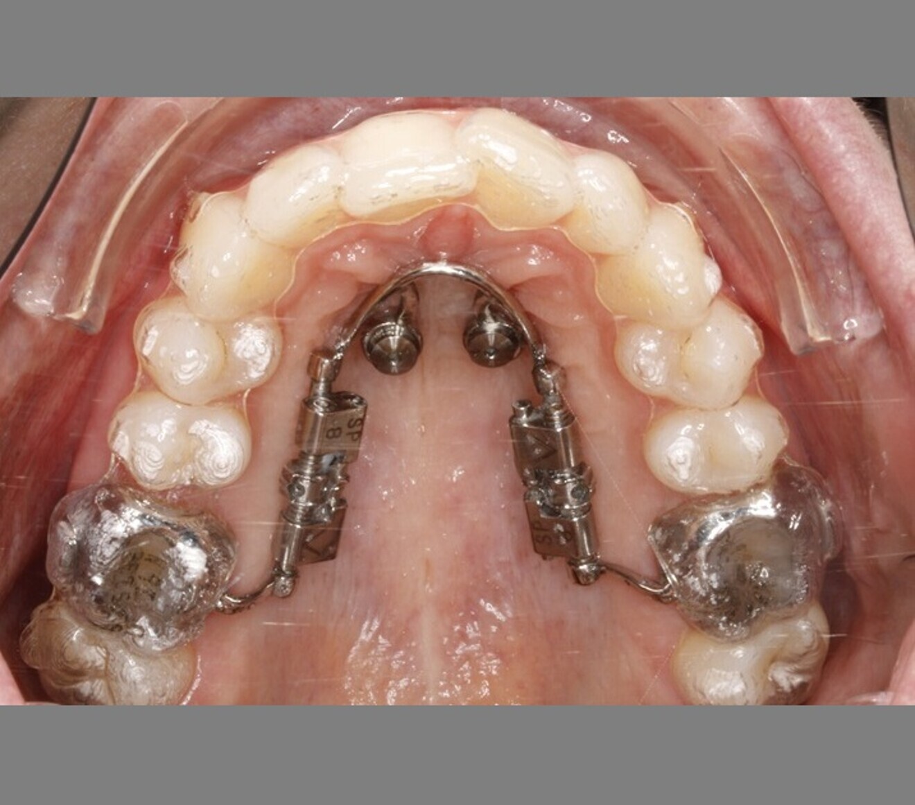
After an intra-oral scan, the positions of the mini-implants (BENEfit, 2 × 9 mm; PSM Medical) and of a bilateral distaliser were digitally planned. The distaliser (TADMAN) was manufactured using the selective laser melting process (Fig. 4). A simultaneously planned insertion guide (TADMAN) allowed for precise placement of the mini-implants and immediate fitting of the distaliser in a single appointment (Fig. 5).
Since a one-phase treatment approach was planned, an additional scan was taken immediately afterwards to produce the aligners (Invisalign, Align Technology). The goal was to achieve simultaneous bilateral molar distalisation and alignment of all the teeth using the aligners. To facilitate this, a distalisation rate of 0.2 mm per week was set, corresponding to a quarter turn of a screw with a thread pitch of 0.8 mm. The distalisation was planned asymmetrically because the molars in the maxillary right quadrant had drifted further mesially than those in the maxillary left quadrant (Fig. 6). The patient was given specific instructions on which aligner to activate the distaliser screws with. The distalisation was completed by the 20th aligner.
Fig. 4: Digital planning of the distaliser with metal attachments on the shells.
Fig. 5: Insertion guide.
Fig. 6: Skeletally anchored distaliser used simultaneously with aligners. Greater distalisation was performed in the maxillary right quadrant than in the maxillary left quadrant.
Additionally, semi-sequential distalisation of the premolars and canines was planned (Fig. 7). During semisequential distalisation, small gaps are initially created between the premolars to allow the aligner to better grip and move these teeth. After molar distalisation had been completed, the distaliser was kept in place to anchor the molars until the premolars had been fully distalised, preventing unwanted mesial drift. It is important to note that teeth #16 and 26, which were connected to the distaliser, could only undergo bodily distalisation. The rigid anchorage does not permit tipping and rotational movements of the first molars. Therefore, such movements of the first molars should be avoided in the ClinCheck planning. The aligner shells on teeth #16 and 26 were additionally equipped with horizontal attachments.
Figs. 7a–c: ClinCheck progression of the patient, showing the planned semi-sequential distalisation of the posterior teeth and overcorrection of the overbite.
Fig. 7b
Fig. 7c
Figs. 8a–h: Patient at the end of treatment after 72 aligners.
For correction of the increased overbite, the incisors were first proclined and then bodily intruded to prevent excessive palatal tipping during retraction. Additionally, Class II elastics and anterior bite ramps were used. The mandibular arch crowding was addressed through interproximal enamel reduction.
The first sequence of aligner treatment consisted of 62 aligners, followed by ten aligners for refinement. During the course of treatment, the posterior teeth were asymmetrically distalised on both sides, anterior crowding in the maxillary and mandibular arches was resolved, the sagittal discrepancy was reduced and the midline deviation was corrected (Figs. 8 & 9). Afterwards, the patient wore vertical elastics for two months to achieve settling in the molar region. The total active treatment duration was 19 months.
Summary and discussion
The case presented demonstrates that a severe Class II malocclusion including an increased overbite can be successfully treated in adults using effective molar distalisation, anterior bite ramps and Class II elastics. The use of a skeletally anchored distalisation appliance allows for precise and reliable synchronisation of bodily tooth movement with aligner staging. Furthermore, it offers an aesthetically pleasing and effective treatment option for adult patients.
Reduction of excessive vertical overlap using aligners remains a challenging treatment objective. When designing the distalisation appliance, it is possible to angle the rails in such a way that the molars are extruded during distalisation, increasing the posterior vertical dimension of occlusion. This applies to both the Beneslider and the distaliser.
Figs. 9a & b: Overjet before and after the treatment.
Traditionally, anterior open bites have been considered one of the most challenging malocclusions to treat in orthodontics. In fact, the majority of such ...
Early intervention in growing patients with skeletal Class II malocclusion aims to reduce sagittal discrepancies, guide dentofacial development and minimise...
Over the past decade, there has been a notable surge in the use of clear aligners, and their benefits and advantages have been extensively documented. ...
We are living in a changing world and get the impression that the changes are happening even faster day-by-day. The problem is that these changes are not ...
SHANGHAI, China: Severe Class II malocclusion with skeletal components is difficult to treat with conventional orthodontic appliances owing to their ...
The ultimate goal of endodontic treatment is the prevention and/or treatment of apical periodontitis, such that there is complete healing and absence of ...
Ectopic canines are a complex condition to treat with aligners only, since it is not easy to create a reliable and stable anchorage unit for forced ...
Malocclusion is a pervasive oral health issue associated with numerous diseases and conditions that may affect a patient’s overall health and quality of ...
Education
Live webinar Thu. 14 May 2026 12:00 pm EST (New York)
To post a reply please login or register