Search Dental Tribune

Smartee’s new S8 clear aligners correct severe Class II malocclusion

The Smartee S8 aligners achieve both mandibular advancement and tooth alignment simultaneously. (All images: Smartee)
Smartee Dental Technology

Smartee Dental Technology

Tue. 2. April 2024

save

SHANGHAI, China: Severe Class II malocclusion with skeletal components is difficult to treat with conventional orthodontic appliances owing to their limited impact on bone structures and thus may require surgery and tooth extraction. Treatment with mandibular advancement produces temporomandibular (TMJ) remodelling to support the new mandibular position and restores a Class I occlusion. Shanghai Smartee Dental Technology, a leading provider of clear aligners and digital orthodontic solutions in China, has developed an invisible and minimally invasive solution—S8 aligners—that achieves all this plus tooth alignment concomitantly, offering efficient and effective treatment.

This novel orthopaedic approach involves two types of aligners, the Smartee S8-SGTB and Smartee S8-SGHB. The S8-SGTB appliance is suitable for treating Class II malocclusion with a deep overbite, large overjet and deep curve of Spee, whereas the S8-SGHB appliance is suitable for Class II malocclusion with a deep overjet, shallow overbite and shallow curve of Spee.

The aligners are part of the Smartee GS product series, which Smartee developed, along with its invisible mandibular repositioning technology, in collaboration with the company’s research and development chief scientist, Prof. Gang Shen of Wuhan University’s School of Stomatology. The Smartee GS range is based on Prof. Shen’s diagnostic classification of malocclusion, including facial prognathism, facial retrognathism, mandibular deviation and a straight profile.

The custom-manufactured S8-SGTB and S8-SGHB appliances are able to correct Class II malocclusion efficiently and effectively through mandibular advancement and modifying growth patterns of the orofacial bone structures. Supported by advanced digitalisation and algorithm technology, the S8 aligners manipulate the movement of the lower jaw and alignment of the teeth accurately and predictably.

Conventional treatment versus mandibular repositioning therapy

In the case example (Figs. 1 & 2), the conventional treatment approach would involve extracting the maxillary second premolars and then inserting a miniscrew for absolute anchorage. Following this, the maxillary anterior teeth would be retracted to reduce the overjet and the maxillary molars would then be distalised. The entire treatment duration would be approximately 30–36 months.

Fig. 1a: Pretreatment situation. Frontal smiling view.

Fig. 1a: Pretreatment situation. Frontal smiling view.

Fig. 1b: Frontal facial view.

Fig. 1b: Frontal facial view.

Fig. 1c: Facial profile.

Fig. 1c: Facial profile.

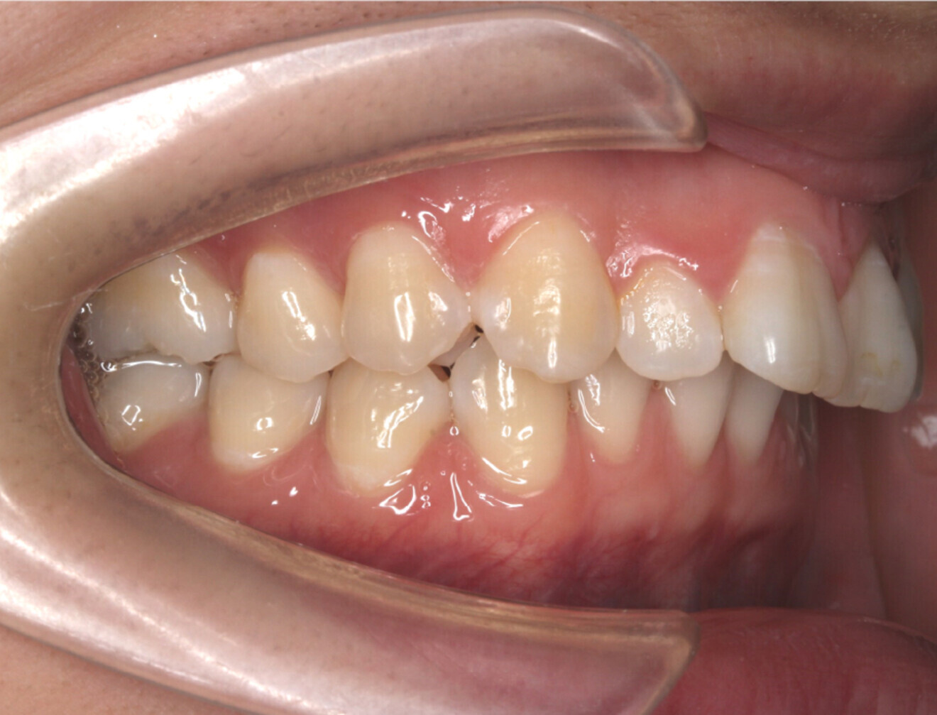
Fig. 1d: Lateral intra-oral view.

Fig. 1d: Lateral intra-oral view.

Fig. 2a: Cephalometric radiograph taken before treatment began.

Fig. 2a: Cephalometric radiograph taken before treatment began.

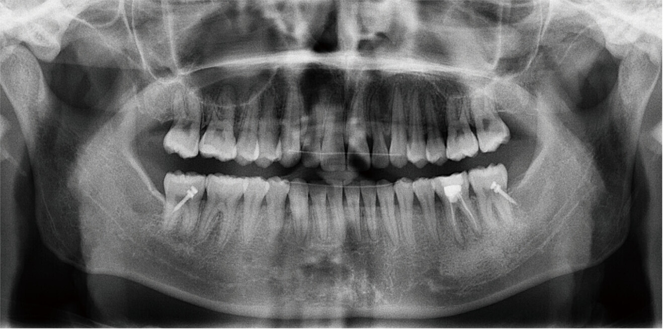
Fig. 2b: Dental panoramic tomogram taken before treatment began.

Fig. 2b: Dental panoramic tomogram taken before treatment began.

Following the mandibular repositioning therapy approach, the incisors were first moved edge to edge through mandibular advancement with the S8-SGTB appliance (Fig. 3). Next, the mandibular third molars were extracted and slight molar distalisation was achieved with temporary anchorage devices, finishing with occlusal contact (Figs. 4 & 5). The entire treatment duration was 24 months.

Fig. 3: Facial profile during treatment.

Fig. 3: Facial profile during treatment.

Fig. 4a: Post-treatment situation. Frontal facial view.

Fig. 4a: Post-treatment situation. Frontal facial view.

Fig. 4b: Facial profile.

Fig. 4b: Facial profile.

Fig. 4c: Frontal smiling view.

Fig. 4c: Frontal smiling view.

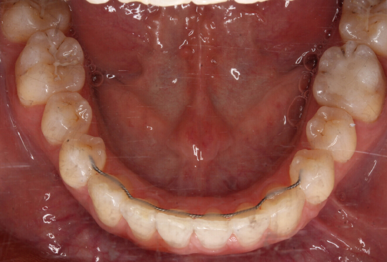
Fig. 4d: Occlusal intra-oral view of the mandible.

Fig. 4d: Occlusal intra-oral view of the mandible.

Fig. 4e: Occlusal intra-oral view of the maxilla.

Fig. 4e: Occlusal intra-oral view of the maxilla.

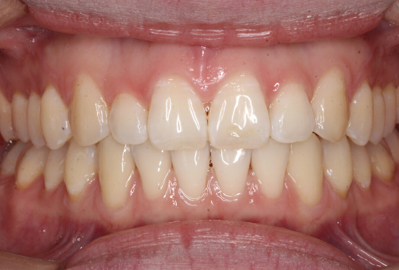
Fig. 4f: Frontal intra-oral view.

Fig. 4f: Frontal intra-oral view.

Fig. 5a: Cephalometric radiograph taken after completion of mandibular repositioning therapy.

Fig. 5a: Cephalometric radiograph taken after completion of mandibular repositioning therapy.

Fig. 5b: Dental panoramic tomogram taken after completion of mandibular repositioning therapy.

Fig. 5b: Dental panoramic tomogram taken after completion of mandibular repositioning therapy.

Advantages of mandibular repositioning therapy

In this case example, by using the S8-SGTB appliance, extraction of the maxillary second premolars was avoided. After mandibular advancement therapy, anti-clockwise rotation of the patient’s mandible was achieved. The morphology of the patient’s mandible was changed from a high angle to a normal angle. The patient’s mandibular retrusion and facial prognathism were improved and her joint clicking problem and joint pressure relieved. The overall treatment duration was much shortened.

Mandibular repositioning therapy using the S8 appliance is effective for the adaptive rehabilitation of the TMJ throughout an individual’s life, from childhood and adolescence to adulthood. Radiographic evidence of the adaptive response of the TMJ to S8 therapy is more prominent in adults than in adolescents, demonstrating significant new bone apposition on top of the mandibular condyle.

Smartee’s invisible mandibular repositioning technology is a significant advancement in orthodontic treatment, especially for treating severe malocclusion involving skeletal components. It has the potential to shape the future of orthodontics.

Smartee will be holding an international summit on its Smartee GS products and mandibular repositioning technology on 18 April in Singapore, featuring a scientific session on the S8-STGB aligner by Prof. Shen. More information about the summit and registration can be found at invitation.smarteealigners.com. More information about the company can be found at smarteealigners.com.

Topics:
Tags:
To post a reply please login or register
advertisement
advertisement