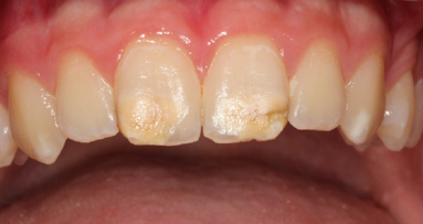
ADELAIDE, Australia: A recent study, led by the Australian Research Centre for Population Oral Health (ARCPOH) at the University of Adelaide, aimed to describe the oral health status of the Australian population. The findings showed that the prevalence of dental caries continues to increase in the country, and a third of Australian adults are left with untreated caries.
The National Study of Adult Oral Health 2017–2018 involved data from over 15,000 adults aged 15 years or older in each state and territory and is the third population-based study of its kind in Australia.
“We found that while tooth loss is declining, tooth decay continues to affect a significant proportion of adults: almost a third of adults had untreated tooth decay. On average, Australian adults had 1.4 tooth surfaces with decay. Dental caries is common and has increased in prevalence over time,” said Prof. David Brennan, director of ARCPOH. According to Brennan, the present study is both relevant and timely, since no similar study has been undertaken in Australia for over ten years.
“Self-rated oral health has worsened and reported levels of toothache are increasing. Almost one quarter of adults rated their oral health as fair or poor, and one in five adults experienced toothache,” he continued.
Additionally, the findings revealed that the prevalence of periodontal disease has also increased since the last study and that more than 30% of dentate adults experience moderate or severe periodontitis.
Brennan believes that adults are avoiding or delaying dental care owing to financial barriers resulting from an increase in treatment costs. “Overall, nearly four in ten adults reported that they avoided or delayed visiting a dentist due to cost,” he noted.
The study, titled Australia’s Oral Health: National Study of Adult Oral Health 2017–18, was published by ARCPOH.
Tags:
COLOGNE, Germany: A recent study has assessed trends in dental caries experience in permanent dentition in Germany. The findings show that dental caries in ...
CANBERRA, Australia: The Australian government has recently announced it will be committing A$1 billion to ensure the sustainability of the Child Dental ...
CALOOCAN, Philippines: According to the World Health Organization, 514 million children have caries of the primary dentition. Additionally, data from 2021 ...
OSLO, Norway: Seeking to fill the gap on available epidemiological data on the present oral health situation in Norway, researchers have recently assessed ...
CLEVELAND, U.S.: Dental Tribune International recently reported on an article that highlighted the significance of oral health for systematic health and ...
SYDNEY, AUSTRALIA: In 2011, the Mars Wrigley Foundation, together with the Australian Dental Health Foundation (ADHF), implemented a programme focused on ...
COLUMBUS, Ohio, U.S.: Researchers worldwide investigate COVID-19, and every week, new information about the illness is discovered or confirmed. A recent ...
BERLIN, Germany: Enamel fractures of freshly erupted molars that appear porous, hypersensitivity of the affected teeth and continued loss of fillings—this...
SENDAI, Japan: Researchers have discovered that soft gingiva hinders the development of gingiva fibroblasts. A study conducted at the Tohoku University in ...
DUNEDIN, New Zealand: Despite the vast amount of research on smoking, the relationship between smoking and oral health in an archaeological sample of a ...
Live webinar
Tue. 14 April 2026
8:00 pm EST (New York)
Dr. Bruce McFarlane Certified Specialist in Orthodontics Fellow: Royal College of Dentists of Canada Diplomate: American Board of Orthodontics
Live webinar
Wed. 15 April 2026
2:00 pm EST (New York)
Live webinar
Wed. 15 April 2026
8:00 pm EST (New York)
Linda Hecker MS, BSDH, RDH
Live webinar
Thu. 16 April 2026
12:00 pm EST (New York)
Dr. Pär-Olov Östman, Dr. Robert Gottlander DDS
Live webinar
Fri. 17 April 2026
12:00 pm EST (New York)
Live webinar
Fri. 17 April 2026
1:00 pm EST (New York)
Dr. Stuart Yeaton BDentSc, MOrth
Live webinar
Mon. 20 April 2026
1:00 pm EST (New York)
Dr. Alberto Monje DDS, MS, PhD
To post a reply please login or register