BERLIN, Germany: Enamel fractures of freshly erupted molars that appear porous, hypersensitivity of the affected teeth and continued loss of fillings—this is the clinical presentation of molar incisor hypomineralisation (MIH), commonly seen in paediatric dentistry. For the affected children, it is associated with limited oral hygiene and reduced masticatory ability because such teeth are very sensitive to brushing, heat and cold. As prevalence has been increasing, the German Society of Dentistry and Oral Medicine (DGZMK) recently held a press conference on the topic in Berlin.
MIH was first described scientifically in 1987 and today its prevalence is widespread. The occurrence of MIH among children and adolescents is higher than that of dental caries, according to Prof. Norbert Krämer, President of the Deutsche Gesellschaft für Kinderzahnheilkunde [German society for paediatric dentistry]. On average, 10–15 per cent of children suffer from MIH and the rate among 12-year-olds is over 30 per cent, according to the fifth German oral health study (Deutsche Mundgesundheitsstudie).
Scientific evidence of the cause of MIH is still lacking, but it is believed to be multifactorial. Plasticisers from plastics ingested with meals seem to have an essential role in the development of MIH. In animal experiments, a connection between bisphenol A intake and the development of MIH has been demonstrated.
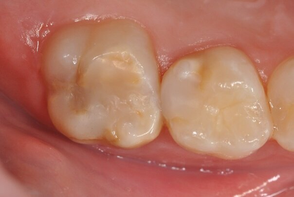
The photograph shows a mild form of MIH. Discoloration indicating the soft enamel can be seen on the occlusal surface of the molar. An important characteristic of such enamel is a hardness reduced by a factor of ten, resulting in likely caries and infraction of the surface under masticatory load. (Photograph: Prof. Norbert Krämer)
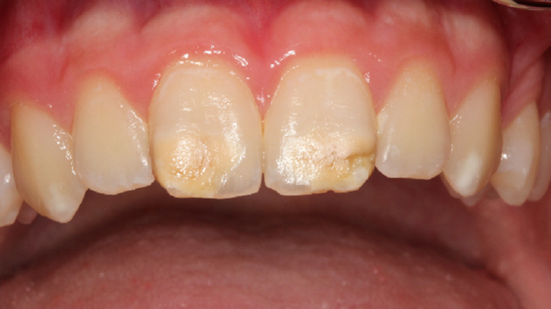
The anterior teeth are often affected as well. The discoloration and abrasion of the surface have an evident aesthetic impact, with consequent psychological effects for the child. (Photograph: Prof. Norbert Krämer)
The photograph shows a severe form of MIH. The tooth on the left erupted incompletely developed. The molar was highly sensitive to cold and touch, and brushing was painful, as evident from the surface deposits. The second molar was also affected by the condition. (Photograph: Prof. Norbert Krämer)
Restoration with resin composite is the treatment of choice for MIH-affected teeth. The resin effectively seals the affected surface, and composite is considered a good insulator against harmful substances. In addition, healthy hard tooth substance can be optimally preserved, since the filling material is directly bonded. Amalgam is contra-indicated as a filling material for MIH-affected teeth. (Photograph: Prof. Norbert Krämer)
From left to right: Prof. Michael Walter, President of the German Society of Dentistry and Oral Medicine; Prof. Norbert Krämer, President of the Deutsche Gesellschaft für Kinderzahnheilkunde; and Prof. Stefan Zimmer, President of the Deutsche Gesellschaft für Präventivzahnmedizin, at the press conference in Berlin. (Photograph: DGZMK/Lopata)
Other potential causes of MIH include problems during pregnancy, infectious diseases, antibiotics, chickenpox, dioxins (a group of poisonous chemicals) and diseases of the upper respiratory tract. Since the enamel of the first molars and incisors develops between the eighth month of pregnancy and the fourth year of life, the defect must also occur during this period.
With MIH, permanent anterior teeth and, increasingly, second primary molars often present with defective structures. Clinically, the severity may vary greatly, from a single cusp to the entire surface of the tooth. The mild form of MIH appears as white-yellowish or yellow-brown irregular opacities of the occlusal surface or cusps. The severe form exhibits chipped or abraded enamel and dentine of varying degrees. The affected patients suffer from pain when drinking, eating and brushing their teeth.
Because the exact causes are not yet known, effective prevention of MIH is currently not possible, explained Prof. Stefan Zimmer, President of the Deutsche Gesellschaft für Präventivzahnmedizin [German society for preventative dentistry]. As MIH-affected teeth have a rough surface and a lower substance quality, they are particularly susceptible to caries. However, with appropriate preventative measures, caries formation can still be averted. Therefore, in addition to brushing, particularly intensive prophylaxis is required to protect the teeth. For this purpose, especially age-specific fluoridation measures in the home and the dental practice must be applied. Regular check-ups at the dentist, treatment with fluoride varnish and restoration by means of different techniques can contribute to preserving MIH-affected teeth through good care.
Tags:
GREIFSWALD, Germany: According to new research, nearly 80 per cent of 12-year-old sixth-graders in Germany have caries-free permanent dentition, making ...
HYATTSVILLE, Md., U.S.: Research has shown that dental caries is the most common chronic disease among young people living in the U.S. aged 6–19. ...
RAS AL-KHAIMAH, UAE: Although the association between dental anxiety and oral health-related quality of life is well established internationally, evidence ...
The aim of this study was to identify and classify temporomandibular joint dysfunction (TMJD) in psychiatric patients using typical anti- psychotics ...
MANDAUE, Philippines: Four volunteers working with Dentaid, a dental charity that provides essential dental care to people in the UK and to people in many ...
LEIPZIG, Germany: Rural communities across the US are facing a growing oral health crisis as access to fluoridated water and dental care diminishes. This ...
SINGAPORE: The Association of Orthodontists (Singapore) Congress (AOSC), held from 2 to 11 July, successfully concluded its first online edition. The ...
CALOOCAN, Philippines: According to the World Health Organization, 514 million children have caries of the primary dentition. Additionally, data from 2021 ...
ADELAIDE, Australia: A recent study, led by the Australian Research Centre for Population Oral Health (ARCPOH) at the University of Adelaide, aimed to ...
Kindness to oneself and self-love are concepts that are often spoken about in the context of looking after oneself and supporting personal well-being. ...
Live webinar
Wed. 20 May 2026
7:00 am EST (New York)
Dr. Graham Carmichael BDSc (Hons), DClinDent (Pros), FRACDS, Dr. Robert Gottlander DDS
Live webinar
Wed. 20 May 2026
9:00 am EST (New York)
Live webinar
Wed. 20 May 2026
11:00 am EST (New York)
Live webinar
Wed. 20 May 2026
1:00 pm EST (New York)
Prof. Dr. med. dent. Tim Joda PhD, MSc, eMBA
Live webinar
Thu. 21 May 2026
12:00 pm EST (New York)
Dr. Leonardo Muniz DDS, MSC
Live webinar
Fri. 22 May 2026
10:00 am EST (New York)
Dr. Paweł Aleksandrowicz PhD
Live webinar
Fri. 22 May 2026
11:00 am EST (New York)
To post a reply please login or register