The patient presented with spaces between teeth #11 and 21 and between teeth #12 and 11. During the diagnostic phase, a digital screening of the smile line was carried out. The treatment involved the closure of the anterior spaces with a direct technique using a nano-hybrid composite. The operative steps to close the gap between teeth #11 and 21 provide photographic guidelines on a direct technique presented here with the name: “two-matrix technique” for diastema closure.
Case presentation
Clinical history The patient came to the initial dental consultation for an aesthetic assessment. The patient was in good health without any systemic conditions and had never undergone any orthodontic treatment. The treatment steps necessary to improve the aesthetics were explained to the patient after a careful diagnosis. The patient desired complete closure of the anterior spaces for aesthetic purposes.
Record taking and diagnosis On clinical examination, there were no signs of structural impairment related to previous treatments. On radiographic examination of the crowns, pulps, roots and periodontium, there were no findings. The diagnosis was a diastema between teeth #11 and 21 and minimal gap between teeth #12 and 11.
Treatment plan The adhesive technique consisted of the two-matrix technique for diastema closure between teeth #11 and 21 and the transparent-matrix technique for closure of the space between teeth #12 and 11. A nano-hybrid composite, in combination with a universal adhesive, was used as the material for the gap closures. For spaces < 1.5 mm, it is recommended to restore freehand (like in this case), whereas for gaps > 1.5 mm, it is advisable to use a silicone key to achieve proportional tooth widths and an aesthetic result (Fig. 1).
The Digital Smile Design (DSD) visual technology (DSD Planning Center) for a thorough analysis based on the proportions between the teeth was used. The patient was shown the new geometric lines of the planned restorations.
We followed a thorough analysis of the chromatic spectrum, as described by Naorungroj, to accurately and precisely establish the shades to be used in the operative steps (Fig. 2).1 The photographic material was carefully analysed to determine the ideal work planes to gain the information required to achieve the ultimate aesthetic aim of the treatment.
Figs. 2a–d: Choice of shade values.
Fig. 2b
Fig. 2c
Fig. 2d
Fig. 3: Assessment of the distance between the contact point and the bone crest.
In order to avoid a negative gingival influence and an unaesthetic open gingival embrasure, the complete papillary filling of the interdental area was set as a goal. Among other concerns, black triangles are a plaque and food trap.2,3 For complete papillary filling of the interdental area, the distance between the proximal contact point and the crest of bone must be < 5 mm (Fig. 3).4
Timeline of treatment steps Having completed the assessment steps, it was possible to proceed with the operative steps for the aesthetic and functional management of the factors affecting the smile line.5,6 As a first step, a dental dam was positioned (Fig. 4).7 Conditioning of the enamel and bonding then followed. Acid etching (Vococid, VOCO) of the interproximal surfaces of teeth #11 and 21 as well as of the mesial surface of tooth #12 was performed for 20 seconds (Fig. 5). The etching agent was then aspirated and rinsed off with water for 15–30 seconds and the surfaces dried with a gentle air stream to obtain a chalky white opaque appearance (Fig. 6). The universal bonding agent (Futurabond U, VOCO) was applied to and rubbed on the conditioned enamel surfaces (Fig. 7), and the solvent was carefully evaporated using compressed dry air for at least 5 seconds so that the layer of adhesive became thin, immobile and shiny. The bonding agent was then light polymerised for 10 seconds with a high-power LED lamp (Celalux 3, VOCO).
Reconstruction of the contact point mesial to tooth #12 and distal to tooth #11 A wedge and matrix system (Ena Matrix, Micerium) was inserted. To ensure good visual control and proper polymerisation on tooth #12, a transparent matrix was chosen (Fig. 8). After the application of an initial layer of packable composite, a nano-hybrid very low-viscosity flowable composite (GrandioSO Light Flow, VOCO) was used to ensure proper sealing of the conditioned enamel (Fig. 9).
Closure of the diastema between teeth #11 and 21 The operative steps chosen to close the space between teeth #11 and 21 were carried out using a technique we adapted involving the simultaneous use of two appropriate sectional matrices (Fig. 10) applied sequentially as described next. This was done drawing inspiration from scientific work aiming to restore, in a single clinical session, the natural smile line of patients with periodontal disease8 or to manage the matrices in a versatile manner.9
First of all, the first metal sectional matrix (thickness of 60 µm) was positioned vertically and fixed with a wedge (Ena Matrix). To obtain a clinical preview of the contact point of the central incisors,10 we then added a second matrix, again in a vertical position, with the intention of defining the emergence profile when performing the cervical restoration. It acts passively on the wedge and pushes it against the interdental papilla. Having stabilised the wedge and matrix system, the first layer of sculptable composite (Admira Fusion, Shade A2; VOCO) was applied to the mesiovestibular wall of tooth #11 using the median landmark created by the physical contact generated between the two matrices. Not too much material should be applied in the vestibular-palatal direction. This system offers the advantage that, once a matrix has been removed, the special wedge can be left in place for haemostatic purposes ready for the insertion of another matrix of the same system. The sectional matrix was removed from the wall of tooth #11 while maintaining the previously achieved anatomical limits (Fig. 11). We then applied a composite increment to the mesial wall of tooth #21, as here the matrix was still in place.11
Fig. 4: Dental dam in situ.
Fig. 5: Acid etching of the surfaces to be restored.
Fig. 6: Situation after suction of the etching gel, rinsing and careful drying of the conditioned surfaces.
Fig. 7: Application of the bonding agent to the surface of the enamel.
Fig. 8: Placement of the wedge and matrix system between teeth #12 and 11.
Fig. 9: Gap closure on tooth #12.
Fig. 10: Simultaneous use of the two matrices (placed vertically).
Fig. 11: Construction of the mesial wall of tooth #21.
Fig. 12: Marked transition lines.
Texturing of the surface Transition lines were drawn on the vestibular surfaces of teeth #12–21 using a pencil (Fig. 12) to provide guidance for the contouring.12 Lastly, the texture steps were performed (Fig. 13), creating vertical texture with a rough appearance for the demarcation of vestibular features and giving an appropriate curvature to the area of the contact point;13 as well as creating micro-texture: after proper mirror polishing, restorations can be made brighter depending on how the incident light is dispersed, absorbed and reflected on the irregular vestibular surface geometry (Figs. 14 & 15).14
Fig. 13: Achievement of the surface texture.
Figs. 14a & b: Control and smoothing of the marginal contour.
Fig. 15a: Control of restoration.
Fig. 15b: Control of restoration.
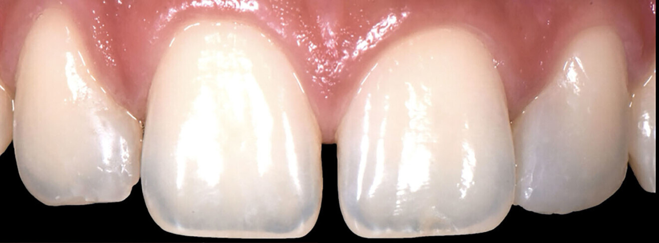
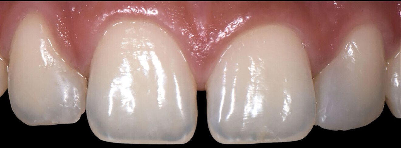
Fig. 16: Completed restoration.
Once the dental dam had been removed, abrasive discs were used (Sof-Lex, 3M) to optimise the mesial margins by reducing hinderances to the passage of dental floss.15 The shine and three-dimensionality of the treated surface were enhanced by polishing with a rubber cup and a diamond paste or zirconium powder16 (Fig. 16), all the while paying attention to the interdental spaces.17 To complete the polishing, a felt disc (Super-Snap Buff Disk, SHOFU) and a diamond-impregnated polishing paste (DirectDia Paste, SHOFU) were applied to the enamel, and the final polishing step was performed using silicone polishers (Dimanto, VOCO). Conventional radiographic checks were conducted to confirm that the restoration had been optimally carried out and was free of potential infiltration sites (Fig. 17). Radiographs would serve as confirmation at the DSD check.
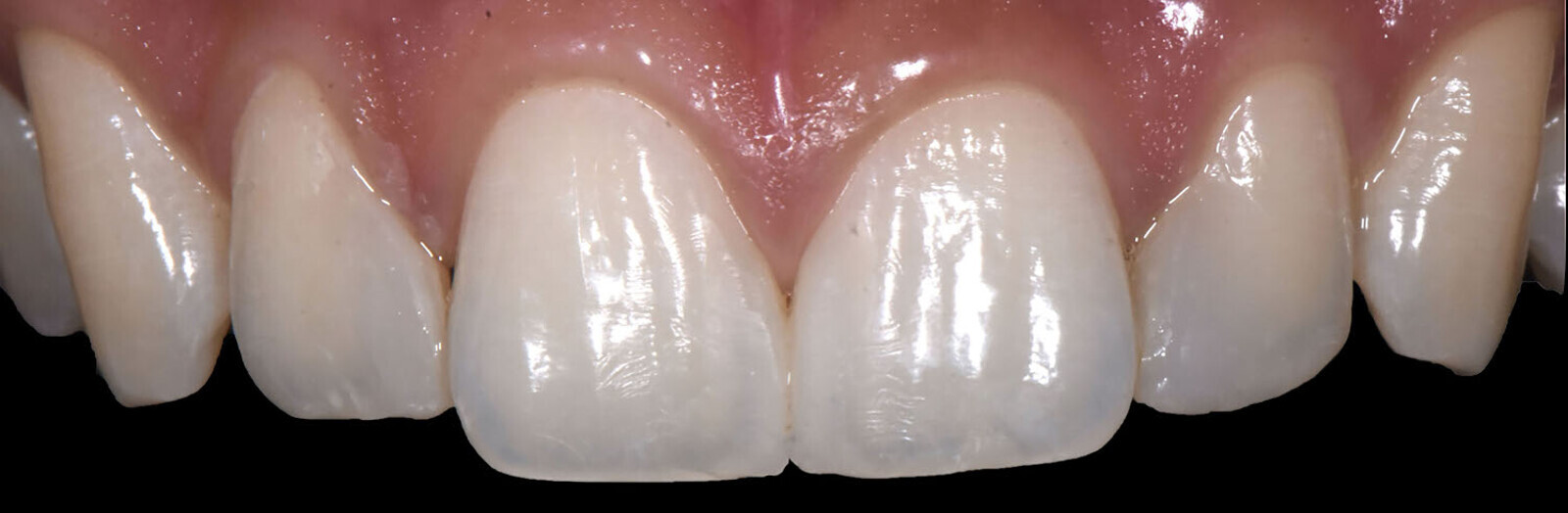
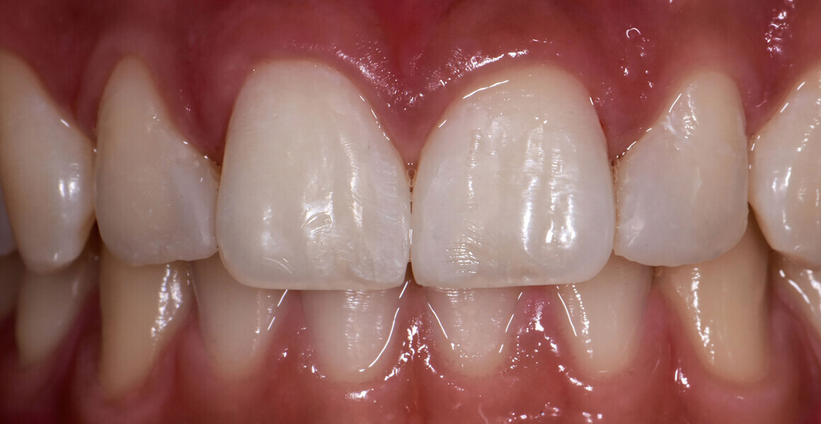
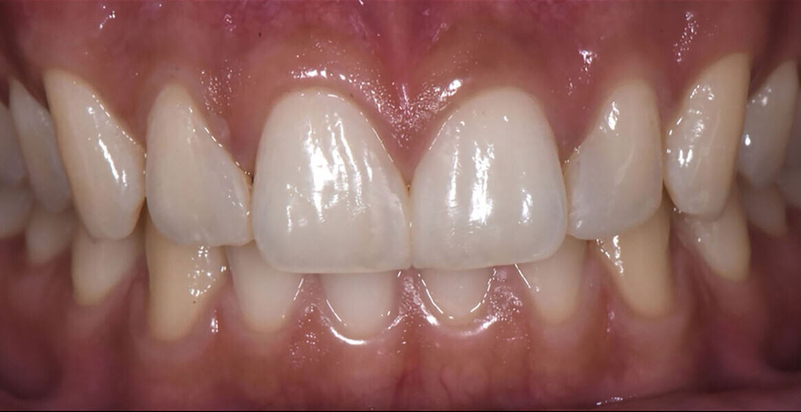
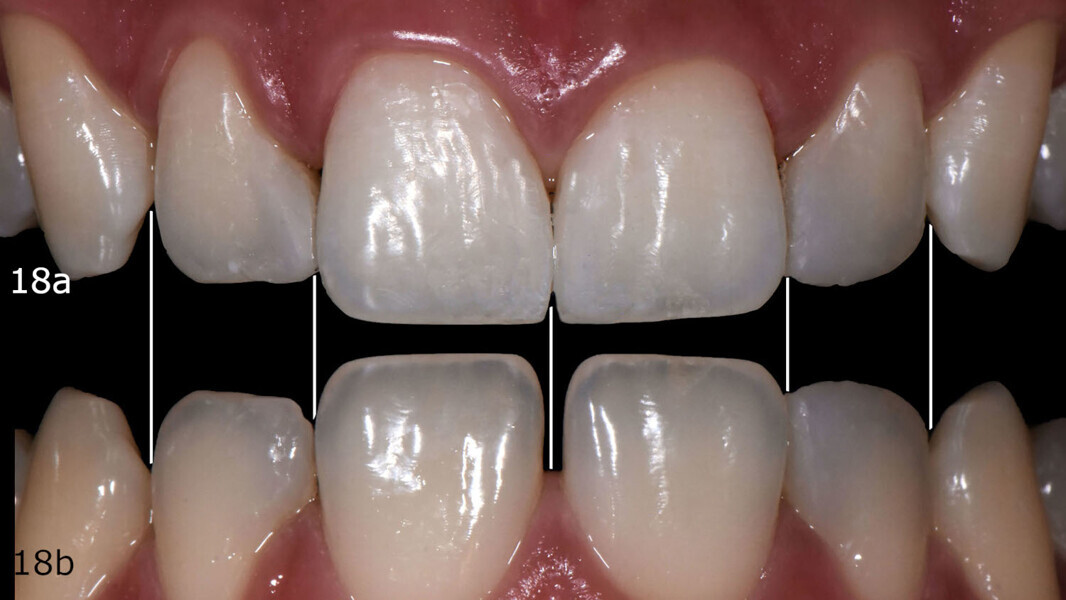
At the six-month follow-up appointment, the patient’s situation was very different to that at the initial consultation. There was proper closure of the interdental gaps and consequent formation of papillary tissue that harmonised the shape of the attached gingiva and of the reconstructed enamel perimeter (Figs. 18–21). In addition, the examination showed no fractures of the restoration or wear, no marginal discoloration or other staining, adequate marginal seal, adequate colour stability and translucency, very good surface structure and anatomical shape, excellent contact points, very good integrity of the teeth and no inflammation.
Figs. 18a & b: Space closure comparative check on the digital smile design before (a) and after (b).
Fig. 19: Frontal image with fluorescence.
Fig. 20: Aesthetic result achieved.
Fig. 21a: Six-month follow-up.
Fig. 21b: Six-month follow-up.
Fig. 21c: Six-month follow-up.
Special advantages of the VOCO products used The materials used proved to be particularly useful on account of their aesthetic and functional characteristics. Futurabond U was chosen because it can be applied as a single layer with a total working time of just 35 seconds, has exceptional adhesion values, expanding its use to materials such as metals and ceramics, and has high moisture tolerance. Admira Fusion was used because it is universally applicable, has perfectly harmonious translucency and opacity, enabling high-quality results that respect anatomical characteristics, and affords the flexibility to work with a singlecolour or multicolour system. GrandioSO Light Flow offers low viscosity with exceptional fluidity, pinpoint application and outstanding aesthetic results.
Results
The patient was satisfied with the aesthetic accuracy in terms of restored anatomy, the gaps in the interdental space have been resolved. This result gave an implicit added value to the direct restoration technique: micro-invasiveness. The patient did not feel any discomfort during the operative steps, as no significant preparation of the teeth was needed.
Discussion
For the diagnostic steps, we chose a digital approach that respected dentofacial symmetry. It was necessary to carry out a smile line study with a corresponding aesthetic diagnosis and treatment plan to provide us with a correct interpretation of the margins and emergence profile. This was made possible using DSD technology. Radiographic monitoring was required to record the pre- and post-restoration anatomical characteristics. The intra-operative photographs made it possible to establish the correctness of the interdental contours. The clinical and therapeutic factors that led us to choose a direct approach with a chairside technique were concerned with the aesthetics.18,19 The use of novel chameleon effect nano-hybrid composites ensures theoptimisation of the operating time in the chair, making it possible to obtain restorations with mechanical and aesthetic properties identical to those of restorations obtained using a build-up technique.20 A further, advantageous aspect was the economic one, since the reduced use of prosthetic procedures afforded considerable cost-savings.21 The increasing economic pressure on the dentistry system and, in many cases, the shortage of economic resources on the patient’s part for covering the costs of treatment result in the need to carry out anterior restoration treatments that are reliable, easy and quick and, therefore, more affordable, instead of the more demanding indirect restorations, such as veneers or crowns.22
Conclusion
The patient was very satisfied with the aesthetic result and the enormous advantages it would bring in terms of hygiene and speaking. Diastema closure, which was previously mostly performed using prosthetic or orthodontic procedures, can be solved with direct restorations.
Natural teeth are complex in structure and difficult to imitate because many colours are distributed through the enamel and dentin.1 The structural ...
In the case presented, the treatment plan was to place a single implant in the aesthetically demanding anterior maxillary region in the place of the left ...
For many years, the trend in restorative dentistry has been to place only one- or two-shade composite restorations in daily practice. However, with this ...
A human face takes priority when determining physical attractiveness.[1] If we group the facial components according to their influence on appearance, the ...
A passionate dental practitioner with a special interest in endodontics and conservative aesthetic dentistry and a well-known speaker, Dr Enzo Attanasio has...
TEHRAN, Iran: A recent systematic review by Iranian scholars has compared implant treatment outcomes of over 1,500 patients who had undergone either ...
Needing no separate primer or silane, PANAVIA SA Cement Universal simplifies the bonding of any restoration to implant abutments—thanks to its proprietary...
TAMPERE, Finland: The long-standing relationship between oral bacteria and systemic disease has taken on new significance with recent advances in molecular ...
Today’s patients expect restorations that not only function properly, but are also highly aesthetic. Unlike some years ago, different media outlets ...
Up to now, the gold standard of obturation has been the continuous wave compaction technique.1,2 However, this technique is difficult to perform and needs ...
Education
Live webinar Thu. 2 April 2026 12:00 pm EST (New York)
To post a reply please login or register