Long, narrow root canals are a real challenge even for renowned endodontic experts. Just like a good navigation system in your car, modern endodontic motors help you keep track on the long and winding road to the apex. In the following case, the clever co-pilot navigated the author safely through the treatment of a necrosis in tooth #47—indicating “traffic jams” as well as recommended “stops”.
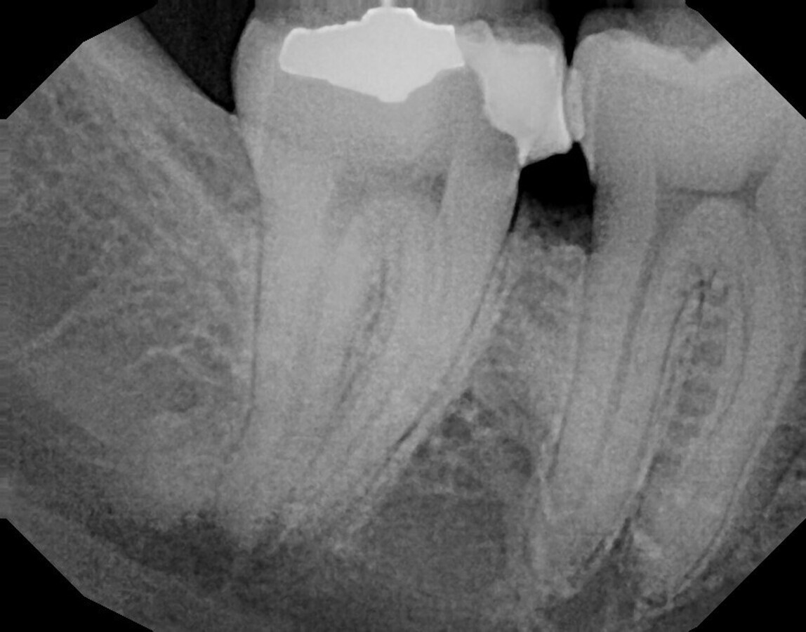
Fig. 1: Pre-op radiographic image of tooth #47.
Mobility researchers and development departments of car manufacturers all share the dream of autonomous driving. When navigating through S-shaped canals by sight or following the tactile feedback, endodontic experts sometimes wish for the luxury of a fully automatic co-pilot too, a co-pilot who knows when it would be recommendable to change files and when a “pit stop” should be made for rinsing. In the following report, the author describes his first test drive with a brand new endodontic motor and his experience “on the road”.
The long and winding road
This spring, a 33-year-old patient was referred to our practice complaining of pain in the right lower jaw. Radiographic diagnostics revealed, among other things, that the root canals were longer than usual. The mesial canals were 23 mm long, and the distal canal 22 mm. In addition, the canals were clearly narrowed in the apical third. Successful navigation through the root canal system would therefore become particularly difficult. Tooth #47 also showed a conspicuous brightening in the radiographic image (Fig. 1). The diagnosis was necrosis with asymptomatic periapical periodontitis. The patient agreed to the necessary root canal therapy.
Owing to the given anatomical conditions, we chose the CanalPro Jeni endodontic motor to support the treatment. Jeni is a new type of digital endodontic assistance system developed by the international dental specialist COLTENE (Fig. 2). Jeni is named after its inventor, Prof. Eugenio Pedullà. While preparing an S-shaped canal, the Italian endodontic specialist came up with the idea of applying the concept of autonomous driving to the endodontic field for a safe and less error-prone root canal therapy. The result is a fully automatic endodontic motor that finds its own way through the canal. Being so proud of his groundbreaking invention, Pedullà wished the device to be named after him: Jeni.
Bumpy road ahead
Like an experienced driver assistance system in a car, Jeni navigates the user safely and quickly through the canal. Thanks to complex algorithms, the endodontic motor controls the variable file movements every millisecond. The rotational movement, speed and torque are continuously adjusted to the conditions in the canal. In the following case, the main objective was to perform a safe and reliable procedure despite the demanding anatomy. This required a motor that minimises file stress and optimally manages torque forces by correcting the file movement. The motor should also react in time to obstacles or a restricted working field. Especially in long, narrow canals, it help to have a “lane assistant” that knows when a file change is recommended.
Fig. 3: Choosing the sequence via touch screen. (Image: Coltène/Whaledent)
After applying a dental dam and creating an access, we first probed the canals using size 8–15 hand files. With the help of the apex locator, the appropriate working length was quickly established. The actual preparation was done with flexible nickel–titanium (NiTi) files. In the main program of the Jeni endodontic motor, different file systems can be selected via touch screen (Fig. 3). Currently, the HyFlex CM or EDM and the MicroMega One Curve or 2Shape from COLTENE are preset in the software. The Doctor’s Choice program also allows you to store individual sequences of up to eight files, but you cannot use the assistant function of the fully automatic Jeni mode in this section, for example the fine adjustment of the rotational movement. Since updates can be uploaded at any time via a micro SD card, further alternative configuration options are certainly conceivable in the future.
In order to be able to explicitly use the recommendation on file changes as well as the automatic rinsing announcements, the HyFlex EDM was used in the given case in the following sequence: first a 15/.03 file was used, followed by a 20/.05 file. The majority of the work in the mesial and distal canals was performed by the universal file 25/~ HyFlex EDM OneFile. A 40/.04 file was used for the filigree work. With this sequence, all canals were successfully cleaned and shaped.
It was astonishing how easily the file adapted to the changing pressure exerted on the instrument. The dentist simply holds the handpiece while the motor does the rest. With Jeni, endodontic beginners and experts alike can enjoy a completely new treatment experience. It is a bit like driving a high-powered car on autopilot: thanks to its sophisticated technical features, the machine has enough power to cope with uneven surfaces, but automatically corrects its course in order to drive around tight corners. The dentist works constantly with light pressure from coronal to apical, which makes the system extremely efficient. At the same time, it eliminates the small pecking motion normally associated with preparation based on tactile feedback. Root canal therapy is therefore much faster and less prone to errors now.
Fig. 4: Course of the root canal in the post-op radiograph.
However, the most amazing thing of all is that, in Jeni mode, the endodontic motor even knows when it is time to irrigate. After the acoustic signal, the current file was removed from the canal and rinsed with sodium hypochlorite and then with chlorhexidine at appropriate intervals. Obturation was performed as usual with gutta-percha points in combination with bioceramic sealer. The final radiograph shows the root canal system following the natural anatomy. It had been thoroughly prepared and reliably sealed with gutta-percha (Fig. 4). The satisfied patient was discharged. The long-term results hopefully will be seen in the follow-up.
Conclusion
Long, narrow root canals pose particular challenges to the resistance and flexibility of modern NiTi files. Digital endodontic assistance systems help the dentist by adjusting the variable file movement. The reliable co-pilot thus navigates the dentist step by step through the mechanical and chemical preparation. Thanks to the constant processing from coronal to apical, canal shaping is much more efficient and less error-prone than it used to be—almost like driving autonomously with a high-powered car on the autobahn.
This September in Shanghai, the 2025 FDI World Dental Congress (FDIWDC25) will welcome thousands of oral health professionals from around the world. ...
COLOGNE, Germany: The integration of artificial intelligence (AI) has accelerated in many industries in recent years, and dentistry is proving to be no ...
Unsurprisingly, the COVID-19 pandemic crippled the entire dentistry industry in 2020 and 2021, when elective medical surgeries such as dental implant and ...
In today’s interconnected world, networking is crucial for personal and professional success because building strong relationships, fostering meaningful ...
GENEVA, Switzerland: In the run-up to World Oral Health Day (WOHD), which took place on Sunday, 20 March, FDI World Dental Federation presented a webinar ...
DAMASCUS, Syria: As health workers, dentists are occasionally placed at risk of disease transmission, since they are exposed to bloodborne infections of ...
CHICAGO, US: The American Dental Association (ADA) has issued updated recommendations on dental imaging, reinforcing that radiographs and CBCT scans should ...
MUNICH, Germany: As the use of artificial intelligence (AI) becomes increasingly established in dentistry, questions have arisen regarding the justification...
Education
Live webinar Thu. 23 April 2026 12:30 pm EST (New York)
To post a reply please login or register