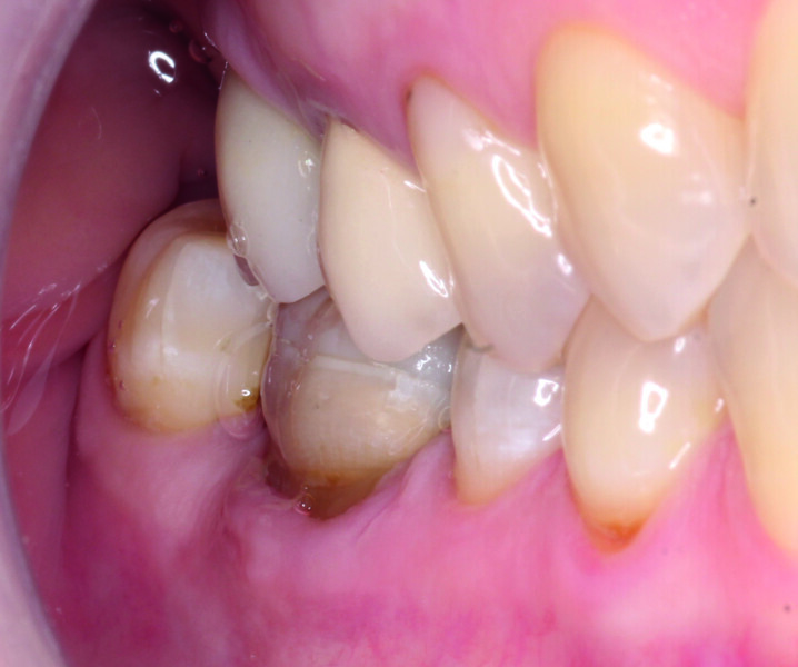
Fig. 1: Initial situation: failure of periodontal anatomical integrity due to overcontoured amalgam filling in tooth #45, and cracked and lost amalgam on tooth #46. (All images: Lucas J. Echandia & Martin I. Ibañez)
In the case described in this article, the patient benefited from the innovative clinical use of a high-quality milled composite material (Grandio blocs, VOCO) for indirect restorations in the posterior sector. The advantages over direct restorations described here are better aesthetic results, flexibility and easy handling without any of the usual inconveniences, such as volume shrinkage, air bubbles between the increments or incomplete polymerisation.
Case presentation
Case history A 58-year-old female patient came to the dental practice for a routine dental appointment and had lost an amalgam restoration the previous day. The patient was apparently in good health and had no systemic conditions. Her dental history revealed that about 16 years previously root canal therapy had been performed on tooth #46, and the tooth had subsequently been treated with an amalgam filling. Pointing to the tooth, she said that she must have broken the tooth and lost a little piece of it the day before. When asked whether she had any symptoms, she replied that she had no complaint regarding any of her teeth.
The patient wished to receive a clear explanation of the reason for her clinical problem and subsequent treatment. She then asked for an aesthetic and functional restoration in the shortest time possible.
Records and diagnosis Radiographically, no carious lesions were detected. The periapical radiograph of tooth #46 showed a relatively non-homogeneous endodontic filling characterised by poor condensation and incomplete apical sealing because the gutta-percha did not fill the whole circumference of the apical foramina. Nevertheless, this tooth had been asymptomatic for 16 years, so it was decided not to opt for endodontic retreatment. The radiograph also showed an overcontoured filling in tooth #45.
The clinical examination revealed an amalgam filling over the asymptomatic root of tooth #46 and the overcontoured amalgam filling in tooth #45, which had facilitated inflammatory and hyperplastic changes to the surrounding gingival margin, and tooth #46 had lost several coronal areas of the residual hard tissue and most of its lingual wall and presented with some microcracks on the residual surface (Fig. 1). Tooth #45 did not show any clinical symptoms on the pulp vitality test.
The diagnosis concluded:
endodontic underfilling in tooth #46;
fractured dental restorative material with loss of material on tooth #46;
various enamel cracks on tooth #46;
contour of the existing restoration of tooth #45 biologically incompatible with oral health; and
marginal overcontouring of the filling in tooth #45.
Fig. 2: Dental dam isolation for removal of the old restoration from tooth #45 using ultrasonic instrumentation.
Fig. 3: Matrix system positioned for correct adaptation of the margin on tooth #45.
Fig. 4: Building the distal wall to convert the cavity from a Class II to a Class I configuration.
Fig. 5: Completed filling with Grandio.
Fig. 6: Occlusal view of the pulp chamber and cavity after preparation for the milled endocrown.
Treatment steps The main therapeutic objective was rehabilitation of function and aesthetics with a direct restoration (replacement of the amalgam filling in tooth #45, since the tooth was vital) and an indirect restoration (endocrown on tooth #46). The secondary objective was to avoid multiple appointments.
After the removal of the old fillings and isolation with a dental dam (Nic Tone) to achieve a dry working field, the treatment was performed on the two teeth (Fig. 2). A W8 clamp hook (Hu-Friedy) was used to keep the dental dam in place. The sectional matrix was stabilised along the axial distal wall of the cavity of tooth #45 using Unimatrix R (TDV Dental; Fig. 3).
For the adhesive preparation of tooth #45, Vococid 35% phosphoric acid gel (VOCO) was used to perform a selective-etching technique on the enamel. The precautionary etching step was followed by application of the adhesive agent Futurabond U (VOCO), which was applied to both the enamel and dentine.
The direct restoration of tooth #45 used the light-polymerising, nano-hybrid composite Grandio. We rebuilt the distal wall, initially with Grandio, in order to convert the Class II configuration into a Class I cavity design (Fig. 4). This strategy was chosen to make the handling of the proximal and occlusal filling easier. To achieve this, a regular incremental layering technique was used (Fig. 5). Finally, we performed finishing and polishing of the occlusal surface of tooth #45.
For the endocrown on tooth #46, we first revised the pulp chamber using ultrasonic tips (Helse Ultrasonic) and then the tooth cavity with various rotary instruments. We performed minimal shoulder preparation in accordance with the conventional rules for ceramic restorations, avoiding undercuts and preserving minimum thicknesses (Fig. 6). An intra-oral scan of the revised surfaces was performed with the TRIOS intra-oral scanner (3Shape; Fig. 7). After that, a temporary filling with Clip F (VOCO) was prepared for the time needed for chairside manufacture of the indirect restoration (Fig. 8).
Fig. 7: Tooth #46 before the intra-oral scan.
Fig. 8: Clip F temporary filling to allow the patient to rest during the milling process.
Figs. 9a–c: Creation of the CAD for the endocrown (a). Grandio blocs A3 LT block ready for milling (b). Endocrown milled from Grandio blocs (c).
Fig. 10: Final endocrown upside down.
The next step was the creation of the digital design for the endocrown with inLab CAD Software (Dentsply Sirona) and 10-minute endocrown fabrication using a low-translucency Grandio blocs block (A3 LT) processed with the CEREC MC XL milling machine (Dentsply Sirona; Fig. 9). After the endocrown had been milled (Fig. 10), it was pretreated and chromatic characterisation was performed with FinalTouch characterisation material (VOCO) for a more natural result.
According to the manufacturer’s instructions for use, since Grandio blocs is made of a nano-hybrid composite, there is no indication for etching with hydrofluoric acid or phosphoric acid. Instead, the pretreatment was performed with 25–50 µm aluminium oxide particles to sandblast the inner surfaces of the restoration to be luted and the occlusal grooves and fissures for subsequent chromatic characterisation. The oxide dust produced was removed using a suction device, and an ultrasonic bath was used to clean the pretreated restoration, which was then dried with oil-free air, followed by final cleaning with medical alcohol (optional).
Fig. 11: Final endocrown after chromatic characterisation of the occlusal grooves and fissures with FinalTouch and subsequent polishing.
After pretreating the occlusal grooves and fissures and the application of Futurabond U, a maximum layer thickness of 0.5 mm of FinalTouch was applied over these areas. Light polymerisation was performed with the Celalux 2 LED curing light (VOCO) for 20 seconds, followed by finishing and polishing of the indirect restoration with diamond polishers (Dimanto, VOCO; Fig. 11).
New isolation of the working field was performed and the temporary filling removed to prepare tooth #45 for cementation of the endocrown. Total etching of both the enamel and dentine with a strong (37%) phosphoric acid gel (Etch-37, BISCO) was performed (Figs. 12 & 13).
The inner surface of the restoration was then silanised for 60 seconds using a brush wet with the silane coupling agent Ceramic Bond (VOCO) and then gently dried with oil-free air. During this phase, we paid careful attention to avoid touching the surfaces to be luted.
The dual-polymerising permanent luting system used on the inside surface of the restoration to be luted always requires a suitable bonding agent. The bonding agent selected for this purpose was the dual-polymerising universal adhesive Futurabond U, which we applied to the inner surface and rubbed with a disposable brush (Single Tim, VOCO) for 20 seconds and, to speed up the workflow and in view of the colour characterisation on the grooves and fissures, we dried off the adhesive layer using oil-free dry air for at least 5 seconds in order to remove any residual solvent. Polymerisation of the bonding agent took 10 seconds with the Celalux 2, which has a high light intensity of 1,000 mW/cm².
Permanent adhesive cementation of the endocrown was done with Bifix QM (VOCO), a radiopaque, dual-polymerising composite-based luting system for the permanent adhesive luting of metal, ceramic and composite restorative pieces. We had a maximum working time in reduced light of about 2.5–3.5 minutes. We applied Bifix QM directly on to the prepared areas and secured the endocrown by applying slight pressure (Fig. 14).
Fig. 12: Total etching of both enamel and dentine with a 37% phosphoric acid gel.
Fig. 13: Drying of tooth #46 with absorbent paper strips instead of airflow to avoid overdrying of the dentine.
Fig. 14: Securing the endocrown by applying slight pressure allowed excess luting material to ooze out at the preparation margins.
Fig. 15a: Light polymerisation after removal of the excess luting material.
Fig. 15b: Light polymerisation after removal of the excess luting material.
The chemical setting time is 3 minutes from the application of the indirect restoration to the prepared areas. Once we had removed the excess Bifix QM with a foam pellet or a disposable brush, it was possible to considerably reduce the polymerisation time using additional light polymerisation. This light polymerisation was performed at the luting margins with the Celalux 2 for a minimum of 20 seconds from the vestibular side and a further 20 seconds from the lingual side (Figs. 15).
Results and discussion The fully aesthetic and functional results were remarkable and were achieved in a single chairside session, to the full satisfaction of both patient and dentist (Figs. 16–19).
This patient was treated with an endocrown because of the impossibility of a direct restoration owing to the insufficient thickness of the remaining walls 16 years after root canal treatment. This helped avoid unnecessary loss of healthy tooth structure, was time-saving, as post-endodontic treatment with a build-up followed by a regular ceramic overlay would have required multiple sessions, and had a lower cost of the treatment for the patient.
Restoration with an endocrown posed a lower risk of chemical failure owing to fewer adhesive interfaces. In the case of a build-up and overlay, we would have had two adhesive interfaces (dental tissue to build-up and build-up to crown or overlay), instead of just one (dental tissue to endocrown). Similarly, there was a lower risk of biomechanical failure of an endocrown than with more invasive preparation, for example with metal posts.
The most recent scientific evidence demonstrates that milled CAD/CAM composite resin endocrowns are not only a more conservative approach but also more stable over time than ceramic indirect restorations. When restoring endodontically treated teeth, endocrowns produced using composite resin materials showed more uniform stress distribution and higher fracture resistance.
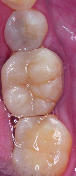
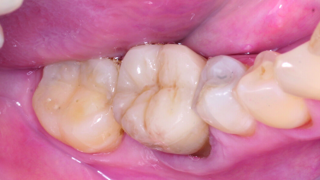
Fig. 16: Astonishing results with excellent marginal adaptation and aesthetics
Fig. 17: Occlusal adjustments and articulation confirming the astonishing results.
Fig. 18: Occlusal view of the excellent final results.
Figs. 19a & b: Comparison of the pre- and post-treatment radiographs. Initial periapical radiograph characterised by an overcontoured dental filling in tooth #45 and endodontic underfilling in tooth #46 (a). Final periapical radiograph confirming the good adaptation of both restorations (b).
Conclusion
This new approach using CAD/CAM-fabricated endocrowns reduces the disadvantages associated with endocrowns produced in laboratories or those made of ceramic materials.
Acknowledgement
The authors would like to thank the patient for her efforts and willingness to allow us to solve the case with this new approach. One week later, her husband underwent the same treatment with a Grandio blocs CAD/CAM-fabricated endocrown.
CAD/CAM is playing an increasing role in the production of implant-retained prostheses. These digital technologies constitute a major advancement in terms ...
Prudent clinical judgement and careful consideration of the risks and benefits of various treatment options are essential for the treatment planning and ...
Dr. Gary Hack is an associate professor at the University of Maryland School of Dentistry, where he teaches in the Department of Advanced Oral Sciences and ...
Root-canal retreatment is a very common procedure that endodontists and general practitioners are faced with on almost a daily basis. The biggest challenge ...
BEIJING, China: Researchers from the General Hospital of the Air Force of the Chinese People’s Liberation Army in Beijing recently evaluated the fracture ...
THESSALONIKI, Greece: As digital workflows become increasingly prevalent in restorative dentistry, the accuracy of intra-oral scanners in capturing complex ...
Dental crowns have been used for decades to restore compromised, heavily restored teeth, and for aesthetic improvements. New Computer Aided Design/Computer ...
Janne Ruokola, Planmeca’s sales manager for CAD/CAM products, has been working with CAD/CAM technology for more than ten years. In his career, he has seen...
The CEREC system that allows all-ceramic restorations to be produced chairside without impression taking was developed more than twenty years ago. Since ...
CAD/CAM restorations made chairside with CEREC are among the most intensively studied restorations in dentistry. Numerous studies show that the clinical ...
Education
Live webinar Thu. 22 January 2026 9:00 am EST (New York)
To post a reply please login or register