BEIJING, China: Researchers from the General Hospital of the Air Force of the Chinese People’s Liberation Army in Beijing recently evaluated the fracture resistance properties of maxillary incisors with flared root canals restored with CAD/CAM-integrated glass fibre posts and cores. The study found that this approach achieved improved results compared with conventional treatments.
The researchers treated 30 prepared flared root canals in vitro and restored these with CAD/CAM-integrated glass fibre posts and cores, prefabricated fibre posts and cast gold alloy, respectively. After exposure to fatigue loading, each specimen was subjected to static loading until fracture.
The findings showed that the mean fracture strengths of the teeth treated with CAD/CAM-integrated glass fibre posts and cores, and cast gold alloy were significantly higher than those restored with prefabricated fibre posts, whereas no differences were observed between the first two treatments. In addition, reparable fracture modes were mostly observed in teeth treated with CAD/CAM-integrated glass fibre posts and cores, while irreparable and catastrophic fractures were mainly found in the other teeth. These results demonstrate that, in comparison with conventional treatments, CAD/CAM-integrated glass fibre post and core restoration significantly enhances the fracture resistance of maxillary central incisors with flared root canals.
The study, titled “Fracture behaviors of maxillary central incisors with flared root canals restored with CAD/CAM integrated glass fiber post-and-core”, was published online in Dental Materials Journal on 1 November 2018 ahead of inclusion in an issue.
Tags:
GENEVA, Switzerland: Dental restorations often rely on CAD/CAM resin composites for their precision and reliability. However, ensuring the longevity and ...
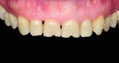
No-preparation ultrathin veneer is one of the most minimally invasive restorations. Its thickness ranges from 0.3 to 0.5 mm. In the right circumstances ...
In the case described in this article, the patient benefited from the innovative clinical use of a high-quality milled composite material (Grandio blocs, ...
Dental crowns have been used for decades to restore compromised, heavily restored teeth, and for aesthetic improvements. New Computer Aided Design/Computer ...
Dr. Gary Hack is an associate professor at the University of Maryland School of Dentistry, where he teaches in the Department of Advanced Oral Sciences and ...
THESSALONIKI, Greece: As digital workflows become increasingly prevalent in restorative dentistry, the accuracy of intra-oral scanners in capturing complex ...
Despite the increasing popularity of the current CAD/CAM laboratory systems and continuing technical advances, some clinicians have remained reluctant to ...
The E4D in-office CAD/CAM unit (Editorial note: Planmeca E4D Technologies) has been employed in an investigative laboratory study to design and mill an ...
The aesthetics are always a significant challenge during implant restoration, especially in the aesthetic zone, in addition to the full consideration ...
Today’s consumers are always searching for the ultimate bargain, even when it comes to their dental care. They want high-quality results and minimally...
Live webinar
Tue. 12 May 2026
1:00 pm EST (New York)
Live webinar
Thu. 14 May 2026
12:00 pm EST (New York)
Live webinar
Thu. 14 May 2026
2:00 pm EST (New York)
Prof. Hani Ounsi DDS PhD FICD
Live webinar
Tue. 19 May 2026
11:00 am EST (New York)
Live webinar
Tue. 19 May 2026
1:00 pm EST (New York)
Prof. Dr. med. dent. Ivo Krejci
Live webinar
Wed. 20 May 2026
7:00 am EST (New York)
Dr. Graham Carmichael BDSc (Hons), DClinDent (Pros), FRACDS, Dr. Robert Gottlander DDS
Live webinar
Wed. 20 May 2026
9:00 am EST (New York)
To post a reply please login or register