Bone grafts are used as a filler and scaffold to facilitate bone formation and promote wound healing if necessary. Bone grafting is possible because bone tissue has the ability to regenerate completely if the space into which it has to grow is provided.
Today, guided bone regeneration (GBR) has become more predictable owing to advanced augmentation techniques and is a standard in dental implantology. Success depends on the defect morphology, but the importance of ridge morphology must not be underestimated. An adequate therapy has to be used in every individual case, and critical factors must be assessed and controlled. Primary wound closure, clot stability and angiogenesis are important factors that influence implant healing. Complications can occur in late and early stages of treatment and may be based on biomechanical, prosthetic and biological reasons. Even contaminations found on implants increase the risk of implant failure.
GBR is in general critical for use in smokers owing to reduced wound healing and vascularisation. Three case reports in which we used GBR in heavy smokers are presented here. Additionally, vertical, horizontal or 3-D mandibular augmentation in the posterior mandible was done, and this required particular experience and increased the risk of failure. The rate of implant failure is greater among smokers than in non-smokers and there is a tendency to a higher failure rate with the increasing number of cigarettes per day. One of the authors has substantial experience in treating smokers and has wellfounded knowledge of placing dental implants for more than 30 years with a low rate of implant failure.
Fig. 1: Initial situation: severe bone defects and implant in situ.
Fig. 2: Micro-osteoperforation in order to enhance bone formation.
Fig. 3: 3-D modelling of NanoBone.
Fig. 4: Application of pericard membrane.
Fig. 5: New bone around implants.
Fig. 6: Detail of new bone formation.
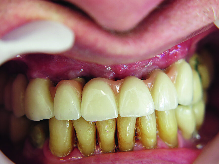
Fig. 7: Situation after treatment.
Fig. 9: HELBO laser therapy in order to reduce bacteria.
Fig. 10: 3-D augmentation using NanoBone.
Fig. 11: Post-op dental panoramic tomogram.
Fig. 12: Screwed on superstructure.
Fig. 13: Dental panoramic tomogram showing superstructure.
Fig. 14: Dental panoramic tomogram of initial situation.
Fig. 15: Implant fixed with pins.
Fig. 16: Augmentation and sinus elevation.
Fig. 17: Use of membrane. Pins visible.
Fig. 18: New bone around implant.
Fig. 19: Pin embedded in new bone.
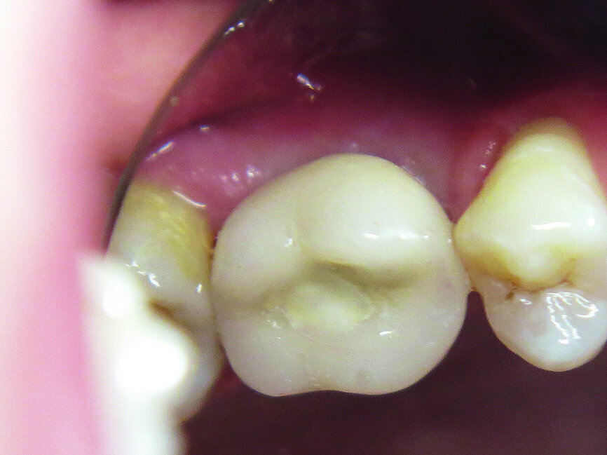
Fig. 20: Integrated implant.
Fig. 21: Final situation.
Smoking
Reports in the literature show lower survivability of dental implants in smokers.[1, 2] One possible mechanism by which smoking might affect osseointegration is a lower blood flow rate owing to increased peripheral resistance and platelet aggregation. Tobacco directly affects osteoblast function. In general, smoking is a main risk factor for failure. If smokers are treated with implants, good bone quality is necessary. Excellent primary stability was gained in all the cases reported on here.
Case presentation
Three patient cases are presented here in detail. The patients were treated according to our new protocol that we developed especially for extreme smokers between August 2015 and July 2017. In total, 12 implants were inserted. The patients were all heavy smokers, but were in good physical condition and had very good oral hygiene.
The first was a 51-year-old patient who smoked 30 cigarettes per day and suffered from diabetes and stress (Figs. 1–8). The second was a 76-year-old male patient in good physical condition who smoked 40 cigarettes per day. He underwent reconstruction of the premaxilla (Figs. 9–13). The third was a healthy female patient of 24 years of age who smoked 20 cigarettes per day. She required a sinus lift in region #25 (Figs. 14–21). The patients were informed of the intended process in detail and signed the surgical protocol containing information concerning possible risks of failure and complications, as well as information on the alloplastic and synthetic materials to be used.
Patient diagnostics
The smokers were treated owing to atraumatic age-related root fractures, advanced caries, periodontitis, trauma or failed endodontic treatment. The patients were treated in our private practice by the same surgeon. None of the patients had uncontrolled severe diabetes, drug addiction or alcoholism. Pre-implantation diagnostics was performed in all three cases.
Surgical phase
Implant placement was performed under local anaesthesia after pre-medication with antibiotics. The osteotomy was extended gradually, according to the intended implant diameter. After the incision, the site was cleaned and necrotic or inflammatory tissue was removed. Osteotomy sites were prepared with a sequential order of drills as recommended by the manufacturer. Implants were inserted into the prepared osteotomy sites at an insertion torque of 45 Ncm and adequate primary stability was obtained. Suturing was performed with a 4/0 thread (RESORBA Medical).
After four weeks, a site-specific full-thickness flap was raised buccally in Case 3 by vertical releasing incisions without including the papillae of the adjacent teeth (Figs. 16–19). In the aesthetic zones, no vertical incisions were made. In order to optimise the situation of the soft tissue, we placed a pedicle flap (connective tissue graft from the palate). After atraumatic flap elevation, the granulation tissue was removed.
The patients were treated with HELBO light laser therapy (bredent medical) in order to minimise bacteria (Fig. 9). The tapered implants (Hager & Meisinger) were placed in the optimal positions. After placing the cover screws, augmentation was performed using resorbable alloplastic material.
In two cases, a thickness flap was raised after 12 weeks in order to access the cover screw. In 85 % of cases implant stability was evaluated using resonance frequency analysis (Osstell ISQ). A healing abutment was placed and the flap was sutured using 4/0 sutures (RESORBA Medical). Finally, after nearly two weeks, a titanium abutment was placed and a cemented metal-ceramic restoration was fabricated.
Medication
After microbiological examination, antibiotics (Clindamycin Aristo 600, Aristo Pharma) were given t.i.d. and later b.d. until surgery. Mouth rinsing with Chlorhexamed (GlaxoSmithKline) was performed.
Local anaesthesia was performed with Ultracain D-S forte (Hoechst). Each implant was wet with hyaluronic acid or the patient’s own plasma. After completion of the surgery 40 mg of Dexa-ratiopharm (Ratiopharm, IM) was injected.
After surgery, 20 mg of Prednisolon (Jenapharm) was prescribed (one tablet t.i.d., then half a tablet t.i.d. and finally a quarter of a tablet t.i.d.). In order to minimise swelling five arnica globules were given.
Postoperative treatment
Postoperative intraoral periapical radiographs were taken, to confirm the accuracy of the implant placement. Postoperative medications included antibiotics.
Digital radiographic images were taken at the time of surgery, 24 hours postoperatively and one month later in order to evaluate implant success (Figs. 6, 7, 11, 13, 15 & 20). In none of the patients inflammatory processes were found and all implants remained stable.
Abstention from smoking should be extended at least eight weeks after the implantation in order to permit the healing phase of the osteoblasts to take place.
Follow-up examination
Follow-up examinations were performed according to the criteria of Albrektsson et al. and Buser et al.[3–5] These success criteria for implants are widely cited and generally accepted. A lack of osseointegration is commonly distinguished by implant mobility and radiolucency. The criteria used describe the absence of persistent subjective complaints, such as pain, foreign-body sensation and/or dysaesthesia; absence of recurrent peri-implant infection with suppuration, of mobility, of continuous radiolucency around the implant; and the possibility for restoration.
Bone grafting
Bone grafting is a surgical procedure that replaces missing bone with material from the patient’s own body or an artificial, synthetic or natural substitute. The diverse options available are summarised as follows:
- Autologous or autogenous bone grafting involves utilising bone obtained from the individual receiving the graft. Autologous bone grafts are regarded as the gold standard.[6] Their use can, however, evoke many problems, such as painful wounds and operation risk if intraoral bone is not available.
- Allograft is derived from humans, and the use of allografts for bone repair often requires sterilisation and deactivation of proteins normally found in healthy bone. Allogeneic materials are rather expensive.
- Xenografts are bone grafts from a species other than human, such as bovine.
- Alloplastic grafts are synthetic and may be made from hydroxyapatite. Alloplasts like NanoBone (Artoss), CERASORB (curasan) and Gore-Tex (W. L. Gore & Associates, USA) can be used for small defects; for larger defects, membranes will additionally be necessary.
- Growth factors can enhance graft integration. Growth factors bind to receptors on cell surfaces and stimulate the intracellular environment to act. The addition of bone morphogenetic proteins 2, 4 and 7 to the culture media can also influence the stem cells towards osteogenic lineage.
GBR technique
In our cases NanoBone, pericard membrane (imperiOs) and autologous bone chips were used for augmentation. NanoBone is an efficient nano-structure nano-crystalline hydroxyapatite embedded in a highly porous silica gel matrix. NanoBone is a safe product and stimulates the formation of collagen and bone. As an effect, many osteoblasts are seen in the early stage of regeneration. NanoBone has been on the market three years in the form of putty. NanoBone putty has a high consistency and is optimal for use to rebuild vertical bone. In general, no additional membranes are necessary. Its special structure results in rapid bone formation. As the osteoclasts resorb the granules, NanoBone is completely substituted by bone and no foreign substances will influence natural biomechanics.
Alternatively, NanoBone block material is now on the market and is a safe and rapid solution for block augmentation. Animal studies have shown that it induces quick bone formation. It offers an alternative to autogenous bone blocks for improving the implant bed in the case of vertical and horizontal bone deficits. In two patients with defects of the lower jaw, NanoBone block was used to optimise horizontal defects. NanoBone material was fixed with CAMLOG screws and a collagen membrane was used (RESORBA Medical).
Results
Five of the 12 inserted implants were lost. In Case 1, implants were not osseointegrated owing to peri-implant infection. The patient was a heavy smoker with diabetes and stress as co-reasons for implant failure. In two of the cases, we saw new bone covering the screws. After 12 weeks, the defects were filled with new bone. In Case 1, GBR was again necessary around one implant.
Discussion
Final evaluation of the success of NanoBone (putty, granulate and blocks) can only be done after clinical and histological results have been completed. A mixture of 30 per cent of NanoBone putty and 70 per cent of autologous bone chips has shown good results and been described as the gold standard in the literature.[6] We have experience of using NanoBone in the treatment of alveolar ridge defects (Cologne Classification of Alveolar Ridge Defects). It has still to be proven if our technique has the same positive results as other techniques
Conclusion
NanoBone blocks and putty show a high success rate. From our point of view, the material can be evaluated as very good and comparable to other products on the market.
Editorial note: The authors disclosed that they have no conflict of interest and that the patients agreed to their data being published.A list of references is available from the publisher. This article was published in implants - international magazine of oral implantology No. 02/2018.
The aim was to evaluate the three-year outcome of nonsubmerged dental implants with buccal periimplant defects treated with a guided bone regeneration ...
The use of 3D imaging has become the standard of care for diagnosis and treatment planning for many medical and dental procedures. Such imaging was first ...
RIYADH, Saudi Arabia: With more people opting for implants, dental practitioners are seeing an increase in difficult cases of implantation, such as ...
Objectives: The objective of this study was to assess spontaneous bone healing after enucleation of large jaw cysts without using any grafting material.
BRISBANE, Australia: A team of biomedical researchers at the University of Queensland in Brisbane have undertaken a groundbreaking study that demonstrates ...
NIIGATA, Japan/PHILADELPHIA, US: Ageing is known to increase people’s susceptibility to chronic inflammatory bone loss disorders, including periodontal ...
SEOUL, South Korea: Specialists at the Osstem’s Bone Science Research Institute devote themselves to developing ways to regenerate bone and soft tissue by...
Background: Melatonin, a hormone produced primarily in the pineal gland, possesses a series of biological properties that appear to have an influence on ...
TURIN, Italy: The Bone, Biomaterials & Beyond (BBB) Academy is a newly formed international scientific and cultural association of professionals dedicated ...
On 30 September, notable expert and prolific author in oral and maxillofacial surgery Dr Matteo Chiapasco will be presenting at the annual scientific ...
Live webinar
Thu. 14 May 2026
12:00 pm EST (New York)
Live webinar
Thu. 14 May 2026
2:00 pm EST (New York)
Prof. Hani Ounsi DDS PhD FICD
Live webinar
Tue. 19 May 2026
11:00 am EST (New York)
Live webinar
Tue. 19 May 2026
1:00 pm EST (New York)
Prof. Dr. med. dent. Ivo Krejci
Live webinar
Wed. 20 May 2026
7:00 am EST (New York)
Dr. Graham Carmichael BDSc (Hons), DClinDent (Pros), FRACDS, Dr. Robert Gottlander DDS
Live webinar
Wed. 20 May 2026
9:00 am EST (New York)
Live webinar
Wed. 20 May 2026
1:00 pm EST (New York)
Prof. Dr. med. dent. Tim Joda PhD, MSc, eMBA
To post a reply please login or register